Idiopathic macular telangiectasia (MacTel) is a degenerative retinal disorder originally described by Gass and Oyakawa in 1982.1 Gass and Blodi identified 3 subgroups of the disease.2 In 2006, Yanuzzi et al proposed a classification that prevails in the more recent literature: aneurysmal (type 1), perifoveal (type 2) and occlusive (type 3).3 Type 1 appears to be a phenotypic variant of Coats disease and type 3 is likely comprised of several familial disorders with systemic associations about which little is known. MacTel type 2 is the most common type and will be the focus of this article.
CLINICAL FEATURES
MacTel type 2 is bilateral disease characterized by ectatic capillaries of the macula and atrophy of the neurosensory retina. The prototypical early clinical finding is “retinal graying” or decreased retinal transparency of parafoveal macula. There are crystalline deposits, depletion of the macular pigment, and dilated macular venules and arterioles that appear to dive at right angles into the deeper portions of the retina. Abnormal intraretinal and subretinal anastomoses can occur.3 Hyperplastic plaques of retinal pigment epithelium (RPE) may be associated with the tips of the dilated vessels and are sometimes surrounded by a region of RPE atrophy. These plaques are preceded by loss of photoreceptors and are typically associated with an absolute scotoma. These changes occur predominantly temporal to the foveola, initially, but may later expand to include the fovea.4
Neovascularization of the retina may occur with MacTel type 2, usually following the appearance of the RPE plaques, with resulting edema. Small retinal hemorrhages can also occur in the absence of neovascularization.4 The neovascularization complexes originate from the capillary plexus of the outer retina, but they may invade the subretinal space and rarely form shunts with the choroid.2
Early-phase fluorescein angiography (FA) of MacTel type 2 demonstrates telangiectatic capillaries usually within 1 disc diameter temporal to the fovea. Diffuse hyperfluorescence appears in the late phase, without corresponding cystoid macular edema (CME) on optical coherence tomography (OCT). This hyperfluorescence may be evident earlier in the disease course than the telangiectatic vessels.2 In later stages of the disease, OCT can reveal atrophy of the retina, which can progress to outer retinal cavitations, which have a distinct appearance that is different from CME to the keen observer. These cavitations do not exhibit pooling on FA. Small foveal cavitations that have the appearance of lamellar macular holes can also be seen, but there is usually no accompanying epiretinal gliosis or traction and there is typically an ILM drape. True macular holes, likely secondary to retinal atrophy can also occur, often temporal to the fovea.4 One of the earliest signs of MacTel type 2 on OCT may be temporal extension of the foveal depression.5 Another early sign may be disruption of the ellipsoid zone temporal to the fovea.4 A study using adaptive optics revealed a decreased density of paracentral cones in patients with MacTel type 2.6
Visual acuity (VA) may be mildly impaired in the early stages of IMT type 2 up to about 20/50 until foveal atrophy begins to occur. Visual acuity may decline very slowly or remain stable for a period of many years, and rarely becomes worse than 20/200. Metamorphopsia and paracentral scotomata can occur.4
MacTel type 2 has an estimated prevalence of between 0.004% and 0.1% in patients over 40, and there is a slight predilection for females.7,8 It is likely that studies underestimate the true prevalence. A large proportion of MacTel type 2 patients have comorbid diabetes and/or hypertension (28% and 52%, respectively).9
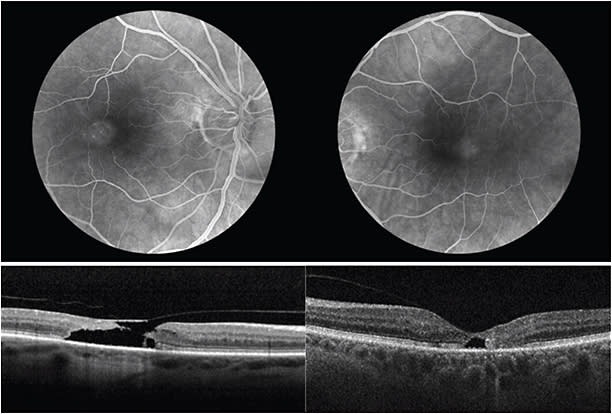
DIAGNOSIS
In a busy retina clinic, a high index of suspicion is needed to correctly diagnose MacTel type 2. Complicating factors may include presence of drusen, recent cataract surgery, or lack of access to high-quality multimodal imaging. We have found that the most characteristic clinical feature is the distinctive intraretinal cavitation on spectral-domain (SD) OCT, with normal retinal thickness, giving the appearance of missing tissue with an ILM drape. More typically, patients are middle aged and complain of moderately decreased vision that has been slowly progressive. Next, we look for crystalline deposits or graying of retina, as well as right-angle venules, which are often subclinical. We recommend FA imaging to confirm the diagnosis by the presence of temporal juxtafoveal leakage, distinctly different than DME or CNV, and to rule out other pathologies such a diabetic retinopathy or wet AMD. Familiarity with this distinctive appearance on SD-OCT is key for correct diagnosis. It is important to remember that all cystic spaces on SD-OCT are not fluid or CME. Figure 1 shows diagnostic images.
OCT angiography (OCTA) is ideally suited for evaluating MacTel type 2, considering its distinctive vascular changes, especially for monitoring progression and response to treatment. Recent studies have shown that OCTA reveals abnormal vessels in the mid retinal layer, neovascularization of the outer retina, and chorioretinal anastomoses. These findings correlate well with corresponding abnormalities on FA.10 However, unlike FA, OCTA is noninvasive. It is also faster than FA, and images are not obscured by dye leakage. Segmented OCTA can better image abnormalities that would be obscured by leakage on FA, such as subretinal neovascularization.11
OCTA findings in eyes with MacTel type 2 include enlargement of the foveal avascular zone in proportion to disease severity; decreased retinal capillary density; and ectasia, dilation, truncation, and telangiectasis of the vessels of the retinal capillary plexi, beginning temporally early in the disease and eventually encircling the fovea.12-14 In milder or early MacTel type 2, OCTA may show dilated vessels in the deep retinal capillary plexus mostly temporal to the fovea, but the superficial capillary plexus will appear normal. With progression, OCTA may reveal telangiectatic vessels emanating from the middle retina and extending to the inner and outer retinal layers that may appear aneurysmal. These are associated with disruptions of the ellipsoid zone. Subretinal neovascularization also can be imaged using OCTA.11 While SD-OCT may show a hyperreflective focus in an area suggestive of proliferative disease, OCTA may directly show the neovascularization.14
TREATMENT
Current practice patterns for MacTel type 2 consist mostly of observation, reassuring the patient, and treating complications or sequelae of the disease, such as neovascularization or macular holes. It may be tempting to recommend a trial of anti-VEGF injections in these patients because of intraretinal spaces on OCT, but this is contraindicated in noncomplicated MacTel type 2 patients. Anti-VEGF medications are not effective in the nonproliferative stage and may even be detrimental due to the neuroprotective effects of VEGF.9,15,16 Anti-VEGF therapy is effective for treating neovascularization when it occurs, with improvements in VA and regression of the neovascularization, although angiographic leakage remains.
Intravitreal triamcinolone appears to provide no benefit in this disease. Similarly, studies show there is no benefit for photodynamic therapy in the nonproliferative phase, although it may reduce the number of injections needed when used in conjunction with anti-VEGF therapy for proliferative lesions. Interestingly, OCTA demonstrates a reduction in the caliber of the abnormal telangiectatic vessels and resolution of aneurysmal changes after administration of anti-VEGF therapy.11 It is presently unknown whether this represents true regression or merely reduction in blood flow.11 Anti-VEGF clearly does not change VA outcomes in nonproliferative cases.
Results of treatment with argon laser photocoagulation for proliferation have been variable, and it is not recommended because of the potential to trigger further neovascular growth and creation of scotomas in the treatment area, which are typically near the fovea.15
CURRENT RESEARCH
In the recent years, there has been a resurgence of research efforts for this disease led by The MacTel Project17 with support from the Lowy Medical Research Institute, which is committed to MacTel research.
Recent evidence suggests that the primary pathogenesis of MacTel type 2 is neurodegenerative with secondary changes to the retinal vasculature, and several animal models suggest that cytokines and neurotrophins could form the basis for future therapies. Ciliary neurotrophic factor (CNTF) may reduce photoreceptor loss in animal models. A phase 1 trial of 7 patients with MacTel type 2 treated with a surgically implanted CNTF implant (NT-501 ECT; Neurotech), which contain cell “factories” constantly producing CNTF, showed no evidence of toxicity. Neurotech recently reported phase 2 study results, which showed statistically significant reduction in the progressive loss of photoreceptors in eyes treated with NT-501 compared to untreated eyes at 24 months.18,19
Recent small-scale trials have attempted therapy using oral lutein, meso-zeaxanthin, and zeaxanthin supplementation, given the loss of central macular pigment in MacTel type 2. Although pigment was seen to accumulate outside the diseased area, no reaccumulation of pigment was observed in the deficient areas after treatment.20-22 There was a mild but not statistically significant improvement in VA in one small study and no beneficial effect on the progression of photoreceptor loss.22
In one pilot study in which anecortave acetate, a synthetic angiostatic derivative of cortisol, was administered via a posterior juxtascleral injection using a specially designed curved cannula, regression of leakage and stabilization of VA was reported for more than 24 months after treatment in eyes without neovascularization. It also resulted in the stabilization or improvement of the neovascular lesions and VA in eyes with proliferative disease.23
In addition, histological studies have shown abnormalities of the vascular endothelium or pericytes.24 Evidence exists that the vascular endothelium provides paracrine support signals to the retina, and it is known that endothelial cells secrete trophic substances that stimulate renewal and differentiation of neural stems cells. Current research is exploring whether neural or vascular stem cells could be promising for the treatment of MacTel type 2.24 Studies using confocal and electron microscopy reveal that photoreceptor cells lose their outer segments, but may not be completely destroyed, suggesting strategies promoting cell restoration could be as viable as cell replacement.25
Some studies have implicated the gene responsible for ataxia telangiectasia in the pathogenesis of MacTel type 2. If confirmed, this could provide a target for gene therapy in the future.26 Another model suggests a positive effect of resveratrol for the prevention of neovascularization.27
Karth et al showed that vitreoretinal surgery for macular holes in MacTel type 2 may be less successful than with idiopathic macular holes because of the absence of abnormalities of the vitreomacular interface and because of tissue loss in cavitations.28 The holes may reopen after successful closure.29
While diverse new research is ongoing, perhaps the most promising is treatment with CNTF. However, it remains early in the approval process, with unproven efficacy even in early trials. There are no recent firm recommendations or even promising treatment modalities for patients with MacTel type 2, highlighting the need for research in this area. RP
REFERENCES
- Gass JD, Oyakawa RT. Idiopathic juxtafoveolar retinal telangiectasis. Arch Ophthalmol. 1982;100(5):769-780.
- Gass JD, Blodi BA. Idiopathic juxtafoveolar retinal telangiectasis. Update of classification and follow-up study. Ophthalmology. 1993;100(10):1536-1546.
- Yannuzzi LA, Bardal AMC, Freund KB, Chen K, Eandi CM, Blodi B. Idiopathic macular telangiectasia. Arch Ophthalmol. 2006;124(4):450-460.
- Issa PC, Gillies MC, Chew EY, et al. Macular telangiectasia type 2. Prog Retin Eye Res. 2013;34:49-77.
- Gillies MC, Zhu M, Chew EY, Barthelmes D, Hughes E, Ali H, Holz FG, Scholl HPN, Issa PC. Familial asymptomatic macular telangiectasia type 2. Ophthalmology. 2009;116(12):2422-2429.
- Ooto S, Hangai M, Takayama K, et al. High-resolution photoreceptor imaging in idiopathic macular telangiectasia type 2 using adaptive optics scanning laser ophthalmoscopy. Invest Ophthalmol Vis Sci. 2011;52(8):5541-5550.
- Aung K., Wickremasinghe SS, Makeyeva G, Robman L, Guymer RH. The prevalence estimates of macular telangiectasia Type 2: the Melbourne Collaborative Cohort Study. Retina. 2010;30(3):473-478.
- Klein R, Blodi, BA, Meuer, SM, Myers, CE, Chew E, Klein BEK. The prevalence of macular telangiectasia type 2 in the Beaver Dam eye study. Am J Ophthalmol. 2010;150(1):55-62.
- Englebert M, Chew EY, Yannuzzi LA. Macular telangiectasia. In: Ryan SJ, Schachat AP, Wilkinson CP, Hinton DR, Sadda SR, Wiedemann P, eds. Retina. 5th ed. Philadelphia, PA: Elsevier. 2013:1049-1056.
- Thorell MR, Zhang Q, Huang Y, et al. Swept-source OCT angiography of macular telangiectasia type 2. Ophthalmic Surg Lasers Imaging Retina. 2014;45(5):369-380.
- Roisman L, Rosenfeld PJ. Optical coherence tomography angiography of macular telangiectasia type 2. Dev Ophthalmol. 2016;56:146-158.
- Chidambara L, Gadde SG, Yadav NK, et al. Characteristics and quantification of vascular changes in macular telangiectasia type 2 on optical coherence tomography angiography. Br J Ophthalmol. 2016;100(11):1482-1488.
- Toto L, Di Antonio L, Mastropasqua R, et al. Multimodal imaging of macular telangiectasia type 2: focus on vascular changes using optical coherence tomography angiography. Invest Ophthalmol Vis Sci. 2016;57(9):268-276.
- Gonzalez MA, Shechtman D, Haynie JM, Semes L. Unveiling idiopathic macular telangiectasia: clinical applications of optical coherence tomography angiography. Eur J Ophthalmol. 2017 May 19. [Epub ahead of print]
- Chatziralli IP, Sharma PK, Sivaprasad S. Treatment modalities for idiopathic macular telangiectasia: an evidence-based systematic review of the literature. Semin Ophthalmol. 2017;32(3):384-394.
- Watzke RC, Klein ML, Folk JC, et al. Long-term juxtafoveal retinal telangiectasia. Retina. 2005;25(6):727-735.
- The MacTel Project. http://www.lmri.net . Accessed June 1, 2017.
- Sallo FB, Leung I, Clemons TE, et al; MacTel CNTF Research Group. Correlation of structural and functional outcome measures in a phase I trial of ciliary neurotrophic factor in type 2 idiopathic macular telangiectasia. Retina. 2017 May 23. [Epub ahead of print]
- Neurotech. Neurotech announces positive phase 2 results in NT-501 (CNTF) for macular telangiectasia [press release]. June 20, 2017.
- Issa PC, van der Veen RLP, Stifjs A, Holz FG, Scholl HPN, Berendschot TTJM. Quantification of reduced macular pigment optical density in the central retina in macular telangiectasia type 2. Exp Eye Res. 2009;89(1)25-31.
- Zeimer MB, Kromer I, Spital G, Lommatzsch A, Pauleikhoff D. Macular telangiectasia: patterns of distribution of macular pigment and response to supplementation. Retina. 2010;30(8):1282-1293.
- Tan AC, Balaratnasingam C, Yannuzzi LA. Treatment of macular telangiectasia type 2 with carotenoid supplements containing meso-zeaxanthin: a pilot study. Ophthalmic Surg Lasers Imaging Retina. 2016;47(6):528-535.
- Eandi CM, Ober MD, Freund KB, et al. Anecortave acetate for the treatment of idiopathic perifoveal telangiectasia: A pilot study. Retina. 2006;26(7):780-785.
- Green WR, Quigley HA, de la Cruz Z et al. Parafoveal retinal telangiectasis: light and electron microscopy studies. Trans Ophthalmol Soc UK. 1980;100(1):162-170.
- Marchetti V, Krohne TU, Friedlander DF, Friedlander M. Stemming vision loss with stem cells. J Clin Invest. 2010;120(9):3012-3021.
- Barbazetto IA, Room M, Yannuzzi NA, et al. ATM gene variants in patients with idiopathic perifoveal telangiectasia. Invest Ophthalmol Vis Sci. 2008;49(9):3806-3811.
- Hua J, Guerin KI, Chen J, et al. Resveratrol inhibits pathologic retinal neovascularization in Vldlr(-/-) mice. Invest Ophthalmol Vis Sci. 2011;52(5):2809-2816.
- Karth PA, Raja SC, Brown DM, Kim JE. Outcomes of macular hole surgeries for macular telangiectasia type 2. Retina. 2014;34(5):907-915.
- 29. Shukla D. Evolution and management of macular hole secondary to type 2 idiopathic macular telangiectasia. Eye (Lond). 2012;25(4):532-533.







