Macular Hole Surgery
MITCHELL S. FINEMAN, MD
Less than 2 decades have passed since the classification system and proposed mechanism for macular hole formation was introduced by Johnson and Gass.1 The suggested surgical procedure transformed a condition with a poor visual prognosis into a treatable disease with a substantial chance of visual improvement. While the surgical methods continue to evolve and vitreoretinal surgeons continue to debate the pros and cons of various techniques to repair macular holes, the basic characteristics of surgical treatment have not changed since the original description. Specifically, vitreoretinal traction is relieved from the macular hole, intraocular fluid is removed from the hole, and the hole is kept dry for a temporary period of time.
CLASSIFICATION
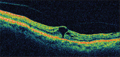
The classification system proposed prior to the optical coherence tomography (OCT) era is still used today, and the assumed mechanism has largely been supported by findings on OCT. In summary, stage 1 holes are not true holes but rather focal areas of vitreoretinal traction. Astage 1 hole has an equal chance to recover spontaneously as it does to progress to a stage 2 hole (full-thickness hole with vitreoretinal traction on the edge of the hole)(Figure 1). Once a stage 2 hole develops, there is little chance of spontaneous recovery, and surgical intervention is considered. Stage 3 and 4 holes are full-thickness holes, with the latter associated with a posterior vitreous detachment (Figure 2). Because studies suggest that the chance of visual improvement and anatomic success is higher if the surgical repair is performed within 6 months, it should not be delayed beyond this time frame.2
PREOPERATIVE TESTING
The advent of OCT has transformed the preoperative evaluation of macular holes by allowing exceptional visualization of the pathologic vitreomacular interface.3 OCT is also a very effective method of patient education because it so clearly demonstrates the pathology in a easily understandable picture. One caution with OCT is small macular holes that can be confused with macular edema. Careful scanning techniques and manual adjustment of the scan plane will identify most macular holes. If the edema at the edge of the hole is seen on OCT without visualizing the hole, the patient may undergo unnecessary treatment for presumed macular edema. If there is any question regarding the presence of additional pathology, then a flourescein angiogram may be considered. Characteristically, macular holes will show a window defect (brighter with increasing duration of the hole and subsequent retinal pigment epithelium [RPE] atrophy), and minimal, if any, late leakage will be identified.
| Mitchell S. Fineman, MD, is assistant professor of ophthalmology at the Thomas Jefferson School of Medicine in Philadelphia and is a partner with Retinovitreous Associates in Philadelphia. |
Figure 1. Stage 2 macular hole. Note the vitreous traction at the edge of the macular hole.
TREATMENT
A 3-part pars plana vitrectomy with removal of vitreomacular traction is the standard treatment for macular holes. The gauge of the vitrectomy system is dictated by surgeon preference, but the advent of 23- and 25-g surgery has improved the efficiency of this procedure.4 Initial limitations in lighting and instrumentation have been largely overcome.
Since most macular holes are treated at stage 2 or 3, a posterior detachment will not be present. Complete separation of the posterior hyaloid is critical to the success of the surgery. Following a core vitrectomy, aspiration of the vitreous over the optic nerve followed by anterior traction will cause posterior hyaloids to separate in most situations. Intravitreal triamcinolone acetonide (Kenalog, Bristol-Myers Squibb) may be utilized to help identify the vitreous and, in my experience, adheres to 2 distinct circular areas: one overlying the optic nerve and the other a larger area over the macula. This "figure 8" appearance serves to identify residual posterior hyaloidal traction and facilitates complete vitreous separation.
Figure 2. A. Stage 3 macular hole previtrectomy. B. Same eye 6 weeks after vitrectomy and successful closure of the macular hole.
Although the necessity of internal limiting membrane (ILM) removal is still debated, it has been shown to improve the success rate of the surgery and therefore should be considered.5-7 The basic components of ILM removal are creating an edge, visualizing the flap, and removing the membrane. I prefer to elevate the edge of ILM with an Alcon (Forth Worth, TX) 25-g microvitreoretinal (MVR) blade. Other instruments used for ILM removal include forceps to "pinch" and edge, the Tano diamond-dusted membrane scraper (Synergetics, O'Fallon, MO), needles with bent beveled edges, and a variety of picks. Forceps are then used to remove the ILM in a capsulorrhexis-type fashion around the hole. Alcon 25-g disposable end-gripping forceps are well suited for this maneuver, but any forceps may be used.
The use of surgical adjuvants to aid in the visualization and hence the efficiency of ILM removal remains controversial. Peeling of the ILM can be accomplished without the use of adjuvants in many cases; however, difficult ILM peels can result in extensive surgical times and increase the risk of light toxicity.
Indocyanine green (ICG), trypan blue, and triamcinolone have been used to facilitate removal of the ILM in these situations. ICG intensely stains the ILM and improves the visualization, but concerns have been raised regarding its safety.8 Theories regarding the potential toxicity of ICG are largely based on experimental animal studies and involve toxic effects on the RPE.9,10 I have found that ICG stains the edge of the ILM better than the surface and, therefore, I instill it after the edge has been elevated. In an effort to minimize toxicity, a dilute mixture is used, air-fluid exchange is not performed, and the ICG is immediately removed. The reduction in time to peel the ILM with the use of ICG must be weighed against the potential risk of increasing light toxicity if the ILM peel is difficult. ICG should be avoided in patients with an allergy to iodine or shellfish. The toxicity concerns about ICG have hampered the enthusiasm for this adjuvant. Furthermore, recent difficulty in obtaining ICG from Akorn Inc. (Somerset, NJ), the manufacturer of IC-Green, has resulted in a nationwide shortage. According to the company Web site, Akorn has filed a manufacturing site change supplement with the Food and Drug Administration (FDA) and is working to bring this product to market in an expedited manner.
VisionBlue (trypan blue ophthalmic solution 0.06%; Dutch Ophthalmic Research Center, Zuidland, the Netherlands), although FDA approved for staining the anterior lens capsule during cataract surgery, has been used off-label for improving the visualization during ILM peeling.11 One study suggested an advantage in postoperative visual improvement when compared to eyes where ICG was used,12 while another found no difference between the agents.13
Intravitreal triamcinolone is not only useful to identify the posterior hyaloid, but the residual dusting that results on the surface of the macula aids in peeling the ILM.14,15 Although triamcinolone doesn't actually "stain" the ILM, it does enhance ILM visualization where the triamcinolone particles adhere to the surface of the retina. The recent shortage of ICG has made the use of triamcinolone even more valuable for this application.
TAMPONADE
Once the macular hole is freed from all traction, an air-fluid exchange is performed. A tamponade is then necessary to prevent fluid from reentering the macular hole and preventing closure. Choices include nonexpansile mixtures of C3F8 and SF6 gases and silicone oil. Gas is the preferred method in patients able to position postoperatively because it results in a better rate of visual improvement when compared to silicone oil and does not require a second surgical procedure for removal.16,17 I use C3F8 because it results in a larger bubble for a longer duration, minimizing the necessity of an aggressive air-fluid exchange and the negative consequence of poor postoperative positioning. Silicone oil tamponade should be reserved for those patients unable to maintain postoperative positioning or when air travel will be required during the postoperative period. The duration of eye-down positioning varies based on surgeon preference from no time at all to several weeks, although there are no randomized studies to support one duration vs another.
CATARACT PROGRESSION
Almost all patients undergoing vitrectomy surgery for macular hole will experience an acceleration in cataract progression over a 2-year period.18 Previtrectomy or simultaneous cataract extraction with intraocular lens insertion should be considered because it allows for a more complete vitrectomy and better visualization. A combined approach is advantageous because it minimizes anesthesia risk and allows for a more rapid visual rehabilitation without compromising the success rate of the macular hole surgery.19
CONCLUSIONS
Macular hole surgery has become one of the most rewarding procedures for both the patient and the vitreoretinal surgeon. Advances in preoperative testing and refinements in technique promise to continue the trend of improved surgical and visual outcomes. RP
REFERENCE:
- Johnson RN, Gass JD. Idiopathic macular holes. Observations, stages of formation, and implications for surgical intervention. Ophthalmology. 1988;95:917-924.
- Willis AW, Garcia-Cosio JF. Macular hole surgery. comparison of longstanding versus recent macular holes. Ophthalmology. 1996;103:1811-1814.
- Altaweel M, Ip M. Macular hole: improved understanding of pathogenesis, staging, and management based on optical coherence tomography. Semin Ophthalmol. 2003;18:58-66
- Rizzo S, Belting C, Cresti F, Genovesi-Ebert F. Sutureless 25-gauge vitrectomy for idiopathic macular hole repair. Graefes Arch Clin Exp Ophthalmol. 2007 Mar 15; E-pub ahead of print.
- Haritoglou C, Gass CA, Schaumberger M, Gandorfer A, Ulbig MW, Kampik A. Long-term follow-up after macular hole surgery with internal limiting membrane peeling. Am J Ophthalmol. 2002;134:661-666.
- Mester V, Kuhn F. Internal limiting membrane removal in the management of full-thickness macular holes. Am J Ophthalmol. 2000;129:769-777.
- Haritoglou C, Reiniger IW, Schaumberger M, Gass CA, Priglinger SG, Kampik A. Five-year follow-up of macular hole surgery with peeling of the internal limiting membrane: update of a prospective study. Retina. 2006;26:618-622.
- Husson-Danan A, Glacet-Bernard A, Soubrane G, Coscas G. Clinical evaluation of the use of indocyanine green for peeling the internal limiting membrane in macular hole surgery. Graefes Arch Clin Exp Ophthalmol. 2006;244:291-297.
- Maia M, Kellner L, de Juan E Jr, Smith R, Farah ME, Margalit E, Lakhanpal RR, Grebe L, Au Eong KG, Humayun MS. Effects of indocyanine green injection on the retinal surface and into the subretinal space in rabbits. Retina. 2004;24:80-91.
- Penha FM, Maia M, Eid Farah M, Principe AH, Freymuller EH, Maia A, Magalhaes O Jr, Smith RL. Effects of subretinal injections of indocyanine green, trypan blue, and glucose in rabbit eyes. Ophthalmology. 2007;114:899-908.
- Perrier M, Sebag M. Trypan blue-assisted peeling of the internal limiting membrane during macular hole surgery. Am J Ophthalmol. 2003;135:903-905.
- Lee KL, Dean S, Guest S. A comparison of outcomes after indocyanine green and trypan blue assisted internal limiting membrane peeling during macular hole surgery. Br J Ophthalmol. 2005;89:420-424.
- Beutel J, Dahmen G, Ziegler A, Hoerauf H. Internal limiting membrane peeling with indocyanine green or trypan blue in macular hole surgery: a randomized trial. Arch Ophthalmol. 2007;125:326-332.
- Shah GK, Rosenblatt BJ, Blinder KJ, Grand MG, Smith M. Triamcinolone-assisted internal limiting membrane peeling. Retina. 2005;25:972-975.
- Karacorlu M, Ozdemir H, Arf Karacorlu S. Does intravitreal triamcinolone acetonide-assisted peeling of the internal limiting membrane effect the outcome of macular hole surgery? Graefes Arch Clin Exp Ophthalmol. 2005;243:754-757.
- Lai JC, Stinnett SS, McCuen BW. Comparison of silicone oil versus gas tamponade in the treatment of idiopathic full-thickness macular hole. Ophthalmology. 2003;110:1170-1174.
- Couvillion SS, Smiddy WE, Flynn HW,Jr, Eifrig CW, Gregori G. Outcomes of surgery for idiopathic macular hole: A case-control study comparing silicone oil with gas tamponade. Ophthalmic Surg Lasers Imaging. 2005;36:365-371.
- Lahey JM, Francis RR, Fong DS, Kearney JJ, Tanaka S. Combining phacoemulsification with vitrectomy for treatment of macular holes. Br J Ophthalmol. 2002;86:876-878.
- Cheng L, Azen SP, El-Bradey MH, et al. Duration of vitrectomy and postoperative cataract in the vitrectomy for macular hole study. Am J Ophthalmol. 2001;132:881-887.







