Sustained Anti-VEGF Therapy for Neovascular AMD
Complications occur over time, but most are minor.
MICHAEL W. STEWART, MD
The pivotal, phase 3 registration trials (MARINA, ANCHOR, and VIEW) and the nationally funded CATT and IVAN trials showed that monthly (bevacizumab [Avastin, Genentech, South San Francisco, CA] or ranibizumab [Lucentis, Genentech]) or q8week (aflibercept [Eylea, Regeneron, Tarrytown, NY]) intravitreal injections stabilize visual acuity in the vast majority of eyes with neovascular age-related macular degeneration (nAMD) and significantly improve VA in a large minority.1-5
Patients were evaluated monthly for two years during these trials, but equally intensive treatment for longer time periods has not been possible. Extension trials and long-term retrospective studies have generally incorporated less rigorous treatment regimens and have had low retention rates.6-10
The data show that many patients require treatment indefinitely, but we have insufficient knowledge regarding the long-term efficacy and safety of anti-VEGF therapy. This article aims to review our current understanding of long-term and sustained anti-VEGF therapy, with emphases on vision loss and drug-related complications.
TREATMENT RESULTS
The first reports of sustained anti-VEGF therapy were the two-year results from MARINA and ANCHOR, in which 9% and 10%, respectively, of ranibizumab-treated patients lost at least 15 letters of VA. Older age, better VA, and larger lesions at baseline were associated with VA loss at 24 months.
Choroidal neovascular membrane-induced outer retinal dysfunction, as measured by expansion of the total lesion area (observed on fluorescein angiographic images), and an increased area of retinal pigment epithelium abnormality were responsible for most vision loss.
Michael W. Stewart, MD, is chair of the Department of Ophthalmology at the Mayo Clinic in Jacksonville, FL. He reports no financial interests in products mentioned in this article. He can be reached via e-mail at Stewart.Michael@mayo.edu.
In MARINA, this loss was attributed to an increased size of atrophic scarring due to nonleaking remnants of CNV (P=.0043) and in ANCHOR to an increased area of CNV (P=.039). Macular atrophy of the RPE, fibrosis, and hemorrhage were not associated with VA loss.11
Similar images by optical coherence tomography were obtained in patients who lost vision after two years of PRN ranibizumab injections in the PrONTO study; of the five patients (cohort size of 40) who lost vision, two developed RPE tears, and the other three showed evidence of atrophic scarring with early macular atrophy and photoreceptor loss.12
Longer-term Results
After two years of monthly ranibizumab injections in MARINA and ANCHOR, followed by as-needed quarterly injections in the HORIZON extension study,6 65 patients from the original cohort were recalled for a single update visit at a mean of 7.3 years after their initial enrollment.7 These patients received an annual average of only 1.6 injections after HORIZON, and half of them lost vision compared to baseline, with one-third losing at least 15 letters.
Visual acuity results from long-term, retrospective studies, however, have generally been better. Gillies et al studied 1,212 patients followed for a mean of 53.5 months, 45% of them for at least 60 months.8 Mean VA improved by +6.3 letters at six months and remained above baseline for six years, but it had fallen -2.6 letters below baseline at seven years in the 131 remaining eyes. The participants received a mean of five injections per year after year 2, at least twice as many as those in HORIZON and three times as many as in the SEVEN UP extension.
Eyes with better baseline VA were generally treated for longer periods, although 53% of eyes, most of which initially improved but then worsened to below baseline VA, had treatment discontinued during the first five years. Vision loss was most commonly associated with foveal macular atrophy (37%) or subretinal fibrosis (31%).
In a retrospective study, 109, 75, and 45 patients were aggressively treated with anti-VEGF drugs (mean of 10.5 injections per year) at fixed intervals of four to eight weeks for five, six, and seven years, respectively.9 Mean VA improvements at these time points were +14.0, +12.2, and +12.1 letters, and 43.2% of eyes achieved a final VA of 20/40 or better. VA improvement peaked at +16.1 letters at two years, after which vision decreased by an average of 0.8 letters/year.
In a retrospective chart review of patients who began anti-VEGF therapy from 2005 through 2008, Tanaka et al identified 81 eyes that were followed for a minimum of 3.5 years (mean of 4.9 years; 40% >6 years).10 Median VA improved from baseline (20/80) through six years (20/63). Six eyes (7%) had predominantly hemorrhagic lesions at baseline, while three more developed them by 3.5 years and one more by six years. The authors noted that very few eyes developed new areas of macular atrophy distant from the CNV if extrafoveal macular atrophy was not present at baseline.
Comparing VA results from these long-term studies is problematic and must be done with caution, particularly because each study used different inclusion criteria, examination and dosing intervals, drugs, and retreatment criteria. Studies that used higher frequency dosing for longer periods reported better long-term VA results, thereby prompting some authors to suggest that poorer VA more commonly results from undertreatment than from macular atrophy.
Unfortunately, none of the long-term studies has been able to follow the majority of patients from the original cohort because retention rates in both prospective trials and retrospective reviews have been low.
MACULAR ATROPHY
Before the use of anti-VEGF therapy, vision loss from dry AMD was rarely a concern in patients with nAMD because it was the CNV-related leakage, hemorrhage, and fibrosis that usually caused severe, permanent loss of VA. Anti-VEGF therapy produced impressive short-term changes in morphology and improvements in VA, and the possible association between anti-VEGF therapy and macular atrophy was not considered until the one-year CATT data were reported.13
Macular atrophy developed in 10.6% of at-risk eyes (1,024 eyes without macular atrophy at baseline) at one year and in 18.3% at two years; 83% of these macular atrophy cases were extrafoveal, and 17% were subfoveal.14 Fifteen percent of patients who received monthly injections throughout the study developed macular atrophy during year 1, and 12.4% developed macular atrophy during year 2, compared to 8.3% of patients receiving PRN injections who developed macular atrophy during year 1 and 8.8% during year 2.
Patients who crossed over from monthly injections during year 1 to PRN injections during year 2 had macular atrophy incidences of 12.7% and 7% during each of the respective years. Important differences were noted in the mean numbers of injections administered to each treatment arm and the respective incidences of macular atrophy: monthly for two years — 22.5% and 24.1%; monthly during year 1 and PRN during year 2 — 17.3% and 17.8%; and PRN for two years — 13.1% and 15.5%.
Independent baseline risk factors for macular atrophy included poor VA, retinal angiomatous proliferation, intraretinal fluid in the fovea, monthly dosing, and treatment with ranibizumab. The authors concluded that VEGF inhibition may play a role in the development of macular atrophy.
A greater incidence of macular atrophy was found in patients treated with ranibizumab compared to bevacizumab, but the mean VA in the two groups were similar at two years, presumably because most of the new macular atrophy was extrafoveal.4
Nonsubfoveal CNV lesions, macular atrophy distance from the fovea, predominantly classic lesions, a fellow eye with macular atrophy, ranibizumab, and the presence of an epiretinal membrane were correlated positively with macular atrophy growth rates.14
Data from AREDS suggest that it takes a median of 2.5 years for extrafoveal macular atrophy to reach the fovea,15 so a longer follow-up of CATT patients may be needed before the development and progression of macular atrophy becomes visually important.
The two-year IVAN data also showed a greater prevalence of macular atrophy in eyes treated with continuous (monthly) as opposed to discontinuous (PRN) therapy (33.3% vs 25.7%; P=.033).5 When comparing ranibizumab with bevacizumab, however, the IVAN trial failed to show different development rates for macular atrophy (28% for ranibizumab vs 31.2% for bevacizumab; P=.46) at two years.
In retrospective studies using treat-and-extend regimens with average follow-ups of 25 and 16 months, macular atrophy progression was correlated with the number of intravitreal anti-VEGF injections.16,17
Macular Atrophy Looking Ahead
A consistent reason for macular atrophy development appears to be potent, continuous VEGF binding. Long-term VEGF suppression with developing strategies, such as encapsulated cell technology, refillable implanted reservoirs that release VEGF-binding molecules,18 and adeno-associated virus vector-delivered anti-VEGF gene therapies will require that eyes be closely scrutinized for the development of macular atrophy.
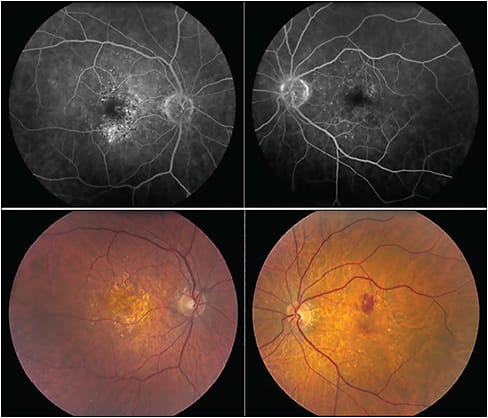
Long-term retrospective studies have consistently failed to identify significant macular atrophy progression in anti-VEGF-treated eyes.8-10 RPE and choriocapillary atrophy that resembles the appearance of de novo macular atrophy frequently occur in areas of treated CNV,11 but we do not know how their histology, growth patterns, or function compared to de novo macular atrophy lesions that develop in areas remote from previous CNV. Agreement, therefore, regarding the relative development of de novo macular atrophy vs atrophy due to treated CNV membranes is lacking (Figure 1, page 58).
Figure 1. The fluorescein angiogram images (top row) show newly diagnosed occult CNV OD and drusen OS. The right eye received monthly injections of aflibercept, and one year later, the left eye developed occult CNV. Over a period of 48 months, the patient received 28 injections of aflibercept OD and 11 injections of ranibizumab OS. Significant GA developed in the right eye (most of it in the area of the original CNV), but no GA developed in the left eye (bottom row). This case highlights the difficulty in determining the etiology of RPE atrophy as the affected right eye received significantly more anti-VEGF injections but most of the GA occurred in the area of the previous CNV.
The best management of a patient with worsening macular atrophy while receiving anti-VEGF therapy is unclear. Judicious use of drugs would seem prudent, and many of these patients can discontinue injections without reactivation of CNV. Current data, however, do not show that decreasing the number of injections slows macular atrophy progression.
TACHYPHYLAXIS
Initiation of anti-VEGF therapy improves most eyes, but some develop a blunted response after repeated injections of the same medication. In a retrospective study of 43 patients, Schaal and colleagues first characterized this phenomenon as tachyphylaxis.19 They injected bevacizumab every three months, generally regarded as undertreatment by today’s standards, and patients experienced a 50% decrease in volumetric response after every three consecutive injections.
Forooghian et al described tachyphylaxis in six of 59 (10%) eyes treated with bevacizumab according to a PrONTO-like regimen.20 The mean time to the development of tachyphylaxis was 100 weeks (range: 31-128 weeks) after an average of only six injections.
Binder questioned the nature of this decreasing treatment response, asking whether these studies described tachyphylaxis or tolerance.21 Comparing data from published reports becomes difficult because the definitions of tachyphylaxis vary according to the authors.
For instance, Schaal defined tachyphylaxis as a decrease in the biological effect of a medication with repeated use;20 Ziemssen stated that tachyphylaxis is “very precisely defined as a rapidly decreasing response to a drug after (continuing) administration of a few doses.”22 Moreover, Binder noted that tachyphylaxis could develop over a short period of time, whereas tolerance occurs with repeated drug use over a long period of time.21 The reported rates of tachyphylaxis have varied from 2% to more than 10%, but the different definitions make determining its true incidence difficult.
Reasons for the development of tachyphylaxis or tolerance are unclear, but they may include upregulation of alternative (VEGF-independent) angiogenesis pathways, the development of neutralizing antibodies to bevacizumab or ranibizumab, and permanent morphological changes in the CNV, such as complete pericyte coverage, change of lesion type, and chronic changes in the vessel walls.
Increased fibrosis of the CNV and changes in important neighboring structures, such as the photoreceptors or RPE, may act as resorption barriers and prevent adequate drug penetrance. Macrophage invasion of the CNV with amplification of VEGF synthesis and increased expression of VEGF receptors in the CNV may decrease the effectiveness of free VEGF binding.19-23
If drug efficacy decreases, then increasing either its dose or injection frequency may improve the morphologic response. Alternatively, patients who develop tachyphylaxis to ranibizumab or bevacizumab may respond favorably by switching to the other anti-VEGF drug or to aflibercept (Figure 2, page 60).24
Figure 2. This patient presented with subfoveal fluid in the right eye due to nAMD (top row). The fluid failed to respond to two injections of bevacizumab, so treatment was switched to monthly aflibercept. The fluid initially resolved but then worsened despite continued monthly injections (middle row). Treatment with aflibercept and bevacizumab (alternating every two weeks) resulted in complete resolution of the fluid after three months (bottom row).
OTHER COMPLICATIONS
Retinal pigment epithelium tears result from fibrovascular pigment epithelial detachments and may occur spontaneously or in the setting of anti-VEGF therapy (Figure 3, page 61). The incidences of RPE tears in MARINA and ANCHOR did not significantly differ between anti-VEGF and standard care groups, but among treated subjects, there was a difference in the overall incidence of RPE tears between VA losers and VA gainers.
Figure 3. A) This patient with newly diagnosed nAMD presented with a larger fibrovascular PED OD but more intraretinal fluid OS (top). An injection of bevacizumab improved edema in the left eye, but a RPE tear developed in the untreated right eye (bottom). B) Color photography (top) and fundus autofluorescence (bottom) show the RPE tear. Both eyes subsequently received bevacizumab injections for three years with maintenance of 20/40 VA OD despite mild persistent subretinal fluid but with the development of a disciform scar and 20/100 VA OS. This case shows that aggressive anti-VEGF treatment can maintain good VA in eyes with RPE tears.
Among ranibizumab-treated eyes in MARINA, the incidence of RPE tears was 9.5% in VA losers, compared with 1.4% in VA gainers (P=.025) by month 12. In the predominantly classic lesions in ANCHOR, only one RPE tear was observed among VA gainers (in a ranibizumab-treated eye), and RPE tears were not a significant cause of vision loss among control eyes.11 Sustained loss of VA occurred in only four of 23 eyes with RPE tears in CATT.
Endophthalmitis occurred after 11 of 18,509 injections (one per 1,700) and in 0.9% of patients in CATT, after six of 26,700 injections (one per 4,453) and in 0.25% of patients in year 1 of the VIEW trials and after two of 10,177 (one in 5,088) injections and in 0.18% of patients in year 1 of HARBOR.3,25,26
The rates of endophthalmitis in these large prospective trials are similar to those from grouped meta-analysis data (one in 4,059) and large retrospective chart reviews from a single institution (one in 8,617).27,28
In CATT the final VA after endophthalmitis was 20/40 or better in four eyes (36%), 20/50 to 20/80 in two eyes (18%), 20/100 to 20/160 in three eyes (27%), and worse than 20/800 in two eyes (18%). The final VA was within 2 lines of the VA before endophthalmitis in five eyes (45%), thereby making endophthalmitis an infrequent cause of VA loss.25
Both transient and sustained intraocular pressure elevation may complicate anti-VEGF therapy. A recent literature review reported the incidence of sustained intraocular pressure elevation of between 3.45% and 11.6%, but few patients required pressure-lowering surgery.29
The importance of the number and frequency of intravitreal injections to the incidence of sustained IOP has varied considerably among studies. In large, prospective trials, elevated IOP occurred frequently in the VIEW trials (6.2% to 10.8% of patients), although it was sufficiently serious to be classified as a serious adverse event in only 0.2%,30 and glaucoma developed in only 1% of patients in the HARBOR trial.26
CONCLUSIONS
Sustained treatment of nAMD with anti-VEGF drugs improves and stabilizes VA through two years, but the results with longer-term therapy have varied significantly among studies. The prevalence of drug-related complications increases with time, but some of these complications only infrequently decrease VA. The development of RPE atrophy in eyes receiving anti-VEGF therapy for nAMD remains the greatest threat to long-term visual stability. RP
REFERENCES
1. Rosenfeld PJ, Brown DM, Heier JS, et al. Ranibizumab for neovascular age-related macular degeneration. N Engl J Med. 2006;355:1419-1431.
2. Brown DM, Kaiser PK, Michels M, et al. Ranibizumab versus verteporfin for neovascular age-related macular degeneration. N Engl J Med. 2006;334:1432-1444.
3. Heier JS, Brown DM, Chong V, et al. Intravitreal aflibercept (VEGF Trap-Eye) in wet age-related macular degeneration. Ophthalmology. 2012;119:2537-2548.
4. Martin DF, Maguire MG, Fine SL, et al. Ranibizumab and bevacizumab for treatment of neovascular age-related macular degeneration. Two-year results. Ophthalmology. 2012;119:1388-1398.
5. Chakravarthy U, Harding SP, Rogers CA, et al. Alternative treatments to inhibit VEGF in age-related choroidal neovascularization: 2-year findings of the IVAN randomized controlled trial. Lancet. 2013;382:1258-1267.
6. Singer MA, Awh CC, Sadda S, et al. HORIZON: an open-label extension trial of ranibizumab for choroidal neovascularization secondary to age-related macular degeneration. Ophthalmology. 2012;119:1175-1183.
7. Bhisitkul RB, Mendes TS, Rofagha S, et al. Macular atrophy progression and 7-year vision outcomes in subjects from the ANCHOR, MARINA, and HORIZON Studies: the SEVEN-UP Study. Am J Ophthalmol. 2015;159:915-924.
8. Gillies MC, Campain A, Barthelmes D, et al; Fight Retinal Blindness Study Group. Long-term outcomes of treatment of neovascular age-related macular degeneration. Data from an observational study. Ophthalmology. 2015 Jul 19. [Epub ahead of print]
9. Peden MC, Suñer IJ, Hammer ME, Grizzard WS. Long-term outcomes in eyes receiving fixed-interval dosing of anti-vascular endothelial growth factor agents for wet age-related macular degeneration. Ophthalmology. 2015;122:803-808.
10. Tanaka E, Chaikitmongkol V, Bressler SB, Bressler NM. Vision-threatening lesions developing with longer-term follow-up after treatment of neovascular age-related macular degeneration. Ophthalmology. 2015;122:153-161.
11. Rosenfeld PJ, Shapiro H, Tuomi L, et al; MARINA and ANCHOR Study Groups. Characteristics of patients losing vision after 2 years of monthly dosing in the phase III ranibizumab clinical trials. Ophthalmology. 2011;118:523-530.
12. Lalwani GA, Rosenfeld PJ, Fung AE, et al. A variable-dosing regimen with intravitreal ranibizumab for neovascular age-related macular degeneration: year 2 of the PrONTO Study. Am J Ophthalmol. 2009;148:43-58.
13. CATT Research Group. Ranibizumab and bevacizumab for neovascular age-related macular degeneration. N Engl J Med. 2011;364:1897-1908.
14. Grunwald JE, Daniel E, Huang J, et al; CATT Research Group. Risk of geographic atrophy in the comparison of age-related macular degeneration treatment trials. Ophthalmology. 2014;121:150-161.
15. Lindblad AS, Lloyd PC, Clemons TE, et al; AREDS Research Group. Change in area of geographic atrophy in the Age-Related Eye Disease Study: AREDS report number 26. Arch Ophthalmol. 2009;127:1168-1174.
16. Lois N, McBain V, Abdelkader E, et al. Retinal pigment epithelial atrophy in patients with exudative age-related macular degeneration undergoing anti-vascular endothelial growth factor therapy. Retina. 2013;33:13-22.
17. Young M, Chui L, Fallah N, et al. Exacerbation of choroidal and retinal pigment epithelial atrophy after anti-vascular endothelial growth factor treatment in neovascular age-related macular degeneration. Retina. 2014;34:1308-1315.
18. Querques G, Capuano V, Frascio P, Bandello F, Souied EH. Emerging therapeutic options in age-related macular degeneration. Ophthalmic Res. 2015;53:194-199.
19. Schaal S, Kaplan HJ, Tezel TH. Is there tachyphylaxis to intravitreal anti-vascular endothelial growth factor pharmacotherapy in age-related macular degeneration? Ophthalmology. 2008;115:2199-2205.
20. Forooghian F, Cukras C, Meyerle CB, Chew EY, Wong WT. Tachyphylaxis after intravitreal bevacizumab for exudative age-related macular degeneration. Retina. 2009;29:723-731.
21. Binder S. Loss of reactivity in intravitreal anti-VEGF therapy: tachyphylaxis or tolerance? Br J Ophthalmol. 2012;96:1-2.
22. Ziemssen F, Neuhann IM, Voelker M. Tachyphylaxis and bevacizumab. Ophthalmology. 2009;116:1591-1592.
23. Eghøj MS, Sørensen TL. Tachyphylaxis during treatment of exudative age-related macular degeneration with ranibizumab. Br J Ophthalmol. 2012;96:21-23.
24. Gasperini JL, Fawzi AA, Khondkaryan A, et al. Bevacizumab and ranibizumab tachyphylaxis in the treatment of choroidal neovascularization. Br J Ophthalmol. 2012;96:14-20.
25. Meredith TA, McCannel CA, Barr C, et al; Comparison of Age-Related Macular Degeneration Treatments Trials Research Group. Postinjection endophthalmitis in the comparison of age-related macular degeneration treatments trials (CATT). Ophthalmology. 2015;122:817-821.
26. Busbee BG, Ho AC, Brown DM, et al; HARBOR Study Group. Twelve-month efficacy and safety of 0.5 mg or 2.0 mg ranibizumab in patients with subfoveal neovascular age-related macular degeneration. Ophthalmology. 2013;120:1046-1056.
27. McCannel CA. Meta-analysis of endophthalmitis after intravitreal injection of anti-vascular endothelial growth factor agents: causative organisms and possible prevention strategies. Retina. 2011;31:654-661.
29. Moshfeghi AA, Rosenfeld PJ, Flynn HW Jr, et al. Endophthalmitis after intravitreal anti-vascular endothelial growth antagonists. Retina. 2011;31:662-668.
30. Dedania VS, Bakri SJ. Sustained elevation of intraocular pressure after intravitreal anti-VEGF agents: what is the evidence? Retina. 2015;35:841-858.
31. Schmidt-Erfurth U, Kaiser PK, Korobelnik JF, et al. Intravitreal aflibercept injection for neovascular age-related macular degeneration. Ninety-six-week results of the VIEW studies. Ophthalmology. 2014;121:193-201.







