PEER REVIEWED
Ocriplasmin: Is VMA Only the Beginning?
The first FDA-approved agent for ‘chemical vitrectomy’ is here.
TAREK S. HASSAN, MD
The goal of vitrectomy for many vitreoretinal disorders is to cleave the posterior hyaloid from the retinal surface. Obtaining a successful surgical outcome generally depends on how effectively and completely this is achieved. For more than two decades, investigators have searched for a pharmacologic agent to create the same vitreoretinal separation nonsurgically for the treatment of tractionally based disorders, such as symptomatic vitreomacular adhesions (VMAs; Figure 1) and macular hole, as well as diabetic macular edema, cystoid macular edema (of multiple etiologies), retinal detachment, proliferative vitreoretinopathy, trauma, retinopathy of prematurity (ROP), and other pediatric retinal diseases.
Investigators have searched for an agent that could safely create both vitreous liquefaction and a posterior vitreous detachment. Initially, a variety of agents were tried, but success was limited until plasmin enzyme, a serine protease enzyme with proteolytic activity directed against fibronectin and laminin, was first described as having accomplished these anatomic outcomes when used as a surgical adjunct in the treatment of pediatric traumatic macular holes.1
Numerous histologic and clinical case series have demonstrated that the intravitreal administration of plasmin can completely separate the vitreous from the retinal surface and leave the internal limiting membrane bare, free of any collagen elements and residual vitreous2-4 in roughly 30 minutes.
Thus, it can successfully achieve a partial or even complete “chemical vitrectomy” when used as a surgical adjunct in the management of ROP, congenital X-linked retinoschisis, macular holes, pediatric trauma, and diabetic retinopathy.5-9 Unfortunately, the time-consuming preparation and lack of standardized dosing of plasmin has limited its usage by most vitreoretinal surgeons.
| Tarek S. Hassan, MD, is a partner at Associated Retinal Consultants in Royal Oak, MI. He reports minimal financial interest in Thrombogenics. Dr. Hassan can be reached at tsahassan@yahoo.com. |
ENTER OCRIPLASMIN
Over the past few years, researchers have isolated and recombinantly produced ocriplasmin (Jetrea, Thrombogenics) — formerly known as microplasmin — the active protease site of plasmin enzyme, without the numerous nonenzymatic Kringle sites found on the full plasmin molecule.
The intravitreal injection of this 29-kDA protein has been shown to effectively achieve both a PVD and vitreous liquefaction with at least the same activity as plasmin. Additionally it offers the advantages of consistent sterile manufacturing, distribution, and dosing.10-12
The FDA approved ocriplasmin in October 2012 to treat symptomatic VMA (decreased vision, metamorphopsia). Thus, it became the first pharmacologic agent to be used as a potential replacement for surgery in the management of vitreoretinal disease.
Currently, approximately 500,000 patients in the United States and Europe have symptomatic VMA,13 many of whom may benefit from the novel nonsurgical procedure of a single office-based intravitreal injection of ocriplasmin. These patients can reasonably expect to obtain improvement or resolution of symptoms before they have to decide whether to undergo the standard treatment of surgical vitrectomy (Figure 2).
THE MIVI-TRUST TRIALS
FDA approval of ocriplasmin was based primarily on the outcomes of two large multicenter, randomized, double-masked phase 3 trials that were undertaken in the United States and Europe. The MIVI-TRUST (Microplasmin for Intravitreous Injection — Traction Release without Surgical Treatment) 006 and 007 trials enrolled 652 patients with VMA (including macular holes) and looked at the primary endpoint of VMA resolution at day 28 following a single intravitreal injection of 0.125 mg of ocriplasmin (464 patients) or placebo (188 patients).
The study reported several significant anatomic outcomes. At day 28 postinjection, VMA resolution, demonstrated by OCT, was seen in 26.5% of ocriplasmin-treated eyes vs 10.1% of placebo-treated eyes (P < .001). This statistically significant difference was maintained for six months of follow-up.
The majority of patients that achieved VMA resolution following ocriplasmin did so within seven days (72%). At six months following injection, fewer patients in the ocriplasmin-treated group required a vitrectomy to relieve traction and improve symptoms than in the placebo group (17.7% vs 26.6% respectively, P = .02). The size of the zone of adhesion was correlated with successful relief of VMA.
Subgroup analysis showed that up to 40% of eyes with a zone of VMA <1,500 μm had VMA resolution following ocriplasmin, compared to 7.7% of placebo-treated eyes with similar small zones of VMA.
The presence of an epiretinal membrane had an impact on the success of ocriplasmin injections. Eyes with significant ERMs were included in the trials and were found to have poorer responses to ocriplasmin injections than eyes without ERMs.
Subgroup analysis that excluded eyes with ERMs found that 37.4% of eyes had resolution of VMA following ocriplasmin injection, a greater percentage than seen when all eyes were considered (P < .003). Overall, a total PVD occurred in 13.4% of ocriplasmin-treated eyes vs 3.7% of placebo-treated eyes (P < .001).
Further subgroup analysis demonstrated that the presence of an ERM significantly reduced the rate of PVD formation. Eyes without significant ERMs achieved a PVD much more frequently than those with significant ERMs (19.6% vs 5%, P < .001).14,15
Macular Hole Results
Perhaps most striking was the effect of ocriplasmin injection on macular hole closure. Of those eyes with full-thickness macular holes (FTMHs) and VMA that received ocriplasmin (n=106), 40.6% had complete closure of the hole without the need for subsequent vitrectomy, compared to 10.6% of the placebo-injected eyes (n=47) that achieved similar hole closure without vitrectomy (P < .001). The size of the FTMH prior to injection was strongly correlated with the likelihood of closure.

Figure 1. Classification scheme of hyaloid adhesion and vitreomacular traction (VMT) seen with SD-OCT. A normal eye of an elderly patient: The hyaloid membrane is visible and completely detached from the fovea, though there is a persistent adhesion to the optic nerve (top). Eye with nonexudative AMD and drusen (center): The hyaloid is attached over the entire macula, including the fovea. Eye with choroidal neovascularization (bottom). The persistence of hyaloid adhesion causes VMT over the CNV complex: A focal distortion of the retinal profile is visible at the site of hyaloid attachment. Reprinted from Am J Ophthlamol, vol. 146, Mojana F, Cheng L, Bartsch DU, et al., The role of abnormal vitreomacular adhesion in age-related macular degeneration: spectral optical coherence tomography and surgical results, pp. 218-227, Copyright 2008, with permission from Elsevier.
Treated eyes with an FTMH of <250 μm had a closure rate of 58.3% (vs 16.0% in placebo eyes), while those with a hole size of >250 μm had a closure rate of 24.6% (vs 4.5% in placebo eyes). At the six-month evaluation, hole closure was maintained in eyes that achieved it following ocriplasmin treatment.
For eyes that failed to have closure of the FTMH, ocriplasmin injection did not reduce the likelihood that the hole would close if subsequent vitrectomy was needed, as >90% hole closure was achieved.14,15

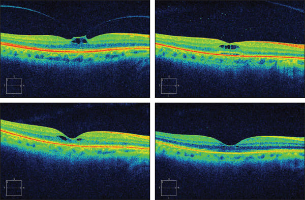
Figure 2. OCT images of a case with VMT that was successfully treated with oicrplasmin The patient was 20/80 pre-Rx (upper left), 20/80 one week later (upper right; VMT resolved within 24 hours), 20/40 one month later (lower left), and 20/30 three months (lower right), The patient was 20/20 12 months after treatment. Images courtesy of Carl D. Regillo, MD.
Statistically significant differences in visual results were also seen. Visual acuity improvement, irrespective of the need for subsequent vitrectomy, was higher in the ocriplasmintreated groups than in the placebo-treated groups. Two or more lines of VA increase were seen in 28.0% of eyes receiving ocriplasmin (vs. 17.1% in placebo eyes, P = .003) and >3 lines of increase were seen in 12.3% of ocriplasmin-treated eyes (vs 6.4% in placebo eyes, P = 0.024).
Visual acuity improvement without the need for vitrectomy is an important measurement of the efficacy of ocriplasmin. Ocriplasmin-treated eyes had roughly twice the likelihood of achieving a >2 line VA improvement than placebo (23.7% vs 11.2%, P < .001) and nearly three times the likelihood of achieving a >3 line improvement (9.7% vs 3.7%, P = .008) at six months following injection.
As expected, eyes that had VMA resolution were more likely to have VA improvement than eyes that did not (44.7% of ocriplasmin-treated eyes vs 21.2% of placebo-treated eyes gained >2 lines; 20.3% of ocriplasmin treated eyes vs 15.8% of placebo treated eyes gained >3 lines).
Similarly, FTMH eyes that achieved nonsurgical hole closure had a much greater VA improvement than those that did not, regardless of whether it was achieved following ocriplasmin or placebo injection. At month 6, 72.1% of eyes that achieved hole closure after ocriplasmin had VA improvement of >2 lines, and 48.8% had improvement of >3 lines.14,15
Adverse Events
Ocriplasmin injections were well tolerated. Reported adverse events included symptomatic vitreous floaters, photopsia, conjunctival redness, irritation. These events were most likely related to the procedure of intravitreal injection rather than injection of ocriplasmin in particular, because they were seen in 68.4% of ocriplasmin-treated eyes vs 53.5% of placebo-treated eyes — a non–statistically significant difference.
These events were generally transient in nature and mild in most cases. Serious ocular adverse events were equivalent in both ocriplasmin- (7.7%) and placebo-treated eyes (10.7%) (P = .26). Interestingly, a higher incidence of retinal tears and detachments was seen in placebo-treated eyes (4.3%) compared to ocriplasmintreated eyes (1.7%).14,15
FUTURE APPLICATIONS
We are now entering a new era in the management of vitreoretinal tractional pathology. Office-based intravitreal injection of ocriplasmin now allows for the nonsurgical treatment of conditions that heretofore had vitrectomy as their only method of treatment.
From the MIVI-TRUST trials, we know several things. Eyes with symptomatic VMA and focal adhesions, more than broad adhesions, have a significant chance of obtaining nonsurgical resolution of VMA and relief of symptoms following a single injection of 0.125 mg of ocriplasmin. These eyes may potentially not ever require vitrectomy as part of the treatment regimen.
We also know that VMA resolution by pharmacologic means leads to VA improvements that are similar to those seen following the surgical relief of VMA. Eyes with small FTMHs have an excellent chance of obtaining nonsurgical closure following intravitreal ocriplasmin injection — so much so that such treatment may become the standard approach for holes of this size in the near future. This is particularly true as it seems that hole closure following vitrectomy is not compromised if prior ocriplasmin injection fails.
Ultimately, patients may now achieve desired surgical endpoints without being exposed to the increased morbidity of vitrectomy for such conditions.
The Role of Imaging
With ever-improving OCT technology and increasingly widespread availability of high-resolution spectral domain OCT, retina specialists will continue to gain better visualization and understanding of the natural history of vitreomacular tractional pathology and its responses to treatment — including the use of ocriplasmin.
Our ability to determine proper patient selection for ocriplasmin will likely drive our assessment of its efficacy. Initially, we would be expected to try intravitreal ocriplasmin in eyes with focal VMA or small FTMHs, or both. These are the eyes that we anticipate would have the greatest chance of response and the least likely chance of having their ultimate outcome compromised if the injection is not successful.
QUESTIONS TO BE ANSWERED
The development of ocriplasmin and the demonstration of its efficacy in phase 3 clinical trials has ushered in a new era of pharmacologic vitrectomy. However, things that we do not yet know about ocriplasmin from these trials may ultimately have a broader impact on the treatment of vitreoretinal disease in the years to come.
We do not know the safety and efficacy of administering higher doses of ocriplasmin or injecting multiple repeated doses in the same eye, to enhance the enzymatic effect and increase the vitreous liquefaction and vitreoretinal separation.
We suspect that other vitreoretinal diseases that may have a component of vitreomacular traction, such as DME, retinal vein occlusion, and even neovascular AMD, may be successfully treated with ocriplasmin, either alone or in combination with anti-VEGF agents, to obtain nonsurgical relief of symptoms. However, this has yet to be evaluated.
We must more fully evaluate the extent of the role that ocriplasmin could play as an adjunct to vitrectomy for many conditions that one would expect to benefit from easier and more complete removal of all vitreous from the retinal surface, including retinal detachment. Ultimately, we must evaluate the possibility that pharmacologic vitrectomy in general, or ocriplasmin in particular, could significantly improve the natural history of eyes with diabetic retinopathy and AMD, as well as potentially others, which may have better long-term outcomes after developing a PVD.
Answers to these and likely numerous other questions will be pursued in the coming years. With FDA approval of the first agent to perform a pharmacologic vitrectomy successfully, we are only just beginning to see the tip of the iceberg of this burgeoning new addition to the treatment paradigm of so many potentially blinding conditions. RP
REFERENCES
1. Margherio AR, Margherio RR, Hartzer M, Trese MT, Williams GA, Ferrone PJ. Ophthalmology. 1998;105:1617-1620.
2. Gandorfer A, Putz E, Welge-Lüssen U, Grüterich M, Ulbig M, Kampik A. Br J Ophthalmol. 2001;85:6-10.
3. Sakuma T, Tanaka M, Mizota A, Inoue J, Pakola S. Invest Ophthalmol Vis Sci. 2005;46:3295-3299.
4. Gandorfer A, Ulbig M, Kampik A. Plasmin-assisted vitrectomy eliminates cortical vitreous remnants. Eye. 2002;16:95-97.
5. Trese MT, Williams GA, Hartzer MK. A new approach to stage 3 macular holes. Ophthalmology. 2000;107:1607-1611.
6. Wu WC, Drenser KA, Capone A, Williams GA, Trese MT. Plasmin enzymeassisted vitreoretinal surgery in congenital X-linked retinoschisis: surgical techniques based on a new classification system. Retina. 2007;27:1079-1085.
7. Asami T, Terasaki H, Kachi S, et al. Ultrastructure of internal limiting membrane removed during plasmin-assisted vitrectomy from eyes with diabetic macular edema. Ophthalmology. 2004;111:231-237.
8. Hirata A, Takano A, Inomata Y, Yonemura N, Sagara N, Tanihara H. Plasminassisted vitrectomy for management of proliferative membrane in proliferative diabetic retinopathy: a pilot study. Retina. 2007;27:1074-1078.
9. Wu WC, Drenser KA, Lai M, Capone A, Trese MT. Plasmin enzyme-assisted vitrectomy for primary and reoperated eyes with stage 5 retinopathy of prematurity. Retina. 2008;28(Suppl 3):S75-S80.
10. Gandorfer A, Rohlender M, Sethi C, et al. Posterior vitreous detachment induced by microplasmin. Invest Opthalmol Vis Sci. 2004;45:641-647.
11. Sebag J, Ansari RR, Suh KI. Pharmacologic vitreolysis with microplasmin increases vitreous diffusion coefficients. Graefes Arch Clin Exp Ophthalmol. 2007;245:576-580.
12. Chen W, Mo W, Sun K, et al. Microplasmin degrades fibronectin and laminin at vitreoretinal interface and outer retina during enzymatic vitrectomy. Curr Eye Res. 2009;34:1057-1064.
13. Alcon internal estimates, 2012.
14. Stalmans P, Benz MS, Gandorfer A, et al. Enzymatic vitreolysis with ocriplasmin for vitreomacular traction and macular holes. N Engl J Med. 2012;367:606-615.
15. ThromboGenics, Inc. BLA 125422. Ocriplasmin Intravitreal Injection Advisory Committee Briefing Document, Dermatologic and Ophthalmic Drugs Advisory Committee Meeting, July 26, 2012
16. Boulton M, Gregor Z, McLeod D, et al. Intravitreal growth factors in proliferative diabetic retinopathy: correlation with neovascular activity and glycaemic management. Br J Ophthalmol. 1997;81:228-233.
17. Ono R, Kakehashi A, Yamagami H, et al. Prospective assessment of proliferative diabetic retinopathy with observations of posterior vitreous detachment. Int Ophthalmol. 2005;26:15-19.
18. Stefansson E, Landers MB How does vitrectomy affect diabetic macular edema? Am J Ophthalmol. 2006;141:984.







