PEER REVIEWED
Lab Testing in Posterior Noninfectious Uveitis: What, When and Why?
Getting to the root cause of the inflammation.
David M. Hinkle, MD
Consider this scenario: A new patient with unilateral posterior uveitis arrives in your office on Friday afternoon. There is no prior history of intraocular surgery or trauma. Despite the presence of vitritis, there is an adequate view of the fundus to rule out a diagnosis of chorioretinitis. Serologic testing for syphilis and Mantoux testing for tuberculosis rule out these infectious causes.
Perhaps you consider administering a periocular corticosteroid injection but instead prescribe a course of oral prednisone and see the patient in a week, at which time the inflammation has subsided and the patient is grateful. Where do you go from here? Could there be an underlying cause for the inflammation? What testing is appropriate in such a setting? What testing is unnecessary?
UNDERSTANDING UVEITIS
Posterior uveitis is defined as inflammation of the vitreous, retina, and choroid. Infectious diseases account for many of the leading causes of posterior uveitis and should be at the top of a differential diagnosis in any patient with posterior uveitis. If single or multiple foci of retinochoroiditis are present, then toxoplasmosis and herpetic diseases must be excluded prior to the initiation of corticosteroid therapy.
Syphilis should be ruled out in all patients, and an evaluation for tuberculosis should be undertaken if there are risk factors for exposure. The exact methods necessary to exclude every infectious entity will vary on an individual basis and is beyond the scope of this article, which will discuss lab testing for noninfectious posterior uveitis.
A thorough history, including a full review of systems, and a meticulous examination are important in guiding the selection of laboratory tests to maximize their positive predictive value. Ordering a standard battery of tests frequently results in one or more false positives, which may lead the clinician astray from a definitive diagnosis.
It is also important to be aware of the epidemiology of posterior uveitis in a given patient population and practice setting. For example, rheumatoid factor should not be ordered routinely because isolated posterior uveitis is vanishingly rare in patients with rheumatoid arthritis.
Erythrocyte sedimentation rate (ESR) and C-reactive protein (CRP) are acute-phase reactants. Elevation of either of these nonspecific markers of inflammation or abnormalities in the complete blood count in a patient with posterior uveitis suggest an underlying systemic process.
HLA AND ACE TESTING
Human leukocyte antigen (HLA) is a protein present on the surface of the cells that comprise the major histocompatability complex (MHC) in humans. The MHC is the mechanism by which the determination between self and nonself is made. Several HLA haplotypes are associated with ocular or systemic noninfectious posterior uveitis entities that will be discussed below (Table 1).
| Table 1. HLA Haplotypes Associated With Noninfectious Posterior Uveitis | ||||
|---|---|---|---|---|
| A29 | Birdshot chorioretinopathy | |||
| B5/51 | Behçet's disease | |||
| B8/13 | Sarcoidosis | |||
| DR2/15 | Multiple sclerosis | |||
| DR4 | Vogt-Koyanagi-Harada syndrome, sympathetic ophthalmia | |||
Birdshot chorioretinopathy may present as vitritis, cystoid macular edema and retinal phlebitis, with subsequent develop ment of the characteristic birdshot spots months or years later. Confirmation of the presence of the HLA-A29 haplotype in such instances may facilitate earlier diagnosis and treatment.
Behçet's disease is a systemic vasculitis best known for the classic triad of oral ulcers, genital ulcers, and uveitis. While the association with HLA-B5 and split product B51 is well known, there is a subset of patients with occlusive retinal vasculitis who carry the HLA-B27 haplotype.1 Some of these patients may have Behçet's disease, and some may have one of the seronegative spondylarthropathies that can develop posterior uveitis, in addition to anterior uveitis.
For this reason, HLA-B class typing is of greater value than simply ordering the B27 and B51 test. Commercial immunology laboratories perform HLA typing but only report the presence or absence of a specific haplotype if it is requested.
Sarcoidosis is a multisystem granulomatous disease. The skin, lungs, and eyes are the most frequently affected organs. Angiotensin converting enzyme (ACE) may be elevated in 35% to 80% of patients and has a sensitivity of about 59%.2 Because ACE is secreted by alveolar macrophages, it may not be elevated in patients with ocular sarcoidosis unless there is lung involvement.
It is also important to keep in mind conditions that may cause a false positive or false negative ACE (Table 2). Serum lysozyme testing has a sensitivity of 79% and specificity of 72%.2 Lysozyme may also be elevated in patients with tuberculosis and leukemia. Hypercalcemia is present in only 10% to 15% of patients with ocular sarcoidosis exhibiting band keratopathy; however, hypercalciuria is more frequently observed.3
| Table 2. ACE Testing Conditions | |
|---|---|
| Conditions that may cause elevation of ACE | Conditions that may cause false negative ACE |
■ Gaucher's disease ■ Leprosy ■ Chronic obstructive pulmonary disease ■ Rheumatoid arthritis ■ Primary biliary cirrhosis ■ Tuberculosis ■ Histoplasmosis ■ Histiocytic medullary fibrosis ■ Hyperthyroidism ■ Diabetes |
■ Early disease ■ Isolated disease ■ Rx with ACE-I ■ Deep vein thrombosis ■ Chemotherapy ■ Radiation therapy ■ Immunosuppression |
Soluble interleukin-2 may be elevated in patients with sarcoidosis. Soluble IL-2 is a nonspecific inflammatory marker and does not typically increase the likelihood of diagnosing sarcoidosis, although it may be helpful in discriminating between sarcoidosis and lymphoma.4
IMAGING AND BIOPSY
High-resolution computed tomography of the chest is superior to chest radiography for detecting pulmonary sarcoidosis. In one recent test, pulmonary sarcoidosis was detected in 69% of patients with chest radiography and 100% of patients with CT.5
A CT should be considered in patients with a normal chest X-ray if a high index of suspicion is present. Positron emission tomography may also aid in the diagnosis of sarcoidosis, but gallium scanning is a less expensive alternative.
Definitive diagnosis requires tissue biopsy. Conjunctival biopsy is a relatively inexpensive and noninvasive way to establish the diagnosis, but it has a low yield unless typical conjunctival granulomatous lesions are present. Random conjunctival biopsy yields a positive result 25% of the time.6
Tests such as trans bronchial biopsy and bronchoalveolar lavage typically have a greater likelihood of confirming the diagnosis but are associated with greater cost and invasiveness. If a rash is present, skin biopsy can also yield the diagnosis.
Multiple sclerosis is associated with HLA-DR2, as well as its gene product DR15. Retinal vasculitis with the presence of pars plana exudates in a patient with either the HLA-DR2 or DR15 haplotype should prompt the clinician to probe for symptoms of demyelinating disease. One should have a low threshold for obtaining magnetic resonance imaging of the brain and orbits (and possibly spinal cord), with fluid attenuated inversion recovery (MR FLAIR) in such patients.
Vogt-Koyanagi-Harada syndrome (VKH) and sympathetic ophthalmia are both associated with HLA-DR4 and may present in a similar clinical fashion. There are no diagnostic laboratory tests for these conditions. A diagnosis of VKH is made based on established major and minor clinical criteria. The diagnosis of sympathetic ophthalmia is typically straightforward, based on the history.
Systemic lupus erythematosus (SLE) is an autoimmune disorder that is associated with posterior uveitis and retinal vasculitis. Lupus choroidopathy/choroiditis is a rare manifestation of SLE, but the development of choroidopathy is associated with significant morbidity and mortality and can be a harbinger of the evolution to catastrophic antiphospholipid syndrome.
ANTIBODY TESTING
Antinuclear antibody (ANA) has a sensitivity of 90% for lupus. There are a number of additional rheumatologic conditions that are associated with a positive ANA testing.7 Because approximately 30% of the normal population has circulating antinuclear antibodies, the titer and pattern are useful in determining the significance of a positive result (Table 3). Transient and low-titer ANA are less likely to be associated with underlying rheumatologic disease.
| Table 3. Antinuclear Antibody Patterns | |
|---|---|
| Pattern | Associated disease |
| Homogenous | SLE |
| Diffuse | Drug reaction, SLE, systemic sclerosis |
| Speckled | Mixed connective tissue disease, SLE, Sjögren's syndrome, polydermatomyositis |
| Nucleolar | Systemic sclerosis |
| Peripheral | SLE |
| Centromere | Limited systemic sclerosis |
Additional autoantibody testing may be indicated in individuals with a positive ANA, and other pertinent findings and consideration should be given to consultation with a rheumatologist in such instances. Patients with active SLE may demonstrate circulating immune complexes and complement consumption.
Other conditions associated with elevated or depleted serum complement are listed in Table 4. Serial determination of total complement (C50), C3, or C4 levels may correlate with systemic disease activity, providing a means to monitor response to therapy.8
| Table 4. Serum Complement | |
|---|---|
| Causes of serum complement elevation | Causes of serum complement depletion |
Thyroiditis Acute rheumatic fever Polyarteritis nodosum Dermatomyositis Acute myocardial infarction Ulcerative colitis Sarcoidosis Typhoid fever Reactive arthritis Gout Scleroderma Juvenile rheumatoid arthritis Ankylosing spondylitis Traumatic spinal cord injury |
SLE Serum sickness Acute glomerulonephritis Subacute bacterial endocarditis Mixed cryoglobulinemia Acute hepatitis B Hemolytic anemia Rheumatoid arthritis Allograft rejection Dengue fever Malaria Urticaria and angioedema Severe liver disease X-linked agammaglobulinemia |
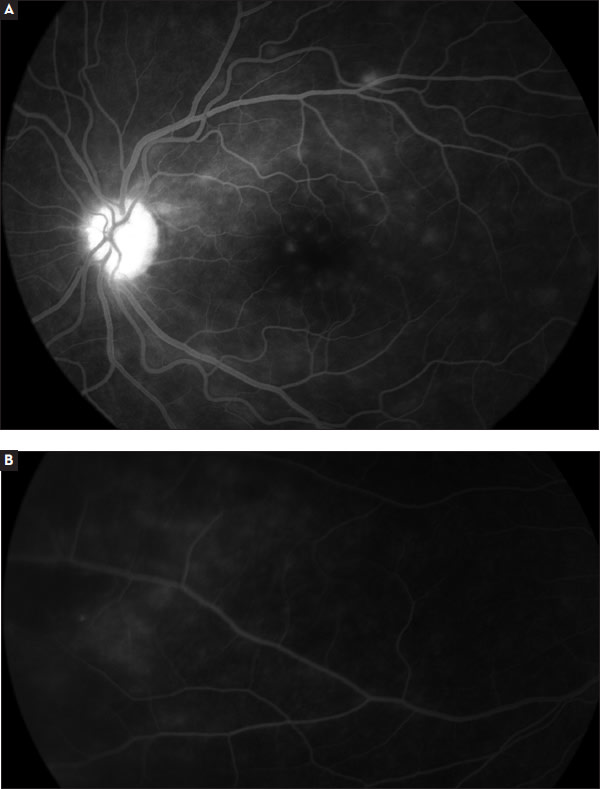
If funduscopy or fluorescein angiography indicates the presence of retinal vasculitis (Figure 1), then additional testing is indicated, depending on which side of the vascular tree is involved (Table 5). Urinalysis with microscopic examination of the sediment, serum antineutrophil cytoplasmic antibodies (ANCA), and serum complement are appropriate in the setting of retinal vasculitis, which may herald a potentially lethal systemic disease.
| Table 5. Common Causes of Retinal Vasculitis | ||
|---|---|---|
| Arteritis | Phlebitis | Mixed |
SLE Polyarteritis nodosaw Churg-Strauss Microscopic polyangiitis Frosted branch angiitis Syphilis Herpetic viruses |
Sarcoidosis Paraviral Toxoplasmosis Birdshot HIV Eales disease |
Multiple sclerosis Behçet's disease Wegener's granulomatosis |
Figure 1. Late phase fluorescein angiographic images of posterior pole (A) and midperiphery (B) in a sarcoidosis patient with active retinal phlebitis.
When faced with a positive ANCA result, reflex or follow-up testing is necessary to determine whether the antibody distribution pattern is cytoplasmic (c-ANCA) or perinuclear (p-ANCA) and whether the antibody is directed against proteinase 3 (anti PR3), suggesting Wegner's granulomatosis, or myeloperoxidase (MPO), suggesting microscopic polyangiitis.
False positive results are common, and nonspecific ANCA may be seen in conditions such as SLE, inflammatory bowel disease and autoimmune hepatitis. Positive ANCA results should be confirmed by a regional immunopathology laboratory, such as the Massachusetts General Hospital or Mayo Clinic, to reduce false positive results, which are more common when commercial laboratories are utilized.
CONCLUSION
Ultimately, some vitreoretinal specialists will choose not to initiate an evaluation into the cause of noninfectious posterior uveitis. Good communication is invaluable if one decides to refer the patient to another provider for a uveitis work-up. A brief synopsis, including the history, examination findings, response to therapy, and clinical impressions, or a differential diagnosis will save the patient and consultant both time and money and facilitate the process. RP
REFERENCES
1. Rodriguez A, Akova YA, Pedroza-Seres M, Foster CS. Posterior segment ocular manifestations in patients with HLA-B27-associated uveitis. Ophthalmology. 1994;101:1267-1274.
2. Tomita H, Sato S, Matsuda R, et al. Serum lysozyme levels and clinical features of sarcoidosis. Lung. 1999;177:161-167.
3. Sharma OP. Hypercalcemia in granulomatous disorders: a clinical review. Curr Opin Pulm Med. 2000;6:442-447.
4. Kita T, Watanabe S, Yano F, et al. Clinical significance of the serum IL-2R level and Ga-67 scan findings in making a differential diagnosis between sarcoidosis and non-Hodgkin's lymphoma. Ann Nucl Med. 2007;21:499-503.
5. Birnbaum AD, Oh FS, Chakrabarti A, Tessler HH, Goldstein DA.Clinical features and diagnostic evaluation of biopsy-proven ocular sarcoidosis. Arch Ophthalmol. 2011;129:409-313.
6. Karcioglu ZA, Brear R. Conjunctival biopsy in sarcoidosis. Am J Ophthalmol. 1985;99:68-73.
7. Klippel JH, Stone JH, Crofford LJ, White PH eds. Primer on the Rheumatic Diseases. 13th ed. London, United Kingdom; Springer; 2008.
8. Glovsky MM, Ward PA, Johnson KA. Complement determinations in human disease. Ann Allergy Asthma Immunol. 2004;93:513-523.
| David M. Hinkle, MD, is a staff physician at Massachusetts Eye Research and Surgery Institution (MERSI) in Cambridge, MA. He reports no financial interests. Dr. Hinkle can be contacted at dhinkle@mersi.us. |







