Although treatments exist for exudative age-related macular degeneration (AMD) that decrease the rate of legal blindness by more than half, prompt detection of exudation early in the disease process has been shown to be necessary to prevent vision loss. But how early is early enough?
In recent years, several investigators have raised the concept of nonexudative macular neovascularization (neMNV), which refers to the detection of new vessels in the sub-retinal pigment epithelial space but with no evidence of fluid on optical coherence tomography (OCT), which raises the question of whether these vessels are truly pathologic and also of the importance of this entity in clinical management. From a clinical perspective, the ability to detect these vessels through noninvasive imaging at a stage when exudation has not occurred and visual function is unimpaired has resulted in debate over whether active interventions are needed or if mere observation would suffice. With respect to the evolution of the nomenclature that has evolved, many terms have been used to describe this quasipathologic entity, including nonexudative MNV, quiescent choroidal neovascularization, or subclinical choroidal neovascularization.
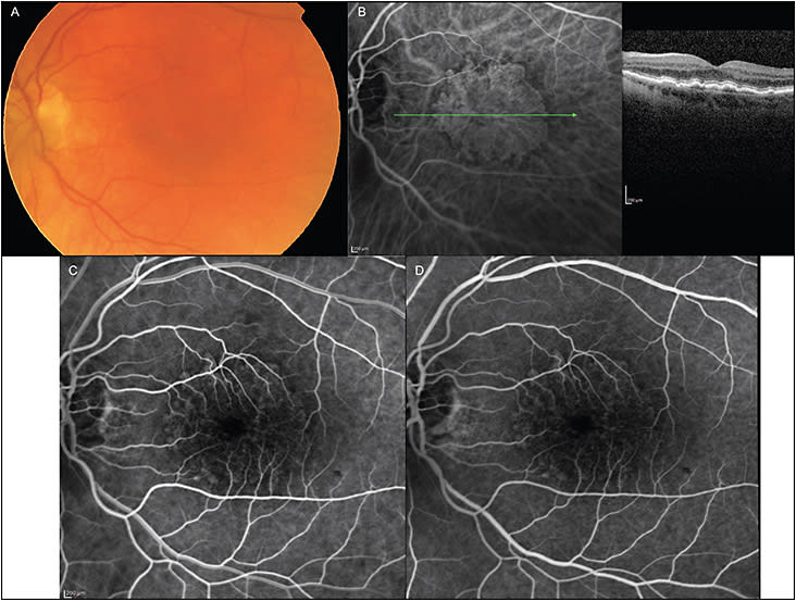
Interestingly, the existence of MNV in eyes without overt features of neovascularization or exudation was shown on histopathology of postmortem eyes as early as the 1970s.1,2 Subsequently, several large case series have reported abnormal indocyanine green (ICG) findings that are consistent with the presence of nonexudative neovascular complexes.3-5 These studies described the appearance of a late staining plaque in the ICG angiographic frames without any leakage detectable on fluorescein angiography, as shown in Figure 1. Interestingly, some eyes with choroidal neovascularization (CNV) of the occult type that leak on fluorescein angiography can form similar plaques on ICG angiography. These correlations, therefore, suggested that the late staining ICG plaques without leakage into the subretinal space were a form of subretinal pigment epithelial dormant neovascular complex.
DETECTION BY RETINAL IMAGING
Optical Coherence Tomography Angiography
A much better understanding of the compartmentalization and localization of new vessels that form in AMD has arisen with 3-dimensional imaging, which has become possible with the introduction of high-resolution OCT. One form of OCT, known as OCT angiography (OCTA), can also provide representations of blood flow and vascular structures. Optical coherence tomography angiography is noninvasive, fast, and safe, and thus can be carried out repeatedly without significant risk to the patient. Its popularity and use in recent years have yielded a wealth of data on the evolution of neovascular AMD, including neMNV.
Palejwala et al examined the unaffected fellow eyes of 32 patients with exudative AMD in 1 eye using an OCTA device.6 Of these, 2 (6%) were found to have a type 1 CNV with OCTA, without leakage on FA or evidence of fluid on the structural OCT. In both of these 2 cases, the MNV were located in the outer retinal/sub-retinal pigment epithelial slab. One case showed a 20% increase of the MNV flow area over 8 months of follow-up with serial OCTA imaging, with no evidence of exudation, and a final VA of 20/25. In a similar study, fellow eyes of patients with nAMD were found to have neMNV on OCTA.7 In this case series, 5 of 34 (14.7%) had neMNV, and the investigators found a trend for increased choriocapillaris nonperfusion (as manifested by a zone of “halo” surrounding the lesion) in exudative eyes compared with the fellow eyes that harbored neMNV (P=.115).
Similar findings on the use of OCTA to detect neMNV were also reported in Asia, where the phenotype of the nAMD lesion is more likely to be polypoidal choroidal vasculopathy.8 Although ICGA detected more cases of neMNV than swept-source OCTA (SS-OCTA), in some cases, OCTA detected lesions that could not be detected by ICGA. This study reported a sensitivity of 50% for OCTA and 71% for ICGA for the detection of neMNV. It is also notable that in a study by Capuano et al in patients with geographic atrophy (GA), OCTA detected a neovascular lesion in 6 of 9 eyes (66%). This lower sensitivity was explained by the strong signal from the choroid in GA, which made the signal from the MNV difficult to distinguish. There is also the possibility that there may be reduced flow in the new vessels in GA, thus precluding their detection by OCTA. However, other investigators have reported high sensitivity for the detection of neovascular complexes using SS-OCTA in eyes with neMNV, but the numbers in all these case series remain small and robust data remain lacking.9
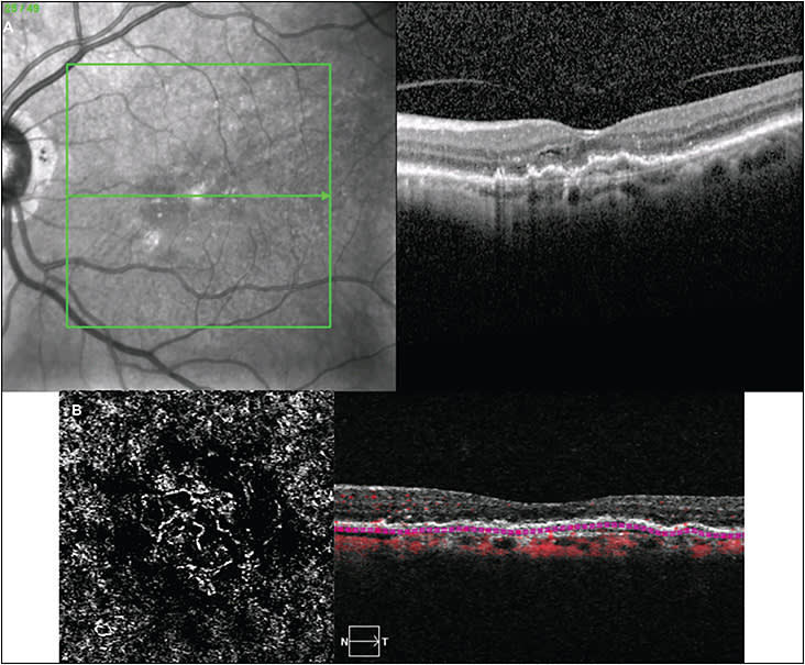
In a systematic review by Laiginhas et al,10 12 publications about the use of OCTA in the context of neMNV were reviewed. The prevalence of subclinical nonexudative neovascular AMD in the fellow eyes of patients with unilateral exudative AMD ranged from 6.25% to 27%. The incidence of exudation in these eyes ranged from 20% to 80% (over 6 months to 2 years of follow-up). We illustrate a case of neMNV using OCTA (Figure 2).
Structural Optical Coherence Tomography
Despite the utility of OCTA to discover neMNV, this imaging modality is still not yet widely available, and its interpretation is poor in inexperienced hands, because user-defined segmentation is frequently necessary to display the appropriate tissue slab for optimal visualization of the neovascular complexes. Spectral-domain OCT (SD-OCT), on the other hand, requires no user manipulation, because most instruments display the retinal layers in exquisite detail, and the pre-set acquisition menus allow the captured images to be visualized as individual B-scans or as a video of the volume scan easily and quickly. Spectral-domain OCT is widely available in most ophthalmic units in the developed and developing world, because these instruments are now affordable.
Several groups have described features of neMNV on OCT.5,11,12 The first report, from Querques et al, described the features of a slightly elevated irregular RPE layer showing a major axis in the horizontal plane in the absence of intraretinal or subretinal fluid, which was characterized by collections of moderately reflective material in the sub-RPE space and clear visualization of the hyper-reflective Bruch’s membrane.
Subsequently, the term “double-layer sign” was applied to this finding and refers to 2 highly reflective layers that correspond to a separation between the RPE and BM. Although first coined by Sato et al to describe polypoidal choroidal vasculopathy using time-domain OCT,13 it was later used to describe type 1 MNV in eyes with nonexudative AMD.11 Shi et al determined the predictive value of the double-layer sign for identifying neMNV in 33 eyes with neMNVs that had been identified using SS-OCTA (used as the gold standard).11 They reported a sensitivity of 88%, specificity of 87%, positive predictive value (PPV) of 76%, and negative predictive value (NPV) of 94%, suggesting that this could be a useful screening tool for neMNV. Later, a study by Narita et al described additional structural OCT signs in patients with neMNV.12 An initial “discovery” cohort of 4 eyes revealed that RPE elevations with a greater transverse linear dimension of 1,000 mm or more, an irregular RPE layer with a height of predominantly less than 100 µm, and nonhomogeneous internal reflectivity within the double layer were highly associated with neMNV. These collective features were termed shallow, irregular RPE elevation (SIRE).
The utility of these collective signs was then assessed in an evaluation cohort of 233 eyes with large drusen, of which 6 (2.6%) had neMNV on OCTA. The sensitivity was 100%, specificity was 92%, PPV was 25%, and NPV was 100% for SIRE. These data suggest that OCT may be a useful, readily available, and more easily interpretable imaging modality than OCTA for the initial identification of neMNV signs.
PATHOPHYSIOLOGY
The role of neMNVs is not clear. It is possible that the presence of a stable neMNV may serve to reduce the rate of progression of RPE atrophy in patients with intermediate AMD, possibly by providing nutritional support for the overlying RPE and photoreceptors. Grossniklaus and Green showed that type 1 MNV has similar histologic features to native choriocapillaris, suggesting that they support overlying RPE and photoreceptors with oxygen exchange, metabolic supply, and hormonal influences.14 Clinical case reports and clinic pathologic correlational studies offer some support for this hypothesis.15
An alternative explanation has been offered by Miller et al.16 This group correlated the morphologic features of experimentally induced MNVs with the amount of fluorescein leakage on FA and showed that subretinal vessels that leaked and those that did not were identical in their ultrastructure. They concluded that the accumulation of fluid over some MNV and its absence over others might be regulated by the extravascular constituents of the subretinal milieu. A further explanation is that neMNV may represent regressed new vessels. Although rare, regression of nAMD lesions has been reported. It is possible that, at least in some of these cases, the imaging features fit the characteristics of MNVs that may have regressed spontaneously.
NATURAL HISTORY
In a prospective study by Carnevali et al, 15 eyes of 14 patients with neMNV due to AMD were followed up longitudinally with OCTA for 1 year, with 3 visits at different time points.17 Fourteen of 15 eyes remained quiescent throughout the follow-up despite the growth of the CNV, which was apparent in 10 of 14 eyes by 12 months. VA remained at approximately 20/25 Snellen equivalent throughout follow-up.
However, in a prospective study using SS-OCTA of fellow eyes of patients with exudative AMD in the first eye, followed up for about 2.5 years, neMNV was observed in 23/160 eyes (14.4%) at baseline,18 and 6 developed neMNV during follow-up. During follow-up of the 13 eyes that developed new-onset exudation, 10 were found to have had neMNV. In all cases that became exudative, there was elevation of the RPE associated with the MNV even before overt exudation developed. The incidence of exudation was 21.1% for eyes with neMNV vs 3.6% in those without, which suggests a 15-fold increase in risk in the former compared to the latter.
CONCLUSIONS AND RECOMMENDATIONS
The recognition of neMNV as a clinical entity creates a dilemma in the management of patients. Should clinicians who find neMNV treat or observe these eyes? One assumption would be that early treatment of neMNV might provide better outcomes by avoiding the possible sequelae of exudation, including fibrosis and disorganization of the outer retina. However, because MNV may play an important role in maintaining and protecting the RPE, using treatments that may cause regression of these vessels may be a double-edged sword and promote the onset of outer retinal atrophy. The only study that randomized patients with nAMD in the first eye to an anti-VEGF treatment or sham in their unaffected fellow eye (PRO-CON) did not show any benefit with treatment.19 At 24 months, 6.35% of injected patients vs 9.38% of sham injection patients developed exudative AMD. Notably, patients with neMNV that was confirmed on OCTA were found to have a higher rate of conversion to exudative AMD, but this rate did not differ by treatment group (27% conversion with aflibercept vs 31% with sham).
An alternative is observation only but with high-frequency monitoring. This approach avoids the secondary consequences of VEGF inhibition. Besides maintaining vessels that nourish the outer retina, VEGF may act indirectly to maintain the integrity of the outer retina by neuroprotection. With respect to high-frequency monitoring, this is unlikely to be a major burden in patients undergoing treatment in the first eye who usually have to attend between 5 and 6 times per year for their treatment. However, in those with bilateral intermediate AMD with neMNV, the burden of intensive review may be viewed with concern in this era of COVID-19, where both visits and clinical examinations may be perceived as imposing unnecessary risk. Because AMD is a disease of older adults with an average age of 80 or greater, the risk of contracting COVID during hospital attendances is clearly a worry, because mortality in this age group is high. Nonetheless, with the development of OCT devices capable of being used in the home and remote monitoring becoming available, the importance of validating structural signs for robust detection of neMNV is currently an unmet need. Furthermore, although expertise in the detection of neMNV is currently restricted to a small group of retinal physicians working in this area, machine-learning algorithms that can reliably detect the signs of neMNV in patients with intermediate AMD offer promise. However, research into developing and validating such technology for use as a screening tool is still in its infancy. RP
REFERENCES
- Sarks SH. New vessel formation beneath the retinal pigment epithelium in senile eyes. Br J Ophthalmol. 1973;57(12):951-965. doi:10.1136/bjo.57.12.951
- Green WR, Key SN 3rd. Senile macular degeneration: a histopathologic study. Trans Am Ophthalmol Soc. 1977;75:180-254. PMID: 613523; PMCID: PMC1311549.
- Schneider U, Gelisken F, Inhoffen W, Kreissig I. Indocyanine green angiographic findings in fellow eyes of patients with unilateral occult neovascular age-related macular degeneration. Int Ophthalmol. 1997;21(2):79-85. doi:10.1023/a:1005848806641
- Hanutsaha P, Guyer DR, Yannuzzi LA, et al. Indocyanine-green videoangiography of drusen as a possible predictive indicator of exudative maculopathy. Ophthalmology. 1998;105(9):1632-1636. doi:10.1016/S0161-6420(98)99030-3
- Querques G, Srour M, Massamba N, et al. Functional characterization and multimodal imaging of treatment-naive “quiescent” choroidal neovascularization. Invest Ophthalmol Vis Sci. 2013;54(10):6886-6892. Published 2013 Oct 21. doi:10.1167/iovs.13-11665
- Palejwala NV, Jia Y, Gao SS, et al. Detection of nonexudative choroidal neovascularization in age-related macular degeneration with optical coherence tomography angiography. Retina. 2015;35(11):2204-2211. doi:10.1097/IAE.0000000000000867
- Treister AD, Nesper PL, Fayed AE, Gill MK, Mirza RG, Fawzi AA. Prevalence of subclinical CNV and choriocapillaris nonperfusion in fellow eyes of unilateral exudative AMD on OCT angiography. Transl Vis Sci Technol. 2018;7(5):19. doi:10.1167/tvst.7.5.19
- Yanagi Y, Mohla A, Lee WK, et al. Prevalence and risk factors for nonexudative neovascularization in fellow eyes of patients with unilateral age-related macular degeneration and polypoidal choroidal vasculopathy. Invest Ophthalmol Vis Sci. 2017;58(9):3488-3495. doi:10.1167/iovs.16-21167
- Roisman L, Zhang Q, Wang RK, et al. Optical coherence tomography angiography of asymptomatic neovascularization in intermediate age-related macular degeneration. Ophthalmology. 2016;123(6):1309-1319. doi:10.1016/j.ophtha.2016.01.044
- Laiginhas R, Yang J, Rosenfeld PJ, Falcão M. Nonexudative macular neovascularization - a systematic review of prevalence, natural history, and recent insights from OCT angiography. Ophthalmol Retina. 2020;4(7):651-661. doi:10.1016/j.oret.2020.02.016
- Shi Y, Motulsky EH, Goldhardt R, et al. Predictive value of the OCT double-layer sign for identifying subclinical neovascularization in age-related macular degeneration. Ophthalmol Retina. 2019;3(3):211-219. doi:10.1016/j.oret.2018.10.012
- Narita C, Wu Z, Rosenfeld PJ, et al. Structural OCT signs suggestive of subclinical nonexudative macular neovascularization in eyes with large drusen. Ophthalmology. 2020;127(5):637-647. doi:10.1016/j.ophtha.2019.11.007
- Sato T, Kishi S, Watanabe G, Matsumoto H, Mukai R. Tomographic features of branching vascular networks in polypoidal choroidal vasculopathy. Retina. 2007;27(5):589-594. doi:10.1097/01.iae.0000249386.63482.05
- Grossniklaus HE, Green WR. Choroidal neovascularization. Am J Ophthalmol. 2004;137(3):496-503. doi:10.1016/j.ajo.2003.09.042
- Chen L, Messinger JD, Sloan KR, et al. Nonexudative macular neovascularization supporting outer retina in age-related macular degeneration: a clinicopathologic correlation. Ophthalmology. 2020;127(7):931-947. doi:10.1016/j.ophtha.2020.01.040
- Miller H, Miller B, Ryan SJ. Newly-formed subretinal vessels: fine structure and fluorescein leakage. Invest Ophthalmol Vis Sci. 1986;27:204.
- Carnevali A, Sacconi R, Querques L, et al. Natural history of treatment-naïve quiescent choroidal neovascularization in age-related macular degeneration using oct angiography. Ophthalmol Retina. 2018;2(9):922-930. doi:10.1016/j.oret.2018.02.002
- de Oliveira Dias JR, Zhang Q, Garcia JMB, et al. Natural history of subclinical neovascularization in nonexudative age-related macular degeneration using swept-source OCT angiography. Ophthalmology. 2018;125(2):255-266. doi:10.1016/j.ophtha.2017.08.030
- Heier JS. Prophylaxis intravitreal aflibercept against conversion to neovascular age-related macular degeneration in high risk eyes (PRO-CON): 24-month results. Presented at: American Society of Retina Specialists annual meeting; July 27-30, 2019; Chicago.







