Fine Needle Aspiration Biopsy for Uveal Melanoma
Part 2, Genetic testing techniques and controversies
AMY C. SCHEFLER, MD, FACS • PRITHVI MRUTHYUNJAYA, MD, FACS
There has been a recent rise in the number of fine needle aspiration biopsies (FNAB) performed on a routine clinical basis for uveal melanoma patients.1 In Part 1 of this series, we detailed the various techniques used to perform FNAB on uveal melanoma patients as well as potential complications.
In this installment, we will report on various methods of tumor tissue analysis currently available to clinicians, as well as the controversies surrounding each form of testing. Finally, we will discuss ways in which this information can be used to guide clinical care for patients and the advantages and disadvantages of providing patients with this information.
FORMS OF TESTING
Early cytogenetic studies in the 1990s explored chromosomal changes present in uveal melanoma cells.2 In the 25 years since, various approaches to molecular testing have been explored, generating much information about the systemic prognosis for these patients. As technology for molecular genomic analysis has improved, various forms of testing have emerged as viable alternatives to each other, each with strengths and weaknesses.
In a recent study of ocular oncologists’ practice patterns, 77% of respondents noted that they routinely performed some form of cellular or molecular analysis of uveal melanoma samples in their clinical practice.3
Amy C. Schefler, MD, FACS, practices with Retina Consultants of Houston and Houston Methodist Hospital in Texas. Prithvi Mruthyunjaya, MD, FACS, is associate professor of ophthalmology at the Duke University Eye Center in Durham, NC. Neither author reports any financial interests in products mentioned in this article. Dr. Schefler can be reached via e-mail at acsmd@houstonretina.com.
Gene Expression Profiling
The first genomic test to be widely used in a clinical setting in the United States for uveal melanoma patients was the gene expression profile test (GEP), currently available to clinicians through the CLIA-approved laboratory of Castle Biosciences, Inc. (Friendswood, TX).
Clinical samples can be collected fresh from enucleation specimens or FNAB specimens. The test utilizes a 15-gene RNA-based platform, which includes 12 experimental genes and three control genes. The experimental genes include: CDH1, ECM1, EIF1B, FXR1, HTR2B, ID2, LMCD1, LTA4H, MTUS1, RAB31, ROBO1, and SATB1.
These experimental genes have been demonstrated in previously completed research to manifest overexpression or underexpression in particular patterns in uveal melanoma cells of varying degrees of aggressiveness.
Test results are provided to the clinician in the form of one of three risk classifications: class 1A, a low-risk classifier for the development of metastatic disease; class 1B, a moderate-risk classifier for the development of metastatic disease; and class 2, a high-risk classifier for the development of metastatic disease.
Based on an initial data set of 700 uveal samples and a second prospective data set of 500 cases evaluated from 2004 to 2012 combined with actuarial outcome data, the percentage of patients estimated to be alive at 5 years post-analysis for each group is 98%, 79%, and 28%, respectively. No data have been published to date assessing outcomes past 10 years of follow-up.
MLPA, MSA, GNAQ/GNA11 Testing
Impact Genetics (Bowmanville, Canada) introduced a testing platform for uveal melanoma in 2014 that is commercially available via the company’s CLIA-approved laboratory. Multiplex ligation-dependent probe amplification (MLPA) is used on chromosomes 1p, 3, 6, and 8 (chromosomes previously demonstrated in multiple studies to demonstrate copy number changes in uveal melanoma).
Microsatellite analysis (MSA) is used on chromosome 3 to detect copy number loss and isodisomy. MSA has been used by other large centers for some time as a routine approach to uveal melanoma prognostics.4 Finally, GNAQ/GNA11 sequencing is performed to confirm the presence of uveal melanoma cells.
Using these testing results plus clinical information provided by the clinician (age/sex of the patient, largest basal diameter of tumor, thickness of tumor, ciliary body involvement, extraocular extension, and other pathologic factors if available), results are provided to the clinician with a good or poor prognostic rating.
Patients with a good prognostic rating have a reported 82% rate of three-year survival from metastatic death due to uveal melanoma, a 66% five-year survival rate, and a 37% three-year survival rate. Patients with a poor prognostic rating have a 24% rate of three-year survival from metastatic death due to uveal melanoma, a 12% rate of five-year survival, and a 4% three-year survival rate.
Cytology
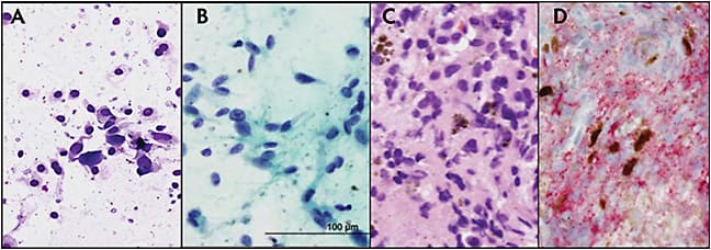
Many centers perform cytology in addition to genomic analysis in order to confirm the presence of uveal melanoma cells in the specimen and/or for confirmation of the diagnosis in uncertain cases (Figure). Cytology alone is rarely used as a stand-alone test as it confers relatively little prognostic information, in part because the traditional Callender classification cannot be fully assessed with a small percentage of the overall tumor population being examined on FNAB alone.
Figure. A) Cytology “adequacy check”: determining the presence of sufficient cells in the biopsy specimen. B) Pap smear-type cytology slide demonstrating mixed spindle/epithelioid cell type. C) Cell block specimen. D) HMB-45 cells. Cells staining brown are positive for melanoma.
COMPARISON OF TESTING PLATFORMS
Onken et al, in a prospective study of uveal melanoma samples collected and studied with GEP, found that GEP had a stronger association with the development of metastatic uveal melanoma than monosomy/disomy 3.5
There was a 20% discordance between the two methods, and among the discordant cases, GEP classification was more strongly associated with the development of metastases in that among 16 cases that were class 2/disomy 3, seven (43.8%) metastasized, whereas among 38 cases that were class 1/monosomy 3, only one metastasized (2.6%).
GEP has had the longest history of widespread routine clinical use in the United States with the longest validated follow-up, although MLPA’s first reported use in the UK was in 2008.6 Users of the GEP test note that this method of RNA-based testing requires less material than MLPA, while clinicians who advocate MLPA testing point out that MLPA/MSA/GNAQ/GNA11 is cheaper, is able to detect cases of isodisomy (making up 16% of cases in one study),7 and avoids producing a GEP result for a non-melanoma specimen.8
When comparing cytopathology and GEP classifications, Correa and Augsburger recently reported that, in a series of 159 specimens, GEP classification was a more reliable measure that was better than cytologic classification for predicting subsequent metastasis and metastatic death.9
Healthcare Economic Issues
As with many forms of genetic testing and cancer prognostication assays, insurance coverage is variable, with various government and commercial carriers denying patients access to these services in many cases.
Some laboratories such as Castle Biosciences have committed to a “no balance bill” policy in which any portion of the testing that is not covered by insurance is not billed to the patient.10 Other laboratories ask patients to pay the balance. There is no doubt that these policies will evolve over time as the dynamic healthcare environment continues to undergo shifts.
Among the 23% of clinicians surveyed by Aaberg et al who reported not performing FNAB, one of the major reasons given by these clinicians was issues with insurance coverage.3
USE OF PROGNOSTIC DATA IN CLINICAL PRACTICE
In a 2012 survey of clinicians, 74% reported that they used the information in order to guide the frequency of metastatic disease screening for patients.3 Patients with high-risk disease underwent more frequent surveillance, while patients with less risky disease underwent less frequent surveillance. Other ways in which clinicians report the use of prognostic data include: avoidance of treatment in older patients with low-risk disease, earlier ocular treatment in patients with high-risk disease, and enrollment in adjuvant clinical trials designed only for high-risk subjects.
PATIENT ATTITUDES TOWARD PROGNOSTIC TESTING
Some retrospective studies have been performed examining patients’ attitudes toward prognostic testing and its psychological impact on them afterward. Cook et al11 performed cytogenetic prognostication for 298 patients with uveal melanoma. None of the patients interviewed in detail expressed any regret about having the test.
The main benefit perceived by patients was that they would have greater control and that screening for metastatic disease and early treatment might enhance chances of survival. This was despite counseling that prognostication, screening, and treatment were unlikely to prolong life at this time given the lack of therapies for metastatic disease.
A more recent study has demonstrated equal amounts of post-test regret among patients with both low-risk and high-risk disease, consistent with findings in the general oncology literature (personal communication, Arun Singh, MD).
CONCLUSIONS
Molecular and genetic prognostic testing in uveal melanoma has come a long way in the last 20 years. Multiple platforms are available, each of which has different strengths and weaknesses. Prospective trials comparing different testing modalities would be productive, as well as the continued collection of long-term data on current modalities.
As additional key genes in the metastatic susceptibility process are identified, our ability to predict metastatic death should improve even further. Economic issues will need to be resolved in order to make this testing available to all patients. RP
REFERENCES
1. Schefler AC, Gologorsky D, Marr BP, Shields CL, Zeolite I, Abramson DH. Extraocular extension of uveal melanoma after fine-needle aspiration, vitrectomy, and open biopsy. JAMA Ophthalmol. 2013;131:1220-1224.
2. Prescher G, Bornfeld N, Becher R. Nonrandom chromosomal abnormalities in primary uveal melanoma. J Natl Cancer Inst. 1990;82:1765-1769.
3. Aaberg TM Jr, Cook RW, Oelschlager K, Maetzold D, Rao PK, Mason JO 3rd. Current clinical practice: differential management of uveal melanoma in the era of molecular tumor analyses. Clin Ophthalmol. 2014;8:2449-2460.
4. Shields CL, Ganguly A, Bianciotto CG, Turaka K, Tavallali A, Shields JA. Prognosis of uveal melanoma in 500 cases using genetic testing of fine-needle aspiration biopsy specimens. Ophthalmology. 2011;118:396-401.
5. Onken MD, Worley LA, Char DH, et al. Collaborative Ocular Oncology Group report number 1: prospective validation of a multi-gene prognostic assay in uveal melanoma. Ophthalmology. 2012;119:1596-1603.
6. Damato EM, Damato B, Sibbring JS, Coupland SE. Ciliary body melanoma with partial deletion of chromosome 3 detected with multiplex ligation-dependent probe amplification. Graefes Arch Clin Exp Ophthalmol. 2008;246:1637-1640.
7. White VA, McNeil BK, Horsman DE. Acquired homozygosity (isodisomy) of chromosome 3 in uveal melanoma. Cancer Genet Cytogenet. 1998;102:40-45.
8. Klufas MA, Itty S, McCannel CA, Glasgow BJ, Moreno C, McCannel TA. Variable results for uveal melanoma-specific gene expression profile prognostic test in choroidal metastasis. JAMA Ophthalmol. 2015;133:1073-1076.
9. Correa ZM, Augsburger JJ. Sufficiency of FNAB aspirates of posterior uveal melanoma for cytologic versus GEP classification in 159 patients, and relative prognostic significance of these classifications. Graefes Arch Clin Exp Ophthalmol. 2014;252:131-135.
10. Insurance coverage. Castle Biosciences Web site. Available at: http://castlebiosciences.com/patient-resources/insurance-coverage/. Accessed September 15, 2015.
11. Cook SA, Damato B, Marshall E, Salmon P. Psychological aspects of cytogenetic testing of uveal melanoma: preliminary findings and directions for future research. Eye (Lond). 2009;23:581-585.







