EDI- and SS-OCT Imaging of the Choroid
The latest developments offer us more intricate imaging of the choroid than ever before.
ELLA H. LEUNG, MD • RICHARD B. ROSEN, MD
Choroidal imaging via optical coherence tomography has become an important clinical tool over the past few years, largely as a result of advanced techniques that have opened new vistas beyond the barrier of the retinal pigment epithelium.
Enhanced depth imaging (EDI)OCT moves the imaging focal point of spectral-domain OCT (the zero-delay line) more posteriorly, allowing for a stronger returning reflection from the choroid, resulting in better definition of details.1
Swept-source (SS)-OCT employs a tunable laser at speeds of 100,000 to 236,000 A-scans/sec, providing for expanded tissue penetration roughly double that of SD-OCT.2 While good reproducibility exists between EDI- and SS-OCT in normal eyes, SS-OCT has greater tissue penetration.3
EDI- and SS-OCT imaging have expanded our knowledge of the changes in choroidal anatomy, altering the way we think about the role of the choroid in a number of retinal disorders.
The choroid appears thicker in a number of conditions, including central serous retinopathy, polypoidal choroidal vasculopathy, central retinal vein occlusion, Vogt-Koyanagi-Harada disease (VKH), Behçet’s disease, multiple evanescent white dot syndromes (MEWDS), posterior scleritis, sarcoidosis, pregnancy, nanophthalmos, scleral buckling, sildenafil (Viagra/Revatio, Pfizer, New York, NY) use, and excessive water consumption.
Ella H. Leung, MD, is an ophthalmology resident at New York Eye & Ear Infirmary in New York, NY. Richard B. Rosen, MD, is vice chair, surgeon director, and director of ophthalmology research at New York Eye & Ear Infirmary. Neither author reports any financial interests in products mentioned here. Dr. Rosen’s e-mail address is RRosen@nyee.edu.
The choroid becomes thinner in age-related macular degeneration, pathologic myopia, retinitis pigmentosa (RP), age-related choroidal atrophy (ARCA), and macular holes, as well as following radiation, resolution of uveitis, and ingestion of coffee. Variable changes can occur in diabetes and glaucoma. Previous studies have also elucidated the in vivo morphologic characteristics of choroidal neoplasms (Table 1, page 52).
| CATEGORY | SFCT (DISEASE VS CONTROLS) | # EYES (STUDY VS CNTL) | AGE (YEARS) | REFRACTIVE ERROR | OCT | NOTES | REF |
|---|---|---|---|---|---|---|---|
| NORMAL | |||||||
| Adults | 253.8 µm | 3233 | 64.6 | -0.18 D | EDI | 4 | |
| Mean volume=0.228 mm3 | 176 | 50 | 24.6 mm | SS | ↓0.54 mm3/10 yrs
↓0.55 mm3/1 mm AL |
7 | |
| Children | Children=260.4 µm (volume=0.205 mm3)
Adults=206.1 µm (0.160 mm3) |
100 vs 83 | 7.9 vs 54.5 | 23.1 mm | SS | 8 | |
| Diurnal | 278.28 µm at 8 am → 264 µm at 5 pm | 100 | 30.1 | -3.27 D | EDI | 10 | |
| DEGENERATIONS | |||||||
| Dry AMD | Stage I Avg SFCT=266.68 µm (n=28)
Stage II=263.34 µm (n=48) Stage III=200.55 µm (n=71) Stage IV=188.34 µm (n=29) |
176 | 59-72.1 | -- | EDI | 32 | |
| Neovascular AMD and retinal angiomatous proliferation (RAP) | AMD=239 µm vs RAP=227 µm (P=.37) | 204 (154 wet, 50 dry) vs 189 | 77.6 | +0.19 D | EDI | 33 | |
| Wet AMD=184.9 µm
RAP=139 µm |
24 AMD vs 20 RAP | 74-76 | +0.78 D vs +0.56 D | EDI | 34 | ||
| Retinitis pigmentosa | RP=215.60 µm vs controls=336.6 µm | 67 vs 35 | 55 | -3.75 D to +1.75 D | EDI | Avg 27 years of disease | 41 |
| Age-related choroidal atrophy (ARCA) | Choroidal thinning | 28 | 80.6 | -- | EDI | ↓choroidal vessels ↑remaining vessels | 1 |
| AXIAL LENGTH | |||||||
| Myopia | 113.3 μm vs 172.9 μm | 35 | 57 | -10.9 D | EDI | 37 | |
| 284 µm | 75 | 62.3 | -8 D | EDI | 38 | ||
| Thicker more likely to resolve after one anti-VEGF infection (67.3 µm vs 44.5 µm In those less likely to resolve)
Thicker less likely to recur (52.0 µm vs 35.7 µm in recurrent) |
52 | 54 | -12.4 D | EDI | 40 | ||
| Nanophthalmos | 551.3 µm vs 330.5 µm | 31 vs 31 | 16-21 | +10.6 D | EDI | 27 | |
| Uveal effusion syndrome | 787 µm | 1 | 41 | -- | EDI | 28 | |
| VASCULAR | |||||||
| Central serous retinopathy (CSR) | 478 µm vs unaffected contralateral eye=350 µm | 35 acute vs 33 chronic | 44.5 | -- | EDI | Thinned layers, ↑ hypo-reflective lumina | 11 |
| Baseline=421 µm → PDT → 346 µm | 16 | 50 | 0.03 D | EDI | 13 | ||
| Polypoidal choroidal vasculopathy (PCV) | PCV=338 µm vs controls=261 µm | 18 vs 19 | 63.2 | 0.31 D | EDI | ↑Choroidal vessel diameters (PCV=236 µm vs cntl=137 µm) | 14 |
| Diabetes (type 2) | No DR (n=40)=262.3 µm
Mild/mod NPDR (n=47)=244.6 µm Severe NPDR (n=72)=291.1 µm PDR (n=36)=363.5 µm PDR s/p PRP (n=40)=239.9 µm |
235 | 62.6 | -- | EDI | 42 | |
| NPDR=238.4 µm
NPDR without CME=207.0 µm NPDR with CME=190.8 µm Controls=309.8 µm |
63 | 65 | -0.29 D | EDI | 43 | ||
| Diabetes (type 1) | NPDR=375.3 µm vs controls=356.4 µm | 42 vs 21 | 13.5 | 0.0006 D | EDI | Avg 4.19 years DM (HbA1c=9.7) | 44 |
| 1-9 years of disease=288.12 µm
10-14 years=283.61 µm 15-40 years=295.58 µm |
134 | 57.45 | -- | EDI | 45 | ||
| DR=303 µm vs NPDR=291 µm vs controls=388 µm | 33 | 38 | 23.37-24.2 mm | SS | 46 | ||
| Central retinal vein occlusion (CRVO) | CRVO=257.1 µm vs controls=222.6 µm | 36 | 66 | 23.2 mm | EDI | Tx group=266.9 µm → bevacizumab → 227.7 µm | 16 |
| INTERVENTIONS | |||||||
| Ranibizumab | AMD (n=20)=217.4 µm → 215.1 µm (P=.586)
PCV (n=20)=230.8µm → 227.4 µm (P=.138) Myopic CNV (n=20)=53.6 µm → 51.9 µm (P=0.348) |
60 | 71.1 | +1.54 D | EDI | 35 | |
| Neovascular AMD=244 µm → 226 µm (P=.002)
Unaffected eye=237 µm → 238 µm (P=0.78) |
40 | 70.7 | 0.13 D | EDI | 15 | ||
| Laser (PRP) | Very severe NPDR (n=11), PDR (n=17): 318.1 µm → 349.9 µm, P=.001) | 28 | 53.5 | -0.27 D | EDI | 30 | |
| Scleral buckle | 260.9 µm vs 217.5 µm fellow eye | 48 | 59.6 | -- | EDI | Mac off RD, 7-22 mths after SBP | 29 |
| Photodynamic therapy (PDT) | Spontaneous resolution (n=16)= 459.16 µm → 419.31 µm (P=.015)
PDT (n=20)= 416.43 µm → 349.50 µm (P<.001) |
36 vs 32 | 45-48.9 | -0.33 to -1.14 D | EDI | 12 | |
| PREGNANCY | |||||||
| Pregnancy | 371.1 µm vs controls=337.2 µm (P<.001) | 100 | 28.6-30 | -0.04 D | EDI | 24 | |
| Pre-eclampsia | Pre-eclampsia women (n=33)= 333.8 µm
Pregnant (n=46)=368.6 µm Nonpregnant (n=40)=334.8 µm |
119 | 30.5 | -0.31 D | EDI | 26 | |
| Key: AL=axial length; Cntl=control; Ref=refractive | |||||||
NORMAL VALUES
A large population study of 3,233 adults, whose average age was 64.6 years, found that the average subfoveal choroidal thickness (SFCT) was approximately 253.8 µm. The thickness decreased by 4.1 µm per year of life.4
Other EDI- and SS-OCT studies have found SFCTs ranging between 191.5 and 354 µm, depending on the subjects’ ages.2,4,5 The choroid appeared to decrease by 1.56-5.4 µm per year after 30-60 years of age.6 Choroidal volume decreased by 0.54 mm3 for every decade of life and by 0.56 mm3 for every diopter of myopia.7 In children younger than 18 years old, the average SFCT on SS-OCT was 260.4 µm.8 In newborns, the choroidal thickness was 329 µm.9
Diurnal Variation
The choroidal thickness may vary depending on the time of day. In 100 eyes of 30-year-olds with an average of -3.27 D of myopia, the choroid decreased by 10-40 µm at night. The fluctuation was greater in eyes with thicker baseline choroidal thicknesses and shorter axial lengths.10
ACUTE CHOROIDAL EXPANSION
The choroid thickens acutely in vascular disorders such as CSR, PCV, and CRVO; in inflammatory processes like VKH, Behçet’s, MEWDS, posterior scleritis, and sarcoiditis (Table 2, page 60); or in physiologic or pharmacologic conditions like pregnancy, nanophthalmos, scleral buckling, sildenafil use, and excessive water consumption.
| OCULAR INFLAMMATION | EDI-OCT FINDINGS | # EYES (STUDY VS CNTL) | AGE (YRS) | REF |
|---|---|---|---|---|
| Vogt-Koynagi Harada (VKH) | - Acute=388.5 µm → Convalescent=303.5 µm | 12 | 39 | 17 |
| - Acute=805 µm → Convalescent=341 µm | 16 | 36.4 | 18 | |
| Birdshot chorioretinopathy | - Hyporeflective choroidal infiltrates (larger than appearance) | 1 | 61 | 1 |
| Multifocal choroiditis | - Acute: sub-RPE lesions and outer retinal infiltration
- Mound-like, homogenous, moderately reflective lesion |
1 | 84 | 1 |
| Behçet's | - Acute: 398.77 µm → Quiescent: 356.72 µm (P=.004) vs normal=259.96 µm | 30 vs 30 | 47 | 20 |
| Idiopathic panuveitis | - SFCT=233.7 µm (decreased lumen in Haller’s large vessel layer=167.8 µm) | 21 | 47.7 | 23 |
| Toxoplasmosis retinochoroiditis | - Hyper-reflective dots in vitreous, retina, choroid
- Thickened underlying choroid, RPE disruption |
1 | 21 | 1 |
| Acute posterior scleritis | - SFCT=548 µm vs 202 µm in fellow eye
- Prednisone → 226 µm |
2 | 61.5 | 22 |
| MEWDS | - 372 µm → 307 µm after 8 months | 1 | 23 | 28 |
Over time, the choroid may return to normal thickness following treatment or with spontaneous resolution of disease.
Central Serous Retinopathy
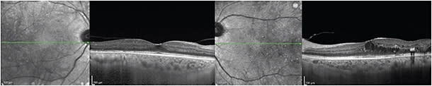
The choroid is thicker in CSR (Figure 1) than in normal eyes (414-478 µm vs 248 µm, respectively), and the choroidal vascular lumens appear enlarged.11 In chronic CSR, a “double layer sign” may appear, with an undulating RPE layer, hyporeflective middle layer, and intact Bruch’s membrane.11
Figure 1. Central serous retinopathy. A healthy 28-year-old man complained of metamorphopsia for five days after undergoing a tooth extraction. On examination, he had BCVA of 20/20 OD and 20/40 OS and an elevated macula on dilated fundus examination. EDI-OCT exhibited prominent subretinal fluid and thickened choroids in both the affected and unaffected eyes.
CREDIT: ALL IMAGES, PATRICIA GARCIA, MD
The unaffected fellow eye may also be thickened. With indocyanine green angiography, up to 65% of patients demonstrate hyperpermeability in the contralateral eye, which may account for the 20-30% incidence of bilateral disease in longitudinal observational studies.11,12
After spontaneous resolution of CSR, the choroidal thickness decreases but does not return to normal. Photodynamic therapy causes a greater change than spontaneous resolution; studies have shown initial swelling of approximately 58 µm, followed by a reduction to normal thickness. Laser photocoagulation did not significantly affect choroidal thickness.12,13
Polypoidal Choroidal Vasculopathy
The branching vascular network of PCV also produces a double layer sign on OCT, but with two hyper-reflective layers and an undulating RPE layer. Similar to CSR, the large choroidal vascular lumens and the SFCT in PCV are greater than in controls (338 µm vs 261 µm, P=.017). Further, the SFCT in the contralateral eye is thicker than normal.14
Eyes with PCV treated with intravitreal ranibizumab (Lucentis, Genentech, South San Francisco, CA) decreased in thickness over time, by an average of 18 µm over 12 months.15
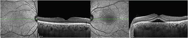
Retinal Vein Occlusion
In a study of ischemic and nonischemic CRVO in 36 patients, the choroid appeared thicker compared to the fellow eye (257.1 µm vs 222.6 µm), possibly due to vascular dilatation and increased VEGF-related vascular permeability.
Following intravitreal bevacizumab (Avastin, Genentech) injection, choroidal thickness returned to the level of the unaffected contralateral eye (Figure 2).16
Figure 2. Branch RVO with macular edema. A 73-year-old woman with a past medical history of hypertension who presented seven years earlier with decreased VA of 20/80 in the right eye and underwent panretinal photocoagulation and three intravitreal injections of bevacizumab. She later developed a macula-off retinal detachment and underwent pars plana vitrectomy, subretinal fluid drainage, endolaser, and C3F8 injection. The patient subsequently developed a superior vein occlusion with macular edema in the left eye three years ago; her vision decreased to 20/200, and she received three injections of intravitreal bevacizumab and one of intravitreal triamcinolone. Note the generalized thinning of the choroid in both eyes.
Vogt-Koyanagi-Harada disease
In acute and convalescent VKH, choroidal thickening increased from an average of 287 µm in controls to 424-805 µm in eyes with VKH. Serous retinal detachments also occurred, as well as inflammatory infiltrates that compressed the pericapillary arterioles and venules. Severity of disease appeared to correlate with the degree of increased choroidal thickness.17
Steroids decreased choroidal thickness by 58%, but it returned to normal levels after one month.18 Over time, choroidal thickness continued to decrease, with concurrent loss of small inner choroidal vessels, RPE atrophy, stromal scarring, and a return of hyper-reflective dots.17 In a study of VKH in 30 eyes over 68 months, the choroid decreased by 1.12 µm for every month of disease.19
Behçet’s disease
In Behçet’s disease, subfoveal choroidal thickness increased acutely to 398.77 µm, possibly due to leukocyte infiltration, vascular inflammation and leakage, and increased blood flow.
In the quiescent phase, less leakage occurred on ICGA, and the choroidal thickness decreased to 356.72 µm; however, the still thickened choroid may suggest subclinical inflammation. The unaffected contralateral eye also had a thicker baseline choroid.20
Uveitis and Other Entities
The morphologic characteristics of uveitic lesions have been described on EDI-OCT. The hypopigmented lesions in birdshot chorioretinopathy appear as hyporeflective choroidal infiltrates that are larger than their fundus appearance. Multifocal choroiditis appears as sub-RPE lesions with outer retinal infiltration. Toxoplasmosis appear as hyper-reflective dots with a thickened underlying choroid and RPE disruption.1
In acute uveitis, the choroid generally thickens. In MEWDS, the choroid acutely thickened and then decreased by 65 µm after eight months.28 In posterior scleritis, the choroid increased to 316-480.3 µm.22
Over time, the choroid becomes thinner. A study of 21 cases of idiopathic panuveitis, with an average of 78.4 months of disease, showed a decreased average choroidal thickness and decreased Haller’s large vessel layer compared to that of the fellow eye or normal eyes.23
Pregnancy
Pregnancy increases cardiac output 40%. A study of 100 healthy pregnant women, at 27 weeks of gestation, showed a 33.9-µm increase in SFCT compared to age-matched controls.24 A smaller study of 25 women at 31 weeks found no change in SFCT in pregnancy.25
In pre-eclampsia, choroidal arteriole spasms may result in ischemia, thrombosis, infarctions, vascular permeability, and serous exudation.24,26 These changes may contribute to the finding of a thinner choroid in patients suffering from pre-eclampsia (333.8 µm).26
Nanophthalmos
In a study of 31 nanophthalmic eyes, the choroid was thicker than in controls (551.3 µm vs 330.5 µm).27 For every 1 D of hyperopia, the choroid increased by 30 µm (r=-0.836).4 The choroid swelled to 787 µm in uveal effusion syndrome.28
Scleral Buckling
Scleral buckling procedures (SBP) with 360° encircling bands increased choroidal thickness for seven months postoperatively (260.9 µm vs 217.5 µm).29 The increase may have been due to changes in circulation or anastomoses.
On laser Doppler flow, decreased subfoveal flow occurred after SBP and PRP, which may have resulted in hemostasis, increasing choroidal blood pressure, and choroidal thickness.37,38 In segmental buckling, the subfoveal choroid increased for one week postoperatively but returned to normal by one month after surgery.29
CHOROIDAL THINNING
Studies have linked caffeine consumption and degenerative processes, such as pathologic myopia, RP, ARCA, MH, and radiation, to choroidal thinning.
Macular Degeneration
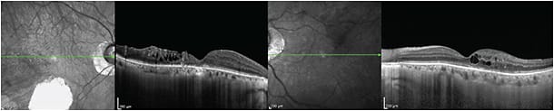
In early AMD, abnormal blood flow, choriocapillaris thinning, and drusen are thought to contribute to thinner than average choroids (115 µm).32 As the disease progresses, the choroidal thickness increases in late AMD and neovascular AMD (239 µm), and then it decreases with the onset of geographic atrophy (Figure 3).33
Figure 3. Macular degeneration. A 78-year-old man presented with gradually decreasing VA in both eyes for five years. Both eyes exhibit geographic atrophy with atrophy of the retina and thinning of the underlying choroid. The thinned retina allows for increased light penetration into the choroid.
A thinner baseline choroid in eyes that developed geographic atrophy was associated with a more rapid progression of disease (1.47 mm2/year) and with worse visual acuity.32 The choroid also appeared thinner in eyes that developed retinal angiomatous proliferation, compared to those with wet AMD.34
Anti-VEGF injections produced little or no reduction in choroidal thickness. A study comparing 20 AMD patients, 20 PCV patients, and 20 myopic CNV patients found choroid thickness remained unchanged following three monthly injections of ranibizumab over 8.4 months of follow up, regardless of etiology.35
Other studies estimated a 15- to 30-µm decrease, with an average decrease of 0.89-0.93 µm/month. The amount of change did not correlate with the number of injections.36
Myopia
The choroid is thinner in myopia, decreasing by 6.2-16 µm for each diopter of myopia and by 32 µm for each 1 mm increase in axial length.4,37 Passive stretching accounts for only 6% choroidal thinning; the 16% thinning in myopic children suggests that the choroid may contribute to myopic development.38 During accommodation, the subfoveal choroid may transiently become thinner in myopes.39
In myopic eyes that develop CNV, those with thicker baseline choroidal thickness were more likely to resolve after one injection of anti-VEGF therapy (67.3 µm vs 44.5 µm, P=.002). Eyes with subfoveal choroidal thickness less than 47.5 µm were 5.6 times more likely to develop recurrent neovascularization.40
Retinitis Pigmentosa
Retinitis pigmentosa produces atrophy of both the retina and underlying choroid, with decreased choroidal blood flow and velocity. A study of 67 eyes with an average of 27 years of RP showed thinner choroids than controls (215.6 µm vs 336.60 µm) (Figure 4, page 58).41
Figure 4. Retinitis pigmentosa. A 48-year-old man with a history of RP for more than 30 years had VA of finger counting OD and 20/20 OS, with severely constricted visual fields in both eyes. The patient has two sisters with RP as well. Diffuse retinal and choroidal atrophy in both eyes appear on EDI-OCT.
Age-related Choroidal Atrophy
ARCA, as Spaide et al had described it, is a disease characterized by the loss of medium-sized choroidal vessels and choroidal thinning out of proportion to age-matched adults. VA is usually preserved.1
VARIABLE CORRELATION
Choroidal thickness may vary depending on the stage of diabetes or the type of glaucoma.
Diabetic Eyes
Eyes with early diabetic retinopathy may have slightly thinner or normal choroidal thickness, which increases in thickness with disease progression (Figure 5, page 58) and then thins after laser photocoagulation. In macular edema, the choroid may be thicker, thinner, or the same.42,43
Figure 5. Proliferative diabetic retinopathy with cystoid macular edema in a 53-year-old man with a history of diabetes for more than 20 years and BCVA of 20/40 OD and 20/30 OS. The patient underwent three intravitreal injections of bevacizumab and focal laser in the left eye. The underlying choroid is thickened under the areas of retinal edema.
Glaucoma
Six days following an attack of acute angle closure, the choroid was 41 µm thicker than the fellow eye, possibly due to choroidal effusion or an underlying increased choroidal thickness.31 Changes in the choroid, lamina cribosa, and peripapillary areas in chronic glaucoma are currently the subject of investigations using EDI-OCT.
In a study of 246 diabetes patients by Xu et al (23 with diabetic retinopathy, 70% with mild nonproliferative DR) and in a study of 63 diabetes patients by Querques et al (21 without retinopathy, 21 NPDR with cystoid macular edema and 21 NPDR without CME), no difference appeared in SFCT between control eyes and diabetes patients with and without macular edema.43
Similarly, a study of 42 children with type 1 diabetes without retinopathy found similar SFCT in diabetes patients and controls.44 Yülek et al examined 134 diabetes patients without DR and found a weak correlation between duration of diabetes and SFCT: 288.12 µm in those with one to nine years of diabetes (P=.82), 283.61 µm in 10-14 years (P=.04), and 295.58 µm in 15-40 years (P=.62).45
Kim et al examined 235 eyes and found the choroid increased with disease severity (no DR=262.3 µm, mild/moderate NPDR=244.6 µm, severe NPDR=291.1 µm, PDR=363.5 µm).42 In older type 1 diabetes patients, the choroid was thinner than in controls regardless of disease duration.46 PRP can cause an acute 30-µm rise in choroidal thickness one week after treatment.30 Over time, however, decreased VEGF production and scarring may result in decreased choroidal blood flow and thinner choroids (163 µm vs 232 µm).42,43
NEOPLASMS
Benign Neoplasms
EDI-OCT has been especially helpful in revealing the in vivo features of choroidal neoplasms (Table 3). A choroidal nevus appears as a mound arising from the outer choroid, compressing the choriocapillaris and shadowing deeper choroidal structures.
| NEOPLASMS | EDI-OCT FINDINGS | # EYES | REF |
|---|---|---|---|
| Choroidal nevus | - Originate in outer choroid, compresses choriocapillaris, choroidal shadowing
- 43% photoreceptor loss, 8% RPE detachment, 37% IS/OS irreg., half show RPE atrophy and drusen - Fresh SRF: shaggy photoreceptors → chronic: stalactite → very chronic: retracted photoreceptors |
23 | 47,49 |
| Choroidal melanoma | - Highly reflective band in anterior choroid, choroidal shadowing, compresses choriocapillaris, shaggy photoreceptors
- 92% SRF, 95% lipofuscin, 16% retinal edema |
37 | 47,49 |
| Choroidal metastasis | - Irregular “lumpy-bumpy” contour, choriocapillaris compression, low reflective mass, photoreceptor loss, SRF, macrophages with lipofuscin
- SRF, anterior displacement of photoreceptors, hyper-reflective thickened RPE-choriocapillaris - Hyporeflective, deep choroidal band, enlarged suprachoroidal space |
31,23 | 47,49 |
| Choroidal melanocytosis | - Subfoveal choroidal mass, ↑perivascular stromal tissue, normal inner retina, compressed choriocapillaris, 51% thicker perivascular interstitital tissue
- 23% thicker SFCT (326.4 µm vs 264.4 µm in other eye) |
15 | 48 |
| Choroidal hemangioma (Sturge-Weber, focal) | - No choriocapillaris compression (may be expanded), smooth, optical shadowing, indistinct margins, peripheral tumor
- Medium-low reflective bland, intrinsic spaces, outer portion hyper-reflective |
23 | 47,49 |
| Choroidal lymphoma | - Undulating contour (<1.7 mm thick: placid, 2.8 mm: ripple, 4.1 mm: seasick/wavy “rough seas”)
- SRF or intraretinal fluid |
14 | 47 |
| Congenital hypertrophy of the RPE (CHRPE) | - Flat, photoreceptor loss, normal underlying choroid, No SRF, 1/3: subretinal cleft | 18 | 47 |
| Retinoblastoma | - Exophytic mass with normal surrounding retina | 1 | 47 |
| Lymphoid hyperplasia | - Smooth, homogenous, thickened, low reflective choroidal lesion, optical shadowing of choroidal vessels | 1 | 1 |
Almost half of all nevi show RPE atrophy and drusen or photoreceptor loss. Fresh subretinal fluid is associated with a “shaggy” appearance of photoreceptors, chronic fluid with a stalactite appearance, and very chronic fluid with photoreceptor retraction.
Melanotic nevi are hyper-reflective on OCT.47 Choroidal melanocytosis causes choriocapillaris compression, a 23% thicker choroid, 51% thicker perivascular interstitial tissue, and a normal inner retina.48
Congenital hypertrophy of the RPE (CHRPE) lesions appear flat, with photoreceptor loss and a normal underlying choroid; one-third may show a subretinal cleft.47 Choroidal hemangiomas are smooth, low-medium reflective masses with intrinsic spaces that may cause optical shadowing and choriocapillaris expansion.47
Malignant Neoplasms
Malignant lesions have also been described. Choroidal melanomas are highly reflective lesions that cause choroidal shadowing, choriocapillaris compression, and shaggy photoreceptors. They appear thicker and are more often associated with subretinal fluid, subretinal lipofuscin, and shaggy overlying photoreceptors than choroidal nevi.47
Retinoblastomas appear as exophytic masses with normal surrounding retina.47 Choroidal lymphoma appears as undulating masses with subretinal fluid; those less than 1.7 mm thick appear placid, those 2.8 mm thick appear to ripple, and those 4.1 mm thick have a wavy appearance.47
Choroidal metastases are low reflective, irregular masses that cause photoreceptor loss, subretinal fluid accumulation, a hyper-reflective RPE-choriocapillaris complex, and lipofuscin deposition.47,49
DISCUSSION
The choroid is a dynamic tissue that may be affected by age, axial length, and refractive error. The highly vascular tissue is vulnerable to intraocular and systemic diseases and alterations in hemodynamics and autoregulation.
In young, healthy individuals, the choroid may be able to resist any significant changes in choroidal blood flow, but when the health of the eye is compromised, the ocular perfusion pressure, choroidal blood flow, and choroidal thickness may be affected.50 Future advancements in combining OCT images with Doppler flow maps may help establish the correlation between vascular flow and choroidal thickness.
The value of choroidal examination will continue to grow as we become more familiar with disease findings on EDI- and SS-OCT. Choroidal neoplasms are better visualized on EDI and SS OCTs than with traditional imaging technology, such as B-scan ultrasound. Subtle growth of tumors can be monitored, and the morphologic characteristics of the lesions help guide diagnoses.
For instance, choroidal melanomas appear thicker and are more highly associated with shaggy photoreceptors than choroidal nevi on EDI-OCT.47 Definitive diagnosis, however, depends on histopathology.
Choroidal measurements can be used to monitor disease progression and treatment response. In CSR, PCV, VKH, and Behçet’s, the choroid becomes acutely thickened in active disease and then thinner as disease activity diminishes. Spaide et al have proposed using choroidal thickness to guide titration of corticosteroids or immunomodulatory therapy in inflammatory conditions.1 Prospective, controlled studies will help to elucidate this potential clinical application.
Additionally, as retinal prostheses become a clinical reality, choroidal thickness measurements will be important in implanted suprachoroidal electrode arrays to treat diseases such as RP.41
Baseline choroidal thickness may also help to predict clinical course. Highly myopic eyes with thinner choroids appear more likely to develop recurrent CNV.40 AMD patients with thinner baseline choroids experience more rapid progression of macular degeneration and GA.32 These patients should receive closer monitoring.
CONCLUSION
Despite all of its potential prognostic significance, the choroid is only a single component of the visual system, and choroidal thickness determinations are often based upon measurements of single OCT slices. En face choroidal maps and average choroidal volumes, which 3D-OCT and SS-OCT can generate, may be more representative of the complex changes which occur in different diseases.
SS-OCT, with its deeper penetration, greater range of focus and higher speed, may eventually become the tool of choice for more comprehensive choroidal characterization, especially as options for treating choroidal disease become available.
While PCV, CSR, and acute uveitis currently appear to be the diseases most likely to benefit from choroidal topographic mapping, others may come to the forefront as improvements in technology increase our capabilities and understanding of disease. RP
REFERENCES
1. Mrejen S, Spaide RF. Optical coherence tomography: imaging of the choroid and beyond. Surv Ophthalmol. 2013;58:387-429.
2. Copete S, Flores-Moreno I, Montero JA, Duker JS, Ruiz-Moreno JM. Direct comparison of spectral-domain and swept-source OCT in the measurement of choroidal thickness in normal eyes. Br J Ophthalmol. 2014;98:334-338.
3. Branchini L, Regatieri CV, Flores-Moreno I, Baumann B, Fujimoto JG, Duker JS. Reproducibility of choroidal thickness measurements across three spectral domain optical coherence tomography systems. Ophthalmology. 2012;119:119-123.
4. Wei WB, Xu L, Jonas JB, et al. Subfoveal choroidal thickness: the Beijing Eye Study. Ophthalmology. 2013;120:175-180.
5. Hirata M, Tsujikawa A, Matsumoto A, et al. Macular choroidal thickness and volume in normal subjects measured by swept-source optical coherence tomography. Invest Ophthalmol Vis Sci. 2011;52:4971-4978.
6. Fujiwara A, Shiragami C, Shirakata Y, Manabe S, Izumibata S, Shiraga F. Enhanced depth imaging spectral-domain optical coherence tomography of subfoveal choroidal thickness in normal Japanese eyes. Jpn J Ophthalmol. 2012;56:230-235.
7. Barteselli G, Chhablani J, El-Emam S, et al. Choroidal volume variations with age, axial length, and sex in healthy subjects: a three-dimensional analysis. Ophthalmology. 2012;119:2572-2578.
8. Nagasawa T, Mitamura Y, Katome T, et al. Macular choroidal thickness and volume in healthy pediatric individuals measured by swept-source optical coherence tomography. Invest Ophthalmol Vis Sci. 2013;54:7068-7074.
9. Moreno TA, O’Connell RV, Chiu SJ, et al. Choroid development and feasibility of choroidal imaging in the preterm and term infants utilizing SD-OCT. Invest Ophthalmol Vis Sci. 2013;54:4140-4147.
10. Lee SW, Yu SY, Seo KH, Kim ES, Kwak HW. Diurnal variation in choroidal thickness in relation to sex, axial length, and baseline choroidal thickness in healthy Korean subjects. Retina. 2014;34:385-393.
11. Yang L, Jonas JB, Wei W. Choroidal vessel diameter in central serous chorioretinopathy. Acta Ophthalmol. 2013;91:e358-362.
12. Kang NH, Kim YT. Change in subfoveal choroidal thickness in central serous chorioretinopathy following spontaneous resolution and low-fluence photodynamic therapy. Eye (Lond). 2013;27:387-391.
13. Pryds A, Larsen M. Choroidal thickness following extrafoveal photodynamic treatment with verteporfin in patients with central serous chorioretinopathy. Acta Ophthalmol. 2012;90:738-743.
14. Yang LH, Jonas JB, Wei WB. Optical coherence tomographic enhanced depth imaging of polypoidal choroidal vasculopathy. Retina. 2013;33:1584-1589.
15. Yamazaki T, Koizumi H, Yamagishi T, Kinoshita S. Subfoveal choroidal thickness after ranibizumab therapy for neovascular age-related macular degeneration: 12-month results. Ophthalmology. 2012;119:1621-1627.
16. Tsuiki E, Suzuma K, Ueki R, Maekawa Y, Kitaoka T. Enhanced depth imaging optical coherence tomography of the choroid in central retinal vein occlusion. Am J Ophthalmol. 2013;156:543-7.e1.
17. Fong AH, Li KK, Wong D. Choroidal evaluation using enhanced depth imaging spectral-domain optical coherence tomography in Vogt-Koyanagi-Harada disease. Retina. 2011;31:502-509.
18. Maruko I, Iida T, Sugano Y, Oyamada H, Sekiryu T, Fujiwara T, Spaide RF. Subfoveal choroidal thickness after treatment of Vogt-Koyanagi-Harada disease. Retina. 2011;31:510-517.
19. da Silva FT, Sakata VM, Nakashima A, etc. Enhanced depth imaging optical coherence tomography in long-standing Vogt-Koyanagi-Harada disease. Br J Ophthalmol. 2013;97:70-74.
20. Kim M, Kim H, Kwon HJ, Kim SS, Koh HJ, Lee SC. Choroidal thickness in Behcet’s uveitis: an enhanced depth imaging-optical coherence tomography and its association with angiographic changes. Invest Ophthalmol Vis Sci. 2013;54:6033-6039.
21. Hua R, Chen K, Liu LM, Liu NN, Chen L, Teng WP. Multi-modality imaging on multiple evanescent white dot syndrome-A Spectralis Study. Int J Ophthalmol. 2012;5:644-647.
22. Hirukawa K, Keino H, Watanabe T, Okada AA. Enhanced depth imaging optical coherence tomography of the choroid in new-onset acute posterior scleritis. Graefes Arch Clin Exp Ophthalmol. 2013;251:2273-2275.
23. Karampelas M, Sim DA, Keane PA, et al. Choroidal assessment in idiopathic panuveitis using optical coherence tomography. Graefes Arch Clin Exp Ophthalmol. 2013;251:2029-2036.
24. Kara N, Sayin N, Pirhan D, et al. Evaluation of subfoveal choroidal thickness in pregnant women using enhanced depth imaging optical coherence tomography. Curr Eye Res. 2014;39:642-647.
25. Takahashi J, Kado M, Mizumoto K, Igarashi S, Kojo T. Choroidal thickness in pregnant women measured by enhanced depth imaging optical coherence tomography. Jpn J Ophthalmol. 2013;57:435-439.
26. Sayin N, Kara N, Pirhan D, et al. Subfoveal choroidal thickness in preeclampsia: comparison with normal pregnant and nonpregnant women. Semin Ophthalmol. 2014;29:11-17.
27. Demircan A, Altan C, Osmanbasoglu OA, Celik U, Kara N, Demirok A. Subfoveal choroidal thickness measurements with enhanced depth imaging optical coherence tomography in patients with nanophthalmos. Br J Ophthalmol. 2014;98:345-349.
28. Harada T, Machida S, Fujiwara T, Nishida Y, Kurosaka D. Choroidal findings in idiopathic uveal effusion syndrome. Clin Ophthalmol. 2011;5:1599-1561.
29. Odrobina D, Laudanska-Olszewska I, Gozdek P, Maroszynski M, Amon M. Influence of scleral buckling surgery with encircling band on subfoveal choroidal thickness in long-term observations. Biomed Res Int. 2013;586894.
30. Cho GE, Cho HY, Kim YT. Change in subfoveal choroidal thickness after argon laser panretinal photocoagulation. Int J Ophthalmol. 2013;6:505-509.
31. Huang W, Wang W, Gao X, et al. Choroidal thickness in the subtypes of angle closure: an EDI-OCT study. Invest Ophthalmol Vis Sci. 2013;54:7849-7853.
32. Lee JY, Lee DH, Lee JY, Yoon YH. Correlation between subfoveal choroidal thickness and the severity or progression of nonexudative age-related macular degeneration. Invest Ophthalmol Vis Sci. 2013;54:7812-7818.
33. Jonas JB, Forster TM, Steinmetz P, Schlichtenbrede FC, Harder BC. Choroidal thickness in age-related macular degeneration. Retina. 2014;34:1149-1155.
34. Kim JH, Kim JR, Kang SW, Kim SJ, Ha HS. Thinner choroid and greater drusen extent in retinal angiomatous proliferation than in typical exudative age-related macular degeneration. Am J Ophthalmol. 2013;155:743-749,749.e1-2.
35. Ellabban AA, Tsujikawa A, Ogino K, et al. Choroidal thickness after intravitreal ranibizumab injections for choroidal neovascularization. Clin Ophthalmol. 2012;6:837-844.
36. Yamazaki T, Koizumi H, Yamagishi T, Kinoshita S. Subfoveal choroidal thickness after ranibizumab therapy for neovascular age-related macular degeneration: 12-month results. Ophthalmology. 2012;119:1621-1627.
37. Nishida Y, Fujiwara T, Imamura Y, Lima LH, Kurosaka D, Spaide RF. Choroidal thickness and visual acuity in highly myopic eyes. Retina. 2012;32:1229-1236.
38. Hayashi M, Ito Y, Takahashi A, Kawano K, Terasaki H. Scleral thickness in highly myopic eyes measured by enhanced depth imaging optical coherence tomography. Eye (Lond). 2013;27:410-417.
39. Woodman EC, Read SA, Collins MJ. Axial length and choroidal thickness changes accompanying prolonged accommodation in myopes and emmetropes. Vision Res. 2012;72:34-41.
40. Ahn SJ, Woo SJ, Kim KE, Park KH. Association between choroidal morphology and anti-vascular endothelial growth factor treatment outcome in myopic choroidal neovascularization. Invest Ophthalmol Vis Sci. 2013;54:2115-2122.
41. Ayton LN, Guymer RH, Luu CD. Choroidal thickness profiles in retinitis pigmentosa. Clin Exp Ophthalmol. 2013;41:396-403.
42. Kim JT, Lee DH, Joe SG, Kim JG, Yoon YH. Changes in choroidal thickness in relation to the severity of retinopathy and macular edema in type 2 diabetic patients. Invest Ophthalmol Vis Sci. 2013;54:3378-3384.
43. Querques G, Lattanzio R, Querques L, et al. Enhanced depth imaging optical coherence tomography in type 2 diabetes. Invest Ophthalmol Vis Sci. 2012;53:6017-6024.
44. Sayin N, Kara N, Pirhan D, etc. Evaluation of subfoveal choroidal thickness in children with type 1 diabetes mellitus: an EDI-OCT study. Semin Ophthalmol. 2014;29:27-31.
45. Yülek F, Ugurlu N, Onal ED, et al. Choroidal changes and duration of diabetes. Semin Ophthalmol. 2014;29:80-84.
46. Esmaeelpour M, Brunner S, Ansari-Shahrezaei S, et al. Choroidal thinning in diabetes type 1 detected by 3-dimensional 1060 nm optical coherence tomography. Invest Ophthalmol Vis Sci. 2012;53:6803-6809.
47. Shields CL. EDI-OCT of intraocular tumors. Retin Today. 2013;December:62-65.
48. Pellegrini M, Shields CL, Arepalli S, Shields JA. Choroidal melanocytosis evaluation with enhanced depth imaging optical coherence tomography. Ophthalmology. 2014;121:257-261.
49. Torres VL, Brugnoni N, Kaiser PK, Singh AD. Optical coherence tomography enhanced depth imaging of choroidal tumors. Am J Ophthalmol. 2011;151:586-593.e2.
50. Sogawa K, Nagaoka T, Takahashi A, et al. Relationship between choroidal thickness and choroidal circulation in healthy young subjects. Am J Ophthalmol. 2012;153:1129-32.e1.







