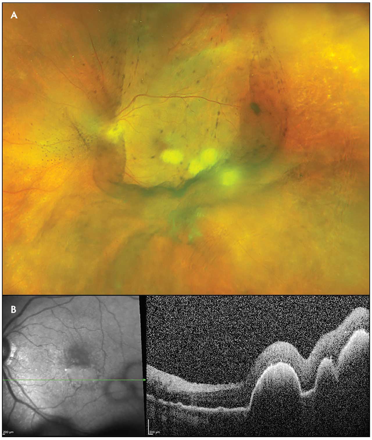
Primary vitreoretinal lymphoma (PVRL) is challenging to both diagnose and manage, given the variable presentation, relative rarity, and heterogeneity of the literature regarding the natural history and optimal treatment modalities (Figure 1).1,2 Further, many individuals will progress to central nervous system (CNS) disease despite local ocular therapy, and many treating ocular oncologists consider PVRL and primary CNS lymphoma (PCNSL) to be manifestations of the same disease with involvement of different compartments.3
Treatment decisions must be individualized, with considerations given to patient performance status, presence of concomitant CNS disease, degree of visual impairment, and personal preference. Control of ocular disease has not been shown to prevent progression to the CNS, and ocular therapy is often palliative, directed at maintaining vision and quality of life for patients.4,5 Close collaboration with a neuro-oncologist is imperative for adequate surveillance and treatment of CNS disease. Treatment modalities may include diagnostic or therapeutic vitrectomy, intravitreal chemotherapy injections, external beam radiation, or systemic chemotherapy with or without autologous stem cell transplant. This article will discuss each of these management options as a framework for how to select a treatment for patients with this disease.
Pars Plana Vitrectomy
Pars plana vitrectomy is key to establishing the diagnosis of PVRL and has therapeutic effects in the setting of eyes with prominent vitreous involvement. Central nervous system imaging is usually obtained prior to vitrectomy to evaluate for concomitant CNS disease. The cellularity of vitreous samples is often quite low, and the cells are very fragile.6 Vitrectomy is typically performed with 23-gauge or 25-gauge systems with a low cut rate; however, recent work has suggested that reducing the cut rate may be less important with modern vitrectomy platforms.6,7 It is advisable to collect an undilute sample by cutting and aspirating a small amount of vitreous before turning on the infusion. Vitrectomy can transiently improve vision for patients with PVRL, but it has no influence on the rate of recurrence and is not effective as the sole treatment for this disease. However, studies have suggested that vitrectomized eyes may have better visual acuity outcomes than nonvitrectomized eyes.8 In patients with bilateral disease in which 1 eye has already undergone vitrectomy to establish diagnosis, vitrectomy can be considered to clear the visual axis in the contralateral eye. Careful communication with the pathologist receiving the sample is imperative to ensure that the sample is placed into the correct media (such as CytoLyt or Saccomanno’s fixative) and that cells are appropriately processed.9 An IL-10:IL-6 ratio greater than 1 or presence of a MYD-88 gene rearrangement on PCR from either aqueous or vitreous sample can also support the diagnosis of PVRL.10
Intravitreal Chemotherapy
Intravitreal chemotherapy, primarily with methotrexate, has been established as a highly effective treatment for controlling local disease and reducing the risk for local recurrence.11 However, treatment requires numerous injections and carries risk of local side effects, including keratopathy and cystoid macular edema.11 A careful discussion with the patient explaining the need for repeat injections and the side effect profile is imperative for ensuring that they will be able to complete therapy. If patients are unable to return for frequent visits or have pre-existing ocular conditions that would limit therapy, alternative treatment options should be considered.
Traditional regimens used a dose of 400 μg/0.10 mL with twice weekly dosing for 1 month followed by weekly dosing for 2 months, every other week dosing for 2 months, and then monthly dosing thereafter.12 Modified regimens such as changing to monthly dosing as soon as control of local disease is obtained or using weekly rather than twice weekly dosing at induction have been used with efficacy to reduce the injection burden.13,14 Use of a lower injection volume (400 μg/0.05 mL) can improve tolerability by reducing reflux and keratopathy.11 Intravitreal rituximab (1 mg/0.10 mL) is often better tolerated but can cause anterior uveitis and has a higher rate of relapse.15 In individuals with pre-existing corneal pathology or who are unable to tolerate intravitreal methotrexate, intravitreal rituximab can be used either in combination or as monotherapy, often with weekly dosing for 1 month followed by subsequent monthly dosing. The timing of initiation of therapy may also be personalized and may be delayed if systemic treatment is being initiated.
External Beam Radiation
External beam radiation to the orbits is another option for treatment and in certain situations may be the preferred option.16 Treatment to the orbits is generally with a dose of 30 to 45 Gy delivered over several fractions.9 Although frequent return trips are required during treatment, the overall burden of follow-up visits is lower compared to intravitreal chemotherapy. This can be advantageous for patients who are systemically ill or are unable to travel for repeat injection visits. For patients undergoing whole brain radiation for CNS involvement, treatment of the orbits concomitantly with the brain may be more efficient. External beam radiation carries a risk of long-term radiation retinopathy or optic neuropathy, ocular surface dryness, and cataract progression. The age, lens status, and local ocular comorbidities of the patient may therefore influence the decision to consider external beam radiation.
Systemic Therapy
The ocular penetration of systemic chemotherapy for PVRL is not effective as monotherapy for controlling ocular disease long term, but there is some local penetration of systemic methotrexate and concomitant systemic or intrathecal chemotherapy may be used in the setting of CNS involvement.17 In individuals with mild ocular involvement and CNS disease, local treatment may be delayed until systemic chemotherapy has been completed because there can be some control of the ocular disease while patients are on systemic therapy. A large consortia study suggested that systemic chemotherapy in individuals with isolated ocular disease does not reduce the risk for progression to the CNS compartment, and systemic therapy is generally reserved for those with CNS disease.4 Autologous bone marrow transplant following chemotherapy is an emerging treatment for individuals with concomitant CNS disease, but the effects on local ocular recurrence are not known with certainty at this time.18
Conclusion
Selecting a treatment for PVRL is complex and involves consideration of the presence of CNS involvement, systemic health, the ability of the patient to return for treatment visits, and pre-existing ocular comorbidities. Pars plana vitrectomy, intravitreal chemotherapy, external beam radiation, and systemic chemotherapy may each play a role at different points in a patient’s disease course. Careful collaboration with medical oncology, radiation oncology, and the patient and their family is key to designing an optimal, individualized management plan for each patient. RP
References
1. Levasseur SD, Wittenberg LA, White VA. Vitreoretinal lymphoma: a 20-year review of incidence, clinical and cytologic features, treatment, and outcomes. JAMA Ophthalmol. 2013;131(1):50-55. doi:10.1001/jamaophthalmol.2013.569
2. Soussain C, Malaise D, Cassoux N. Primary vitreoretinal lymphoma: a diagnostic and management challenge. Blood. 2021;138(17):1519-1534. doi:10.1182/blood.2020008235
3. Raval V, Binkley E, Aronow ME, et al. Primary central nervous system lymphoma: inter-compartmental progression. EJHaem. 2022;3(2):362-370. doi:10.1002/jha2.303
4. Riemens A, Bromberg J, Touitou V, et al. Treatment strategies in primary vitreoretinal lymphoma: a 17-center European collaborative study. JAMA Ophthalmol. 2015;133(2):191-197. doi:10.1001/jamaophthalmol.2014.4755
5. Liu S, Jiang T, Gu J, et al. Prognosis, risk factors, and clinical features of intraocular recurrence in primary vitreoretinal lymphoma. Ophthalmol Retina. 2024;8(4):317-324. doi:10.1016/j.oret.2023.10.021
6. Aronow ME, Peereboom DM, Singh AD. Primary vitreoretinal lymphoma. In: Sadda S, ed. Ryan’s Retina. Elsevier; 2023: 2839-2846.
7. Tekumalla S, Xu D, Awh K, Philp N, Milman T, Garg S. Diagnostic yield of in vitro vitreous biopsy for intraocular lymphoma at variable vitreous cutter speeds using 25-gauge vitrectomy. Retina. 2023;43(6):1005-1009. doi:10.1097/IAE.0000000000003753
8. Liberman P, Francis JH, Mehrotra K, et al. Clinical outcomes in vitrectomized versus non-vitrectomized eyes in patients with primary vitreoretinal lymphoma. Ocul Immunol Inflamm. 2023;31(3):496-500. doi:10.1080/09273948.2022.2033794
9. Sobolewska B, Chee SP, Zaguia F, et al. Vitreoretinal lymphoma. Cancers (Basel). 2021;13(16):3921. doi:10.3390/cancers13163921
10. Carbonell D, Mahajan S, Chee SP, et al. Consensus recommendations for the diagnosis of vitreoretinal lymphoma. Ocul Immunol Inflamm. 2021;29(3):507-520. doi:10.1080/09273948.2021.1878233
11. Habot-Wilner Z, Frenkel S, Pe’er J. Efficacy and safety of intravitreal methotrexate for vitreo-retinal lymphoma — 20 years of experience. Br J Haematol. 2021;194(1):92-100. doi:10.1111/bjh.17451
12. Frenkel S, Hendler K, Siegal T, Shalom E, Pe’er J. Intravitreal methotrexate for treating vitreoretinal lymphoma: 10 years of experience. Br J Ophthalmol. 2008;92(3):383-388. doi:10.1136/bjo.2007.127928
13. Zhou X, Zhou X, Shi H, et al. Reduced frequency of intravitreal methotrexate injection lowers the risk of keratopathy in vitreoretinal lymphoma patients. BMC Ophthalmol. 2020;20(1):189. doi:10.1186/s12886-020-01464-3
14. Zhou N, Xu X, Liu Y, Wang Y, Wei W. A proposed protocol of intravitreal injection of methotrexate for treatment of primary vitreoretinal lymphoma. Eye (Lond). 2022;36(7):1448-1455. doi:10.1038/s41433-021-01657-0
15. Hashida N, Ohguro N, Nishida K. Efficacy and complications of intravitreal rituximab injection for treating primary vitreoretinal lymphoma. Transl Vis Sci Technol. 2012;1(3):1. doi:10.1167/tvst.1.3.1
16. Cheah CY, Milgrom S, Chihara D, et al. Intensive chemoimmunotherapy and bilateral globe irradiation as initial therapy for primary intraocular lymphoma. Neuro Oncol. 2016;18(4):575-581. doi:10.1093/neuonc/nov253
17. Batchelor TT, Kolak G, Ciordia R, Foster CS, Henson JW. High-dose methotrexate for intraocular lymphoma. Clin Cancer Res. 2003;9(2):711-715.
18. Therkelsen KE, Schaff LR, Nandakumar S, Omuro AMP, DeAngelis LM, Grommes C. Long-term outcomes in primary cns lymphoma after R-MVP and high-dose chemotherapy with autologous hematopoietic stem cell transplant. Neurology. 2023;101(7):e710-e716. doi:10.1212/WNL.0000000000207490







