The last decade has seen advances in spectral-domain optical coherence tomography (SD-OCT) imaging, and, just as important, intensive interpretation of OCT images with correlation to fluorescein angiography (FA), indocyanine green angiography (ICG), and fundus photography. In turn, we can directly and indirectly decipher incredible amounts of information from OCT alone. A keen interpretation of OCT can help differentiate classic exudative AMD from polypoidal choroidal vasculopathy (PCV) and central serous chorioretinopathy (CSCR). We can decipher neovascularization lesion type. Finally, we can prognosticate vision outcomes based on certain OCT biomarkers.
OCT-angiography (OCT-A) imaging has added a new understanding to neovascular AMD, which is further subclassified as nonexudative neovascular AMD and exudative neovascular AMD. This stratification helps us understand risk of progression and may alter the way in which we follow these patients.
Fundus photography, FA, and ICG are not obsolete, however. While these imaging tools may be secondary in our imaging armamentarium, they serve as useful adjuncts for patient education and correlation with OCT images, and they may provide some keen insights when patients are not responding to treatment as anticipated.
IMAGING THE EXUDATIVE NEOVASCULAR AMD PATIENT
Our primary objectives when we first see an exudative patient are as follows:
- What is the disease that we are treating (exudative AMD, PCV, or CSCR with secondary neovascularization)?
- What is the neovascularization type (Types 1, 2, 3, or mixed)? This provides an understanding of visual prognosis, and how aggressive we need to be in terms of treating patients with anti-VEGF.
- What imaging biomarkers that portend a positive or poor prognosis can we use to better counsel the patient?
When establishing the diagnosis of exudative AMD, we would ideally like to see drusen and a relatively thin-to-normal choroidal thickness in both eyes. If there is hemorrhage or exudation out of proportion to what we expect, this may raise the possibility of PCV. In cases of PCV, we look for orange nodules clinically on exam, or OCT features, such as a peaked pigment epithelial detachment (PED), sub-RPE ring-like lesions, and an adjacent double layer sign (splitting of the RPE and Bruch’s membrane, which frequently harbors neovascular tangled vascular networks).1 Indocyanine green angiography, of course, remains a gold standard, and can clearly demonstrate the classic polyps when in doubt.
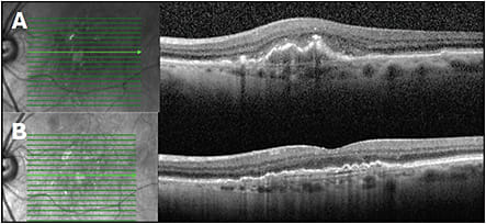
As for chronic CSCR, we would ideally like to see the absence of drusen, bilateral RPE changes, and the absence of neovascularization on OCT-A (Figure 1). Fundus autofluoresence may also be very helpful to demonstrate guttering hypo- and hyperautofluorescent changes, which help confirm the diagnosis (Figure 2).
Classic neovascularization (NV), occult NV, and retinal angiomatous proliferation have been well-established by FA. This year, Steinle et al., performing an imaging post hoc analysis of the VIEW1/2 aflibercept for AMD studies, demonstrated that CNV type and total CNV size influenced visual and anatomic outcomes in responses to anti-VEGF therapy.2
OCT, however, also has the ability to clearly provide information on lesion type. Type 1, Type 2, and Type 3 lesions on OCT correspond to occult, classic, and RAP lesions, respectively.3 Additionally, OCT provides anatomic details of where the fluid is and whether there may be hemorrhage or fibrin on exam corresponding to subretinal hyperreflective material. (Figure 3).
OCT-based anatomy has provided us some understanding of long-term prognoses. Imaging analyses have consistently demonstrated that eyes with intraretinal fluid (IRF) have worse visual prognoses than eyes with only subretinal fluid (SRF).4-6 Although anti-VEGF therapy does not target IRF preferentially over SRF, we have adopted the practice of being much more aggressive on anti-VEGF therapy with a shorter treatment interval in patients with intraretinal fluid.
Correspondingly, when patients have stable SRF only, we are more comfortable to continue a tentative treat-and-extend (TAE) regimen. Evidence supporting this strategy comes from the randomized clinical trial, FLUID, which demonstrated similar visual outcomes when comparing a TAE regimen with permissive SRF vs. a more aggressive TAE tolerating absolutely no SRF or IRF.7
IMAGING THE NONEXUDATIVE NEOVASCULAR AMD PATIENT
The neovascular nonexudative AMD patient was recently defined by OCT-A. This classification refers to eyes with clear evidence of Type 1 NV seen on OCT-A without IRF or SRF on cross-sectional OCT. Rosenfeld et al., comparing eyes with neovascular nonexudative AMD with non-exudative AMD without neovascularization, demonstrated a 13.6-fold increased relative risk of converting to exudation in the first 2 years after detection.8
Although it may seem intuitive to prophylactically treat these patients with anti-VEGF, the PRO-CON study, evaluating quarterly aflibercept therapy vs. observation in patients with neovascular nonexudative AMD, demonstrated no benefit with treatment.9 Thus, best evidence supports no anti-VEGF therapy and potentially following these patients a bit closer than our intermediate AMD patients.10
Additionally, this is likely an ideal population for using at-home monitoring devices, such as the ForeseeHome device (Notal Vision), to detect earlier conversion to exudation.
CASE STUDY
Rarely, CSCR may coexist with nonexudative AMD, and differentiating exudative AMD vs. CSCR with or without CNV may be difficult. We present here a challenging patient case in which OCT and OCT-A were able to identify a patient with intermediate AMD of the right eye and CSCR with indolent secondary Type 1 neovascularization of the left eye super-imposed on intermediate AMD.
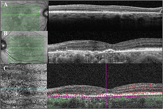
Clinical fundus exam demonstrated intermediate drusen of both eyes with pigment changes in the left eye and no hemorrhage. Figures 4A, 4B highlight the foveal cross-sectional OCTs of the right and left eye, respectively. The right eye demonstrates small drusenoid PEDs. This is notably overlying a thickened choroid with enlarged or pachyvessels. The left eye demonstrates SRF in excess to what would be expected for exudative AMD. There is also a confluent row of PEDS forming a double-layer sign.
OCT-A (Figure 4C) of the left eye, segmented at the level of the choriocapillaris, demonstrates Type 1 neovascularization at the nasal side of the PED. Note, cross-sectional flow overlay signals help to localize this to the sub-RPE space. The SRF has waxed and waned over 2 years, while maintaining stable vision of 20/50. Figure 4D demonstrates a spontaneous reduction in the amount of SRF.
The patient has only received two anti-VEGF therapies over 2 years. Certainly, imaging in this case dramatically altered his injection burden and understanding of his disease. ◆
REFERENCES:
- Cheung CMG, Lai TYY, Teo K, et al. Polypoidal choroidal vasculopathy: consensus nomenclature and non-indocyanine green angiograph diagnostic criteria from the Asia-Pacific Ocular Imaging Society PCV Workgroup. Ophthalmology. 2021;128(3):443-452.
- Steinle NC, Du W, Gibson A, Saroj N. Outcomes by baseline choroidal neovascularization features in age-related macular degeneration: A post hoc analysis of the VIEW studies. Ophthalmol Retina. 2021;5(2):141-150.
- Freund KB, Zweifel SA, Engelbert M. Do we need a new classification for choroidal neovascularization in age-related macular degeneration? [published correction appears in Retina. 2011;31(1):208]. Retina. 2010;30(9):1333-1349.
- Ritter M, Simader C, Bolz M, et al. Intraretinal cysts are the most relevant prognostic biomarker in neovascular age-related macular degeneration independent of the therapeutic strategy. Br J Ophthalmol. 2014;98(12):1629-1635.
- Gianniou C, Dirani A, Jang L, Mantel I. Refractory intraretinal or subretinal fluid in neovascular age-related macular degeneration treated with intravitreal ranizubimab: Functional and structural outcome. Retina. 2015;35:1195-1201.
- Bhavsar KV, Freund KB. Retention of good visual acuity in eyes with neovascular age-related macular degeneration and chronic refractory subfoveal subretinal fluid. Saudi J Ophthalmol. 2014;28:129-133.
- Arnold JJ, Markey CM, Kurstjens NP, Guymer RH. The role of sub-retinal fluid in determining treatment outcomes in patients with neovascular age-related macular degeneration: a Phase IV randomised clinical trial with ranibizumab: The FLUID study. BMC Ophthalmol. 2016;16:31.
- Yang J, Zhang Q, Motulsky EH, et al. Two-year risk of exudation in eyes with nonexudative age-related macular degeneration and sub-clinical neovascularization detected with swept-source optical coherence tomography angiography. Am J Ophthalmol. 2019;208:1-11.
- Heier JS. Prophylaxis intravitreal aflibercept against conversion to neovascular age-related macular degeneration in high risk eyes (PRO-CON): 24-month results. Presented at: ASRS annual meeting; July 27-30, 2019; Chicago.
- Laiginhas R, Yang J, Rosenfeld PJ, Falcão M. Nonexudative macular neovascularization—a systematic review of prevalence, natural history, and recent insights from OCT angiography. Ophthalmol Retina. 2020;4(7):651-661.







