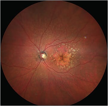
Advanced dry age-related macular degeneration (AMD) (Figure 1) is a leading cause of irreversible vision loss among patients older than 50 years living in developed countries.1 Although anti-VEGF injections have revolutionized the care of patients living with neovascular (wet) AMD, the advanced dry form of AMD — geographic atrophy (GA) — has yet to benefit from such a frame shift in care.2 This will become an increasingly critical issue, because the prevalence of advanced AMD, and its associated morbidity, is expected to increase as the population ages in the United States. One study estimated that by 2050, the number of Americans aged 80 years or older will grow to 82.7 million, nearly the current number of people older than 65 years.3
Thankfully, dozens of compounds and potential therapies are in development to address dry AMD and prevent or slow the vision loss associated with GA. In February 2023, Syfovre (pegcetacoplan; Apellis Pharmaceuticals) received FDA approval, and another drug, avacincaptad pegol (Iveric Bio), may receive FDA approval later this year in 2023. These new therapies will impact retina practices greatly, not only in terms of delivering care to those who need treatment, but also by affecting our referral patterns and management of all patients with dry AMD more broadly. Retina specialists should prepare to adjust their practices to face the changes ahead. Here are some quick tips for practical considerations, which are elucidated further below.
EXISTING PATIENTS
- Find GA patients within the practice by searching the electronic health record or practice management software.
- Send patients a mailer about new therapeutic options recently approved.
- Contact relevant clinical trial patients (including those who failed trial screening).
- Keep or offer sooner appointments for patients already scheduled within 6 months; offer sooner appointments for patients unscheduled or with a longer duration of follow-up.
- Prepare and educate internal staff to be able to talk with patients about new treatment options for GA and direct more in-depth questions to physicians.
- Pay close attention to existing wet AMD patients who may have concurrent GA, and discuss options of concurrent treatment.
REFERRAL PATTERNS
- Mail and distribute patient-directed materials.
- Communicate with and educate referring optometrists and general ophthalmologists.
- Engage strategies to enrich the quality of referrals.
- Establish protocols for how quickly to schedule a new GA referral. This is not urgent as it is with wet AMD, but patients are often anxious.
DISEASE MANAGEMENT
- Consider imaging dry AMD patients with optical coherence tomography (OCT) and fundus autofluorescence (FAF) to establish a baseline from which to monitor progression over time.
- In the clinical trials, patients were treated monthly or every other month (EOM). There will not be an exam or imaging finding to titrate the interval between injections, like there is for wet AMD.
- Optical coherence tomography will retain its importance at each visit to assess for new onset of exudation.4,5 A dilated exam may not be needed, although assessing optic nerve head perfusion after a 100 μL injection is reasonable to consider.
- Fundus autofluorescence may be performed every 6 months to monitor progression.
- Personalize and possibly shorten the interval of follow-up for patients contemplating therapy based on specific characteristics of their disease (eg, prior growth rate of GA, status of fellow eye, proximity to fovea, or visual symptoms).
- Engage existing patients within your practice.
- Determine how you will manage patients with concurrent GA and wet AMD in the same eye (eg, staggered injections, same-day injections with time between, or an anterior-chamber tap to manage IOP).
BUILD A PATIENT DATABASE
When considering how best to quickly capture and bring the GA treatments to affected patients, retina specialists should first look within the existing practice population. Building a database of patients by disease state in anticipation of a newly approved therapy allows a practice to offer new treatments faster. In addition, for practices that participate in clinical trials for GA, the clinical trial database within the practice may be a good starting point to identify patients who have a diagnosis of GA but may not have gone through the clinical trial process due to screen failure or other reasons yet may benefit from approved GA treatments. Even for practices that may not have an existing database of GA patients, depending on the electronic medical record or practice management system that the practice uses, there may be a way to quickly compile a list of patients with the relevant diagnoses.
After identifying existing patients who may benefit from the new treatments, physicians should consider mailing educational materials to these patients about the new GA treatments and encourage them to keep the appointments if the next follow-up is within 6 months or schedule for a sooner appointment if the next visit is further out than 6 months. Some patients may be anxious to know more or consider treatment after reading about the new drugs, so if clinic space allows, patients should be encouraged to call to schedule for sooner appointments even if one exists within 6 months.
Many existing patients in the practice may also hear from commercials, personal research, or word of mouth about new GA treatments. Putting together patient-directed materials such as posters, brochures, and informational handouts within the clinic space may encourage questions and conversations, facilitating patient education. In addition, a 1-page or 2-page handout in language that is easy to understand, clear, and organized, which patients could take home or even pass along to their family members or friends, could be another way to spread the word. These educational materials can also help prepare for an efficient and in-depth conversation at the time of the visit.
In addition to educating patients about new GA treatments, all team members within the practice should be updated and educated about new GA treatment and management options. This will ensure that patients receive a cohesive message across the board and be educated at each step of contact with the practice. All team members should be updated about the new GA treatment indication, mechanism, and, ideally, basic risks and benefits of the treatments. Office managers and scheduling staff should be informed about the proposed timeline to schedule new GA patient appointments as well as follow-up appointments, and the reasoning behind the changes. Additional conversation and Q&A should be encouraged from within the practice to ensure a supportive and educational environment for all.
ENGAGE YOUR REFERRING NETWORK
Outside of the existing patient population, retina specialists can also anticipate a significant increase of GA patient referrals to their clinics for consideration of treatments. Some of these referrals could even be former patients in the practice who had been lost to follow-up and just following up with local comprehensive ophthalmologists or optometrists.
Aside from reviewing referral or consultation notes from colleagues, retina specialists can also facilitate the process by actively reaching out to their referral networks with invitations to talks and presentations; informal conversations, texts, or phone calls; or more traditional doctor-to-doctor letters. The purpose of these communications is to inform and encourage a conversation with the referring providers about the new GA treatments and what to include in their referral messages for effective triaging. One can consider taking advantage of dinner talks sponsored by pharmaceutical companies to invite referral physicians, such as general optometrists, comprehensive ophthalmologists, and low-vision specialists, to an active discussion and education about the new therapies. Be sure to include real-world patient cases and be sure to leave ample time for questions. At the end of these talks and discussions, be sure to leave personal contact information to facilitate future information sharing and patient education. In the real world, information provided by referring providers about new GA treatments frequently are the patients’ first impressions of these therapies, and it is crucial that the patients receive the most accurate and relevant information from the start.
The timeline for getting newly referred GA patients into the clinic is another important practical matter. Traditionally, due to a lack of treatments, new GA referrals do not need to be scheduled nearly as urgently as neovascular AMD patients. However, with newly approved therapies, there is more of an urgency to meet these patients and start having an informed discussion regarding the options of management. Although the efficacy of slower lesion size growth in recent studies was only evident after a year or more of treatments,4 one could argue that for patients whose GA lesions are close to the fovea, earlier treatments could translate to maintenance of central vision. Therefore, the authors recommend that for GA referrals, the new timeline to schedule these patients be shortened to an order of a few weeks rather than a few months.
UPDATE AND FINE TUNE YOUR TREATMENT STRATEGY
Because the treatment outcome for complement inhibitors is GA lesion size measured on FAF, baseline OCT and FAF should be obtained for all GA patients to monitor progression and assess efficacy over time. After a conversation about the treatment options, some patients may opt not to treat at all. Some may ask for more time or information to consider prior to initiation of treatments. Some may want treatment in the future, but not right away. Factors to take into considerations during decision making include the growth rate of GA lesions, status of the fellow eye, lesion location and proximity to the fovea, symptoms affecting daily activities, and personal preferences. It could be beneficial for retina specialists to shorten the interval of follow-up to less than 6 months for patients contemplating therapy or who would otherwise be a good candidate for treatments but do not feel ready right away. Patients who had no interest in treatments should stay in the database of GA patients. The topic of treatment should be revisited when newer or more effective therapies arise. Patient should also be informed that they can change their mind at any point and contact the office as needed should they want to start treatments in the future.
For patients who opt to start treatments, the monthly vs EOM treatment regimens should be discussed and data from clinical trials presented to help patients make informed decisions. Unlike wet AMD treatments for which injection intervals are based on fluid response and disease state, GA treatment does not involve interval titration. However, the authors still recommend OCT imaging at each visit to look for new onset conversion to wet AMD, given an increased conversion rate of 11.9% for monthly and 6.7% for EOM injections at 24 months.4 Dilated examination and FAF imaging could be limited to every 6 months.
CONCLUSION
Although 2023 is already being heralded as the “Year of GA,” the impact of new therapies will be felt long after 2023. The impact on patient care will be profound, and retinal providers in all settings (large group, small group, multispecialty, academic, independent, or owned by private equity) will need to make the necessary adjustments to accommodate this sea change. An exciting time lies ahead for retina care. RP
REFERENCES
- Flaxman SR, Bourne RRA, Resnikoff S, et al. Global causes of blindness and distance vision impairment 1990-2020: a systematic review and meta-analysis. Lancet Glob Health. 2017;5(12):e1221-e1234. doi:10.1016/S2214-109X(17)30393-5
- Joachim N, Mitchell P, Kifley A, Rochtchina E, Hong T, Wang JJ. Incidence and progression of geographic atrophy: observations from a population-based cohort. Ophthalmology. 2013;120(10):2042-2050. doi:10.1016/j.ophtha.2013.03.029
- Rein DB, Wittenborn JS, Zhang X, et al. Forecasting age-related macular degeneration through the year 2050: the potential impact of new treatments. Arch Ophthalmol Chic Ill 1960. 2009;127(4):533-540. doi:10.1001/archophthalmol.2009.58
- Apellis announces 24-month results showing increased effects over time with pegcetacoplan in phase 3 DERBY and oaks studies in geographic atrophy (GA). News release. August 24, 2022. Accessed February 26, 2023. https://investors.apellis.com/news-releases/news-release-details/apellis-announces-24-month-results-showing-increased-effects
- Iveric Bio announces positive topline data from Zimura Gather2 phase 3 clinical trial in geographic atrophy. News release. September 6, 2022. Accessed February 26, 2023. https://investors.ivericbio.com/news-releases/news-release-details/iveric-bio-announces-positive-topline-data-zimurar-gather2-phase







