Identifying Choroidal Pathology With Enhanced Depth Imaging OCT
Better imaging reveals new anomalies. What is their clinical significance?
Jesse J. Jung, MD • K. Bailey Freund, MD
The noninvasive, noncontact imaging modality of optical coherence tomography can acquire cross-sectional scans of the retinal architecture,1 and with the advent of spectral-domain OCT and refined OCT imaging techniques, this technology has become an integral part of the diagnosis and management of chorioretinal disease.
Previously, imaging the entire choroid was impossible due to the attenuating effects of the retinal pigment epithelium and outer retinal structures. Also, the dense vascular structure of the choroid creates light scatter, which interferes with OCT imaging of the choroid.2,3 Further, the wavelength of the SD-OCT light source used to image the retina is often not long enough to penetrate deep into the choroid.4
Recently, Spaide et al. described the technique of enhanced depth imaging (EDI)-OCT, which involves placing the objective lens of the Spectralis SDOCT (SD-OCT) device (Heidelberg Engineering) closer to the eye so that an inverted image is obtained.2 This maneuver allows deeper structures to be placed closer to the zero delay, thereby allowing for better visualization of the choroid.2 Combining high-speed scanning, eye-tracking, image-averaging technology, reduced noise and greater coverage of the macular area, high-resolution OCT images of the choroid can now be created.5
| Jesse J. Jung, MD, is on the faculty of the department of ophthalmology at the NYU Medical Center. K. Bailey Freund, MD, practices with Vitreous Retina Macula Consultants of New York. Dr. Freund reports financial interest in Genentech, Regeneron and QLT. Dr. Jung reports no financial interests. Dr. Freund can be reached via e-mail at kbfnyf@aol.com. |
Due to the choroid's chief functions of supplying metabolic support to the RPE and outer retina6 and the prelaminar portion of the optic nerve,7 and because it contains melanocytes that absorb excess light and prevents damage to surrounding structures,8 it may be involved in several important diseases of the retina, RPE and optic nerve. With the development of EDI-OCT, the understanding of the choroid using noninvasive imaging techniques has grown significantly.
Herein, we discuss age-related choroidal atrophy (ARCA) and focal choroidal excavation (FCE), two choroidal pathologies recently identified and described largely by EDI-OCT.
AGE-RELATED CHOROIDAL ATROPHY
Age-related choroidal atrophy was initially described by Spaide in 2008 using EDI-OCT technology to identify thinning of the choroid as an acquired disorder that developed with age, and Spaide proposed that this choroidal aging could correlate with several disease states.3,9
Margolis and Spaide analyzed 54 normal eyes and found that the choroid was thickest underneath the fovea, with a mean thickness of 287 µm.3 Given that the choroid is the most vascular structure within the eye and the fovea, is situated at the center of the macula, and has the highest photoreceptor density and metabolic activity,6 it is not unexpected that the choroid is thickest in this region.10
Interestingly, Margolis and Spaide found a statistically significant correlation with age and choroidal thickness, in which the choroid thinned with age.3 Using regression analysis, they showed that the subfoveal choroidal thickness decreased 1.56 µm for each year of age or that, over the course of an 80-year lifetime, an eye would lose approximately one-third of its subfoveal choroidal thickness.3 This invivo measurement of subfoveal choroidal thickness using EDI-OCT correlated with similar previous studies with eye bank and autopsy eyes, which found that choroidal thickness was correlated negatively with age and decreased by 1.1 µm per year of age.11
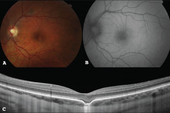
On examination, individuals with ARCA (Figure 1) demonstrate pigmentary changes, a tessellated fundus and a paucity of visible choroidal vessels.9 These clinical and EDI-OCT imaging observations may help explain the age-related decrease in visual acuity and function commonly seen with aging.9
Figure 1. A 78-year-old man with age-related choroidal atrophy in his right eye. A. Color photography shows focal hyperpigmentation and choroidal pallor in the central macula. B. Fundus autofluorescence imaging shows relative preservation of the retinal pigment epithelium. C. Enhanced depth imaging OCT shows a very thin choroid beneath the fovea (arrow).
Several hypotheses have been proposed to explain ARCA. Age-related changes of the vascular structure of the choriocapillaris, as determined by histologic analysis, include a decrease in the vascular density, overall luminal area and diameter of the choriocapillary vessels.11-14
These findings may occur in vivo, but unfortunately, histological correlation is limited the choroid, during life, being a highly vascular structure with thickness varying in relation to many intrinsic and extrinsic factors that control blood flow, while after death and fixation prior to histologic analysis, the choroid shrinks, which affects accurate measurement.3
Another possible explanation is that choroidal vessels are prone to be affected by systemic conditions, such as hypertension and hyperlipidemia, and are likely to undergo atherosclerotic and aging changes, similar to other micro vascular structures within the human body.10,15-17 These micro vascular changes lead to a decrease in choroidal thickness, which itself leads to a decrease in the amount of oxygen and metabolites provided to the RPE and outer retina.3
Spaide proposed that this age-related small-vessel vascular disease of the choroid could explain the pathophysiologic mechanism initially postulated by Grossniklaus and Green, in which choroidal neovascularization in age-related macular degeneration occurred due to the decreased ability of the choroid to deliver oxygen and metabolites to the retina, thus leading to the drive of vascular endothelial growth factor and the growth of neovascular tissue.9,18
Interestingly, ARCA does not only occur in the subfoveal region; it also occurs in the nasal macula and peripapillary region. Given that the mean choroidal thickness was 203 µm and 145 µm at 2.0 mm and 3.0 mm nasal to the fovea, respectively, thinning that occurred at a rate of 1.34 µm at 3 mm nasal to the fovea would lead to severe choroidal thinning in these regions.3
Again, this in-vivo measurement of choroidal thickness correlated with histopathological studies that showed that, in areas of peripapillary atrophy, there was decreased choriocapillaris density, RPE atrophy and photoreceptor degeneration that progressed with age.12
Margolis and Spaide proposed that ARCA of the peripapillary region may correlate with the development of peripapillary atrophy due to the loss of choroidal vasculature to the point that it is unable to support adequately the needs of the overlying RPE and outer retina.3 This peripapillary atrophy and ARCA could also play a role in the development of glaucoma, especially low-tension glaucoma.19
In a group of 28 eyes, Spaide found that the proportion of patients with glaucoma was greater than that seen in patients of a similar age in large population studies.9 The optic nerve head and prelaminar region rely on the blood supply from the centripetal branches of peripapillary choroidal vessels,7 and ARCA could be one pathophysiologic explanation for the correlation of age with glaucoma.3,9
EDI-OCT provides a unique technique for quantifiably monitoring peripapillary choroidal thickness and possibly providing another modality to screen for glaucoma.
FOCAL CHOROIDAL EXCAVATION
Focal choroidal excavation was first reported by Jampol et al. in 2006. They described a case of choroidal excavation noted on time-domain OCT in a 62-year-old woman with an eye with good visual acuity that slowly progressed over a period of one year with thinning of the overlying retina.20
In this case, the neurosensory retina was separated by an optically clear space consistent with serous fluid, which was filling the space left by the choroidal excavation.20 This condition has since been described as a “nonconforming FCE” based on its OCT appearance.21 The RPE was intact at the edges of the lesion but became less reflective at the center of the lesion, which could correlate with RPE loss or depigmentation.20
Interestingly, the fluorescein angiography showed no leakage but did show a slight hyperfluorescence surrounding the central lesion.20 This initial description was limited by the depth of penetration by TD-OCT and expert opinions were unable to distinguish whether the choroid, sclera or both were involved.
Another case was reported by Abe et al. of a 29-yearold man who complained of a central scotoma in his right eye.22 The funduscopic examination revealed a red-colored lesion in the fovea and a window defect on FA.22 TD-OCT and SD-OCT were used to identify a nonconforming FCE. They noted a separation between the photoreceptors and the RPE, which was in the area of the FCE.22
Wakabayashi and colleagues also used SD-OCT to de scribe similar FCE findings in three additional patients.23 In this series, all of the cases were unilateral and presented with complaints of metamorphopsia.
In the first reported case, the patient was a 33-year-old wo man with myopia of -8.0 D. On examination, there were two FCEs in the macula, both with no separation detected between the photoreceptor tips and the RPE (“conforming FCE”). The FCEs involved the outer retina, but FA did not show any abnormal staining or leakage.23 Indo cyanine green angiography show ed a hypofluorescent lesion with some circumferential hyperfluorescence in the larger lesion. The vision remained good, and multifocal electroretinography (mf-ERG) was normal.23
The second case was a 35-year-old myopic woman with correction of -6.0 D. On SD-OCT, there was a wedge-shaped conforming FCE involving the outer retina. B-scan ultrasonography did not show any correlating defects, which could possibly have been due to low sound-wave resolution.23 Again, FA, ICG and mf-ERG showed similar findings as in the first case.
The last case was a young 38-year-old emmetropic woman. SD-OCT demonstrated a similar wedge-shaped nonconforming FCE with an optically clear space present between the IS/OS junction and RPE.23
Based on their observations of these three cases, Waka bayashi and colleagues proposed that unilateral choroidal excavations occurred due to an abnormal interaction between the photoreceptors and the RPE and that they contain retinal thickening toward the sclera, with the one possible site of increased retinal thickness corresponding to Henle's fiber layer.23 They did not show scleral involvement, but the study was limited by the inability to image the choroid fully due to the lack of optical depth.23
Recently, Margolis et al. used multiple imaging modalities, including SD-OCT, EDI-OCT, fundus autofluorescence (FAF), FA and ICG, to analyze 13 eyes with FCE, and they found that the mean age of patients was 45 years old (range, 22-62 years), eight of the 12 patients were women, and 10 eyes were myopic, with an overall mean refractive error of all 13 eyes of -3.54 D (range, 6.00 to -8.00 D).21
As in Wakabayashi's initial case series, most of the patients retained good visual acuity, but there was no predilection for sex or race, compared to the cases by Abe et al.22 and Wakabayashi et al.,23 in which all of the patients were of Asian descent.21 Interestingly, unlike the prior reports describing unilateral cases, these authors described one patient who had bilateral involvement.21
Using SD- or EDI-OCT, 10 of the 13 eyes showed a single lesion, and three eyes had two distinct areas of excavation.21 Seven of the 13 eyes demonstrated a conforming FCE with no separation between the photoreceptor tips and the RPE.21 In the remaining six nonconforming FCEs, the photoreceptor tips appeared to be detached from the underlying RPE, with an intervening hyporeflective empty space, presumably representing subretinal fluid.21 In these nonconforming cases, the RPE and IS/OS junction were often disrupted.21
In the seven eyes studied with EDI-OCT, there was no evidence of scleral ectasia, and the mean choroidal thickness of the uninvolved choroid adjacent to the areas of FCE was thicker than normal, at 319 µm (range, 244-439 µm).21 EDI-OCT imaging confirmed that only the choroid was involved and that these entities were not “microstaphylomas” because the interface between the choroid and the sclera appeared smooth and undisturbed.21
The etiology of FCE remains unclear, but Margolis and colleagues hypothesized that it may be a congenital posterior-segment malformation, and they also mentioned the possibility of an antecedent congenital or acquired choroiditis that left an FCE behind.21 The authors felt that this was less likely, given the observation that the conforming FCEs have an intact outer retina and choriocapillaris, whereas these layers are typically absent in chorioretinal scars.21
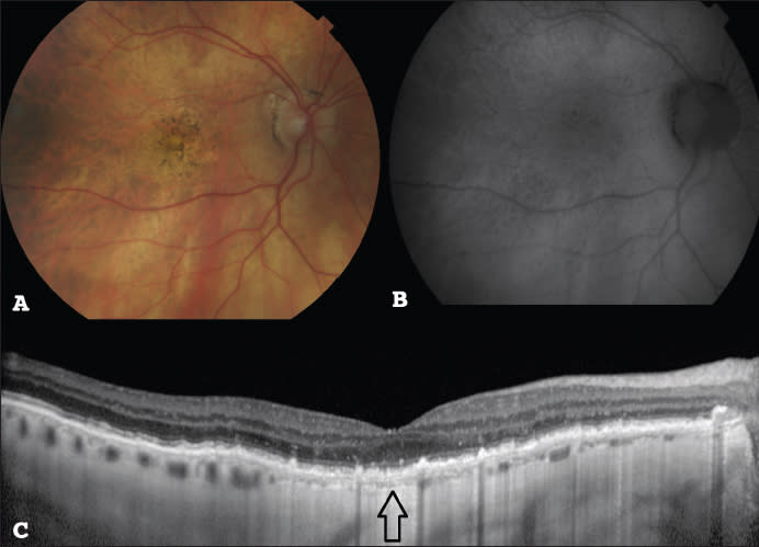
Given the observation that there are two forms of FCE, Margolis et al. proposed that some cases of conforming FCE (Figure 2) could eventually progress to nonconforming lesions in the setting of gradual photoreceptor loss.21 Elasticity of the retina initially would allow the photoreceptors to remained attached to the RPE, but with time and mechanical stress, they could be separated.21
Figure 2. A 31-year-old manwith focal choroidal excavation in his left eye. A. Color photography shows RPE alterations within the fovea. B. Fundus autofluorescence imaging shows a relatively preserved RPE with no hyperautofluorescence. C. Enhanced depth imaging OCT shows a conforming focal choroidal excavation at the temporal edge of the foveola.
Margolis et al. also postulated that, as the normal choroid becomes thinner with age,3,9 these choroidal excavations may enlarge with time, resulting in further ischemia and damage to the overlying retina.21 Monitoring and long-term follow-up may further elucidate the etiology, clinical course and overall visual prognosis of FCE.
CONCLUSION
The introduction of EDI-OCT has opened up a new world of imaging of the choroid, using commercially available SD-OCT machines. Before the introduction of EDIOCT, SD-OCT imaging of the choroid was quite limited. Now, with this technology, noninvasive, in-vivo measurements of this vascular structure can be repeatedly and reliably performed. EDI-OCT has allowed the identification of ARCA, which may explain certain macular pathologies, other possible pathophysiologic mechanisms, such as peripapillary atrophy and glaucoma, and FCE. ARCA and FCE represent two new choroidal entities that may provide more insight into the pathogenesis and management of retinal diseases. RP
REFERENCES
1. Huang D, Swanson EA, Lin CP, et al. Optical coherence tomography. Science. 1991;254:1178-1181.
2. Spaide RF, Koisumi H, Posonni MC. Enhanced depth imaging spectral-domain optical coherence tomography. Am J Ophthalmol. 2008;146: 496-500.
3. Margolis R, Spaide RF. A Pilot Study of Enhanced Depth Imaging Optical Coherence Tomography of the Choroid in Normal Eyes. Am J Ophthalmol. 2009;147:811-815.
4. Povazay B, Hermann B, Unterhuber A, et al. Three-dimensional optical coherence tomography at 1050 nm versus 800 nm in retinal pathologies: enhanced performance and choroidal penetration in cataract patients. J Biomed Opt. 2007;12:041211
5. Rahman W, Chen FK, Yeoh J, et al. Repeatability of Manual Subfoveal Choroidal Thickness Measurements in Healthy Subjects Using the Technique of Enhanced Depth Imaging Optical Coherence Tomography. Invest Ophthalmol Vis Sci. 2011;52:2267-2271.
6. Linsenmeier RA, Padnick-Silver L. Metabolic dependence of photoreceptors on the choroid in the normal and detached retina. Invest Ophthalmol Vis Sci. 2000;41:3117-3123.
7. Hayreh SS. Blood supply of the optic nerve head and its role in optic atrophy, glaucoma, and oedema of the optic disc. Br J Ophthalmol. 1969;53:721-748.
8. Parver LM, Auker C, Carpenter DO. Choroidal blood flow as a heat dissipating mechanism in the macula. Am J Ophthalmol. 1980;89:641-646.
9. Spaide RF. Age-related choroidal atrophy. Am J Ophthalmol. 2008;147: 801-809.
10. Wong IY, Koizumi H, Lai WW. Enhanced depth imaging optical coherence tomography. Ophthalmic Surg Lasers Imaging. 2011;42:S75-S84.
11. Ramrattan RS, van der Schaft TL, Mooy CM, et al. Morphometric analysis of Bruch's membrane, the choriocapillaris, and the choroid in aging. Invest Ophthalmol Vis Sci. 1994;35:2857-2864.
12. Curcio CA, Saunders PL, Younger PW, Malek G. Peripapillary chorioretinal atrophy: Bruch's membrane changes and photoreceptor loss. Ophthalmology. 2000;107:334-343.
13. Feeney-Burns L, Burns RP, Gao CL. Age-related macular changes in humans over 90 years old. Am J Ophthalmol. 1990;109:265-278.
14. Sarks SH. Aging and degeneration in the macular region: a clinic-pathological study. Br J Ophthalmol. 1976;60:324-341.
15. Payne GW, Bearden SE. The microcirculation of skeletal muscle in aging. Microcirculation. 2006;13:275-277.
16. Muller-Delp JM. Aging-induced adaptations of microvascular reactivity. Microcirculation. 2006;13:301-314.
17. Yildiz O. Vascular smooth muscle and endothelial function in aging. Ann N Y Acad Sci. 2007;1100:353-360.
18. Grossniklaus HE, Green WR. Choroidal neovascularization. Am J Ophthalmol. 2004;137:496-503.
19. Jonas JB. Clinical implications of peripapillary atrophy in glaucoma. Curr Opin Ophthalmol. 2005;16:84-88.
20. Jampol LM, Shankle J, Schroeder R, et al. Diagnostic and therapeutic challenges. Retina. 2006;26:1072-1076.
21. Margolis R, Mukkamala SK, Jampol LM, et al. The Expanded Spectrum of Focal Choroidal Excavation. Arch Ophthalmol. 2011;129:1320-1325.
22. Abe S, Yamamoto T, Kirii E, Yamashita H. Cup-shaped choroidal excavation detected by optical coherence tomography: a case report. Retin Cases Brief Rep. 2010;4:373-376.
23. Wakabayashi Y, Nishimura A, Higashide T, et al. Unilateral choroidal excavation in the macula detected by spectral-domain optical coherence tomography. Acta Ophthalmol. 2010;88:e87-e91.







