Identifying and Managing an Overwhelming Inflammatory Component
Case #4: Bilateral severe peripheral ischemia with extensive leakage owing to diabetic macular edema and neovascularization.
By Daniel F. Kiernan, MD
Although anti-VEGF agents have become the gold standard for treating many retinal diseases including diabetic macular edema (DME), targeting VEGF alone may not provide sufficient therapeutic benefit in some patients. This is one such case in which intravitreal dexamethasone 0.7mg (Ozurdex, Allergan) was used after the DME responded poorly to anti-VEGF agents.
Case Report
A 49-year-old man with type 2 diabetes and hypertension was referred to our retina service by a general ophthalmologist for evaluation of worsening vision associated with diabetic retinopathy and DME. The patient stated that his vision had been declining for the last few months and now was too blurry to read or work.
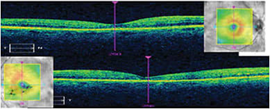
On initial examination, the patient’s best-corrected visual acuity was 20/60, and IOPs were 11 mmHg in the right eye and 10 mmHg in the left eye. OCT revealed extensive intra- and subretinal edema in both eyes (Figure 1). Fluorescein angiography showed bilateral, severe peripheral ischemia with extensive leakage owing to DME and neovascularization. The patient received bilateral bevacizumab (Avastin, Genentech) intravitreal injections that day, and shortly thereafter, had sequential panretinal photocoagulation performed in each eye.
 
    Figure 1. Extensive intra- and subretinal edema was present in both eyes (right eye not shown).
One month later, the patient’s visual acuity had worsened to 20/80 in the right eye and 20/150 in the left eye, and OCT revealed increased intra- and sub-retinal edema in both eyes (Figure 2). The patient again received bilateral Avastin injections but did not gain functional or anatomic improvement. One month later, the patient received bilateral ranibizumab 0.3 mg (Lucentis, Genentech) injections, still without improvement (Figure 3).
 
    Figure 2. One month after bilateral Avastin intravitreal injections, intra- and subretinal edema had increased in both eyes (right eye not shown).
 
    Figure 3. After 2 sets of bilateral Avastin and 1 set of bilateral Lucentis intravitreal injections over 12 weeks, neither eye showed anatomic or functional improvement.
Four months after initial presentation, the patient’s visual acuity was 20/150 in the right eye and 20/100 in the left eye. The patient received bilateral Ozurdex injections that day. One month later, visual acuity had improved to 20/40 in the right eye and 20/50 in the left eye, with nearly complete resolution of edema observed on OCT (Figure 4).
 
    Figure 4. One month after intravitreal Ozurdex, visual acuity had improved, with nearly complete resolution of edema.
Over the next 5 months, the patient received two sets of supplemental bilateral Lucentis injections. His visual acuity remained stable and the OCT fluid-free. However, 5 months after the Ozurdex treatment, the visual acuity dropped to 20/60 in the right eye and 20/200 in the left eye, and the OCT showed that the DME had recurred (Figure 5).
 
    Figure 5. Five months after the initial Ozurdex treatment, visual acuity had decreased and the DME had recurred. The patient received bilateral Ozurdex.
Once again, the patient received bilateral Ozurdex injections. Within 4 weeks, vision improved and the DME resolved. The patient continues to receive Ozurdex injections as needed every 3 to 6 months, based on the presence of fluid seen on OCT. Because the DME worsened or recurred during treatment with anti-VEGF agents, I stopped using these agents, as I deemed the DME to be resistant to anti-VEGF monotherapy. In this case, a suboptimal response to multiple anti-VEGF agents was likely because of an overwhelming inflammatory component, which responded well to Ozurdex.
Summary
There are multiple pro-inflammatory cytokines that foster vascular leakage and vision loss within the setting of DME. Although anti-VEGF agents alone have shown visual and anatomic benefit in treating many cases of DME, corticosteroids such as Ozurdex may address a greater number of disease-causing factors, especially in the setting of under-treated and/or chronic DME. Furthermore, in the setting of DME that is poorly responsive to anti-VEGF agents, treatment with Ozurdex often reduces DME volume and improves visual acuity with only one treatment, and it has an extended duration of effect, with or without coadministration of anti-VEGF agents. ■
|   | Daniel F. Kiernan, MD, practices with Ophthalmic Consultants of Long Island in New York. He is a consultant and speaker for Allergan. He can be reached at dkiernan@ocli.net. | 
 
  
            






