When making a diagnosis or determining retinal disease severity, ophthalmologists specializing in retinal diseases have the advantage of visualizing retinal tissue and utilizing imaging technologies with micron-level resolution. In contrast, the gold standard for the diagnosis of dementias such as Alzheimer disease (AD) remains neuropathology, which is only available if the patient expires and proceeds to brain autopsy. For neurologists, the diagnosis and management of patients with dementia is currently challenged by inadequate biomarkers for the underlying pathology.
This issue becomes especially complex because different dementias, each with its own specific neuropathology, can have overlapping clinical presentations. For example, AD can present with behavioral or speech abnormalities in the absence of the typical deficit in memory. Atypical presentations of AD are especially common among those with early-onset AD, when the diagnosis is made at the age of 65 years or less.1 Given that the retina is an easily imaged extension of the brain, retinal imaging has unique potential to improve the diagnosis of the underlying neuropathology in patients with dementias. In this article, we will discuss retinal imaging for neurodegenerative conditions, focusing on AD and frontotemporal degeneration (FTD).
THE POTENTIAL TO IDENTIFY DISEASE EARLIER
In 1986, Hinton and colleagues demonstrated that AD patients have abnormal thinning of the retinal nerve fiber layer and a reduction in the number of retinal ganglion cells.2 This pathology was shown with histopathology of the optic nerves and retinas from AD patients. As OCT developed, several groups found that AD patients have inner retinal thinning (retinal nerve fiber layer and retinal ganglion cell layer thinning) using both retinal scans through the macula and peripapillary OCT.3-5 This finding was in line with the histopathologic data and demonstrated the potential for OCT to provide a biomarker for AD neuropathology.
Studies have also suggested that inner retina thinning correlates with disease severity.4,5 The exact mechanism causing inner retina thinning is not fully understood, although some have hypothesized that it is related to amyloid-beta.6 Alternative methods of retinal imaging have also been investigated, including studies of retinal vascular changes related to AD, choroidal thinning in AD, and fluorescence imaging of amyloid-beta.7-9 Reports by Koronyo-Hamaoui et al demonstrating the ability to use fluorescence imaging to visualize amyloid-beta within the retina after the oral administration of curcumin has been a subject of particular interest.8,10 According to these studies, curcumin binds to amyloid-beta and is a plaque-labeling fluorochrome, enabling noninvasive in vivo imaging of retinal amyloid-beta in humans. Additional studies to develop this technique are ongoing. There would be great value if the retina could be used to diagnose dementia in early stages when treatments would have the best chance of changing the course of the disease.
INNER RETINA THINNING AND NEURODEGENERATIVE DISEASE
Interestingly, inner retina thinning has also been found in some other neurodegenerative diseases, including multiple sclerosis, dementia with Lewy bodies, multiple system atrophy, and amyotrophic lateral sclerosis (Lou Gehrig disease)5,11-13 Balcer et al demonstrated inner retina thinning in multiple sclerosis,11 which makes sense because multiple sclerosis can affect the optic nerves. Among these diseases, the use of OCT for multiple sclerosis is the most advanced, as OCT is used as an outcome measure in clinical trials for this disease and has utility during the clinical management of optic neuritis.14
Frontotemporal degeneration is an understudied dementia that is recognized to be of growing significance. It is as common as AD in people younger than 65 years old, and it is a leading cause of dementia among the middle-aged population, with an estimated prevalence of 15 to 22 in 100,000.15 FTD actually is an umbrella term for a group of diseases that can present with behavioral, speech, and/or motor abnormalities associated with forms of frontotemporal lobar degeneration (FTLD) neuropathology (FTD neuropathology is referred to as FTLD).16 Importantly, the clinical presentation of FTD can overlap with that of AD, as both dementias can have variable neurologic manifestations. In fact, up to 30% of patients clinically diagnosed with FTD are later found to have AD at the time of autopsy.17-19
Therapies for AD are limited, and there is no FDA-approved therapy for FTD, which means that patients with underlying AD neuropathologies misdiagnosed as FTD may be withheld from appropriate treatments, while those with underlying FTLD neuropathologies misdiagnosed as AD may be unnecessarily exposed to the side effects of AD drugs.20 Therefore, there is a tremendous need for biomarkers that can distinguish the neuropathological substrate for these dementias ante mortem. The neurology field has advanced to produce a validated cerebrospinal fluid (CSF) marker for AD (total tau:amyloid-beta),21 and positron emission tomography (PET) imaging with a radiotracer for amyloid-beta can also help to distinguish AD patients from controls without dementia.22 However, these biomarkers are both invasive, lumbar punctures have associated risks and contraindications (eg, anticoagulation), and PET imaging is costly. Further, secondary AD copathologies are common in other neurodegenerative disorders, such as Lewy body disease, and in older patients with FTD, causing altered levels of these AD-specific biomarkers.23,24 Thus, FTD-specific biomarkers are clearly needed.16
OUTER RETINA THINNING AND NEURODEGENERATIVE DISEASE
In contrast to the inner retina thinning associated with AD, we found outer retina thinning (photoreceptor layers) only in a group of deeply phenotyped FTD patients.25 We performed OCT on 27 consecutive FTD patients who were carefully phenotyped by neurologists at the Penn FTD Center by discussing diagnoses in a consensus conference, performing genetic analyses, and excluding AD with the CSF total tau:amyloid-beta biomarker. These patients were compared to 44 consecutively enrolled normal controls. All participants underwent a dilated eye exam to exclude confounding eye diseases. Statistically adjusting for age, sex, and race, FTD patients had a thinner outer retina than the controls (132 vs 142 μm, P=.004). FTD patients also had a thinner outer nuclear layer (ONL) (88.5 vs 97.9 μm, P=.003) and ellipsoid zone (EZ) (14.5 vs 15.1 μm, P=.009) than the controls but had similar thicknesses to the controls for the inner retinal layers.
FTD is primarily composed of 2 types of FTLD neuropathology. Approximately half are related to intracellular inclusions composed of the microtubule-binding protein tau (ie, FTLD-tau) or inclusions containing the DNA-binding protein TDP-43 (TAR DNA-binding protein-43, ie, FTLD-TDP).16 Except for only a few clinical syndromes that are predictive of the underlying pathology, it is not possible to differentiate these 2 distinct forms of underlying FTLD neuropathology based on the clinical presentation of an FTD patient. As pharmacologic therapies aimed at tau or TDP-43 develop and enter clinical trials, it is critical to develop biomarkers specific for these proteinopathies.
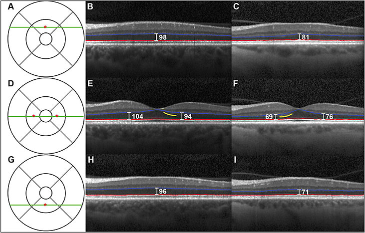
By examining our subset of patients with clinical syndromes specific for FTLD-tau or FTLD-TDP and using genetic data for patients with identifiable mutations, we categorized our FTD patients into subgroups of predicted molecular pathology (tauopathy, TDP-43, unknown). We found that the predicted tauopathy subgroup (N=19 patients, 31 eyes) also had a thinner ONL (88.7 vs 97.4 μm, P=.01) and EZ (14.4 vs.15.1 μm, P=.01) than controls. Other subgroups (FTLD-TDP, N=2; unknown pathology, N=6) were too small for meaningful analysis.25 An example of ONL thinning in an FTD patient with a MAPT (tau) mutation compared to a control is shown (Figure).
Finally, we investigated whether the outer retina thickness correlates with disease severity. We found that the outer retina thickness of patients was correlated with a measurement of global cognition (the Folstein Mini-Mental State Exam)27 (Spearman’s r=0.44, P=.03).25 Patients with a thinner outer retina had worse Mini-Mental State Exam results. This finding suggests that outer retina thickness may have prognostic utility for FTD.
With a group of FTD patients primarily composed of predicted tauopathy patients, we have shown that the outer retina thickness has potential as a diagnostic biomarker for FTD. While it is possible for AD patients to have ONL abnormalities along with inner retina abnormalities,10 we found outer retina thinning without inner retina abnormalities in our group of FTD patients. Microtubule function is known to be critical for photoreceptors,28,29 and data from the lab of Josh Dunaief, MD, at the University of Pennsylvania have shown that a microtubule-associated protein abnormality in mice can lead to outer retina abnormalities detectable by OCT.30
We hypothesize that our finding of photoreceptor layer (outer retina) thinning may be caused by abnormalities in the microtubule-associated protein tau. Further studies directly comparing large groups of FTD and AD patients are needed, as well as studies directly comparing tauopathy patients with TDP-43 proteinopathy patients. Additionally, we recommend OCT studies that carefully phenotype dementia patients and follow patients longitudinally, ultimately to autopsy, which is not an easy task. Such studies are needed to further develop the potential of OCT for these diseases.
CONCLUSION
While clinical presentations can overlap, AD and FTD have specific neuropathologies. Our recent findings add significantly to a growing body of evidence, suggesting that specific neurodegenerative diseases may have specific retinal pathologies. Together, these data indicate that OCT retinal imaging, and perhaps technologies beyond OCT, have strong potential as a biomarker for dementia. RP
REFERENCES
- Mendez MF. Early-onset Alzheimer disease. Neurol Clin. 2017;35:263-281.
- Hinton DR, Sadun AA, Blanks JC, Miller CA. Optic-nerve degeneration in Alzheimer’s disease. N Engl J Med. 1986;315:485-487.
- Coppola G, Di Renzo A, Ziccardi L, et al. Optical coherence tomography in Alzheimer’s disease: a meta-analysis. PLoS One. 2015;10:e0134750.
- Garcia-Martin E, Bambo MP, Marques ML, et al. Ganglion cell layer measurements correlate with disease severity in patients with Alzheimer’s disease. Acta Ophthalmol. 2016;94:e454-459.
- Moreno-Ramos T, Benito-Leon J, Villarejo A, Bermejo-Pareja F. Retinal nerve fiber layer thinning in dementia associated with Parkinson’s disease, dementia with Lewy bodies, and Alzheimer’s disease. J Alzheimers Dis. 2013;34:659-664.
- Liu B, Rasool S, Yang Z, et al. Amyloid-peptide vaccinations reduce {beta}-amyloid plaques but exacerbate vascular deposition and inflammation in the retina of Alzheimer’s transgenic mice. Am J Pathol. 2009;175:2099-2110.
- Gharbiya M, Trebbastoni A, Parisi F, et al. Choroidal thinning as a new finding in Alzheimer’s disease: evidence from enhanced depth imaging spectral domain optical coherence tomography. J Alzheimers Dis. 2014;40:907-917.
- Koronyo-Hamaoui M, Koronyo Y, Ljubimov AV, et al. Identification of amyloid plaques in retinas from Alzheimer’s patients and noninvasive in vivo optical imaging of retinal plaques in a mouse model. Neuroimage. 2011;54(Suppl 1):S204-S217.
- Cheung CY, Ong YT, Ikram MK, Chen C, Wong TY. Retinal microvasculature in Alzheimer’s disease. J Alzheimers Dis. 2014;42(Suppl 4):S339-S352.
- Koronyo Y, Biggs D, Barron E, et al. Retinal amyloid pathology and proof-of-concept imaging trial in Alzheimer’s disease. JCI Insight. 2017;2.
- Fisher JB, Jacobs DA, Markowitz CE, et al. Relation of visual function to retinal nerve fiber layer thickness in multiple sclerosis. Ophthalmology. 2006;113:324-332.
- Volpe NJ, Simonett J, Fawzi AA, Siddique T. Ophthalmic manifestations of amyotrophic lateral sclerosis (an American Ophthalmological Society thesis). Trans Am Ophthalmol Soc. 2015;113:T12.
- Mendoza-Santiesteban CE, Palma JA, Martinez J, Norcliffe-Kaufmann L, Hedges TR 3rd, Kaufmann H. Progressive retinal structure abnormalities in multiple system atrophy. Mov Disord. 2015;30:1944-1953.
- Petzold A, Balcer LJ, Calabresi PA, et al. Retinal layer segmentation in multiple sclerosis: a systematic review and meta-analysis. Lancet Neurol. 2017;16:797-812.
- Onyike CU, Diehl-Schmid J. The epidemiology of frontotemporal dementia. Int Rev Psychiatry. 2013;25:130-137.
- Irwin DJ, Cairns NJ, Grossman M, et al. Frontotemporal lobar degeneration: defining phenotypic diversity through personalized medicine. Acta Neuropathol. 2015;129:469-491.
- Irwin DJ, Trojanowski JQ, Grossman M. Cerebrospinal fluid biomarkers for differentiation of frontotemporal lobar degeneration from Alzheimer’s disease. Front Aging Neurosci. 2013;5:6.
- Kertesz A, McMonagle P, Blair M, Davidson W, Munoz DG. The evolution and pathology of frontotemporal dementia. Brain. 2005;128:1996-2005.
- Knibb JA, Xuereb JH, Patterson K, Hodges JR. Clinical and pathological characterization of progressive aphasia. Ann Neurol. 2006;59:156-165.
- Boxer AL, Knopman DS, Kaufer DI, et al. Memantine in patients with frontotemporal lobar degeneration: a multicentre, randomised, double-blind, placebo-controlled trial. Lancet Neurol. 2013;12:149-156.
- Irwin DJ, McMillan CT, Toledo JB, et al. Comparison of cerebrospinal fluid levels of tau and Abeta 1-42 in Alzheimer disease and frontotemporal degeneration using 2 analytical platforms. Arch Neurol. 2012;69:1018-1025.
- Johnson KA, Minoshima S, Bohnen NI, et al. Appropriate use criteria for amyloid PET: a report of the Amyloid Imaging Task Force, the Society of Nuclear Medicine and Molecular Imaging, and the Alzheimer’s Association. Alzheimers Dement. 2013;9:e-1-16.
- Irwin DJ, Grossman M, Weintraub D, et al. Neuropathological and genetic correlates of survival and dementia onset in synucleinopathies: a retrospective analysis. Lancet Neurol. 2017;16:55-65.
- Irwin DJ, Lleo A, Xie SX, et al. Ante mortem cerebrospinal fluid tau levels correlate with postmortem tau pathology in frontotemporal lobar degeneration. Ann Neurol. 2017;82:247-258.
- Kim BJ, Irwin DJ, Song D, et al. Optical coherence tomography identifies outer retina thinning in frontotemporal degeneration. Neurology. 2017;89:1604-1611.
- Ouyang Y, Walsh AC, Keane PA, Heussen FM, Pappuru RK, Sadda SR. Different phenotypes of the appearance of the outer plexiform layer on optical coherence tomography. Graefes Arch Clin Exp Ophthalmol. 2013;251:2311-2317.
- Folstein MF, Folstein SE, McHugh PR. “Mini-mental state.” A practical method for grading the cognitive state of patients for the clinician. J Psychiatr Res. 1975;12:189-198.
- Liu Q, Tan G, Levenkova N, et al. The proteome of the mouse photoreceptor sensory cilium complex. Mol Cell Proteomics. 2007;6:1299-1317.
- Rachel RA, Li T, Swaroop A. Photoreceptor sensory cilia and ciliopathies: focus on CEP290, RPGR and their interacting proteins. Cilia. 2012;1:22.
- Song D, Grieco S, Li Y, et al. A murine RP1 missense mutation causes protein mislocalization and slowly progressive photoreceptor degeneration. Am J Pathol. 2014;184:2721-2729.







