PEER REVIEWED
Optical Coherence Tomography in Macular Hole Management
Preoperative, intraoperative, and postoperative roles.
ROGER A. GOLDBERG, MD, MBA • SUMIT P. SHAH, MD • JAY S. DUKER, MD
In the 20 years since macular hole surgery was first reported by Kelly and Wendel, our knowledge of and ability to treat macular holes has improved dramatically. In their first report, anatomic closure was achieved in only 58% of eyes;1 closure rates greater than 90% are now routinely reported.
This improvement in surgical success may be secondary to two important factors: (1) improved surgical instrumentation, visualization, and technique; and (2) the widespread dissemination of optical coherence tomography, which has given surgeons the ability to diagnose accurately full-thickness macular holes sooner and to intervene when the holes are smaller and more amenable to treatment.
Optical coherence tomography became commercially available in 1996, though it was not until Carl Zeiss Meditec launched the Stratus platform in 2002 that OCT became widely adopted. This time-domain system performs 400 A-scans per second and has an axial resolution of 10 μm.
In 2006, spectral-domain (or Fourier-domain) OCT systems became commercially available. These high-resolution devices are up to 65 times faster and offer double the resolution of the older systems. They can identify subtle changes in photoreceptor and retinal pigment epithelium anatomy, image the vitreoretinal interface, and confirm the presence of small amounts of intra- and subretinal fluid.
Additionally, by scanning a larger section of the macula, OCT enables accurate and consistent evaluation of patients with poor fixation, such as in advanced age-related macular degeneration.
|
Roger A. Goldberg, MD, MBA, is a vitreoretinal fellow at Tufts New England Eye Center and Ophthalmic Consultants of Boston. Sumit P. Shah, MD, practices ophthalmology with New England Retina Associates in Connecticut. Jay S. Duker, MD, is professor and chair of opthalmology at Tufts. None of the authors reports any financial interests in any products mentioned in this article. Dr. Goldberg can be reached via e-mail at rgoldberg.eyemd@gmail.com. |
The use of OCT in the management of macular hole is still evolving (Figure 1), but obtaining an OCT preoperatively is the standard of care for the vitreoretinal surgeon. The information it provides in preoperative planning is essential, and its utility postoperatively is growing. Perhaps the future may also find a role for OCT in intraoperative decision-making during macular hole surgery.
PREOPERATIVE OCT: ESTABLISHING THE DIAGNOSIS
Gass first characterized the stages of what was referred to at that time as “idiopathic” macular hole, and he speculated on the implications of these stages for surgical intervention.2 He did this well before Kelly and Wendel reported on vitrectomy for macular hole and before Puliafito reported on OCT in macular diseases.3
Today, preoperative OCT of macular hole is routine, and can help guide decision-making regarding the timing of and approach to surgery, and it can also help set patient expectations regarding anatomical and functional outcomes.
One reason to obtain an OCT preoperatively is to confirm the presence of a full-thickness macular hole (FTMH) and to be certain a clinically mimicking lesion, like macular pseudohole, is not present.
Macular pseudohole is a clinical diagnosis, made at the slit lamp using a contact or noncontact lens. Most macular pseudoholes are the result of epiretinal membranes, but other etiologies, such as vitreomacular traction or lamellar macular hole, can also simulate FTMH. These pseudoholes can remain stable with good vision and without risk of progressive photoreceptor damage, so they are important to differentiate from FTMH.
Though the Watzke-Allen slit beam test can be used to help to distinguish clinically a FTMH from a pseudohole, OCT is now considered the gold standard for diagnostic confirmation.4,5
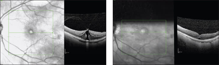
Figure 1. Vitreomacular traction with stage 2 macular hole. Preoperative OCT shows an adherent vitreous still attached to a small bridge of inner retinal tissue, with a small full-thickness macular hole (left). This patient underwent pars plana vitrectomy. By postoperative day one, the hole was noted to be closed (right). This patient did well with vitrectomy, although today an intravitreal injection of ocriplasmin might be an appropriate nonsurgical option to consider as well.
Ocriplasmin and OCT
With the recent approval of ocriplasmin (Jetrea, Thrombogenics) for the treatment of symptomatic vitreomacular adhesion, the use of OCT becomes even more important preoperatively. Ocriplasmin is a recombinant, 2-kDa enzyme that, like human plasmin, can hydrolyze laminin and fibronectin, which connect the collagen fibrils at the vitreoretinal interface.
In two pivotal phase 3 studies, a single injection of ocriplasmin was able to close 40.6% of full-thickness stage 2 or stage 3 macular holes, compared to 10.6% of placebo-injected eyes at one month.6 A subgroup analysis of these data showed that in holes smaller than 250 μm in diameter, as measured by OCT, the closure rate with ocriplasmin was 58%.
However, in the presence of coexistent ERM, fewer than 10% of patients had resolution of their VMA with a single ocriplasmin injection. Eyes with FTMHs greater than 400 μm in diameter, or with a complete posterior vitreous detachment (stage 4 hole), were excluded from the ocriplasmin intravitreal injection studies.
Ocriplasmin received approval from the FDA in October 2012 and shipped for clinical use in January 2013. It is approved for the treatment of symptomatic VMA, which is a new diagnosis that has its own CPT code (379.27).
In patients with stage 2 and 3 macular hole, it is not clear at this point whether they should be coded as both macular hole (362.54) and VMA. The wholesale acquisition cost for a single-use vial of ocriplasmin is $3,950; treating clinicians will need to be careful with patient selection to ensure the drug will be covered.
Some third-party payers may ultimately require an OCT as part of the approval process, just as some insurers required a fluorescein angiogram demonstrating a predominantly classic lesion before approving photodynamic therapy with verteporfin for the treatment of neovascular AMD.
Surgical Planning With OCT
For patients with FTMH who are not good candidates for ocriplasmin therapy, vitreoretinal specialists can use OCT for surgical planning and expectation management. For example, surgeons can easily measure the diameter of a macular hole on OCT. Aperture diameter is a key factor in accurately predicting the anatomic success rate of FTMH closure, either with or without ILM peeling.7-9
Reviewing this information with patients and their families before surgery is helpful in explaining the nature of a FTMH and to avoid an unhappy patient postoperatively. Additionally, while some surgeons routinely peel the ILM to maximize closure rates and minimize the risk of recurrent ERM or late reopening of the macular hole, studies suggest that anatomic success rates of surgery on small FTMHs is the same, with or without ILM peeling.
Additionally, OCT can help assess for the presence of vitreoschisis (residual cortical vitreous on the macular surface despite apparent posterior vitreous separation) and ERM in conjunction with FTMH. This information can help the surgeon determine whether intraoperative staining with triamcinolone acetonide (to facilitate removal of residual vitreous cortex) or indocyanine green or brilliant blue (for ILM peeling) will improve success rates.
Debate regarding the need for and potential toxicity of these surgical adjuvants persists, and their judicious use seems reasonable. Preoperative OCT can help guide this decision.
Finally, OCT can help identify other concurrent pathologies that may limit visual potential, even with successful anatomic closure. For example, SD-OCT can visualize the photoreceptor inner segment–outer segment junction, as well as the RPE, which may be able to provide information on visual potential. This information can help facilitate a discussion with patients and their families and help them to make a more informed decision regarding macular hole surgery.
POSTOPERATIVE OCT: A TOOL TO GUIDE PRONE POSITIONING
Perhaps one of the most debated areas of macular hole surgery is the need for postoperative prone positioning.24 Initial reports recommended face-down positioning for seven days after surgery to aid in surgical closure of the hole.
However, face-down posturing, albeit short-term, can cause significant patient morbidity. It can be physically straining and incur medical risk, including risk of deep vein thrombosis. Additionally, for some patients, prone positioning may be physically impossible.
Tornambe first proposed macular hole surgery without prone positioning and demonstrated a 79% closure rate after one surgery and an 85% total success rate.10 Since then, many reports have demonstrated comparable anatomic results with limited-duration or even no prone positioning,11-14 although many vitreoretinal surgeons still recommend face-down positioning of a week or longer to all of their patients.15
Spectral-domain OCT may be particularly helpful in individualizing the advice surgeons give patients regarding face-down positioning. A landmark study published in 2008 by Eckardt and colleagues used a custom-rigged platform that enabled them to obtain OCT images in face-down postoperative patients.16 This minimized reflections off the gas bubble and allowed for reasonable-quality images to be obtained.
In their prospective evaluation of 33 eyes, they found that 55% of FTMHs were closed on postoperative day 1, and 76% were closed by postoperative day two. Once the hole was closed, they stopped face-down positioning. No holes reopened using this regimen.
Whereas TD-OCT is somewhat limited by its ability to localize the fovea through gas-filled vitreous cavities,17,18 most SD-OCT devices can obtain images through gas in patients sitting upright (Figure 2). Several recent studies have demonstrated the ability of SD-OCT to image the macula through gas consistently. By utilizing the macular cube scan feature on these higher-resolution OCT platforms, a 6 × 6 mm area of the macula can effectively be imaged and ensure that raster scans through the fovea are obtained.
Most OCT platforms can image the macula through a gas-filled eye, but the quality of the image varies widely between platforms. Other factors, including corneal edema, pupillary dilation, and lens opacity, may also limit the quality of the OCT scan.
In a recently published study by Shah et al., 32 patients with eyes with stage 2, 3, and 4 FTMHs were instructed to remain face down until their postoperative day one follow-up visit.19 Then, if the hole was closed on OCT, they were instructed to remain face down for two more days (three days total). If the hole was open or indeterminate, they were instructed to maintain six more days of face-down positioning (one week total).
Figure 2. Postoperative day one OCT through a gas-filled eye. This patient had a full-thickness macular hole repaired by pars plana vitrectomy and membrane peel. At the end of the case, the eye was filled with 20% sulfur hexafluoride gas. This OCT, obtained using a Carl Zeiss Meditec Cirrus platform, was taken one day after surgery and demonstrates a closed hole.
In this study, 24 eyes (75%) were noted to have closed holes on postoperative day one, and of these eyes, 23 holes (95.8%) remained closed during follow-up. Of the eight eyes with open or indeterminate holes on postoperative day one, six holes closed after one week of prone positioning.
Notably, each of these holes not closed on postoperative day one were greater than 400 μm in diameter preoperatively. Using this algorithm of OCT-guided prone positioning, the authors achieved an overall single-procedure closure rate of 90.6%.
A similar pilot study by Masuyama et al. used daily postoperative OCT to guide face-down positioning.20 As soon as the hole was closed, prone posturing was stopped. The study followed 16 eyes with stage 2 or stage 3 holes. On postoperative day one, 10 holes were closed, three were open, and three were indeterminate.
By postoperative day two, two of the unclosed FTMHs on day one were closed. The remaining four eyes maintained face-down positioning for eight days. At one month postoperatively, all FTMHs were closed. These findings suggested that as soon as the hole is closed, as shown on OCT, prone positioning is no longer beneficial.
Although postoperative OCT does not resolve the debate as to whether face-down posturing is needed at all, these two studies do offer vitreoretinal specialists who still uniformly recommend one week or more of positioning without the use of SD-OCT, the opportunity to shorten the duration of positioning by utilizing SD-OCT in the early postoperative period.
Assessing Postoperative Outcomes
Beyond positioning, postoperative OCT can also aid in determining why some patients have poor visual outcomes despite successful anatomic closure. For example, small, usually transient residual subretinal fluid pockets can easily be identified. Also, disruptions to the outer retinal layers, including the RPE and photoreceptor layers, can correlate with visual outcomes, as well as inner retinal defects from surgical trauma.
Dissociated nerve fiber layer, recurrent ERM, and photoreceptor and RPE disruptions have all been reported after successful anatomic closure of FTMH. Not only does OCT help the surgeon identify the problem, but it also helps serve as a tool for patient education.
INTRAOPERATIVE OCT: A ROLE IN THE FUTURE?
The possibility of intraoperative, real-time, high-resolution OCT images during macular surgery is an exciting — if still undefined — prospect. Intraoperative OCT, however, is still in its infancy.
Several reports using a handheld or microscope-mounted SD-OCT device intraoperatively have been published, including one paper by Ray et al., which looked at 11 macular hole cases using a custom-built microscope-mounted OCT.21,22 The authors found that immediately after ILM peeling, the MH height and diameter were unchanged, but the diameter of submacular fluid increased in all but one case. Whether this finding is clinically significant is not yet known.
Currently, intraoperative OCT using handheld devices is cumbersome, technically difficult to perform, and disruptive. However, extensive research is ongoing to create easily operated, real-time intraoperative OCT with useful displays allowing the surgeon to visualize optically, and by OCT, his or her surgical maneuvers.23
Additionally, ultra-high-resolution OCT platforms are currently in development. While none of these are available outside of the research setting, they offer the possibility of even faster, higher-quality, real-time images. How much they may add clinically is still unknown.
CONCLUSIONS
Over the last two decades, OCT has revolutionized our understanding of the pathophysiology, characterization, and the medical and surgical management of diseases of the vitreomacular interface and especially FTMHs.
Preoperatively, OCT is the standard of care to confirm the diagnosis and help guide therapy — it is difficult to imagine that any surgery or medical therapy for FTMH would be performed in the United States without a preoperative OCT having been obtained.
With the availability of pharmacologic vitreolysis in the form of ocriplasmin, OCT characterization may allow for the medical — rather than surgical — management of certain macular holes. For macular holes that do require surgical intervention, OCT is helpful for preoperative planning and prognosticating.
Postoperatively, OCT has helped demonstrate most FTMHs close within the first two days, and perhaps these OCT images can help guide the recommendation for facedown positioning. Additionally, OCT can help explain the postoperative visual acuity in successfully closed holes.
Future directions include the use of real-time intraoperative OCT to visualize the direct effect of our surgical instruments as it interacts with the retinal surface. RP
REFERENCES
1. Kelly NE, Wendel RT. Vitreous surgery for idiopathic macular holes. Results of a pilot study. Arch Ophthalmol. 1991;109:654-659.
2. Johnson RN, Gass JD. Idiopathic macular holes. Observations, stages of formation, and implications for surgical intervention. Ophthalmology. 1988;95:917-924.
3. Puliafito CA, Hee MR, Lin CP, et al. Imaging of macular diseases with optical coherence tomography. Ophthalmology. 1995;102:217-229.
4. Tanner V, Williamson TH. Watzke-Allen slit beam test in macular holes confirmed by optical coherence tomography. Arch Ophthalmol. 2000;118:1059-1063.
5. Hee MR, Puliafito CA, Wong C, et al. Optical coherence tomography of macular holes. Ophthalmology. 1995;102:748-756.
6. Stalmans P, Benz MS, Gandorfer A, et al. Enzymatic vitreolysis with ocriplasmin for vitreomacular traction and macular holes. N Engl J Med. 2012;367:606-615.
7. Tadayoni R, Gaudric A, Haouchine B, et al. Relationship between macular hole size and the potential benefit of internal limiting membrane peeling. Br J Ophthalmol. 2006;90:1239-1241.
8. Ulrich S, Haritoglou C, Gass C, et al. Macular hole size as a prognostic factor in macular hole surgery. Br J Ophthalmol. 2002;86:728-735.
9. Ip MS, Baker BJ, Duker JS, et al. Anatomical outcomes of surgery for idiopathic macular hole as determined by optical coherence tomography. Arch Ophthalmol. 2002;120:29-35.
10. Tornambe PE, Poliner LS, Grote K. Macular hole surgery without face-down positioning: a pilot study. Retina. 1997;17:179-185.
11. Tranos PG, Peter NM, Nath R, et al. Macular hole surgery without prone positioning. Eye. 2007;21:802-806.
12. Madgula IM, Costen M. Functional outcome and patient preferences following combined phaco-vitrectomy for macular hole without prone posturing. Eye. 2008;22:1050-1053.
13. Merkur AB, Tuli R. Macular hole repair with limited nonsupine positioning. Retina. 2007;27:365-369.
14. Rubinstein A, Ang A, Patel CK. Vitrectomy without postoperative posturing for idiopathic macular holes. Clin Exp Ophthalmol. 2007;35:458-461.
15. Jumper JM, Mittra RA. 2011 American Society of Retina Specialists PAT Survey. Chicago, IL; ASRS; 2011.
16. Eckardt C, Eckert T, Eckardt U, et al. Macular hole surgery with air tamponade and optical coherence tomography-based duration of face-down positioning. Retina. 2008;28:1087-1096.
17. Jumper JM, Gallemore RP, McCuen BW 2nd, Toth CA. Features of macular hole closure in the early postoperative period using optical coherence tomography. Retina. 2000;20:232-237.
18. Kasuga Y, Arai J, Akimoto M, Yoshimura N. Optical coherence tomography to confirm early closure of macular holes. Am J Ophthalmol. 2000;130:675-676.
19. Shah SP, Manjunath V, Rogers AH, et al. Optical coherence tomography-guided facedown positioning for macular hole surgery. Retina. 2013;33:356-362.
20. Masuyama K, Yamakiri K, Arimura N, Sonoda Y, Doi N, Sakamoto T. Posturing time after macular hole surgery modified by optical coherence tomography images: a pilot study. Am J Ophthalmol. 2009;147:481-488 e482.
21. Dayani PN, Maldonado R, Farsiu S, Toth CA. Intraoperative use of handheld spectral domain optical coherence tomography imaging in macular surgery. Retina. 2009;29:1457-1468.
22. Ray R, Baranano DE, Fortun JA, et al. Intraoperative microscope mounted spectral domain optical coherence tomography for evaluation of retinal anatomy during macular surgery. Ophthalmology. 2011;118:2212-2217.
23. Hahn P, Migacz J, O’Connell R, et al. The use of optical coherence tomography in intraoperative ophthalmic imaging. Ophthalmic Surg Lasers Imaging. 2011;42:S85-S94.
24. Mittra RA, Kim JE, Han DP, Pollack JS. Sustained postoperative face-down positioning is unnecessary for successful macular hole surgery. Br J Ophthalmol. 2009;93:664-666.







