Case Study
A Patient Improves With Switched Therapy
By Mathew W. MacCumber, MD, PhD
An 80-year-old white male presented with a 2-week history of loss of central vision in the right eye. Past ocular history was remarkable for cataract surgery with IOL placement OU in 2007. Past medical history was remarkable for smoking, diabetes mellitus and hypertension.
Visual acuity measured 20/100+1 OD and 20/25-2 OS. Fluorescein angiography revealed a subfoveal classic choroidal neovascular membrane with leakage OD. Figure 1 shows his OCT at baseline. He received three monthly bevacizumab injections OD with limited response in vision and on OCT, (Figures 2-3). He then received aflibercept OD. Despite missing a monthly appointment, the patient had noted improvement in vision at 2 months after injection, and the examination documented improvement in visual acuity and macular thickness on OCT (Figure 4).
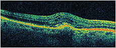
Figure 1. OD at baseline, VA 20/100+1, CMT 423.
Figure 2. OD, 1 month after two monthly bevacizumab injections, VA 20/100+1, CMT 342.
Figure 3. OD, 1 month after bevacizumab injection number three, VA 20/100-1, CMT 378.
Figure 4. OD, 2 months after aflibercept injection, VA 20/60+2, CMT 285.







