Reading and Macular Disease
JANET S. SUNNESS, MD
When macular disease is present, reading is obviously affected. Larger text size and magnification is required. Print must be bolder, and more light is needed. These needs are easily dealt with, using various forms of optical and nonoptical devices. The most difficult aspect to deal with, however, is that there is a "boulder" in the form of a scotoma in the central visual field that blocks off portions of the text.
Reading with a scotoma involving the foveal center is different from conventional reading and is a skill that must be learned. There are two aspects to the learning experience. The patient must first learn to use an eccentric preferred retinal locus (PRL) for fixation. This involves moving the scotoma away from the object of interest and is an important skill. However, the consequence of adopting a PRL is that now the scotoma blocks off another region, such as the text to the right of fixation. The patient must learn both to fixate eccentrically and to compensate for the consequences of this eccentric fixation.
When the patient has a foveal-sparing scotoma, central fixation is maintained but the consequences of scotomas near fixation have a significant impact on reading. In some respects, this poses a “Catch-22” situation, in that the patient may still need some magnification, but the larger the text is made, the less “fits” into the spared seeing area that is surrounded by a blind spot.
Visual acuity alone is an underestimate of the degree of impairment present in patients with scotomas in the central visual field. The scotoma size and location, as assessed by microperimetry, are critical factors in reading ability but do not completely account for variations in reading speed among patients. Reading speed measurement provides another way of assessing functional vision, but ideal methods for assessing reading are not yet available.
This paper will deal with issues of reading with scotomas in the central visual field, and how to assess reading in these patients.
| Janet S. Sunness, MD, is medical director of Richard E. Hoover Rehabilitation Services for Low Vision and Blindness at the Greater Baltimore Medical Center. She reports no financial interest in any products mentioned in this article. She can be reached via e-mail at jsunness@gbmc.org. |
CENTRAL SCOTOMAS INVOLVING THE FOVEAL CENTER
All of us have seen patients with central scotomas who have tremendous difficulty reading letters and words. These patients may constantly scan the chart or text, and often report letters coming in and out of view. In contrast, there are patients with equivalent visual acuities and scotoma sizes who, consciously or not, have adopted a method of reading so that the item of interest falls not on the blind fovea but instead on an area of seeing eccentric retina. One can observe these patients looking up or looking to the right as they read. These patients have adopted an eccentric PRL for fixation.1 In people with intact foveas, the oculomotor system works to position the object of interest on the fovea. Patients with blind foveas ideally establish a "pseudofovea," that is, a PRL to which the oculomotor system refers the object of interest.2
There is evidence from the GAS study (Geographic Atrophy Study, the NIH-funded natural history study of geographic atrophy [GA] associated with age-related macular degeneration [AMD] that I conducted at the Wilmer Institute between 1992 and 2000) that the ability to use eccentric retina can improve visual acuity3 We looked at visual acuity in patients with bilateral GA who had been followed for at least three years. Over this time period, 17% of patients had an improvement of two or more lines in ETDRS visual acuity in their worse-seeing eye, despite continued enlargement of the GA. No better-seeing eye improved over this interval. Scanning laser ophthalmoscope (SLO) analysis of fixation in the worse-seeing eye showed that, at the start of the study, the fixation cross was often placed in the scotoma, where the patient could not see it, and the patient could not position the cross steadily on seeing retina. At three years, these eyes had acquired eccentric PRLs. The ability to use remaining seeing retina more effectively was responsible for the improvement in VA.
For reading single letters, adopting a PRL may suffice. However, for reading words and text, adopting a PRL is not sufficient. The patient must be aware that there is now a displaced blind spot that may affect reading. The two most common patterns of eccentric fixation are looking above and looking to the right of the object of interest.4"6 These viewing patterns move the scotoma up and to the right, respectively. (On a fundus photograph, right and left is the same as in visual field space, while superior and inferior are reversed, because we face the patient when we take a fundus photo and thereby reverse right and left already.)
Having a scotoma above fixation is the ideal pattern, in that the superior field is the least necessary for reading and other near tasks. The pattern of looking up is the predominant pattern used for patients with Stargardt disease and macular holes. However, for patients with GA, moving the scotoma to the right is the more common pattern, with moving the scotoma up being the second most common pattern (Figure 1).6
IMAGE ADAPTED FROM SUNNESS JS, APPLEGATE CA, HASELWOOD D, RUBIN GS. FIXATION PATTERNS AND READING RATES IN EYES WITH CENTRAL SCOTOMAS FROM ADVANCED ATROPHIC AGE-RELATED MACULAR DEGENERATION AND STARGARDT DISEASE. OPHTHALMOLOGY. VOLUME 103, NUMBER 9, PAGES 1458-1466, COPYRIGHT 1996 BY ELSEVIER.
Figure 1. Choice of preferred retinal locus for fixation (PRL). There is central geographic atrophy (GA), with visual acuity 20/145. In the scanning laser ophthalmoscope, the patient consistently fixated with the central scotoma to the right, despite the fact that this put the PRL in between the central GA and the peripapillary GA. One might have assumed the patient would fixate superior to the atrophy or with the atrophy to the left, both of which would allow larger continuous seeing areas.
Why this is the case is not clear. My hypothesis is that, often during the course of GA there is a phase when there is a horseshoe of atrophy and associated scotoma surrounding the fovea. The open portion of the horseshoe is most often arrayed along the horizontal, so that patients become accustomed to using a horizontal spared portion and continue to move the scotoma horizontally when the fovea becomes atrophic.
At first, it seemed counterintuitive that fixating with the scotoma to the right would be more common than with the scotoma to the left in readers of left-to-right languages such as English. Data from normal patients with simulated scotomas showed that the characters to the right were the most critical ones to see in efficient reading.7 However, there is evidence that it is reading that drives the preference to fixate with scotoma to the right.
In a French study of readers of Arabic, a right-to-left language, fixating with the scotoma to the left was more common.8 Teleologically one can hypothesize that the critical thing for reading is knowing where the beginning of the line or the word is. Once the patient is “anchored” on the line, he/she can compensate for the scotoma to the right by looking further to the right. Fixation stability correlates with better reading.9
We have found some advantage to fixating with the scotoma to the right or above in visual field space,10 but other investigators have not.9 Our longitudinal study found that 81% of patients with GA with visual acuities of 20/80 to 20/200 kept the same fixation pattern over the median four years of follow-up.
Some investigators have trained a patient to use a new PRL,11,12 but in general it is much easier and more clinically relevant to reinforce the use of a fixation pattern that is already present. One can tell by watching patients read a line of letters or words if they are consistently missing the last letters, for example. In addition, one can use techniques such as face fields13 to define patients' scotomas and make them more aware of them. Once these are identified, the low vision occupational therapist or rehabilitation therapist can work with the patient to optimize reading.
An eccentric PRL requires magnification of the text because only the fovea is specialized for seeing fine detail. One might assume, therefore, that if text was magnified sufficiently, the person should be able to return to a normal reading rate, but this is not the case. The necessity for additional eye movements, both to localize the text on the PRL and to read larger text, accounts for part but not all of the reduction in reading rate. When rapid serial visual presentation (RSVP) was used to rapidly project one word after another onto a specific site of the retina, the fovea was actually able to attain a reading rate of nearly 1700 words per minute.
However, when RSVP projected appropriately scaled text onto an eccentric fixation site, the rate was much less than in the fovea.14 This suggests that processing may be different between the fovea and extrafoveal areas. Another theory is that the visual span, ie, the number of characters that can be identified at one time, is less in peripheral retina, necessitating more fixations.15-17
When the foveal center was already atrophic in patients with GA and VA in the 20/80-20/200 range, reading rate was strongly inversely correlated with scotoma size, both cross-sectionally in the GA population in the GAS6 and also longitudinally in this study.10 For patients with GA area less than 7.5 mm2 (three Macular Photocoagulation Study disc areas, 80% had a reading rate of ≥50 words per minute, while patients with GA area of 7.5 mm2 or greater only 28% had a reading rate of ≥50 words per minute.10
CENTRAL SCOTOMAS SPARING THE FOVEAL CENTER
For reasons that are not well understood, atrophic macular disease of many etiologies tends to spare the foveal center until late in the course of the disease.18-20 The most common of these disorders is geographic atrophy from age-related macular degeneration, but foveal sparing also is present early in the course of Stargardt disease, central areolar choroidal sclerosis, plaquenil maculopathy, and a number of other causes of bullseye maculopathy. In GA, there often are multifocal areas of GA near but not involving the center. Over time, the areas of GA enlarge and coalesce, forming a horseshoe, and later a ring, of atrophy still sparing the center.21-23 Still later in the disease, the fovea may become atrophic with the necessity to adopt an eccentric PRL for fixation.
Foveal-sparing scotomas are very common in retinal practices and in low vision practices. In a large low vision population, macular ring scotomas were present in almost 20% of the population.24 Patients with macular ring scotomas or horseshoe scotomas are caught in a Catch-22 with regard to their reading. Most patients do not have 20/20 visual acuity, so that they need some magnification. However, the more magnified the text is, the fewer words or letters “fit” in the spared area that is surrounded by scotoma.23 Some of these patients actually report that they can read newsprint but cannot read the large news headlines.25 Technicians testing visual acuity in AMD populations must be aware of this as well; a patient may have difficulty with the top line and be considered as having visual acuity of 20/400, while they can read the 20/50 line more easily. For many of these patients, the lowest magnification setting in video magnifiers is too high for patients with macular ring scotomas.
In a sense, it is easier to rehabilitate an eye with a central scotoma involving the fovea, because once the patient adopts an eccentric locus of fixation, especially with the scotoma superiorly, there is a large seeing retinal area to use. Some people with macular ring scotomas have an eccentric PRL in addition to central fixation. They may use the eccentric PRL to read large text or to better see a full face, while relying on central fixation for smaller text There probably is a gradual greater reliance on eccentric fixation, so that when the fovea is lost the patient does not perceive an abrupt loss of vision.26 The fovea may remain preserved for a number of years, albeit with a gradual reduction of VA, despite very large surrounding areas of GA.27
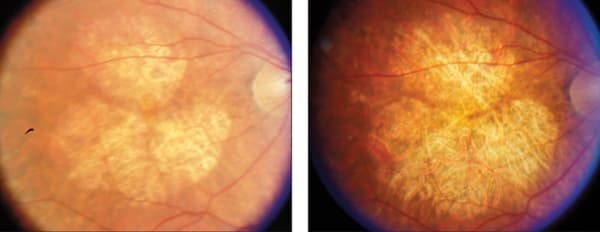
For patients with foveal-sparing scotomas, visual acuity provides a significant underestimate of visual impairment A patient may have visual acuity of 20/40, but still have difficulty with reading and with face recognition. A clinical trial that uses visual acuity as the main outcome measure may miss the significant progression of visual impairment resulting from additional encroachment on the fovea (Figures 2 and 3). Reading ability can be modeled as being dependent upon the scotoma encroaching upon fixation and the visual function of the fovea itself.23 Though patients tend to cling tenaciously to, and continue to use, their tiny remaining foveal island, at times their reading rate can be improved by shifting to an eccentric site of fixation (Figure 4).27
Figure 2. Bilateral geographic atrophy from AMD, leading to dramatic reduction in reading rate over two years of follow-up despite preservation of visual acuity in the better-seeing eye.
Left: At baseline, best-corrected ETDRS visual acuity (BCVA) was 20/30, and reading rate was 110 words per minute (average reading rate 130 words per minute for elderly comparison group without advanced AMD). There is a horizontal crescent of preserved retina between the upper and lower areas of GA.
Right: At two years, BCVA remains 20/30, but reading rate has fallen by more than 50% to 51 words per minute. The foveal center is still spared (and xanthophyll is present), but the upper and lower areas of GA have coalesced particularly to the left of the fovea, so there is no long preserved horizontal strip in which to read.
Figure 3. Reading with a spared central island.
Top left: This patient had lost foveal vision from GA in his left eye. His right eye has a large area of GA, with only a 0.3 mm2 spared foveal region surrounded by geographic atrophy with its corresponding dense scotoma. At baseline his visual acuity was 20/25, and his maximum reading rate was 82 words per minute.
Top right: At four years, he still had foveal preservation, but only 0.1 mm2 in area. Visual acuity was 20/30-. Maximum reading rate had fallen to 23 words per minute.
Bottom: For patients with drusen only without advanced AMD (two examples shown on top of graph), reading rate increases with increasing character size and then plateaus. In contrast, the patient's reading rate peaks at about a 20/70 character size. The reading rate falls for larger character sizes, presumably because the characters do not fit in the spared area surrounded by scotoma.
Figure 4. Second and higher peak reading rate at about 20/680 character size.
Top: This woman in her 50s with Stargardt disease has a bullseye maculopathy with a small spared foveal area. Visual acuity is 20/60.
Bottom: Reading rate as a function of character size. In this case, testing extended to much larger character sizes than in figure 3. The patient had a first peak reading rate of 52 words per minute at a character size of about 20/170. The rate then dropped for larger character sizes, but rose to a second peak at a character size of about 20/600, where she read at 73 words per minute. Presumably the second peak represents the reading rate using eccentric retina, where there is a large continuous seeing area.
Patients with choroidal neovascularization who have been treated with ranubizumab or bevacizumab may have sparing of the fovea but may be left with scotomas that hinder their reading. Since these patients may not have obvious scarring or clear-cut atrophy, the retinal specialist may not realize that there are scotomas present. These patients often are able to resume normal reading activities with only small degrees of low vision intervention, including relatively low-power additional reading aids and scotoma awareness training.28
For patients with central scotomas sparing or involving the foveal center, lighting is often critical. In general, patients need good direct lighting on the text, without glare. This can often be achieved with an incandescent 60-watt bulb, but some patients do better with daylight-type lighting (OTT lite, and others) or with more intense illumination. In the 1960s, Louise Sloan, one of the important figures in low vision at that time, published her findings regarding visual acuity as a function of luminance.29 She found that for subjects with normal vision, one quickly reaches a plateau in visual acuity, after which additional illumination does not improve acuity further.
In contrast, in patients with macular degeneration, she found that there continued to be improvement in acuity with increasing luminance. The dependence of acuity on luminance is also the case at low levels of illumination. In patients with geographic atrophy sparing the fovea and visual acuity of 20/50 and better in the GAS, ETDRS visual acuity dropped by an average of 4.7 lines when a 2 log unit filter was placed over the eye.30 By comparison, patients with drusen and no advanced AMD dropped by an average of 2.3 lines and none dropped 5 lines or more. In order to optimize the use of the patient's remaining vision, the necessary lighting must be provided. Contrast sensitivity is also an important factor in reading.31
CONCLUSION
In summary, reading with macular disease is dependent upon visual acuity as well as the extent and location of scotomas. Low vision intervention is able to provide measurable improvements in reading by selecting proper amounts of magnification and good lighting, and by training the patient to be aware of the scotomas that are present and compensate for them.32 RP
REFERENCES
- Timberlake GT, Mainster MA, Peli E, et al. Reading with a macular scotoma. I. Retinal location of scotoma and fixation area. Invest Ophthalmol Vis Sei. 1986; 27:1137-1147.
- White JM, Bedell HE. The oculomotor reference in human with bilateral macular disease. Invest Ophthalmol Vis Sei. 1990;31:1149-1161.
- Sunness JS, Applegate CA, Gonzalez-Baron J. Improvement of visual acuity over time in patients with bilateral geographic atrophy from age-related macular degeneration. Retina. 2000;20:162-169.
- Acosta F, Lashkar K, Reynaud X, et al. Characterization of functional changes in macular holes and cysts. Ophthalmology. 1991 ;98:1820-1823.
- Guez J-E, Gargasson J-FL, Rigaudlere F, O'Regan JK. Is there a systematic location for the pseudo-fovea in patients with central scotoma? Vision Res. 1993: 9:1271-1279.
- Sunness JS, Applegate CA, Haselwood D, Rubin GS. Fixation patterns and reading rates In eyes with central scotomas from advanced atrophic age-related macular degeneration and Stargardt's disease. Ophthalmology. 1996;103:1458-1466.
- Fine EM, Rubin GS. Reading with simulated scotomas: attending to the right is better than attending to the left. Vision Res. 1999;39:1039-1048.
- Guez J-E, Gargasson J-FL, Rigaudlere F et al. Relation between reading and preferred retinal locus In patients with central scotoma. Paper presented at: SL0 Meeting; October 1995; San Antonio, TX.
- Crossland MD, Culham LE, Rubin GS. Fixation stability and reading speed in patients with newly developed macular disease. Ophthalmic Physiol Opt. 2004: 24:327-333.
- Sunness JS, Applegate CA. Long-term follow-up of fixation patterns In eyes with central scotomas from geographic atrophy associated with age-related macular degeneration. Amer J Ophthalmol. 2005;140:1085-1093.
- Nilsson UL, Frennesson C, Nilsson SE. Location and stability of a newly established eccentric retinal locus suitable for reading, achieved through training of patients with a dense central scotoma. Optom Vis Sei. 1998;75: 873-878.
- Nilsson UL, Frennesson C, Nilsson SE. Patients with AMD and a large absolute central scotoma can be trained successfully to use eccentric viewing, as demonstrated in a scanning laser ophthalmoscope. Vision Res. 2003;43: 1777-1787.
- Sunness JS. The use of face fields for determining fixation location In eyes with central scotomas from macular disease. MB. 2008;102:679-689.
- Rubin GS, Turano K. Low vision reading with sequential word presentation. Vision Res. 1994;34:1723-1733.
- Rayner K. Eye movements in reading and information processing: 20 years of research. Psychol Bull. 1998;124:372-422.
- Legge GE, Ahn SJ, KlitzTS, LuebkerA. Psychophyslcs of reading-XVI. The visual span in normal and low vision. Vision Res. 1997;37:1999-2010.
- Crossland MD, Rubin GS. Eye movements and reading in macular disease: further support for the shrinking perceptual span hypothesis. Vision Res. 2006: 46:590-597.
- Gass JDM. Stereoscopic Atlas of Macular Diseases, 4th ed. St. Louis, M0: Mosby; 1997.
- Hart WM, Bürde RM. Three-dimensional topography of the central visual field. Sparing of foveal sensitivity In macular disease. Ophthalmology. 1983;90: 1028-1038.
- Weiter JJ, Delori F Dorey CK. Central sparing In annular macular degeneration. Amer J Ophthalmol. 1988;106:286-292.
- Sarks JP, Sarks SH, Klllingsworth MC. Evolution of geographic atrophy of the retinal pigment epithelium. Eye. 1988;2:552-577.
- Sunness JS, Margalit E, Srlkumaran D, et al. The long-term natural history of geographic atrophy from age-related macular degeneration: Enlargement of atrophy. Ophthalmology. 2007;114:271-277.
- Sunness JS, Rubin GS, Applegate CA, et al. Visual function abnormalities and prognosis In eyes with age-related geographic atrophy of the macula and good acuity. Ophthalmology. 1997;104:1677-1691.
- Fletcher DC, Schuchard RA, Livingstone CL, et al. Scanning laser ophthalmoscope (SL0) macular perimetry and applications for low vision rehabilitation clinicians. Ophthalmol Clin N Amer 1994;7:257-265.
- Sunness JS. Reading newsprint but not headlines: Pitfalls In measuring visual acuity and color vision in patients with bullseye maculopathy and other macular scotomas. Retinal Cases & Brief Reports. 2008;2:83-84.
- Sunness JS, Bressler NM, Maguire MG. Scanning laser ophthalmoscope analysis of the pattern of visual loss in age-related geographic atrophy of the macula. Amer J Ophthalmol. 1995;119:143-151.
- Sunness JS, Rubin GS, Zuckerbrod A, Applegate CA. Foveal-sparing scotomas in advanced dry age-related macular degeneration. JVIB 2008;102 600-610.
- Sunness JS, Schartz RB, Thompson JT, et al. Patterns of referral of retinal patients for low vision Intervention in the anti-VEGF era RETINA. 2009;29: 1036-1039.
- Sloan L. Variation of acuity with luminance In ocular diseases and anomalies. Doc Ophthalmol. 1969;26:384-393.
- Sunness JS, Rubin GS, Broman A, et al. Low luminance visual dysfunction as a predictor of subsequent visual acuity loss in age-related geographic atrophy of the macula. Ophthalmology. 2008;115:1480-1488.
- Crossland MD, Culham LE, Rubin GS. Predicting reading fluency in patients with macular disease. Optom Vis Sci. 2005;82:11 -17.
- Stelmack JA, Tang XC, Reda DJ, et al. Outcomes of the Veterans Affairs Low Vision Intervention Trial (L0VIT). Arch Ophthalmol. 2008; 126:608-617.







