Evidence-based Treatment Of Retinal Detachment
With data from more than 7,500 patients, the EVRS provides updated recommendations.
ZOFIA MICHALEWSKA, MD, PhD • DIDIER DUCOURNAU, MD • RON A. ADELMAN, MD, MPH • JERZY NAWROCKI, MD, PhD
Before the introduction of primary pars plana vitrectomy in the 1970s, scleral buckling (SB) surgery was the standard of care for the treatment of rhegmatogenous retinal detachments (RRDs). Debate continues over whether SB or PPV is a more appropriate treatment for retinal detachment.
Opponents of scleral buckling claim the technique is somewhat outdated and induces postoperative myopia. In contrast, opponents of primary PPV argue that vitrectomy surgery is more invasive than SB and can lead to long-term complications, such as glaucoma or cataract formation.
PREVIOUS DATA
A handful of studies have compared SB and PPV to determine which is superior for the treatment of RRD. The Scleral Buckling Versus Primary Vitrectomy in Rhegmatogenous Retinal Detachment (SPR) Study evaluated 681 cases of RRD and ultimately found no significant overall difference between the two techniques.1 The SPR Study provided a final recommendation to perform scleral buckling in phakic eyes and primary vitrectomy in pseudophakia.1
Zofia Michalewska, MD, PhD, is a vitreoretinal surgeon at the Ophthalmic Clinic Jasne Blonia (Lodz, Poland). Didier Ducournau, MD, is a vitreoretinal surgeon at Clinique Sourdille (Nantes, France), who initiated and chaired the European Vitreo-Retinal Society (EVRS) Retinal Detachment Study. Ron A. Adelman, MD, MPH, is a professor and interim chair of ophthalmology at the Yale School of Medicine (New Haven, CT) and the present secretary of the EVRS. Jerzy Nawrocki, MD, PhD, is a professor, the current president of EVRS, and head of the Ophthalmic Clinic Jasne Blonia (Lodz, Poland). None of the authors reports any financial interest in products mentioned here. Dr. Michalewska’s e-mail is zosia_n@yahoo.com.
The study’s outcomes should be interpreted with caution, however, because lack of statistical significance does not prove a lack of association. Rather, statisticians should first consider the sample size and its impact on study power and the ability to detect differences between treatment groups.
To obtain a statistically significant difference (P-value <0.05) between these two techniques, accounting for failure rates of 1% and 2%, respectively, a minimum of 2,400 cases would be required in each treatment group.
THE EVRS STUDY
Initially, the idea of investigating several thousand patients seemed nearly impossible due to the cost of such a project, as well as the challenge of gathering such a large group of patients for one study. Members of the European Vitreo-Retinal Society (EVRS) collaborated on efforts to conduct such a study, previously believed to be impossible.
The EVRS was founded in 2001 and has since expanded to include more than 2,100 retina specialists from 75 countries and across five continents. In 2010, the members of the EVRS were informed of a new clinical study examining individual treatment responses (success or failure) to the primary procedure for treatment of RRD.
The study was further categorized with regard to PVR stage. Grade A PVR was defined as vitreous haze or vitreous pigment clumping, while Grade B PVR included wrinkling of the inner retinal surface, a rolled edge of a retinal break, or retinal stiffness (Figure 1, page 32). A full-thickness retinal fold, or a star fold in one area, was considered to be Grade C-1 PVR (Figure 2, page 32). PVR ranged from Grade 0 (no PVR) to Grade C-1, and all of the patients had at least three months of follow-up. To our knowledge, this was the largest study of patients with RRD: 181 surgeons from 48 countries provided information on 7,678 RRDs. Most of the results from this study group have already been published.1-4
 
    Figure 1. Intraoperative view with a BIOM of PVR B retinal detachment.
 
    Figure 2. Intraoperative view with a BIOM shows PVR C retinal detachment. Full-thickness retinal fold is being removed with a forceps.
Given the overall high success rate of retinal detachment repair, the main outcome measurement of the EVRS study was failure rate. The study group did not report that one method (PPV or SB) was the superior treatment choice. Rather, they acknowledged that advantages and disadvantages to both surgical techniques existed.
As this EVRS study demonstrated, surgical decision-making is much more complex, and the surgeon should choose the appropriate technique depending on the clinical context.
TREATMENT OF UNCOMPLICATED RRD
The EVRS RD Study results are helpful in choosing the appropriate treatment for uncomplicated RRDs. We will first focus on eyes with RRD that had Grade 0 or A PVR. In this part of the analysis, we excluded patients with posterior large or giant retinal tears, as well as cases with aggravating factors, such as choroidal detachment, significant hypotony, or vitreous hemorrhage. Altogether, this narrowed the group to 4,179 eyes with probable uncomplicated RRDs.
Comparing the failure rates with different treatment methods allowed the study authors to provide recommendations based on RD etiology. Pneumatic retinopexy or scleral buckling (Figure 3) was useful in cases in which a superior atrophic hole induced retinal detachment. However, in the presence of a flap tear, the treatment of choice is scleral buckling, with a lower failure rate than both pneumatic retinopexy and vitrectomy.
 
    Figure 3. A) Intraoperative view during scleral buckling of early onset retinal detachment without PVR. B) Scleral sutures during scleral buckling as seen intraoperatively with a slit lamp.
We next subdivided the uncomplicated RD eyes into phakic and pseudophakic cases. In phakic eyes that had flap tear RRDs and Grade 0 or A PVR, SB had a lower failure rate than PPV with or without supplemental buckle (P=.028). In pseudophakic cases with Grade 0 or A PVR, PPV resulted in a higher single surgery success rate than SB.
The study concluded that the final recommendation in RRD with Grade 0 or A PVR is to perform pneumatic retinopexy if atrophic holes are present and SB in cases of phakic patients with RRDs associated with retinal tears.
TREATMENT OF COMPLICATED RRD
Next, we will shift our focus to the 3,488 eyes with complicated retinal detachments that were analyzed in the EVRS RD Study, which included RRDs with estimated grade B and C1 PVR, large or giant retinal tear(s), posterior breaks, choroidal detachment, or hypotony.
In contrast to uncomplicated RRDs, vitrectomy was superior to SB alone for the treatment of complicated RRDs. As a result, vitrectomy is the recommended treatment method in the following clinical situations: Grade B PVR (P=.0017), choroidal detachment or hypotony (P=.0015), and rhegmatogenous retinal detachment with large or giant retinal tears (P=7 x 10-8). A buckle supplemental to vitrectomy was not considered helpful with regard to the failure rate.
A subanalysis of the vitrectomy treatment group compared different tamponade agents (air, SF6, C2F6, C3F8, silicone oil, heavy silicone oil) in complicated RRDs with grade B PVR (n=917 eyes); the highest single operation success rate occurred with the use of gas tamponade.
A separate subanalysis compared vitrectomy machine parameters between different grades of PVR. In the subgroup with Grade C1 PVR, we observed a trend toward better outcomes when using a peristaltic pump during vitrectomy.
Interestingly, among the vitrectomy-treated eyes, those that received primary vitrectomy with a supplemental buckle had an increased failure rate, compared to those that had PPV but did not receive a buckle (P=.007).
The reasons for this finding are not completely understood. Earlier studies provided possible explanations, including the suggestion that the addition of a buckle could potentially increase the rate of postoperative macular pucker, macular edema, or glaucoma.5,6
Another possible explanation is that surgeons in the EVRS RD study placed a supplemental buckle as a means of extra support in eyes they determined more likely to fail. The results from this study, however, did not demonstrate a benefit of adding a buckle. The final recommendation is to perform vitrectomy in cases of complicated RRDs, but supplemental buckling is not helpful.
WHAT’S NEW IN RD SURGERY?
Scleral buckling was for a long time the state of art in RRD repair. Over the last two decades, primary vitrectomy superseded it. The EVRS RD study brought us several new data on the details of both techniques.
Prognostic Factors
Independent explanatory variables of the failure rate of RRD repair were choroidal detachment, significant hypotony, Grade C-1 PVR, four detached quadrants, and a large or giant retinal break. In contrast to earlier studies, the significance of phakic vs pseudophakic status, vitreous hemorrhage, and the number of retinal tears in predicting the final anatomic outcome was not confirmed.
Tamponade
In complex RRD (Grade B and C1 PVR), no difference between tamponade agents was present. Because the study was nonrandomized, it is possible the surgeons used silicone oil in more complex cases.
Considering that eyes with remaining silicone oil must undergo a second procedure for oil removal, gas tamponade may be considered in a select group of patients with significant PVR. Also, in complex cases of choroidal detachment, hypotony, or large and giant retinal tears, we observed no difference in level 1 failure between gas and silicone oil.
Additional Buckle
The EVRS RD Study did not confirm any positive effects of a buckle in addition to vitrectomy, either in simple or complicated retinal detachments.
Vitrectomy Machine Parameters
The literature does not provide adequate data on the effects of different vitrectomy machine parameters, probably because most surgeons use only one system. Only a large-scale, multicenter study would be able to compare different vitrectomy machines.
The multivariate analysis performed in the EVRS RD Study confirmed that the use of a vitrectomy machine equipped with a peristaltic pump (odds ratio 2.9, P=.006, 95% confidence interval), as well as using a high-speed cutting rate, was associated with a decrease in the failure rate (odds ratio 0.5, P=.014). Smaller gauges did not increase the failure rate in RRD.
The difference between peristaltic and Venturi pumps is that, with a peristaltic pump, the surgeon can control the amount of fluid entering the vitrector precisely. With a Venturi pump, additional parameters are needed to match this control.
Additionally, peristaltic pumps allow for very low aspiration flow rates during vitrectomy (ie, 1 cc per minute) in reducing the natural outflow of balanced salt solution induced by the infusion pressure (at that moment, the pressure at the pump level is positive). Venturi pumps, in contrast, cannot work in positive pressure by definition.
WHAT’S YOUR VITREORETINAL PERSONALITY?
Statistical analyses confirmed that we, as vitreoretinal surgeons, are very predictable and follow predefined strategies when repairing RRDs. Those who employ a peristaltic pump have a greater tendency to use low cutting speeds and gas for tamponade and to perform segmental buckling if needed. Surgeons using a Venturi pump commonly use high cutting speeds and silicone oil tamponade and perform circumferential buckling if needed.
We can speculate on an explanation. If the surgeon does not use flow control, as with a Venturi pump, high-speed cutting is necessary to decrease the risk of cutting the retina. Because the adherent vitreous might not be removed completely, postoperative PVR could occur more often. Surgeons can use silicone oil and/or circumferential buckling to overcome this problem.
QUESTIONS FOR FUTURE STUDIES
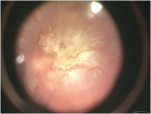
The study provided us an algorithm suggesting how to deal with almost every individual case of RRD (Figure 4). Still, we must investigate several issues in the future in greater detail. For instance, the role of ILM peeling (Figure 5) in both retina-off and retina-on RRDs is unclear.
 
    Figure 4. Retinal detachment repair algorithm.
 
    Figure 5. Intraoperative view with a flat contact lens shows internal limiting membrane peeling under DK-line. Membrane peel staining was used.
Recently, El Rayes and Oshima proposed suprachoroidal buckling.7 This technique consists of temporary buckling with a viscoelastic agent that resolves after the retinal tear has successfully healed. Additionally, the use of relaxing retinotomy (Figure 6) in either primary or secondary procedures requires further study.
 
    Figure 6. BIOM view at the end of surgery of relaxing 360º retinotomy.
Treatment of RRD is very complex. Because of different clinical situations, surgeons should apply different treatment modalities. It is an art that should be cultivated. The EVRS RD Study has enabled us to classify different types of RRDs, not only giving us diagrams but also an evidence-based way to treat our patients. RP
REFERENCES
1. Adelman RA, Parnes AJ, Ducournau D, et al; European Vitreo-Retinal Society (EVRS) Retinal Detachment Study Group. Strategy for the management of uncomplicated retinal detachments: the European vitreo-retinal society retinal detachment study report 1. Ophthalmology. 2013;120:1804-1808.
2. Adelman RA, Parnes AJ, Sipperley JO, et al; European Vitreo-Retinal Society (EVRS) Retinal Detachment Study Group. Strategy for the management of complex retinal detachments: the European vitreo-retinal society retinal detachment study report 2. Ophthalmology. 2013;120:1809-1813.
3. Michalewska Z, Ducournau D, Adelman RA; the EVRS RD Study Group. How do vitrectomy parameters influence the results of rhegmatogenous retinal detachments repair? EVRS RD Study No. 3. Acta Ophthalmol. 2013 Dec 7. [Epub ahead of print]
4. Adelman RA, Parnes AJ, Michalewska Z, Ducournau D, MD for the European Vitreo-Retinal Society (EVRS) Retinal Detachment Study Group. Clinical variables associated with failure of retinal detachment repair: the European Vitreo-Retinal Society retinal detachment study report number 4. Ophthalmology. 2014 Apr 21. [Epub ahead of print]
5. Stangos AN, Petropoulos IK, Brozou CG, et al. Pars-plana vitrectomy alone vs vitrectomy with scleral buckling for primary rhegmatogenous pseudophakic retinal detachment. Am J Ophthalmol. 2004;138:952-958.
6. Weichel ED, Martidis A, Fineman MS, et al. Pars plana vitrectomy versus combined pars plana vitrectomy-scleral buckle for primary repair of pseudophakic retinal detachment. Ophthalmology. 2006;113:2033-2040.
7. El Rayes EN, Oshima Y. Suprachoroidal buckling for retinal detachment. Retina. 2013;33:1073-1075.
 
  
            






