PEER REVIEWED
Therapeutics Update in Noninfectious Uveitis
JOSEPH J. TSENG, MD · HOWARD F. FINE, MD, MHSC
The development of novel drug-delivery systems and immunomodulators is expanding our treatment armamentarium for noninfectious uveitis. Severe, vision-threatening uveitis remains a significant public health problem in the United States and worldwide, often resulting in vision loss without proper therapy.1 Uveitis is believed to represent an abnormal T-cell–mediated immune response to antigens in the eye, resulting in an acute or chronic dysregulation of normal ocular immunity.2,3 Many cases are associated with underlying systemic autoimmune diseases, such as rheumatoid arthritis (RA), sarcoidosis, Behçet disease, or Wegener granulomatosis, to name a few.4
The mainstay of uveitis management in both adults and children is the aggressive and prompt use of immunosuppression with corticosteroids. Systemic corticosteroids are unfortunately associated with ocular side effects, namely acceleration of cataract and elevated intraocular pressure (IOP), as well as significant systemic side effects including osteoporosis, gastroesophageal reflux, hyperglycemia, aseptic necrosis of bone, pancreatitis, and myopathy, among others. Therefore, steroid-sparing agents are often employed, of which there are several classes: Antimetabolites include methotrexate, azathioprine, and mycophenolate mofetil; T-cell inhibitors/calcineurin inhibitors include cyclosporine and tacrolimus; and alkylating/cytotoxic agents include cyclophosphamide and chlorambucil (Figure 1). These agents as well have a variety of side effects, such as hepatotoxicity, renal toxicity, bone marrow suppression, and infertility.5
FROM LUSTIG MJ, CUNNINGHAM ET JR., USE OF IMMUNOSUPPRESSIVE AGENTS IN UVEITIS. CURR OPIN OPHTHALMOL. 2003 DEC;14(6):399-412.
Figure 1. T-cell targets in uveitis. Schematic representation of the major sites of action of corticosteroids (NF-[kappa]B) and noncorticosteroid immunosuppressive agents with respect to T-cell activation.
In the quest to control uveitis while minimizing side effects, there are several emerging classes of therapy. Biologic agents encompass a broad spectrum of therapeutics that include, among other approaches, recombinant proteins, such as antibodies, antibody fragments, and receptor decoy proteins. Currently, in uveitis therapy, these are largely immunomodulators developed originally in the field of rheumatology to target certain cytokines and cell-surface receptors6,7 involved in the inflammatory cascade. These agents have been increasingly applied to ocular inflammatory disease recalcitrant to traditional immunosuppressive therapy or when systemic side effects preclude traditional agents. Secondly, advances in drug-delivery technology have afforded clinicians with new methods to deliver corticosteroids in a local fashion to the eye, avoiding systemic side effects. We review here recent advances in uveitis therapeutics.
| Joseph J. Tseng, MD, is a resident in ophthalmology at the Columbia University College of Physicians and Surgeons in New York. Howard F. Fine, MD, MHSc, practices ophthalmology with Vitreous-Retina-Macula Consultants of New York and the LuEsther T. Mertz Retina Research Center of the Manhattan Eye, Ear, and Throat Hospital. Neither author reports any financial interest in any product mentioned in this article. Dr. Fine may be reached at vrmny@aol.com. |
TUMOR NECROSIS FACTOR-α INHIBITORS
Tumor necrosis factor (TNF)–α is thought to be the primary proinflammatory cytokine in organ-specific autoimmune diseases (such as rheumatoid arthritis).7 Secreted by B- and T-cells, monocytes, macrophages, and fibroblasts, TNF-α has been found to be a key inflammatory mediator in some animal models of uveitis.3,8-13 Inhibition of TNF-α activity has proved effective for the treatment of such systemic inflammatory diseases as RA and Crohn disease (Figure 2).
REPRINTED FROM SEMIN ARTHRITIS RHEUM, 34(5 SUPPL 1), ANDERSON PJ, TUMOR NECROSIS FACTOR INHIBITORS: CLINICAL IMPLICATIONS OF THEIR DIFFERENT IMMUNOGENICITY PROFILES, PP. 19-22, COPYRIGHT 2005, WITH PERMISSION FROM ELSEVIER.
Figure 2. Anti-TNF agents. Anti-tumor necrosis factor (TNF) molecules bind to and neutralize the activity of TNF-α. Infliximab and adalimumab are monoclonal antibodies. Infliximab is a mouse/human chimera that joins the variable regions of a mouse antibody to the constant region of human IgG1, and adalimumab is a human IgG1 antibody. Etanercept is a dimeric fusion protein that joins the human p75 TNF receptor to the Fc domain of human IgG1.
■ Infliximab. Infliximab (Remicade, Schering-Plough), a chimeric mouse-human monoclonal antibody to TNF-α, is a well-studied biologic agent for the treatment of both anterior and posterior uveitis.14-26 It is usually administered as an intravenous infusion at 1 to 3 month intervals at doses of 3 to 10 mg/kg, although effective treatment with higher doses has also been reported.17 Because response to infliximab is generally temporary, the dose and frequency of infusions can be varied depending on the clinical response.
Experience with infliximab is best reported for posterior uveitis associated with Behçet disease,20,21,25,26 but it has also demonstrated efficacy in treating other uveitides14,17-19,24 — commonly in patients with disease refractory to other immunomodulators. Serious but uncommon side effects include increased risk of malignancy, tuberculosis, multiple sclerosis, optic neuritis, and drug-induced lupus; infliximab is contraindicated in patients with a history of these conditions. Because infliximab increases the rate of tuberculosis reactivation, purified protein derivative for latent tuberculosis should be performed and any appropriate antituberculous therapy instituted prior to the initiation of infliximab therapy. Infusion-related hypersensitivity reactions — likely from the development of antibodies to the mouse component of infliximab — have also been reported, and concomitant therapy with steroids or antimetabolite agents are sometimes prescribed.
■ Adalimumab. Adalimumab (Humira, Abbott Laboratories) is an all-human monoclonal antibody to TNF-α that can be self-administered subcutaneously by the patient. It is usually given at 2-week intervals of doses of 40 mg, although the frequency of injection can be varied according to clinical response. Several recent studies26-28 have reported a reduction in ocular inflammation in response to adalimumab with few adverse events, even in patients who did not respond to therapy with infliximab.28
Adverse events to adalimumab are similar to those reported for infliximab. However, because it is a fully humanized antibody, it is thought that antibody-mediated allergic response may be more limited: In 1 study, patients who had adverse reactions to infliximab were able to tolerate adalimumab,28 although the 2 drugs have not been directly compared. Nonetheless, adalimumab would appear to be another alternative or adjuvant to corticosteroid or immunosuppressant therapy, perhaps even in patients unable to tolerate infliximab.
■ Etanercept. Etanercept (Enbrel, Wyeth) is a soluble dimer of human TNF receptors fused with the fragment crystallizable (Fc) portion of human immunoglobulin G1 (IgG1) and has been proved effective to treat systemic manifestations of autoimmune disease, such as RA, ankylosing spondylitis, juvenile idiopathic arthritis, and psoriatic arthritis. It is usually given twice weekly by subcutaneous injection at a 25 mg dose.
Although early reports suggested that etanercept may also reduce ocular inflammation,29-31 more recent studies have shown no difference in inflammation between etanercept and placebo.32-34 Several retrospective studies15,19,22 have also suggested that etanercept is less effective in the management of uveitis when compared to infliximab or adalimumab.
■ Interleukin Inhibitors. Interleukin (IL) inhibitors have proved useful for the reduction of acute rejection in renal transplantation. In experimental models of autoimmune uveitis, IL-1 and IL-2 have been found to play key roles in posterior disease, providing the rationale for their use in ocular inflammatory disease.
■ Daclizumab. Daclizumab (Zenapax, Biogen Idec), a humanized monoclonal antibody against the CD25 subunit of the IL-2 receptor of T-cells, has been reported to be successful in the modulation of intermediate and posterior disease,35,36 even in cases refractory to other immunosuppressive agents.36 A more recent study reported that, in noninfectious cases of uveitis, vision was maintained in 21 of 27 cases (77%) and inflammation was improved in 18 (67%).37 However, a 2007 randomized, double-masked study demonstrated no difference between daclizumab and placebo for the treatment of Behçet disease.38 Clinical trials assessing the efficacy of daclizumab for Behçet and other uveitides are ongoing.
Given either as weekly intravenous infusions or subcutaneous injections of 1 to 2 mg/kg, daclizumab has not been reported to cause significant adverse events. Its chimeric mouse-human analogue, basiliximab (Simulect, Novartis), is currently undergoing a clinical trial as maintenance therapy for noninfectious uveitic disease.
■ Anakinra. Anakinra (Kineret, Amgen), approved for the treatment of rheumatoid arthritis, is a recombinant IL-1 receptor antagonist, given as a subcutaneous injection of 100 mg daily. Based on success in murine models of autoimmune uveitis,39 anakinra has been shown to improve inflammation in a case of uveitis associated with chronic infantile neurological cutaneous articular syndrome40 and Behçet disease.41 Adverse events have been reported rarely with anakinra.
INTERFERONS
Whereas TNF-α is implicated in end-organ autoimmune disease, interferon (IFN)-α, secreted by dendritic cells, is thought to be the primary cytokine involved in systemic inflammatory autoimmune diseases, such as thyroiditis or systemic lupus erythematosus.7 The role of these cytokines in uveitic disease is complex: Studies have suggested that TNF-α suppresses dendritic cell function and results in the reduced IFN-α levels found in patients with posterior uveitis.42,43 As such, recombinant human IFN-α has been used with success to treat a variety of posterior uveitides, including those associated with Behçet,44-46 serpiginous choroiditis,47 birdshot chorioretinopathy,48 Vogt-Koyanagi-Harada disease,48 sympathetic ophthalmia,48 and idiopathic causes.43 A multicenter, single-masked, randomized controlled trial comparing IFN-α and cyclosporine A for the treatment of Behçet disease is currently ongoing.
Interferon-α is given by subcutaneous injection, and dosing strategies vary. Usually, IFN-α is started as a high dose of daily injections (i.e., 6,000,000 units daily), then tapered to lower-dose intermittent injections (i.e., 3,000,000 units, 2 to 3 times weekly). With this regimen, corticosteroids are tapered to as low doses as possible, and other immunosuppressants are discontinued prior to initiation of IFN-α therapy.43-46 Successful management of uveitic disease has also been reported with lower initial doses of IFN-α (3,000,000 to 4,500,000 units, three times weekly) and high concurrent doses of corticosteroids.47,48 Although some groups45 have suggested that long-term remissions with IFN-α therapy allow for the discontinuation of all immunosuppression in a subset of patients, others have questioned this finding.46
The most common side effect of IFN-α therapy is flu-like symptom, reported in a majority of patients, but this is thought to be an indication of the drug-taking effect. Significant adverse events associated with IFN-α include leukopenia, alopecia, elevated hepatic enzymes, depression, and other central nervous system (CNS) effects. Drug-induced lupus has also been reported — explained perhaps by the role of IFN-α in the upregulation of systemic inflammation.
Interferon-β has been reported to be successful for the treatment of choroiditis and choroidal neovascularization (CNV) in chronic recurrent punctuate inner choroidopathy.49 A pilot trial has shown efficacy of IFN-β for intermediate uveitis associated with multiple sclerosis,50 and a randomized controlled trial is under way.
OTHER BIOLOGIC AGENTS
■ Rituximab. Rituximab (Rituxan, Biogen Idec) is a chimeric mouse-human monoclonal antibody against CD20, a B-cell antigen. Approved for the treatment of B-cell non-Hodgkin lymphoma and B-cell leukemias, rituximab has also been shown to be effective for a number of autoimmune disorders, including RA.
Recent studies have suggested success in the treatment of anterior uveitis;51 others have reported improvement in scleritis related to autoimmune disease.52,53 Rituximab is given by intravenous infusion, and reported adverse events include cardiac arrest, immune toxicity, and reactivation of infections, including hepatitis B and progressive multifocal leukoencephalopathy.
■ Alemtuzumab. Alemtuzumab (Campath, Bayer HealthCare) is an all-human monoclonal antibody approved for the treatment of lymphocytic disease. It targets CD52, an antigen present on the surface of mature lymphocytes, and results in profound lymphopenia. Two small case series reported that treatment with alemtuzumab and subsequent lymphocyte depletion induced remission in Behçet disease54 and improved resistant ocular inflammation,55 but interest in alemtuzumab has given way to more targeted biologic agents. Alemtuzumab is administered by intravenous infusion for 5 consecutive days, and significant side effects include an increased risk of opportunistic infections.
■ Efalizumab. A recombinant all-human monoclonal antibody, efalizumab (Raptiva, Genentech) binds to the CD11a protein and inhibits leukocyte migration. Approved currently for the treatment of psoriasis, efalizumab is administered weekly by subcutaneous injection. It is currently in clinical trials for the treatment of uveitis.56
■ Fingolimod. Most biologic therapy is given as an intravenous infusion or subcutaneous injection; fingolimod (FTY720, Novartis) is an oral sphingosine-1-phosphate receptor modulator, the action of which sequesters lymphocytes in lymph nodes and reduces the recirculation of lymphocytes to the CNS.57-60 In a proof-of-concept study, fingolimod has demonstrated possible efficacy for the treatment of relapsing multiple sclerosis with limited adverse events.61 A 2008 study reported that fingolimod was effective as a rescue therapy for noninfectious intraocular inflammation in a murine model,62 perhaps heralding the arrival of oral biologic agents for the treatment of uveitis.
VEGF ANTAGONISTS
Retina specialists are well versed in the use of intravitreal bevacizumab (Avastin, Genentech). This biologic was engineered against vascular endothelial growth factor (VEGF). VEGF has been demonstrated to be an important factor in the development of cystoid macular edema (CME) in patients with uveitis.63 Early studies have shown that bevacizumab is effective in improving acuity and reducing macular thickness in patients with uveitis-associated CME.64 In addition to its effects on vascular permeability, VEGF is also a key factor in angiogenesis and the development of CNV, and uveitis appears to be no exception. Case series have shown the effectiveness of bevacizumab in the treatment of CNV secondary to uveitis.65
TRIAMCINOLONE ACETONIDE
Control of intraocular inflammation and its complications by injection of sub-Tenon's or intravitreal triamcinolone acetonide is well documented.66-68 While ophthalmologists previously had to rely on the off-label use of preserved triamcinolone acetonide (Kenalog, Bristol-Myers Squibb), the Food and Drug Administration has now approved 2 formulations of preservative-free triamcinolone for ocular use: triamcinolone acetonide injectable suspension 40 mg/mL (Triesence, Alcon) and triamcinolone acetonide injectable suspension 80 mg/mL (Trivaris, Allergan). Both are FDA-approved for the treatment of sympathetic ophthalmia, temporal arteritis, and uveitis. Triesence is also FDA-approved for visualization during vitrectomy surgery. Trivaris is delivered via a novel bioerodable hydrogel that minimizes dispersion and may provide for a longer duration of action.
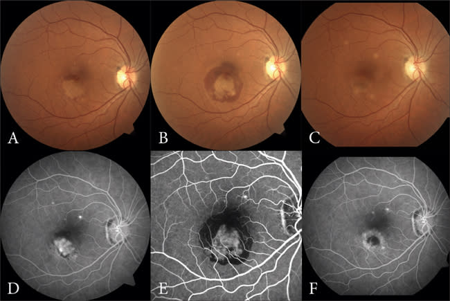
ADAPTED FROM FINE HF, ZHITOMIRSKY I, FREUND KB, BARILE GR, SHIRKEY BL, SAMSON CM, YANNUZZI LA. BEVACIZUMAB (AVASTIN) AND RANIBIZUMAB (LUCENTIS) FOR CHOROIDAL NEOVASCULARIZATION IN MULTIFOCAL CHOROIDITIS. RETINA. 2008 SEP 10. [EPUB AHEAD OF PRINT]
Figure 3. CNV treated with intravitreal anti-VEGF agents. A patient with multifocal choroiditis developed secondary choroidal neovascularization (CNV) in the right eye as seen on color photography (A) and fluorescein angiography (D) with 20/60 vision. Following treatment with photodynamic therapy, vision dropped to 20/400 with marked subfoveal hemorrhage as seen in (B) and (E). The patient subsequently underwent 6 anti-VEGF injections, and regained 20/25 vision with resolution of hemorrhage and contraction of CNV as seen in (C) and (F), demonstrating that anti-VEGF therapy can successfully treat CNV in uveitis.
Use of intravitreal triamcinolone is limited by the duration of the drug effect, estimated to be between 2 and 6 months. This may require repeated injections and increase the risk of ocular complications. Elevated IOPs, for example, were noted in 41% of eyes in 1 study.69 Another study reported cataract progression in all eyes and infectious endophthalmitis in 0.5% of eyes receiving intravitreal triamcinolone.70
STEROID IMPLANTS
There are a variety of steroid implants that can be inserted in the office or operating room. To date, 1 of these has received FDA approval, and a number are in clinical trials. By allowing sustained local delivery of corticosteroids, these devices address the concerns associated with repeated intravitreal injections.
■ Retisert. A scleral-sutured nonbiodegradable device, Retisert (Bausch & Lomb, Rochester, NY) (Figure 4) provides a sustained release of fluocinolone acetonide over 2.5 years by using a delivery system similar to that employed in ganciclovir implants for cytomegalovirus retinitis. Available in 0.59-mg and 2.1-mg devices, Retisert recently earned FDA approval for treatment of chronic posterior noninfectious uveitis based on 34-week data from ongoing clinical studies.71
Figure 4. Retisert is a scleral-sutured nonbiodegradable device that provides a sustained release of fluocinolone acetonide over 2.5 years.
Since then, 3-year results from a multicenter, randomized, controlled trial have been reported.72 Eyes that received Retisert implantation of both the 0.59-mg and 2.1-mg dose were found to have significantly lower recurrence of uveitis and significantly better vision when compared to nonimplanted eyes. Associated complications of Retisert include cataract, seen in more than 90% of implanted eyes, and glaucoma, which necessitates filtration surgery in 30% to 40% of treated eyes.71,72
■ Others. There are several steroid implants that are not FDA-approved at the time of this article. Posurdex (Allergan, Irvine, CA) delivers dexamethasone in a copolymer of lactic acid and glycolic acid that biodegrades into carbon dioxide and water over 6 months. This complete dissolution allows repeated device implantation without the need for removal of a previously placed device. Posurdex is available in 700-μg and 350-μg formulations. A 6-month randomized, controlled trial of 315 eyes with persistent macular edema of any etiology found that a single treatment with Posurdex resulted in significantly improved visual acuity 90 days after implantation when compared to a sham treatment. Better results were found with the 700-μg treatment when compared to the 350-μg treatment.73 Although the study was not limited to edema of uveitic etiology, these results indicate a potential role for Posurdex in the management of inflammatory macular edema. The I-vation TA sustained drug delivery system (Surmodics, Eden Prairie, MN) has a helical design with a metallic scaffold and polymer coating. The I-vation can be surgically implanted with a scleral incision >0.5 mm in diameter, and it has a thin cap intended to remain in the subconjunctival space, maintaining the position of the implant and allowing for subsequent removal or exchange.
CONCLUSIONS
The treatment of noninfectious uveitis is undergoing a revolution. Highly targeted biologic therapies promise to control sight-threatening inflammatory diseases, especially in cases refractory to conventional immunosuppression or limited by the toxicity of traditional medications. However, the long-term sequelae of most biologic agents is not yet known, and reimbursement for their off-label use can be problematic as they are typically quite expensive. New preservative-free steroid injections can provide local therapy in an FDA-approved fashion. Steroid implants have the added benefit of longer duration of action, although steroid therapy is limited by the acceleration of cataract and glaucoma. Patients will be the beneficiaries as ophthalmologists gain an increasingly sophisticated arsenal of therapeutics in the treatment of noninfectious uveitis. RP
REFERENCES
- Suttorp-Schulten MS, Rothova A. The possible impact of uveitis in blindness: a literature survey. Br J Ophthalmol. 1996;80:844-848.
- Forrester JV. Duke-Elder Lecture: new concepts on the role of autoimmunity in the pathogenesis of uveitis. Eye. 1992;6:433-446.
- Forrester JV, McMenamin PG. Immunopathogenic mechanisms in intraocular inflammation. Chem Immunol. 1999;73:159-185.
- Rothova A, Buitenhuis HJ, Meenken C, et al. Uveitis and systemic disease. Br J Ophthalmol. 1992;76:137-141.
- Biscette OM, Fine HF, Flynn TE. Uveitis diagnosis, management, and treatment. Retinal Physician. 2007;4(4):15-27.
- Lim L, Suhler EB, Smith JR. Biologic therapies for inflammatory eye disease. Clin Experiment Ophthalmol. 2006;34:365-374.
- Imrie FR, Dick AR. Biologics in the treatment of uveitis. Curr Opin Ophthalmol. 2007;18:481-486.
- de Vos AF, van Haren MA, Verhagen C, et al. Kinetics of intraocular tumor necrosis factor and interleukin-6 in endotoxin-induced uveitis in the rat. Invest Ophthalmol Vis Sci. 1994;35:1100-1106.
- Planck SR, Huang XN, Robertson JE, et al. Cytokine mRNA levels in rat ocular tissues after systemic endotoxin treatment. Invest Ophthalmol Vis Sci. 1994;35:924-930.
- Shen DF, Buggage RR, Eng HC, et al. Cytokine gene expression in different strains of mice with endotoxin-induced uveitis (EIU). Ocul Immunol Inflamm. 2000;8:221-225.
- Brito BE, O'Rourke LM, Pan Y, et al. IL-1 and TNF receptor-deficient mice show decreased inflammation in an immune complex model of uveitis. Invest Ophthalmol Vis Sci. 1999;40:2583-2589.
- Dick AD, Forrester JV, Liversidge J, et al. The role of tumour necrosis factor (TNF-alpha) in experimental autoimmune uveoretinitis (EAU). Prog Retin Eye Res. 2004;23:617-637.
- Franks WA, Limb GA, Stanford MR, et al. Cytokines in human intraocular Inflammation. Curr Eye Res. 1992;11(Suppl):187-191.
- Adan A, Sanmarti R, Bures A, Casaroli-Marano RP. Successful treatment with infliximab in a patient with Diffuse Subretinal Fibrosis syndrome. Am J Ophthalmol. 2007;143:533-534.
- Foeldvari I, Nielsen S, Kummerle-Deschner J, et al. Tumor necrosis factor alpha blocker in treatment of juvenile idiopathic arthritis-associated uveitisrefractory to second-line agents: results of a multinational survey. J Rheumatol. 2007;34:1146-1150.
- Guignard S, Gossec L, Salliot C, et al. Efficacy of tumour necrosis factorblockers in reducing uveitis flares in patients with spondylarthropathy: a retrospective study. Ann Rheum Dis. 2006;65:1631-1634.
- Kahn P, Weiss M, Imundo LF, Levy DM. Favorable response to high-dose infliximab for refractory childhood uveitis. Ophthalmology. 2006;113:860-864.
- Rajaraman RT, Kimura Y, Li S, et al. Retrospective case review of pediatric patients with uveitis treated with infliximab. Ophthalmology. 2006;113:308-314.
- Saurenmann RK, Levin AV, Rose JB, et al. Tumour necrosis factor alpha inhibitors in the treatment of childhood uveitis. Rheumatology. 2006;45:982-989.
- Abu El-Asrar AM, Abboud EB, Aldibhi H, Al-Arfaj A. Long-term safety and efficacy of infliximab therapy in refractory uveitis due to Behçet's disease. Int Ophthalmol. 2005;26:83-92.
- Benitez-del-Castillo JM, Martinez-de-la-Casa JM, Pato-Cour E, et al. Longterm treatment of refractory posterior uveitis with anti-TNFalpha (infliximab). Eye. 2005;19:841-845.
- Braun J, Baraliakos X, Listing J, Sieper J. Decreased incidence of anterior uveitis in patients with ankylosing spondylitis treated with the antitumor necrosis factor agents infliximab and etanercept. Arthritis Rheum. 2005;52:2447-2451.
- Richards JC, Tay-Kearney ML, Murray K, Manners P. Infliximab for juvenile idiopathic arthritis-associated uveitis. Clin Experiment Ophthalmol. 2005;33:461-468.
- Suhler EB, Smith JR, Wertheim MS, et al. A prospective trial of infliximab therapy for refractory uveitis: preliminary safety and efficacy outcomes. Arch Ophthalmol. 2005;123:903-912.
- Tugal-Tutkun I, Mudun A, Urgancioglu M, et al. Efficacy of infliximab in the treatment of uveitis that is resistant to treatment with the combination of azathioprine, cyclosporine, and corticosteroids in Behçet's disease: an open-label trial. Arthritis Rheum. 2005;52:2478-2484.
- Ohno S, Nakamura S, Hori S, et al. Efficacy, safety, and pharmacokinetics of multiple administration of infliximab in Behçet's disease with refractory uveoretinitis. J Rheumatol. 2004;31:1362-1368.
- Biester S, Deuter C, Michels H, et al. Adalimumab in the therapy of uveitis in childhood. Br J Ophthalmol. 2007;91:319-324.
- Mushtaq B, Saeed T, Situnayake RD, Murray PI. Adalimumab for sight threatening uveitis in Behçet's disease. Eye. 2007;21:824-825.
- Vazquez-Cobian LB, Flynn T, Lehman TJA. Adalimumab therapy for childhood uveitis. J Pediatr. 2006;149:572-575.
- Reiff A, Takei S, Sadeghi S, et al. Etanercept therapy in children with treatment-resistant uveitis. Arthritis Rheum. 2001;44:1411-1415.
- Reiff A. Long-term outcome of etanercept therapy in children with treatment-refractory uveitis. Arthritis Rheum. 2003;48:2079-2080.
- Smith JR, Levinson RD, Holland GN, et al. Differential efficacy of tumor necrosis factor inhibition in the management of inflammatory eye disease and associated rheumatic disease. Arthritis Rheum. 2001;45:252-257.
- Foster CS, Tufail F, Waheed NK, et al. Efficacy of etanercept in preventing relapse of uveitis controlled by methotrexate. Arch Ophthalmol. 2003;121:437-440.
- Smith JA, Thompson DJ, Whitcup SM, et al. A randomized, placebo-controlled, double-masked clinical trial of etanercept for the treatment of uveitis associated with juvenile idiopathic arthritis. Arthritis Rheum. 2005;53:18-23.
- Baughman RP, Lower EE, Bradley DA, et al. Etanercept for refractory ocular sarcoidosis: results of a double-blind randomized trial. Chest. 2005;128:1062-1147.
- Nussenblatt RB, Fortin E, Schiffman R, et al. Treatment of noninfectious intermediate and posterior uveitis with the humanized anti-Tac mAb: a phase I/II clinical trial. Proc Natl Acad Sci U S A. 1999;96:7462-7466.
- Hernandez Garfella ML, Diaz Llopis M, Salom Alonso D, Cervera Taulet E. Recurrent uveitis and therapy with monoclonal antibody (daclizumab). Arch Soc Esp Oftalmol. 2004;79:593-598.
- Nussenblatt RB, Peterson JS, Foster CS, et al. Initial evaluation of subcutaneous daclizumab treatments for noninfectious uveitis: a multicenter noncomparative interventional case series. Ophthalmol. 2005;112:764-770.
- Buggage RR, Levy-Clarke G, Sen HN et al. A double-masked, randomized study to investigate the safety and efficacy of daclizumab to treat the ocular complications related to Behçet's disease. Ocul Immunol Inflamm. 2007;1:63-70.
- Lim WK, Fujimoto C, Ursea R, et al. Suppression of immune-mediated ocular inflammation in mice by interleukin 1 receptor antagonist administration. Arch Ophthalmol. 2005;123:957-963.
- Teoh SC, Sharma S, Hogan A, et al. Tailoring biological treatment: Anakinra treatment of posterior uveitis associated with the CINCA syndrome. Br J Ophthalmol. 2007;91:263-264.
- Botsios C, Sfriso P, Furlan A, et al. Resistant Behçet disease responsive to anakinra. Ann Intern Med. 2008;149:284-6.
- Palucka AK, Blanck JP, Bennett L, et al. Cross-regulation of TNF and IFN-alpha in autoimmune diseases. Proc Natl Acad Sci U S A. 2005;102:3372-3377.
- Plskova J, Greiner K, Muckersie E, et al. Interferon-alpha: a key factor in autoimmune disease? Invest Ophthalmol Vis Sci. 2006;47:3946-3950.
- Kotter I, Eckstein AK, Stubiger N, Zierhut M. Treatment of ocular symptoms of Behçet's disease with interferon alpha 2a: a pilot study. Br J Ophthalmol. 1998;82:488-494.
- Kotter I, Zierhut M, Eckstein AK, et al. Human recombinant interferon alfa-2a for the treatment of Behçet's disease with sight threatening posterior or panuveitis. Br J Ophthalmol. 2003;87:423-431.
- Tugal-Tutkun I, Guney-Tefekli E, Urgancioglu M. Results of interferon-alfa therapy in patients with Behçet uveitis. Graefes Arch Clin Exp Ophthalmol. 2006;244:1692-1695.
- Sobaci G, Bayraktar Z, Bayer A. Interferon alpha-2a treatment for serpiginous choroiditis. Ocul Immunol Inflamm. 2005;13:59-66.
- Bodaghi B, Gendron G, Wechsler B, et al. Efficacy of interferon alpha in the treatment of refractory and sight threatening uveitis: a retrospective monocentric study of 45 patients. Br J Ophthalmol. 2007;91:335-339.
- Cirino AC, Mathura JR Jr, Jampol LM. Resolution of activity (choroiditis and choroidal neovascularization) of chronic recurrent punctate inner choroidopathy after treatment with interferon B-1A. Retina. 2006;26:1091-1092.
- Becker MD, Heiligenhaus A, Hudde T, et al. Interferon as a treatment for uveitis associated with multiple sclerosis. Br J Ophthalmol. 2005;89:1254-1257.
- Tappeiner C, Heinz C, Specker C, et al. Rituximab as a treatment option for refractory endogenous anterior uveitis. Ophthalmic Res. 2007;39:184-186.
- Ahmadi-Simab K, Lamprecht P, Nolle B, et al. Successful treatment of refractory anterior scleritis in primary Sjorgen's syndrome with rituximab. Ann Rheum Dis. 2005;64:1087-1088.
- Cheung C, Murray P, Savage C. Successful treatment of Wegener's granulomatosis associated scleritis with rituximab. Br J Ophthalmol. 2005;89:1542.
- Lockwood CM, Hale G, Waldman H, et al. Remission induction in Behçet's disease following lymphocyte depletion by the anti-CD52 antibody CAMPATH 1-H. Rheumatology. 2003;42:1539-1544.
- Dick A, Meyer P, James T, et al. Campath-1H therapy in refractory ocular inflammatory diseases. Br J Ophthalmol. 2000;84:107-109.
- Barnes T, Goodacre J, Moots RJ. Second International Conference on Cytokine Medicines. Expert Opin Biol Ther. 2005;5:1255-1258.
- Brinkmann V, Davis MD, Heise CE, et al. The immune modulator FTY720 targets sphingosine 1-phosphate receptors. J Biol Chem. 2002;277:21453-21457.
- Mandala S, Hajdu R, Bergstrom J, et al. Alteration of lymphocyte trafficking by sphingosine-1-phosphate receptor agonists. Science. 2002;296:346-349.
- Brinkmann V, Cyster JG, Hla T. FTY720: sphingosine 1-phosphate receptor-1 in the control of lymphocyte egress and endothelial barrier function. Am J Transplant. 2004;4:1019-1025.
- Matloubian M, Lo CG, Cinamon G, et al. Lymphocyte egress from thymus and peripheral lymphoid organs is dependent on S1P receptor 1. Nature. 2004;427:355-360.
- Kappos L, Antel J, Comi G, et al. Oral fingolimod (FTY720) for relapsing multiple sclerosis. N Engl J Med. 2006;355:1124-1140.
- Raveney BJ, Copland DA, Nicholson LB, Dick AD. Fingolimod (FTY720) as an acute rescue therapy for intraocular inflammatory disease. Arch Ophthalmol. 2008;126:1390-1395.
- Fine HF, Baffi J, Reed GF, Csaky KG, Nussenblatt RB. Aqueous humor and plasma vascular endothelial growth factor in uveitis-associated cystoid macular edema. Am J Ophthalmol. 2001;132:794-796.
- Cordero Coma M, Sobrin L, Onal S, Christen W, Foster CS. Intravitreal bevacizumab for treatment of uveitic macular edema. Ophthalmology. 2007;114:1574-1579.
- Fine HF, Zhitomirsky I, Freund KB, Barile GR, Shirkey BL, Samson CM, Yannuzzi LA. Bevacizumab (Avastin) and ranibizumab (Lucentis) for choroidal neovascularization in multifocal choroiditis. Retina. 2008 Sep 10, Epub ahead of print.
- Kramer M, Ehrlich R, Snir M, et al. Intravitreal injections of triamcinolone acetonide for severe vitritis in patients with incomplete Behçet's disease. Am J Ophthalmol. 2004;138:666-667.
- Kok H, Lau C, Maycock N et al. Outcome of intravitreal triamcinolone in uveitis. Ophthalmol. 2005;112:1916-1921.
- Karacorlu M, Mudun B, Ozdemir H, et al. Intravitreal triamcinolone acetonide for the treatment of cystoid macular edema secondary to Behçet disease. Am J Ophthalmol. 2004;138:289-291.
- Jonas JB, Degenring RF, Kreissig I, et al. Intraocular pressure elevation after intravitreal triamcinolone acetonide injection. Ophthalmol. 2005;112:593-598.
- Galor A, Margolis R, Brasil OM, et al. Adverse events after intravitreal triamcinolone in patients with and without uveitis. Ophthalmol. 2007;114:1912-1918.
- Jafee GJ, Martin D, Callanan D, et al. Fluocinolone Acetonide Uveitis Study Group. Fluocinolone acetonide implant (Retisert) for noninfectious posterior uveitis: thirty-four-week results of a multicenter randomized clinical study. Ophthalmol. 2006;113:1020-1027.
- Callanan DG, Jaffe GJ, Martin DF, et al. Treatment of posterior uveitis with a fluocinolone acetonide implant: three-year clinical trial results. Arch Ophthalmol. 2008;126:1191-1201.
- Kuppermann BD, Blumenkranz MS, Haller JA, et al. Dexamethasone DDS Phase II Study Group; Randomized controlled study of an intravitreous dexamethasone drug delivery system in patients with persistent macular edema. Arch Ophthalmol. 2007;125:309-317.







