Retinoblastoma Treatment in 2016: Changes in the 20th Century Paradigm
The new century has brought new treatment protocols.
DAVID H. ABRAMSON, MD, FACS
At the beginning of the 20th century, retinoblastoma management was limited to enucleation/exenteration of one or both eyes. The diagnosis was often made late and even more often incorrectly. Some patients survived (survival attained approximately 15% by 1915), but no eyes were salvaged.1
Although the first publication suggesting that external beam irradiation could cure intraocular retinoblastoma appeared in 1903,2 radiation was not performed often until Reese in the United States and Stallard in the United Kingdom began their work.
Radiation was only used for bilateral cases, and the standard management was enucleation of the more advanced eye and radiation of the less advanced eye.3,4 Unilateral retinoblastoma was still managed with enucleation only.
Experience with different techniques and the realization that initial doses were curative but simply too high for the skin, bones, and eyes resulted in radiation doses being progressively lowered from approximately 20,000 cGy to 15,000 cGy and then 11,000 cGy and, finally by the 1960s, to 7,500 cGy.
By the mid-1950s, 50% of radiated patients survived.5 With the introduction of the linear accelerator in the 1960s, more focused delivery became possible, and eyes were salvaged with some level of vision.6 Cataracts and dry eye continued to be a problem, as did alterations in bone growth, but patients and eyes survived.
David H. Abramson, MD, FACS, is chief of the Ophthalmic Oncology Service at Memorial Sloan Kettering Cancer Center and professor of ophthalmology at Weill-Cornell Medical School, both in New York, NY. He reports no financial interests in products mentioned in this article. Dr. Abramson can be reached via e-mail at abramsod@mskcc.org.
Slowly clinicians began radiating both eyes in selected cases. By the 1980s, half of the patients with bilateral retinoblastoma retained one eye, one-quarter retained both eyes, and one-quarter lost both eyes.7 Still, Reese and then Duke-Elder emphasized that radiation was for bilateral cases only, and all unilateral cases should “be enucleated.”1
BEYOND RADIATION
With the introduction of photocoagulation by Meyer-Schwickerath in 19598 and cryotherapy by Lincoff 10 years later,9 clinicians had tools to treat small tumors successfully. In general, photocoagulation was used for small tumors posterior to the equator and cryo for those anterior to the equator. The success rate for tumors smaller than 3 mm was high, but unfortunately, the number of eyes with only small tumors was small.10
Stallard introduced radioactive cobalt plaques in the 1930s,2 and for 30 years, he was the only person using them.4 They came to the US in 1969. Plaques proved to be very effective in select cases, although radiation damage was common (affecting vision and ocular survival).
Most clinicians worldwide used them primarily for eyes that had recurrences after other techniques had been used as primary management.11,12 Very select cases of unilateral retinoblastoma were successfully managed in the 1980s with external beam irradiation, but still 95% of unilateral cases were primarily enucleated.13
In 1986, the retinoblastoma gene was cloned,14 and within a few years, it was evident that all children with bilateral retinoblastoma had a germline mutation that unfortunately made them sensitive to radiation and influenced the development of nonocular (usually fatal) cancers.
While these children developed second cancers without radiation, external beam radiation shortened the natural latent period and induced more second cancers in the field of radiation.15 The consequence was shortened life span. Thus, the precise modality that saved lives in the earlier part of the 20th century shortened life span in the second half of the same century.16
SYSTEMIC CHEMOTHERAPY
In an attempt to minimize the use of radiation, clinicians worldwide turned to systemic chemotherapy as an alternative to radiation for eyes with retinoblastoma. For eyes with minimal disease and small discrete tumors, systemic chemotherapy caused reduction in size of the tumor, allowing it to be destroyed with focal laser and or cryotherapy.17
By itself, chemotherapy was rarely (if ever) curative. Unfortunately, 75% of eyes seen worldwide have either vitreous or subretinal seeding, and these eyes have fared poorly with systemic chemotherapy. Although dramatic responses were seen within only one cycle of intravenous chemotherapy, once the chemotherapy was finished, regrowth was near universal.
By the end of the 20th century, more than 95% of unilateral eyes were being removed, and more than 90% of bilateral eyes with extensive vitreous or subretinal seeding also came to enucleation.
These statistics have been completely reversed as a result of the introduction of intra-arterially and intravitreally delivered chemotherapy. Both of these techniques were introduced in the 20th century.
Initial Experiences
Intra-arterial chemotherapy was first performed by Reese more than 50 years ago. He treated 42 patients by direct puncture of the internal carotid artery (on the side to be treated) and the delivery of triethylene melamine (TEM), an alkylating agent.1
We now know that little of the injected drug got into the eye, and the effect seen was probably a consequence of intravenous drug delivery. He did not use this technique alone because he thought that the addition of chemotherapy delivered in this way would allow him to lower the dose of radiation used. All of the eyes that received intracarotid injection also received external beam radiation.
The technique was abandoned. In the 1950s, the bone marrow suppression that was a consequence of this chemotherapy was difficult to manage, and the ability to treat secondary infections was limited because of limitations in antibiotic/antifungal therapy. In addition, Reese had devastating complications from the carotid injections.
Japanese Innovations
The Japanese picked up the technique and made important modifications to drug delivery.18 In Japan, the recommendation to enucleate an eye is often rejected and families would choose no treatment (and death) rather than potential survival with enucleation. As a result, the Japanese began treating eyes not with the hope of retaining vision but because, if they could cure the eye, they would save a life (and they did).
The technique they developed utilized a mini-Foley-like catheter, which was (usually) fed from the femoral artery into the carotid artery up to immediately beyond the exit of the ophthalmic artery. The minibaloon was inflated and the drug injected just posteriorly.19
The Japanese determined that melphalan was the most effective drug,20 worked out appropriate doses, and called it “selective ophthalmic artery infusion of chemotherapy.” Their ocular retention and patient survival rates were high.
All of the eyes that received this form of intra-arterial chemotherapy received additional therapy. Half received external beam irradiation, many received concurrent hyperthermia, and most also received intravitreal therapy with periocular melphalan.19
The New York Experience
Ten years ago, our group in New York further modified the technique. Using smaller (and different) catheters, we also gained access through the femoral artery but were able to get our smaller catheters just to the orifice of the ophthalmic artery and deliver drug.21
We built on the Japanese experience and used melphalan but also introduced the use of carboplatin and topotecan. Combinations of these drugs were used (that is, one, two, or three drugs were delivered in the same session). Unlike the Japanese, we did not use hyperthermia or external beam irradiation in these eyes, and we demonstrated that these drugs could cure retinoblastoma alone.
Because the technique is like surgery, requiring a team, equipment, planning, and the management of challenging situations, we called this technique “ophthalmic artery chemosurgery” (OAC).
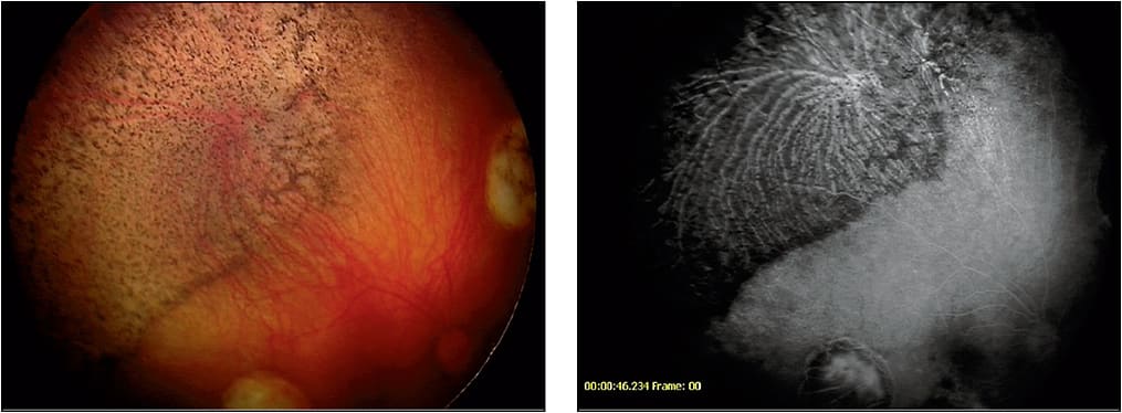
This technique is now in use worldwide, and our results have been replicated on nearly every continent (Figure 1). The impact on management is profound. Here is a summary of the worldwide experience with this one hour-long technique.
Figure 1. Before (left) and after (right) intra-arterial chemotherapy for Group D retinoblastoma with seeding.
1. It can be performed worldwide in developed and developing nations.22
2. The infusion of chemotherapy takes an hour and is performed on an outpatient basis.
3. Clinically significant neutropenia/fever or need for transfusion develops in only 1% of patients.23
4. A new reflex was discovered. When the catheter approaches, the ophthalmic artery of approximately 20% of children had sudden diminution in tidal volume. This complication can be prevented/managed with intravenous epinephrine.24
5. Toxicity to the eye is rare and related to experience. The main toxicity occurs when the catheter becomes lodged in the ophthalmic artery itself and slows (or stops) blood flow, causing vascular occlusion (and higher, toxic levels of chemotherapy in the eye).25 This is called “wedge flow.”
6. The technique works best in eyes with retinal detachment, perhaps because the drug is retained in the subretinal space.26
7. Currently, 95% of all unilateral eyes are saved with this technique, and 95% of bilateral eyes treated are also salvaged.27
8. Bilateral, even advanced, retinoblastoma can be successfully treated with bilateral, simultaneous OAC. More than 95% of such eyes treated are saved with what is called “tandem treatment.”
9. Electroretinogram monitoring of OAC has revealed that the majority of eyes have the same ERG before and after OAC. Interestingly, 30% show improvement, which appears to be correlated with the disappearance of the detachment. Similarly, if the ERG decreases after treatment, it is because of the development or progression of retinal detachment.28,29
10. Despite treating advanced eyes, patient survival is not compromised.30
The second most important change in management has been the use of intravitreal chemotherapy, which will be covered in a future article in depth. Intravitreal chemotherapy was first used for retinoblastoma in 1961,5 but in the 20th century, it was felt that putting a needle in retinoblastoma-containing eyes was potentially dangerous. In addition, the experience was that the injection did not work very well and was often toxic.
This point of view was changed when Francis Munier, MD, addressed both safety and efficacy.31 He realized that melphalan was the drug of choice (many other drugs had been tried) and that the doses of melphalan used were too low. By using 20 µg to 30 µg of drug, he achieved remarkable control of vitreous seeds.
Toxicity was exclusive to the retina (Figure 2), and ERG diminished by approximately 4% to 5% with each injection with a peripheral salt-and-pepper retinopathy, but vision was rarely affected.32
Figure 2. Retinopathy caused by intravitreal melphalan.
By softening the eye with anterior-chamber paracentesis and applying cryo at the needle site before the needle was removed, Munier minimized the risk of extraocular extension. The experience worldwide has been similar: more than 80% of eyes with vitreous seeding can be saved.33
CONCLUSION
As a result of these two innovations (OAC and intravitreal chemotherapy), the majority of eyes with retinoblastoma are now saved (95% in our center), often with useful vision and without compromising patient survival. In just 10 years, we have gone from enucleating more than 90% of patients to enucleating only 5%. That is the new paradigm. RP
REFERENCES
1. Abramson DH. Retinoblastoma: saving life with vision. Annu Rev Med. 2014;65:171-184.
2. Hilgartner HL. Report of case of double glioma treated with x-ray. 1903. Tex Med. 2005;107:10.
3. Reese AB, Hyman GA, Tapley ND, Forrest AW. The treatment of retinoblastoma by x-ray and triethylene melamine. AMA Arch Ophthalmol. 1958;60:897-906.
4. Stallard HB. Comparative value of radium and deep x rays in the treatment of retinoblastoma. Br J Ophthalmol. 1952;36:313-324.
5. Ericson LA, Rosengren BH. Present therapeutic resources in retinoblastoma. Acta Ophthalmologica. 1961;39:569-576.
6. Bagshaw MA, Kaplan HS. Supervoltage linear accelerator radiation therapy. 8. Retinoblastoma. Radiology. 1966;86:242-246.
7. Abramson DH, Ellsworth RM, Tretter P, Adams K, Kitchin FD. Simultaneous bilateral radiation for advanced bilateral retinoblastoma. Arch Ophthalmol. 1981;99:1763-1766.
8. Meyer-Schwickerath G. The preservation of vision by treatment of intraocular tumors with light coagulation. Arch Ophthalmol. 1961;66:458-466.
9. Lincoff H. A report on the freezing of intraocular tumors. Bibl Ophthalmol. 1968;75:348-358.
10. Abramson DH. The focal treatment of retinoblastoma with emphasis on xenon arc photocoagulation. Acta Ophthalmol. 1989;194:3-63.
11. Fass D, McCormick B, Abramson D, Ellsworth R. Cobalt60 plaques in recurrent retinoblastoma. Int J Radiat Oncol Biol Phys. 1991;21:625-627.
12. Shields CL, Shields JA, Cater J, Othmane I, Singh AD, Micaily B. Plaque radiotherapy for retinoblastoma: long-term tumor control and treatment complications in 208 tumors. Ophthalmology. 2001;108:2116-2121.
13. Abramson DH, Marks RF, Ellsworth RM, Tretter P, Kitchin FD. The management of unilateral retinoblastoma without primary enucleation. Arch Ophthalmol. 1982;100:1249-1252.
14. McGee TL, Yandell DW, Dryja TP. Structure and partial genomic sequence of the human retinoblastoma susceptibility gene. Gene. 1989;80:119-128.
15. Abramson DH, Ellsworth RM, Zimmerman LE. Nonocular cancer in retinoblastoma survivors. Trans Sect Ophthalmol Am Acad Ophthalmol Otolaryngol. 1976;81:454-457.
16. Abramson DH. Retinoblastoma in the 20th century: past success and future challenges the Weisenfeld lecture. Invest Ophthalmol Vis Sci. 2005;46:2683-2691.
17. Schefler AC, Abramson DH. Retinoblastoma: what is new in 2007-2008. Curr Opin Ophthalmol. 2008;19:526-534.
18. Kaneko A, Suzuki S. Eye-preservation treatment of retinoblastoma with vitreous seeding. Jpn J Clin Oncol. 2003;33:601-607.
19. Suzuki S, Yamane T, Mohri M, Kaneko A. Selective ophthalmic arterial injection therapy for intraocular retinoblastoma: the long-term prognosis. Ophthalmology. 2011;118:2081-2087.
20. Inomata M, Kaneko A. Chemosensitivity profiles of primary and cultured human retinoblastoma cells in a human tumor clonogenic assay. Jpn J Cancer Res. 1987;78:858-868.
21. Abramson DH, Dunkel IJ, Brodie SE, Kim JW, Gobin YP. A phase I/II study of direct intraarterial (ophthalmic artery) chemotherapy with melphalan for intraocular retinoblastoma. Ophthalmology. 2008;115:1398-1404.
22. Chantada G, Schaiquevich P. Management of retinoblastoma in children: current status. Paediatr Drugs. 2015;17:185-198.
23. Dunkel IJ, Shi W, Salvaggio K, et al. Risk factors for severe neutropenia following intra-arterial chemotherapy for intra-ocular retinoblastoma. PLoS ONE. 2014;9:e108692.
24. Francis JH, Abramson DH. Recent Advances in Retinoblastoma Treatment. Springer; Philadelphia, PA; 2015.
25. Jabbour P, Chalouhi N, Tjoumakaris S, et al. Pearls and pitfalls of intraarterial chemotherapy for retinoblastoma. J Neurosurg Pediatr. 2012;10:175-181.
26. Palioura S, Gobin YP, Brodie SE, Marr BP, Dunkel IJ, Abramson DH. Ophthalmic artery chemosurgery for the management of retinoblastoma in eyes with extensive (>50%) retinal detachment. Pediatr Blood Cancer. 2012;59:859-864.
27. Abramson DH, Fabius AWM, Issa R, et al. Advanced unilateral retinoblastoma: the impact of ophthalmic artery chemosurgery on enucleation rate and patient survival at MSKCC. PLoS ONE. 2015;10:e0145436.
28. Brodie SE, Pierre Gobin Y, Dunkel IJ, Kim JW, Abramson DH. Persistence of retinal function after selective ophthalmic artery chemotherapy infusion for retinoblastoma. Doc Ophthalmol. 2009;119:13-22.
29. Abramson DH, Gobin YP, Marr BP, Dunkel IJ, Brodie SE. Intra-arterial chemotherapy for retinoblastoma. Ophthalmology. 2012;119:1720-1721.
30. Abramson DH, Shields CL, Munier FL, Chantada GL. Treatment of retinoblastoma in 2015: agreement and disagreement. JAMA Ophthalmol. 2015;133:1341-1347.
31. Munier FL, Gaillard MC, Balmer A, et al. Intravitreal chemotherapy for vitreous disease in retinoblastoma revisited: from prohibition to conditional indications. Br J Ophthalmol. 2012;96:1078-1083.
32. Francis JH, Schaiquevich P, Buitrago E, et al. Local and systemic toxicity of intravitreal melphalan for vitreous seeding in retinoblastoma: a preclinical and clinical study. Ophthalmology. 2014;121:1810-1817.
33. Shields CL, Manjandavida FP, Arepalli S, Kaliki S, Lally SE, Shields JA. Intravitreal melphalan for persistent or recurrent retinoblastoma vitreous seeds: preliminary results. JAMA Ophthalmol. 2014;132:319-325.







