Geographic atrophy (GA) is becoming an increasingly important target of therapeutic programs for age-related macular degeneration (AMD). To evaluate the success of these efforts, it is crucial to have the ability to reliably image and follow the progression of GA. This article will detail the various imaging devices available that can be used to monitor GA.
FUNDUS PHOTOGRAPHY
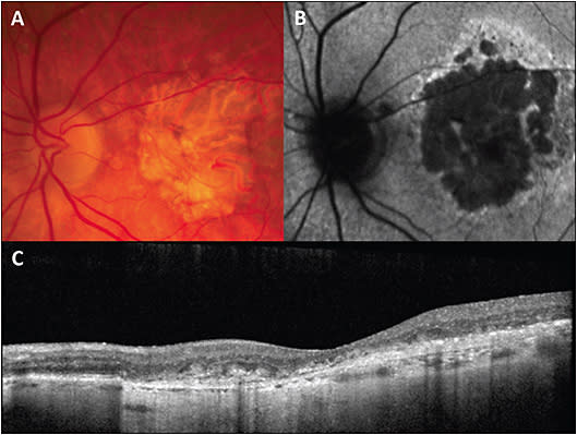
Flash color fundus photography represents the historical gold standard for diagnosis of GA. This modality highlights the presence of GA by showing its well-demarcated borders and depigmentation as compared to the surrounding fundus, with increased visibility of the choroidal vessels (Figure 1A), corresponding to the outer retinal loss of photoreceptors and retinal pigment epithelium (RPE). This modality enables noninvasive capture of images and the sequential comparison of the progression of an individual patient’s GA over time.1 However, obtaining good quality images that can detect subtle changes in GA can be a challenge, as there can be insufficient contrast, the color photograph may not show fine details, and good stereopsis is required for reliable determination of the borders for quantification.2
Confocal white-light fundus imaging (iCare Eidon TrueColor) and confocal multicolor fundus imaging (Nidek F-10 scanning laser ophthalmoscope and Heidelberg Engineering Spectralis MultiColor) offer good visualization and contrast of fundus images of GA. This can reliably facilitate the determination of borders of GA, and studies have shown good intergrader agreement in terms of GA area and width using multicolor approaches.3 The various wavelengths (blue, green, red/infrared) used in multicolor imaging can penetrate the different layers of the retina, RPE, and choroid to reveal their details. Specifically, the blue reflectance depicts the vitreoretinal interface, the green reflectance highlights blood vessels and lipid exudates, and the red/infrared reflectance images the outer retina and choroid.2,4
FUNDUS AUTOFLUORESCENCE
Fundus autofluorescence (FAF) is a popular, noninvasive modality that is commonly used and highly useful for imaging and monitoring GA. This is a newer modality, and it is often used in the assessment of atrophy. It works by exciting lipofuscin in the RPE using either blue light or green light. Blue-light FAF (Heidelberg Engineering Spectralis, Nidek F-10, Nidek Mirante) provides even higher contrast than color fundus photography or multicolor confocal imaging and can readily identify areas of GA as hypoautofluorescent or dark-appearing areas (Figure 1B). Notably, the optic nerve head and blood vessels also appear dark on FAF due to the lack of lipofuscin and RPE in those areas. Blue-light FAF has been used in many AMD trials; however, blue light is thought to be more toxic to the retina, and green-light FAF is also widely used, especially in the context of widefield and fundus camera FAF (Optos, Topcon, Zeiss, Canon).5-7 Fundus camera FAF using green light allows for widefield imaging using a single flash, and the green light reduces the impact of the crystalline lens on creating blur or loss of contrast as compared to blue light. Blue-light and green-light FAF also differ in their ability to highlight various features of AMD. For example, reticular drusen are better seen with blue-light FAF.
NEAR-INFRARED AUTOFLUORESCENCE
Near-infrared autofluorescence (available from Heidelberg Engineering) is another imaging modality that reflects the melanin in both the RPE and choroid. Near-infrared autofluorescence also provides high-contrast images to highlight areas of GA, but it can be susceptible to the effects of varying choroidal pigmentation in different individuals. For example, a patient with light pigmentation may exhibit good contrast of the GA due to low choroidal pigmentation, whereas a patient with dark pigmentation and a corresponding darkly pigmented choroid/fundus may demonstrate more diffuse appearing or less-well-demarcated borders of GA.
OPTICAL COHERENCE TOMOGRAPHY
Optical coherence tomography (OCT) provides high-resolution 3D images of the retina. There are numerous commercially available OCT devices, including from Carl Zeiss Meditec, Visionix, Nidek, Topcon Healthcare, and Heidelberg Engineering. Optical coherence tomography enables the ophthalmologist to define the regions of the retina impacted by the atrophic process, with hypertransmission of signal to the deeper layers to compensate for the imaging of the loss of the overlying retina and RPE. Hypertransmission is an important factor in recognizing GA on OCT (Figure 1C).
Recent consensus nomenclature meetings (Classification of Atrophy Meeting; CAM) have defined atrophy on OCT as complete RPE and outer retinal atrophy (cRORA),8 which is identified based on hypertransmission ≥250 µm in diameter with an RPE defect ≥250 µm and overlying photoreceptor loss. The hypertransmission on en face OCT images lends itself to quantification of atrophy area. Some OCT machines provide software that can automatically calculate the areas of hypertransmission and thus measure the GA area. Over time, this can be used to estimate rate of progression for patients. By contrast, most autofluorescence machines use semiautomatic processes to estimate GA, which requires some time and input from the user. Interpretation of GA on OCT has been shown to correlate well with fundus autofluorescence, making it a reliable option for monitoring atrophy.9
MICROPERIMETRY
Microperimetry is a type of visual field test during which light stimuli of varying intensities are projected onto the retina at precise locations. Currently available options include the MP-3 (Nidek), iCare MAIA (macular integrity assessment; iCare), and the Optos OCT/SLO (Optos). Microperimetry allows retinal sensitivity outside the foveal center to be mapped topographically. This enables a complete characterization of visual function in eyes that have GA. Areas of GA would be expected to manifest as absolute scotoma.
Microperimetry is especially useful in patients who have significant GA that spares or only partially involves the foveal center. These patients may have severe GA, but their visual acuity (VA) may not accurately reflect their level of disease. The ability of microperimetry to reveal visual potential at many specific points creates a map of visual sensitivity that is independent of central VA.
Additionally, microperimetry can identify functional decline outside the area of GA itself, making it useful in monitoring disease progression.10 Studies have shown that these areas of lower sensitivity on microperimetry correlate with the attenuation of outer segments on OCT.11 These regions of decreased sensitivity may be predictive of future areas of GA growth and functional loss.12
GETTING THE FULL PICTURE
The introduction of confocal techniques has enhanced the visualization of GA. Fundus autofluorescence has proven to be a highly reliable technique for risk stratification and quantification of atrophy. Optical coherence tomography and microperimetry have enabled a detailed characterization of junctional zones between areas of atrophy and normal retina.
This is a golden age of imaging for ophthalmic disease. There are excellent tools at the disposal of retina specialists for the diagnosis, monitoring, and prediction of future change in areas of GA. As the field of ophthalmology begins to entertain the idea that the progression of GA can be slowed or halted with medical therapies, the proper identification and monitoring of these lesions using cutting-edge imaging techniques will remain one of the most valuable capabilities within the field. RP
Editor’s note: This article is part of a special edition of Retinal Physician that was supported by Apellis Pharmaceuticals. Authors and editors maintained editorial control for all articles in this special edition.
REFERENCES
- Sunness JS, Gonzalez-Baron J, Applegate CA, et al. Enlargement of atrophy and visual acuity loss in the geographic atrophy form of age-related macular degeneration. Ophthalmology. 1999;106(9):1768-1779. doi:10.1016/S0161-6420(99)90340-8
- Fleckenstein M, Mitchell P, Freund KB, et al. The progression of geographic atrophy secondary to age-related macular degeneration. Ophthalmology. 2018;125(3):369-390. doi:10.1016/j.ophtha.2017.08.038
- Moussa NB, Georges A, Capuano V, Merle B, Souied EH, Querques G. Multicolor imaging in the evaluation of geographic atrophy due to age-related macular degeneration. Br J Ophthalmol. 2015;99(6):842-847. doi:10.1136/bjophthalmol-2014-305643
- Tan ACS, Fleckenstein M, Schmitz-Valckenberg S, Holz FG. Clinical application of multicolor imaging technology. Ophthalmologica. 2016;236(1):8-18. doi:10.1159/000446857
- Pole C, Ameri H. Fundus autofluorescence and clinical applications. J Ophthalmic Vis Res. 2021 29;16(3):432-461. doi: 10.18502/jovr.v16i3.9439.
- Alaimo A, Liñares GG, Bujjamer JM, et al. Toxicity of blue LED light and A2E is associated to mitochondrial dynamics impairment in ARPE-19 cells: implications for age-related macular degeneration. Arch Toxicol. 2019;93(5):1401-1415. doi:10.1007/s00204-019-02409-6
- Shaban H, Richter C. A2E and blue light in the retina: the paradigm of age-related macular degeneration. Biol Chem. 2002;383(3-4):537-545. doi:10.1515/BC.2002.054
- Sadda SR, Guymer R, Holz FG, et al. Consensus definition for atrophy associated with age-related macular degeneration on OCT: classification of atrophy report 3. Ophthalmology. 2018;125(4):537-548. doi: 10.1016/j.ophtha.2017.09.028.
- BJ Lujan, P J Rosenfeld, G Gregori, R, et al. Spectral domain optical coherence tomographic imaging of geographic atrophy. Invest Ophthalmol Vis Sci. 2008;49(13):4231. doi: 10.3928/15428877-20090301-16.
- Meleth AD, Mettu P, Agrón E, et al. Changes in retinal sensitivity in geographic atrophy progression as measured by microperimetry. Invest Ophthalmol Vis Sci. 2011;52(2):1119-26. doi: 10.1167/iovs.10-6075.
- Hariri AH, Tepelus TC, Akil H, Nittala MG, Sadda SR. Retinal sensitivity at the junctional zone of eyes with geographic atrophy due to age-related macular degeneration. Am J Ophthalmol. 2016;168:122-128. doi: 10.1016/j.ajo.2016.05.007.
- Nunes RP, Gregori G, Yehoshua Z, Stetson PF, et al. Predicting the progression of geographic atrophy in age-related macular degeneration with SD-OCT en face imaging of the outer retina. Ophthalmic Surg Lasers Imaging Retina. 2013;44(4):344-59. doi: 10.3928/23258160-20130715-06.







