CASE STUDY
Cytomegalovirus Retinitis in a Monocular Patient
Management options were constrained by poor vision in the fellow eye.
CHIRAG P. SHAH, MD, MPH · JULIA A. HALLER, MD
A 41-year-old female experienced blurred visual acuity in her right eye for several days, associated with fevers and night sweats. Her visual symptoms progressively worsened before she sought ophthalmic care. She denied any visual changes in her left eye, an eye with stable poor vision since being grazed by a bullet 10 years earlier. She had insulin-dependent diabetes, anemia, coronary artery disease status post stent placement, vulvar cancer, and human immunodeficiency virus (HIV) with an unknown CD4+ T-lymphocyte count. She had been recently discharged after treatment for Pneumocystis carinii pneumonia (PCP). Her prior infections included disseminated herpes simplex virus and esophageal candidiasis. She admitted to past cocaine use. Her medications included insulin, truvada (reverse transcriptase inhibitor), lopinavir (protease inhibitor; Kaletra, Abbott), azithromycin, clindamycin, valacyclovir (Valtrex, GlaxoSmithKline), fluconazole (Diflucan, Pfizer), and primaquine.
| Chirag P. Shah, MD, MPH, is a vitreoretinal fellow at the Wills Eye Institute in Philadelphia. Julia A. Haller, MD, is ophthalmologist-in-chief at Wills and professor and chair of the Department of Ophthalmology at Thomas Jefferson University. Neither author reports any financial interests in any product mentioned in this article. Dr. Shah can be reached via e-mail at cshah99@gmail.com. The authors wish to acknowledge David Fisher, MD, for his assistance with this case. |
EXAMINATION AND DIAGNOSIS
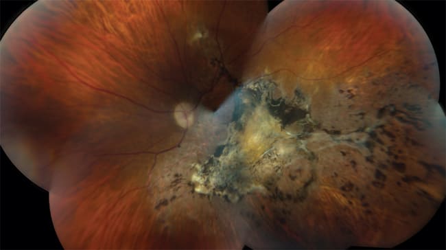
On examination, the patient's vision was 20/200 in the right eye and counting fingers at face in the left. Pupils were normal without a relative afferent pupillary defect. Confrontation fields revealed a relative scotoma in her right eye superior to fixation. Her anterior segment was normal in both eyes. Examination of her right fundus revealed diffuse peripapillary and perivascular retinal whitening with hemorrhages, particularly along the inferior arcade (see Figure 1). The ischemic retinal whitening involved her fovea, with secondary foveolar edema (see Figure 2). Her retinal vasculature appeared inflamed with perivascular sheathing, consistent with vasculitis. Her left retinal exam revealed inactive hyperpigmented chorioretinal scarring due to remote sclopeteria after a gunshot incident (see Figure 3). There was no retinitis or vasculitis in her left eye, nor was there vitritis in either eye.
Figure 1. Acute CMV retinitis OD, with retinal whitening, hemorrhages, perivascular sheathing, and macular edema.
Figure 2. OCT of the right eye with macular edema and loss of the normal foveal contour.
Figure 3. Diffuse hyperpigmented chorioretinal scarring OS, due to remote sclopeteria.
The differential diagnosis of retinitis and vasculitis in a patient with HIV includes cytomegalovirus (CMV) retinitis, toxoplasmosis, acute retinal necrosis, progressive outer retinal necrosis, candida, syphilis, Lyme disease, tuberculosis, and sarcoidosis. Her recent PCP corroborated her depleted CD4+ count. In fact, her CD4+ count was only 2 cells/μL. Our patient's clinical appearance, in the setting of a low CD4+ count, was classic for CMV retinitis.
EPIDEMIOLOGY
Before 1996, the year protease inhibitors and nonnucleotide reverse-transcriptase inhibitors were introduced in highly active antiretroviral (HAART) regimens, the incidence of CMV retinitis in HIV-positive individuals was high and its prognosis abysmal. About 1 in 4 patients with CD4 counts less than 100 developed CMV retinitis within 4 years.1 Further, the median lifespan after a diagnosis of CMV retinitis was only 1 year.2 Since HAART, however, the incidence of CMV retinitis has decreased 75% to 80% with a corresponding decrease in mortality.3
PRESENTATION
Management of CMV retinitis remains individualized, combining systemic and localized anti-CMV medications and ultimately HAART therapy. For our patient, we immediately injected intravitreal ganciclovir 2 mg/0.05 mL (Cytovene, Roche) and foscarnet (Foscavir, AstraZeneca) 1.2 mg/0.05 mL. The infectious disease team admitted her to the hospital and administered intravenous ganciclovir 250 mg twice a day. Other intravenous anti-CMV options included cidofovir and foscarnet. We completed the appropriate testing to rule out other concomitant infections in our differential diagnosis.
We held her HAART therapy, initiated only 3 weeks prior to presentation, given concern for immune recovery uveitis (IRU). IRU is marked by a profound inflammatory response as the immune system recovers. Delaying HAART therapy until retinitis is controlled decreases the incidence of IRU.4 IRU is related to lesion size and location. Our patient was at particular risk given the size of her lesion and zone 1 involvement, defined as infection within 2 disc diameters of the fovea and 1 disc diameter of the optic nerve.
A ganciclovir implant (Vitrasert; Bausch & Lomb, Rochester, NY; approved 1996) should be considered in patients with zone 1 disease, given the threat of long-term visual loss.2 Of note, systemic anti-CMV therapy should always be coadministered, if tolerated, for improved retinitis control and systemic coverage.5 Our monocular patient considered the risk of intraocular surgery in her "good" eye and declined a ganciclovir implant. We treated her locally with 3 additional intravitreal foscarnet 2.4 mg/0.1 mL injections, spaced every 4 to 5 days.
The patient's retinitis improved greatly. The infectious disease team restarted HAART therapy before discharging her on oral valganciclovir after 8 days of intravenous therapy. HAART therapy alone can achieve resolution of CMV retinitis,6 but we prefer concomitant local and systemic therapy when tolerated and particularly in cases where the posterior pole is already involved.
At 1 month, our patient's vision was 20/60 with resolution of macular edema on optical coherence tomography (see Figures 4 and 5). Her CD4+ count improved to 102 cells/μL without evidence of IRU. She did not develop a retinal detachment, another vision-threatening complication of CMV retinitis. Based on several cases series, the US Public Health Service and the Infectious Diseases Society of America recommend discontinuation of anti-CMV treatment when the CD4 count is greater than 100 to 150 cells/μL for at least 6 months.7 Late relapses do occur, requiring continued monitoring.8
Figure 4. Markedly improved CMV retinitis, hemorrhages, and macular edema after 1 month of treatment.
Figure 5. OCT of the right eye showing improved foveal contour and no macular edema after 1 month of treatment.
SUMMARY
The incidence and prognosis of CMV retinitis has improved remarkably since the introduction of HAART in 1996. Treatment is tailored to the individual, involving localized and systemic anti-CMV therapy. Major vision-threatening complications beyond the retinitis itself include immune recovery uveitis and retinal detachment. Anti-CMV therapy can usually be discontinued safely after 6 months of sustained immune recovery, though patients must be monitored for relapse. RP
REFERENCES
- Hoover DR, Peng Y, Saah A, et al. Occurrence of cytomegalovirus retinitis after human immunodeficiency virus immunosuppression. Arch Ophthalmol. 1996;114:821-827.
- Jabs DA. AIDS and ophthalmology, 2008. Arch Ophthalmol. 2008;126:1143-1146.
- Palella FJ Jr, Delaney KM, Moorman AC, et al. Declining morbidity and mortality among patients with advanced human immunodeficiency virus infection: HIV Outpatient Study Investigators. N Engl J Med. 1998;338:853-860.
- Ortega-Larrocea G, Espinosa E, Reyes-Teran G. Lower incidence and severity of cytomegalovirus-associated immune recovery uveitis in HIV-infected patients with delayed highly active antiretroviral therapy. AIDS. 2005;19:735-738.
- Martin DF, Kuppermann BD, Wolitz RA, Palestine AG, Li H, Robinson CA. Oral ganciclovir for patients with cytomegalovirus retinitis treated with a ganciclovir implant: Roche Ganciclovir Study Group. N Engl J Med. 1999;340:1063-1070.
- Reed JB, Schwab IR, Gordon J, Morse LS. Regression of cytomegalovirus retinitis associated with protease-inhibitor treatment in patients with AIDS. Am J Ophthalmol. 1997;124:199-205.
- Centers for Disease Control and Prevention. Guidelines for preventing opportunistic infections among HIV-infected persons — 2002: recommendations of the US Public Health Service and the Infectious Diseases Society of America. MMWR Morb Mortal Wkly Rep. 2002;51(RR-8):47-52.
- Jabs DA, Van Natta ML, Thorne JE, et al. Course of cytomegalovirus retinitis in the era of highly active antiretroviral therapy, 1: retinitis progression. Ophthalmology. 2004;111:2224-2231.







