The SD-OCT Revolution Is Here
How better OCT is rewriting the rulebook for many retinal diseases.
Jen Spiegel, MD • R. C. Andrew Symons, MB BS, PhD
Optical coherence tomography offers unparalleled structural information about the living retina. It uses optical interference to produce close-to-micrometer resolution, three-dimensional images from within optical scattering media, such as biological tissue. In its original version, known as time-domain OCT (TD-OCT), interference was created between light reflected from the retina and a reference beam reflected from a moving mirror.
Spectral (or Fourier)-domain OCT (SD-OCT) replaces the moving mirror with a stationary one and performs a Fourier transform of the interference pattern. This process increases acquisition speeds by approximately 100-fold. This speed increase is accompanied by an improvement in resolution. Increased speed allows for the collection of more data, improvements in data quality through the averaging of repeated scans, greater patient comfort, and less eye movement–induced image degradation.
Imaging with OCT is noninvasive and can be performed with a minimum of subject preparation. SD-OCT produces a wealth of anatomical information about individual patients' retinas, has introduced retina specialists to hitherto unknown features of retinal diseases, and has allowed for greater precision in diagnosis and analysis of disease progress.
SD-OCT IN THE MANAGEMENT OF AMD
The revolution in retinal imaging brought about by OCT has coincided with a revolution in retinal pharmacotherapeutics. Even when only TD-OCT was available, retinal specialists found that OCT, often along with fluorescein angiography, provided a useful guide to treatment response and the planning of further therapy.
The benefit of this approach was supported by the PrONTO study in 2007, which showed that basing monthly ranibizumab treatment decisions on the basis of careful analysis of TD-OCT results allowed similar visual acuity results in neovascular AMD to those gained with mandatory monthly ranibizumab injections in the MARINA and ANCHOR trials.1 This result was recently confirmed in the much larger, fully controlled CATT study.2 CATT, similarly to PrONTO, used TD-OCT as its prime measure of disease activity.
Sayanagi et al. formally compared TD-OCT with SDOCT in assessing the response of neovascular AMD to ranibizumab. All patients were imaged with both TD-OCT and SD-OCT on the same visit, after ranibizumab treatment. The OCT images were analyzed for the presence of CNV activity, defined as the presence of subretinal fluid, intraretinal cysts, intraretinal fluid, sub-RPE fluid, or a combination thereof.
The authors suggested that in the linear B-scan mode, all four SD-OCT devices under investigation were superior in their ability to delineate sub-RPE fluid compared to TD-OCT. In the majority of cases, SD-OCT was superior in delineating intraretinal fluid. In half of cases, SD-OCT was superior in delineating subretinal fluid and intraretinal cysts. In the three-dimensional “cube mode,” SD-OCT was superior in detecting subretinal fluid in all cases. In this mode, SD-OCT was superior in half of the cases in detecting sub-RPE and intraretinal fluid.3 Because SD-OCT not only provides more information than TD-OCT but is also more patient friendly, it has become the dominant imaging modality in modern retinal practices.
The explosion in the imaging of AMD and the importance of OCT in making treatment decisions have had the following consequences:
1. Retinal photographers need to optimize OCT image quality. Daily experience with SD-OCT shows that cooperation between photographers and patients is essential. Patients must keep still and fixate optimally. Photographers must ensure that the tear film is of good quality, either by having patients blink at convenient times during the test or by administering ocular lubricants. The lens of the OCT machine must be kept at an optimal distance from the patient's eye, and the lens must be kept clean. The photographer should try to find the clearest optical media through which to image but must also bear in mind that deviating too far from the visual axis may cause tilting of the image.
2. It is essential to correlate the OCT with the clinical examination and other imaging results. OCT is poor at differentiating between subretinal hemorrhage and neovascular membrane. This distinction is better made on clinical examination. The clinical examination and fluorescein angiography are better able to determine the presence of inactive scarring than OCT.
3. It is important to examine the entire set of OCT images of a lesion. During the treatment of AMD, it is not uncommon to find that intraretinal cysts or subretinal fluid are limited to just a few scans. The detection of these lesions is important to making optimal treatment decisions (Figure 1).
 
    Figure 1. Spectral-domain optical coherence tomography has become the preferred method of assessing treatment responses in AMD.
4. It is important to understand all the OCT features of AMD, including:
• Outer retinal tubulation in neovascular and nonneovascular AMD is a finding that was not appreciated before SD-OCT. These tubules appear as round or ovoid hyporeflective spaces with hyper-reflective borders. It is thought that these structures represent degenerating photoreceptors that become arranged in a circular or ovoid fashion. It is important to differentiate between tubulation and intraretinal cysts when making retreatment decisions.4
• Vitelliform detachments occur frequently in cases of subretinal drusenoid deposits or reticular pseudodrusen, as well as in pattern dystrophy or adult onset foveomacular pigment epithelial dystrophy. Pattern dystrophy is frequently mistaken for AMD. Vitelliform detachments typically occur in the fovea and show symmetrical, dome-shaped elevations of the neurosensory retina. The photoreceptor outer segments may be extended. The subretinal material is usually moderately reflective. Fluorescein angiography should not show leakage beyond the extent of the lesion. We have seen cases of vitelliform detachment that have been unnecessarily treated with anti-VEGF agents.
• Intraretinal small dense particles are thought to represent pigment migration5 or perhaps migrating leukocytes.6 Pigment migration most often occurs in retina overlying drusen. A type 3 CNV membrane seen in cross-section can appear as a small, hyper-reflective area. Examination of contiguous OCT scans, fluorescein angiography and clinical exam can help differentiate between these entities.
• Retinal draping over the sides of pigment epithelial detach ments can sometimes be seen on OCT. Fluorescein angiography can help to differentiate between the draping effect and the accumulation of subretinal fluid due to lesion activity.
SD-OCT FOR TREATMENT DECISIONS IN OTHER DISEASE STATES
Spectral-domain OCT now has a role in the management of many diseases that were previously managed on the basis of clinical examination, visual acuity and fluorescein angiography. This development allows for a quantitative assessment of disease response that was previously impossible. A recent Diabetic Retinopathy Clinical Research Network study7 used a similar approach to that used in the PRN arms of the CATT study to determine the need for intraocular injections of ranibizumab in the treatment of diabetic macular edema.
Broadly speaking, at each visit, in patients who had previously demonstrated an improvement in response to therapy, injections were given if their vision was worse than 20/20 or the OCT central subfield thickness was greater than 250 μm. This landmark study compared treatment with intravitreal ranibizumab combined with either early or deferred focal/grid laser, with treatment with 4 mg triamcinolone acetonide and prompt laser, or sham injections and prompt laser.
The study showed that intravitreal ranibizumab with prompt or deferred laser is more effective through at least one year, compared with prompt laser alone, for the treatment of DME involving the central macula. The two-year visual acuity results showed a similar pattern to the one-year visual acuity results and were mirrored by the OCT results. Use of the PRN dosing criteria enabled a median of only two or three ranibizumab injections during the second year in the ranibizumab with prompt or deferred laser groups, respectively.8
Retinal physicians are also using OCT to determine treatment responses and requirements in diseases, such as pseudophakic and inflammatory cystoid macular edema and macular edema due to retinal vein occlusions.
ASSESSMENT OF DISEASE BURDEN AND TREATMENT RESPONSE
Spectral-domain OCT has become a preferred means of quantifying initial disease severity and documenting anatomical response in therapeutic trials, such as in the BRAVO9 and CRUISE10 studies of ranibizumab in branch and central RVOs and the READ studies of ranibizumab in DME. Recently, many studies have begun to employ SD-OCT, either in conjunction with TD-OCT or alone, such as in the DRCR.net's protocol R, which seeks to determine the role of nonsteroidal anti-inflammatory drugs in non–center-involving DME.
An example of SD-OCT being used to assess disease burden is in the determination of drusen volume. Freeman et al. assessed the correlation of drusen volume with REDS grade and drusen area in dry AMD. A significant correlation was found between drusen volume and AREDS reading center–determined drusen area and also between AREDS classification and drusen volume.11 It remains to be seen whether drusen volume is a more useful predictor of disease progression than AREDS grade or drusen area. Drusen volume may prove to be a useful surrogate marker for the progression of non-neovascular AMD.
NEW INSIGHTS INTO RETINAL PATHOLOGY
The almost histological level of resolution provided by SDOCT has revealed unanticipated pathological insights into multiple diseases:
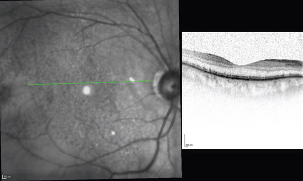
Subretinal drusenoid deposits (Figure 2) have been found to be the histological correlate of reticular pseudodrusen, and these deposits have been proved to be a common feature of AMD. Moreover, in the fellow eyes of eyes with neovascular AMD, reticular pseudodrusen increase the risk of development of CNV.12
 
    Figure 2. This SD-OCT image shows stage 3 subretinal deposits in a patient with reticular pseudodrusen but no evidence of drusen.
Bilateral diffuse uveal melanocytic proliferation has been revealed to have both areas of RPE thickening and RPE loss, with overlying loss of the photoreceptor outer segments.13
Diseases in the acute zonal occult outer retinopathy group have been shown to share photoreceptor outer segment loss.14,15 An SD-OCT study of multiple evanescent white dot syndrome (MEWDS) revealed moderately reflective focal lesions within the outer regions of the photoreceptors and disruption in the junction between the inner and outer segments of the photoreceptors. In the first month after diagnosis, SD-OCT showed a shift in area of disruption in the inner segment/outer segment junction from around the optic disc to the temporal macula. The IS/OS junction returned to close to normal in all eyes approximately a month after the diagnosis of MEWDS.16
In some cases of achromatopsia, a disruption of the junction between the photoreceptor inner and outer segments in the fovea has been demonstrated, which may extend into the parafoveal region. These findings may worsen as the condition progresses.17
Indeed, photoreceptor outer segments have been found to be susceptible to injury in multiple retinal disorders.
Further, in many cases, the thickness of the photoreceptor outer segments is the retinal anatomical feature that is most significantly associated with visual acuity. In the clinic, the integrity of the outer segments can best be assessed by way of the OCT line marking the junction of the inner and outer segments of the photoreceptors. In some research situations, the thickness of the outer segments is also measured. Some of the conditions in which outer segment thinning or loss has been observed are AMD, macular telangiectasia, and DME.
The flying saucer sign occurs when there is sparing of the outer nuclear layer and photoreceptor outer segments in the fovea, and sometimes the parafoveal region. This sign has been reported in hydroxychloroquine toxicity.18 We have also seen it in cases of cancer-associated retinopathy, autoimmune retinopathy (Figure 3), and retinal degenerations.
 
    Figure 3. This SD-OCT image shows a patient with cystoid macular edema and an autoimmune retinopathy. The loss of the photoreceptor layer outside the parafoveal region is evident.
SCREENING AND DIFFERENTIAL DIAGNOSIS
The flying saucer sign and disruptions in the junction between photoreceptor outer and inner segments are SDOCT manifestations of hydroxychloroquine toxicity. Recent recommendations by the American Academy of Ophthalmology included SD-OCT, along with multifocal electroretinography and fundus autofluorescence, as tests that may be more sensitive than visual fields and that should be used for routine screening for hydroxychloroquine screening when available.19
We also find that SD-OCT has rewritten the rulebook on differential diagnosis in retina. For instance, we have found SD-OCT to be useful in determining the exact nature of subtle foveal abnormalities early in the course of diseases, such as macular telangiectasia. We have used it to detect the loss of inner retinal tissue in cases of vascular occlusions, even after all signs of vascular disease resolved. We have used SD-OCT to aid in diagnosing CNV membranes in patients with macular telangiectasia and central serous retinopathy.
SURGERY
Spectral-domain OCT is useful in determining the severity of retinal architectural changes induced by epiretinal membranes, and it is also very helpful in determining the timing of surgical intervention. SD-OCT provides great assistance in determining progression of surgical macular pathology.
We have used SD-OCT on occasion to scan the entire region of a posterior-pole detachment with proliferative vitreoretinopathy to find a microscopic hole (Figure 4). Figure 5 shows the use of SD-OCT in a patient with a minimal posterior view due to corneal decompensation. OCT was able to visualize his recurrent retinal detachment through an opaque cornea and silicone oil.
 
    Figure 4. The image shows a patient, who came for a second opinion, with proliferative vitreoretinopathy and a very posterior circumferential retinectomy and whose macula had redetached. The SD-OCT shows a microscopic retinal break.
 
    Figure 5. This patient was shot in Iraq. He had a decompensated corneal graft and recurrent macular detachment under silicone oil due to proliferative vitreoretinopathy. The OCT was able to confirm retinal detachment as the cause of his recent decline in vision.
Intraoperative SD-OCT is available in some research settings and may provide instant feedback as to the success of internal limiting membrane or epiretinal membrane peeling. One can imagine intraoperative OCT assisting in the removal of tightly adherent recurrent epiretinal membranes or tightly adherent macular membranes in proliferative vitreoretinopathy. It could also be used to recognize macular pathology intraoperatively, in cases in which SDOCT was not possible in clinic.
CONCLUSION
As reviewed here, SD-OCT has applications in identifying retinal pathology, measuring disease burden, understanding retinal anatomy and visual deficits, morphology, and patterns of disease, screening, and diagnosis, as well as in monitoring the progression of disease and response to therapy. SD-OCT has revolutionized our understanding of the retina and our ability to educate our patients. Technological improvements in OCT and the use of machines that combine SD-OCT with other imaging modalities, such as Ramaan spectroscopy and optical Doppler, will provide us with even greater insights. The retinal rulebook is a work in progress. RP
REFERENCES
1. Fung AE, Lalwani GA, Rosenfeld PJ, et al. An optical coherence tomographyguided, variable dosing regimen with intravitreal ranibizumab (Lucentis) for neovascular age-related macular degeneration. Am J Ophthalmol. 2007;143:566-583.
2. CATT Research Group; Martin DF, Maguire MG, Ying GS, et al. Ranibizumab and bevacizumab for neovascular age-related macular degeneration. N Engl J Med. 2011;364:1897-1908.
3. Sayanagi K, Sharma S, Yamamoto T, Kaiser PK. Comparison of spectraldomain versus time-domain optical coherence tomography in management of age-related macular degeneration with ranibizumab. Ophthalmology. 2009;116:947-955.
4. Zweifel SA, Engelbert M, Laud K, Margolis R, Spaide RF, Freund KB. Outer retinal tubulation:a novel optical coherence tomography finding. Arch Ophthalmol. 2009;127:1596-1602.
5. Ho J, Witkin AJ, Liu J, et al. Documentation of intraretinal retinal pigment epithelium migration via high-speed ultrahigh-resolution optical coherence tomography. Ophthalmology. 2011;118:687-693.
6. Framme C, Wolf S, Wolf-Schnurrbusch U. Small dense particles in the retina observable by spectral-domain optical coherence tomography in age-related macular degeneration. Invest Ophthalmol Vis Sci. 2010;51:5965-5969.
7. Diabetic Retinopathy Clinical Research Network; Elman MJ, Aiello LP, Beck RW, et al. Randomized trial evaluating ranibizumab plus prompt or deferred laser or triamcinolone plus prompt laser for diabetic macular edema. Ophthalmology. 2010;117:1064-1077.e35.
8. Elman MJ, Bressler NM, Qin H, et al; Diabetic Retinopathy Clinical Research Network. Expanded 2-year follow-up of ranibizumab plus prompt or deferred laser or triamcinolone plus prompt laser for diabetic macular edema. Ophthalmology. 2011;118:609-614.
9. Campochiaro PA, Heier JS, Feiner L, et al; BRAVO Investigators. Ranibizumab for macular edema following branch retinal vein occlusion:six-month primary end point results of a phase III study. Ophthalmology. 2010;117(6):1102-1112.e1.
10. Brown DM, Campochiaro PA, Singh RP, et al; CRUISE Investigators. Ranibizumab for macular edema following central retinal vein occlusion:sixmonth primary end point results of a phase III study. Ophthalmology. 2010;117:1124-1133.e1.
11. Freeman SR, Kozak I, Cheng L, et al. Optical coherence tomography-raster scanning and manual segmentation in determining drusen volume in agerelated macular degeneration. Retina. 2010;30:431-435.
12. Pumariega NM, Smith RT, Sohrab MA, Letien V, Souied EH. A prospective study of reticular macular disease. Ophthalmology. 2011 May 5. [Epub ahead of print]
13. Besirli CG, Comer GM. High-resolution OCT imaging of RPE degeneration in bilateral diffuse uveal melanocytic proliferation. Ophthalmic Surg Lasers Imaging. 2010;41(Suppl):S96-S100.
14. Ohta K, Sato A, Fukui E. Spectral domain optical coherence tomographic findings at convalescent stage of acute zonal occult outer retinopathy. Clin Ophthalmol. 2009;3:423-428.
15. Fujiwara T, Imamura Y, Giovinazzo VJ, Spaide RF. Fundus autofluorescence and optical coherence tomographic findings in acute zonal occult outer retinopathy. Retina. 2010;30:1206-1216.
16. Hangai M, Fujimoto M, Yoshimura N. Features and function of multiple evanescent white dot syndrome. Arch Ophthalmol. 2009;127:1307-1313.
17. Thomas MG, Kumar A, Kohl S, Proudlock FA, Gottlob I. High-resolution in vivo imaging in achromatopsia. Ophthalmology. 2011;118:882-887.
18. Chen E, Brown DM, Benz MS, et al. Spectral domain optical coherence tomography as an effective screening test for hydroxychloroquine retinopathy (the flying saucer sign). Clin Ophthalmol. 2010;4:1151-1158.
19. Marmor MF, Kellner U, Lai TY, Lyons JS, Mieler WF; American Academy of Ophthalmology. Revised recommendations on screening for chloroquine and hydroxychloroquine retinopathy. Ophthalmology. 2011;118:415-422.
| Jen Spiegel, MD, is an ophthalmology resident at the University of Kansas Medical Center in Kansas City, KS. R. C. Andrew Symons, MB BS, PhD, is director of medical retina and vitreoretinal surgery at the University of Kansas Medical Center. Neither author reports any financial interest in any products mentioned in this article. Dr. Symons can be reached via e-mail at asymons@kumc.edu. The authors wish to acknowledge the ophthalmic technicians of the University of Kansas department of ophthalmology for the OCT images accompanying this article. | 
 
  
            






