Age-Related Choroidal Atrophy: A New Entity Associated With the Aging Eye
This recently described finding has implications for AMD and other degenerative diseases.
DANIELA C. FERRARA, MD • KETAN LAUD, MD • JASON S. SLAKTER, MD
Age-related macular degeneration is a leading cause of blindness worldwide. Drusen are considered to be a hallmark of AMD; they are formed by the byproducts of retinal pigment epithelium metabolism and have a heterogeneous composition, including lipids, proteins, and glycation end products.1 Of the wide spectrum of AMD manifestations, drusen and pigmentary changes are defining elements of the early disease, while choroidal neovascularization, pigment epithelial detachment, and geographic atrophy of the RPE characterize late disease stages usually associated with severe visual loss.2
AMD is a multifactorial condition, with variable epidemiologic, clinical, and genetic risk factors. Aging changes in the RPE, Bruch's membrane, and choroid are known to play a key role in disease pathogenesis.3-8 The retinal tissue is known to have a very high metabolic demand, which is supplied by the underlying choroidal blood flow.9,10
Although the choroid is involved in fundamental physiological functions, as well as affected by a number of pathological conditions, it is not easily accessed on clinical examination. The normal pigmentation of the choroid and overlying RPE usually impedes full-thickness visualization of the choroid by ophthalmoscopy, fundus photography, or fluorescein angiography.10 Indocyanine green angiography discloses the choroidal vasculature but does not reveal cross-sectional features of the choroidal layers.11
Spectral-domain optical coherence tomography (SD-OCT) provides high-speed, high-definition cross-sectional imaging of the retina. However, imaging of the choroid is still considered to be difficult for many reasons.10 Not only are deeper SD-OCT signals attenuated because of fundus pigmentation and the vascular nature of the choroid, but also because of physical principles involved in conventional SD-OCT imaging acquisition.11
Spaide and colleagues recently proposed a method that enables in vivo cross-sectional imaging of the choroid with improved quality using the commercially available SD-OCT device Spectralis (Heidelberg Engineering, Vista, CA), which has eye tracking and automatic scan averaging that significantly reduce the final image noise.11 This imaging method has been called “enhanced depth imaging spectral-domain OCT” (EDI OCT), and its detailed optical principles were previously presented by Spaide and colleagues.11 Briefly, it involves positioning the instrument close enough to the eye to obtain an inverted image of the fundus, in which the choroid appears with enhanced definition.11
The EDI OCT imaging approach has led to new insights related to physiological and pathological features of the choroidal morphology and may become a valuable tool in ophthalmologic investigation. Using this modality, choroidal thickness has been studied in normal eyes, eyes with AMD, and eyes with high myopia.12-14 In a series of 54 healthy eyes examined by EDI OCT, Margolis and Spaide12 observed a mean subfoveal choroidal thickness of 287 µm +/− a standard deviation of 75.7 µm. This study revealed that choroidal thickness tends to decrease over time, at a rate of approximately 16 µm per decade of life. The thinnest subfoveal choroidal thickness measured among that series was 159 µm; two standard deviations less than the mean thickness was 135.6 µm.10,12
Figure 1. Color photograph (A), fundus autofluorescence (B), and near-infrared imaging (C) of a normal control eye. Enhanced-depth imaging OCT (D) of the control eye showing no pre retinal, intraretinal, or photoreceptor abnormalities. There is a healthy underlying choroid with a choroidal thickness of 225 µm.
Having established age-related changes in the choroid with EDI OCT, Spaide further applied this imaging technique to evaluate patients who were considered to have symptomatic AMD and were found to have remarkably decreased choroidal thickness on EDI OCT. Although some of these eyes had concurrent geographic atrophy or choroidal neovascularization, many of them had visual symptoms with no significant macular or RPE changes. In order to further investigate their visual symptoms, a retrospective study of 17 patients (mean age 80.6 years) who had undergone EDI OCT imaging was undertaken, which revealed that these patients had a subfoveal choroidal thickness of 125 µm or less (mean 69.8 µm). This arbitrary morphological cut-off of 125 µm was based on previously reported nomographic data12 placing subfoveal choroidal thickness values further than two standard deviations from the mean for age matched controls. These findings were thought to be acquired, and the term “age-related choroidal atrophy” was used to define this condition.10
The patients with age-related choroidal atrophy were noted to have pigmentary alterations in the macula and a tessellated funduscopic appearance. The tessellated or tigroid pattern of the fundus resulted from visualization of the larger choroidal vessels located within the deep choroid. This appearance may be related to the overall loss of choroidal melanocytes secondary to choroidal atrophy seen in these patients. These patients also were noted to have focal areas of hyperpigmentation with intervening areas of pigment rarefaction. The hyperpigmentation obscured underlying choroidal detail and could be mistaken for retinal pigment epithelial alterations commonly seen with nonexudative age-related macular degeneration. Spaide hypothesized that this focal pattern of macular pigment clumping was located deep to the retina, as sclera was visible beneath the pigment and there were associated areas of RPE loss on fundus autofluorescence.
There was some overlap between patients with age-related choroidal atrophy and age-related macular degeneration. Eighteen eyes of 13 patients did not show any signs of advanced AMD. Patients without advanced AMD presented with reticular pseudodrusen (66.7%), peripapillary atrophy (72.2%), and glaucoma (33.3%). Alternatively, 10 eyes of eight patients presented with signs of advanced AMD with geographic atrophy and choroidal neovascularization. Visual acuity expectedly varied between the two subsets with patients with ad vanced AMD having poorer visual acuity (mean 20/89 vs 20/40). The CNV in patients with advanced AMD were noted to have an indolent course requiring infrequent treatments with anti– vascular endothelial growth-factor to preserve the macular architecture.
Triggering factors for development of CNV in AMD are still a matter of debate, as are the primary underlying mechanisms of CNV development. A choroidal blood supply insufficient to meet the metabolic demand of the retina was theorized to be a primary event in some cases.10,15 A strong relationship between the site of CNV occurrence and macular areas of “choroidal watershed zones” supports the theory that hypoxic or ischemic areas of the fundus are predisposed to CNV formation.16
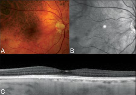
Figure 2. Color photograph (A) and red-free photograph (B) of the right eye of a patient with age-related choroidal atrophy. There is a tessellated appearance to the fundus and peripapillary atrophy. Note the lack of drusen and RPE alterations. EDI OCT (C) shows attenuation of the choroid, particularly temporally, with a subfoveal choroidal thickness measured at 89 µm.
There was a higher prevalence of glaucoma noted in both groups of patients with age-related choroidal atrophy. Spaide speculated that this could be related to diminished circulation at the prelaminar portion of the optic nerve, which is normally supplied by the short posterior ciliary arteries and concomitantly supply the choroid. The potential association with low-tension glaucoma was entertained, as this type of glaucoma is commonly seen with peripapillary atrophy.
CONCLUSION
This study by Spaide, which identified and characterized age-related choroidal atrophy, has several limitations — including its retrospective design and small number of patients — that preclude any definitive conclusion or demographic estimations to be made. However, the reliability of the acquired images and the consistency of the data sustain the clinical features described for age-related choroidal atrophy. Spaide proposed many subsequent studies, including the investigation of choroidal thickness in patients with glaucoma (particularly low-tension glaucoma), geographic atrophy, and CNV and the relation of choroidal thickness to treatment response.10
In summary, it is likely that decreasing choroidal thickness could represent an increasing risk for retinal degeneration and optic nerve disease.
Traditionally, AMD has been considered to be a disease whose primary origins are related to damage to the RPE. Age-related choroidal atrophy is as a newly described clinical entity, associated with variable pathological conditions of the aging eye, including impaired visual performance, where the primary pathology resides in the choroid. This knowledge may lead to a better understanding of the pathogenesis of AMD and other posterior-segment conditions and potentially to new therapeutic strategies as well. RP
| All authors are affiliated with the Digital Angiography Reading Center, located in New York, N Y. Ketan Laud, MD, is a vitreoretinal fellow at Columbia University and Vitreous-Retina-Macula Consultants of New York. Jason S. Slakter, MD, is a partner in Vitreous-Retina-Macula Consultants of New York. The authors have no financial or commercial interest in any products mentioned here. Dr. Slakter can be reached at jslakter@aol.com. |
REFERENCES
- Einbock W, Moessner A, Schnurrbusch UEK, et al. Changes in fundus autofluorescence in patients with age-related maculopathy. Correlation to visual function: a prospective study. Graefes Arch Clin Exp Ophthalmol. 2005;243:300-305.
- Klein R, Klein BE, Jensen SC, et al. The five-year incidence and progression of age-related maculopathy: the Beaver Dam Eye Study. Ophthalmology. 1997;104:7-21.
- Bird AC. Pathogenesis of retinal pigment epithelial detachment in the eldery: the relevance of Bruch's membrane change. Eye. 1991;5:1-12.
- Green WR, Enger C. Age-related macular degeneration histopathologic studies. Ophthalmology. 1993;100:1519-1535.
- Pauleikhoff D, Barondes MJ, Minassian D, Chisholm IH, Bird AC. Drusen as risk factors in age related macular disease. Am J Ophthalmol. 1990;109:38-43.
- Pauleikhoff D, Chen JC, Chisholm IH, et al. Choroidal perfusion abnormality with age-related Bruch's membrane change. Am J Ophthalmol. 1990;109:211-217.
- Pauleikhoff D, Harper A, Marshall J, Bird AC. Aging changes in Bruch's membrane. A histochemical and morphologic study. Ophthalmology. 1990;97: 171-178.
- Sarks J P, Sarks SH, Killingsworth MC. Evolution of soft drusen in age-related macular degeneration. Eye. 1994;8:269-283.
- Linsenmeier RA, Padnick-Silver L. Metabolic dependence of photoreceptors on the choroid in the normal and detached retina. Invest Ophthalmol Vis Sci. 2000; 41:3117-3123.
- Spaide R F. Age-related choroidal atrophy. Am J Ophthalmol. 2009;147:801-810.
- Spaide R F, Koizumi H, Pozonni MC. Enhanced depth imaging spectral-domain optical coherence tomography. Am J Ophthalmol. 2008;146:496-500.
- Margolis R, Spaide R F. A pilot study of enhanced depth imaging optical coherence tomography of the choroid in normal eyes. Am J Ophthalmol. 2009; 147:811-815.
- Spaide R F. Enhanced depth imaging optical coherence tomography of retinal pigment epithelial detachment in age-related macular degeneration. Am J Ophthalmol. 2009;147:644-652.
- Fujiwara T, Imamura Y, Margolis R, Slakter JS, Spaide R F. Enhanced depth imaging optical coherence tomography of the choroid in highly myopic eyes. Am J Ophthalmol. 2009;148:445-450.
- Grossniklaus HE, Green WR. Choroidal neovascularization. Am J Ophthalmol. 2004;137:496-503.
- Mendrinos E, Pournaras CJ. Topographic variation of the choroidal watershed zone and its relationship to neovascularization in patients with age-related macular degeneration. Acta Ophthalmol. 2009;87:290-296.







