Postoperative Positioning Following RD Surgery
Post-op positioning can facilitate reattachment, but the proper position depends on the technique.
T. MARK JOHNSON, MD, FRCSC
Surgeons can achieve successful repair of rhegmatogenous retinal detachment by multiple interventions, including scleral buckle, pneumatic retinopexy, and vitrectomy (either with or without adjunct scleral buckle).
All of these techniques achieve anatomic success by: 1) repositioning the retina against the eye wall; 2) achieving adequate chorioretinal adhesion at the site of all retinal breaks; and 3) maintaining closure of all retinal breaks until adequate adhesion matures by offsetting vitreous traction.
Surgeons typically achieve chorioretinal adhesion with cryotherapy or laser. Cryotherapy does not produce any immediate adhesive effects. The strength of adhesion increases over several days and reaches maximal adhesion after 10-12 days.1 Laser achieves more rapid chorioretinal adhesion, with maximal adhesion obtained after approximately five days.2
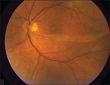
Figure. Patient with macular fold following 25-gauge primary repair of superior retinal detachment. The patient was positioned with the head upright immediately postoperatively.
COURTESY: G. BYRNES, MD
DIFFERENT TECHNIQUES
Extensive literature exists examining the relative success of various techniques of retinal detachment repair. The Pneumatic Retinopexy Study did not demonstrate a statistically significant difference in one-procedure success rate or final reattachment rate with either pneumatic retinopexy or scleral buckle. The study suggested a potential visual benefit with pneumatic retinopexy in patients with macula-involving detachments.3
Improvements in technology and instrumentation have led to rapid adoption of primary vitrectomy for primary retinal detachment. Medicare data indicate an 80% increase in the use of vitrectomy to repair retinal detachments and a corresponding 70% decrease in the use of scleral buckle since 1977.
The comparative literature on vitrectomy vs scleral buckle can be difficult to evaluate because of a lack of uniform inclusion criteria, including lens status, duration of detachment, and duration of detachment.
The Scleral Buckle versus Primary Vitrectomy in Rhegmatogenous Retinal Detachment Study (SPR Study) demonstrated a higher success rate in repair of pseudophakic retinal detachment with vitrectomy vs scleral buckle, supporting the trend toward greater use of primary vitrectomy.4
The increased utilization of retinal detachment repair techniques that employ gas tamponade has made postoperative positioning important in the care of patients. Decisions about positioning must consider the location of retinal breaks to achieve adequate tamponade and the potential impact of positioning on the patient
POSITIONING TO ACHIEVE REATTACHMENT
The increased popularity of pneumatic retinopexy and vitrectomy have made postoperative positioning more important in the care of patients with retinal detachment due to the use of intraocular gas as a tamponade.
Gas Tamponade
Gas tamponade aids in the repair of detachment by creating flotation and hydraulic forces that help to position the retina against the eye wall, as well as by generating the surface tension that creates a tamponade effect, which prevents fluid from passing through the retinal break, allowing the retinal pigment epithelium to absorb subretinal fluid.
Surgeons can achieve gas tamponade with air, sulfur hexafluoride (SF6), or perfluoropropane (C3F8). The properties of the gas (Table 1) dictate the surgeon’s choice, depending on the desired gas duration and bubble size. The number and location of retinal breaks will factor into this decision.
| Table 1. Properties of Available Gas Tamponades | |||||
|---|---|---|---|---|---|
|
GAS |
FINAL VOLUME TIME |
TIME TO FINAL VOLUME (HR) |
DURATION OF EFFECTIVE SIZE |
TOTAL DURATION |
NONEXPANSILE CONCENTRATION |
| Air | Injected volume | Immediately | 1-3 days | 1 week | N/A |
| SF6 | Doubles | 36 | 7-10 days | 10-12 days | 20% |
| C3F8 | Quadruples | 72 | 4-5 weeks | 6 week | 14% |
In general, smaller-volume, shorter-duration gas tamponade can adequately support superior breaks, while larger-volume, longer-term tamponade can support inferior breaks. In one nonrandomized study of 524 retinal detachments managed with primary vitrectomy, gas tamponade with SF6 appeared to be superior to air tamponade in patients with retinal detachments involving the inferior quadrants.5
The complexity of retinal pathology may also factor into the choice of tamponade agent. The Silicone Oil Study demonstrated that SF6 was inferior to silicone oil in achieving anatomic repair of retinal detachments with grade C3 or higher proliferative vitreoretinopathy.6 The study also demonstrated that C3Fg was equally effective in the management of complex retinal detachment when compared with silicone oil.7
Decisions on Positioning
Decisions surgeons must make regarding positioning include: 1) the actual desired head position; and 2) the duration of positioning. Positioning may vary during the postoperative period.
Early (initial six to 24 hours) postoperative positioning is often important in the management of subretinal fluid and to avoid complications related to retinal detachment repair. Later (after 24 hours) positioning is more important in achieving adequate tamponade necessary to ensure anatomic success.
Positioning of the bubble is generally more important in the success of pneumatic retinopexy compared to vitrectomy due to the smaller volume of the bubble. In addition, the procedure does not involve drainage of subretinal fluid, so the bubble position is critical to closing the retinal break to allow subretinal fluid absorption.
To achieve successful reattachment, the gas must tamponade all of the retinal breaks while the chorioretinal adhesion matures. The location of the retinal breaks dictates the choice of position.
Gas can cover superior retinal breaks in a head-up position. Inferior retinal breaks require a face-down or head-inferior position. Horizontal retinal breaks can be supported with a combination of head-tilt and lateral decubitus positioning.
The management of retinal detachments with inferior retinal breaks by PPV or pneumatic retinopexy has been more controversial than superior retinal breaks due to the issues of positioning.
Inferior retinal breaks constituted exclusion criteria in the Pneumatic Retinopexy Study. Recent case series have achieved 82% to 88% single-procedure success rates with pneumatic retinopexy for inferior RD.8
One study employed a large-volume gas injection (0.3–0.8 mL) with the patient positioned in 10° Trendelenburg, 10° neck extension, and 10° ocular supraduction for 48 hours, followed by similar positioning part-time for one week.9 The second study placed patients in the prone position with the head rotated dependently for hour hours without further positioning.10
Numerous case series have demonstrated successful repair of inferior RD with primary vitrectomy without adjunct scleral buckle. Most case series employ some degree of postoperative face-down positioning, although one study employed lateral decubitus positioning.11
Duration of Postoperative Positioning
The duration of positioning is variable. Theoretically, positioning would ideally occur for five days to provide tamponade until the laser chorioretinal adhesion is maximal. The surgeon must weigh this decision against the patient discomfort/inconvenience required with sustained maintenance of an unusual head position.
Again, inferior RD repair is the area of greatest controversy. More complete drainage of subretinal fluid achieved during PPV may allow for shorter-duration face-down positioning and shorter-duration tamponade.
One case series achieved a 93% success rate with air tamponade and 24-hour face-down positioning.12 Another small series achieved a 90% single-procedure success rate with air tamponade and no postoperative positioning.13
POSITIONING TO REDUCE COMPLICATIONS DURING REATTACHMENT
Positioning issues are important in the reduction of early and late complications after retinal detachment repair. Immediate postoperative positioning issues include those undertaken at the time of the initial procedure and the ensuing 24 hours.
Positioning can also play an important role in the immediate care of the patient undergoing retinopexy. In fact, positioning is often part of the procedure itself. At the time of injection, the surgeon rolls the head away from the injection site to avoid any egress of gas at the injection site.
In the case of inadvertent trapping of gas between the anterior hyaloid and the lens, the surgeon should position the patient face down to encourage the gas to break through the anterior vitreous and float up to the retina during the expansion process in the first 24 hours.
During pneumatic retinopexy, the gas bubble displaces the subretinal fluid rather than it draining. Thus, the potential exists for inadvertent extension of retinal detachment or induction of macular detachment.
‘Steamroller Technique’
The “steamroller technique” involves immediate positioning after gas injection to prevent iatrogenic retinal detachment and hasten reattachment via displacement of subretinal fluid into the vitreous cavity.14
During this maneuver, the surgeon rotates the patient’s head into a face-down position in such a way that the bubble travels over the attached, but not detached, retina to avoid subretinal fluid displacement.
The patient remains face down for 10-15 minutes and then gradually rotates the head so that the retinal break positions superiorly. Thus, the bubble gradually pushes the subretinal fluid into the vitreous cavity through the retinal break and flattens the retina.
Authors have recommended face-down positioning immediately after PPV for RD to avoid development of retinal folds postoperatively. Despite meticulous drainage techniques, small amounts of residual subretinal fluid often remain at the end of PPV.
Immediate upright positioning can allow for posterior displacement of residual subretinal fluid, leading to the formation of a fold (Figure, page 25). Some series have described the presence of retinal folds at rates as high as 2.8%.15 The majority of macular folds occur in patients with superior bullous retinal detachments, particularly those with larger retinal breaks. Folds through the central macula have a guarded visual prognosis.
Other Ocular Concerns
Additional positioning postoperatively may also be important in avoiding certain complications of gas tamponade. In aphakic patients, a gas bubble may create pupillary block, leading to angle-closure glaucoma. So in aphakic patients, creation of a 6 o’clock peripheral iridectomy and face-down positioning can avoid this complication.
Progression of cataract after use of gas tamponade is well known. Positioning to avoid direct gas contact with the crystalline lens may reduce or delay this progression.
Liberation of RPE cells into the vitreous cavity at the time of retinal detachment may contribute to secondary epiretinal membrane formation and PVR. Theoretically, postoperative positioning may influence the sites of distribution of these cells, although no data exist to support this assertion.
COMPLICATIONS OF POSITIONING
Positioning is not without complications. Consideration of these issues may influence the choice of position and the duration of positioning recommended.
Prolonged positioning may also have significant socioeconomic effects on patients. Certain physical constraints, such as body habitus and arthritis, may limit the patient’s ability to position effectively.
Complications, including peripheral neuropathy secondary to compression, pressure sores, deep vein thrombosis, and pulmonary embolisms, have all been described following prolonged courses of positioning postdetachment repair.
CONCLUSION
To date, no comparative trials have established a specific positioning regimen as more effective or safer than another. The multiple variables involved in the success of RD repair make it difficult to isolate postoperative positioning as an important modifier of outcome, except perhaps in the setting of a large meta-analysis.
The relative importance of postoperative positioning, compared with other more important questions in vitreoretinal surgery, makes it unlikely that funding for a comparative trial would make much sense.
As is true in many aspects of retinal care, our decisions cannot be guided by level 1 evidence. Rather, we must apply our best clinical judgment and give consideration to factors (Table 2) that allow us to maximize success rates and minimize the complications and morbidity associated with treatment. RP
|
Table 2. Positioning Considerations |
|---|
|
FACTORS INFLUENCING POSITION DECISIONS Duration of Position |
REFERENCES
1. Bloch D, O’Connor P, Lincoff H. The mechanism of the cryosurgical adhesion. III. Statistical analysis. Am J Ophthalmol. 1971;71:666-673.
2. Yoon YYH, Marmor MF. Rapid enhancement of retinal adhesion by laser photocoagulation. Ophthalmology. 1988:94;1385-1388.
3. Hilton GF, Tornambe PR. Pneumatic retinopexy: A multicenter randomized controlled clinical trial comparing pneumatic retinopexy with scleral buckling. The Retinal Detachment Study Group. Ophthalmology. 1989;96:772-783.
4. Heimann H, Bartz-Schmidt KU, Bornfeld N, et al. Scleral buckling versus primary vitrectomy in rhegmatogenous retinal detachment. A prospective randomized multicenter clinical study. Ophthalmology. 2007;114:2142-2154.
5. Tan HS, Oberstein SY, Mura M, et al. Air versus gas tamponade in retinal detachment surgery. Br J Ophthalmol. 2013:97;80-82.
6. Silicone Study Group. Vitrectomy with silicone oil or SF6 gas in eyes with severe proliferative vitreoretinopathy: Results of a randomized clinical trial. Silicone Study Report 1. Arch Ophthalmol. 1992;110:770-779.
7. Silicone Study Group. Vitrectomy with silicone oil or perfluoropropane gas in eyes with severe proliferative vitreoretinopathy: Results of a randomized clinical trial. Silicone Study Report 2. Arch Ophthalmol. 1992;110:780-792.
8. Lincoff H, Haft D, Ligget P, Reifer C. Intravitreal expansion of perfluorocarbon bubbles. Arch Ophthalmol. 1980:98;1646.
9. Mansour AM. Pneumatic retinopexy for inferior retinal breaks. Ophthalmology. 2005;112:1771-1776.
10. Chang TS, Pelzek CD, Nguyen RL, Purohit SS, Scott GR, Hay D. Inverted pneumatic retinopexy: A method of treating retinal detachments associated with inferior retinal breaks. Ophthalmology 2003;110:589-594.
11. Sharma A, Grigoropoulos V, Williamson TH. Management of primary rhegmatogenous retinal detachment with inferior breaks. Br J Ophthalmol. 2004:88;1372-1375.
12. Martinez-Castillo V, Verdugo A, Boixadera A, et al. Management of inferior breaks in pseudophakic rhegmatogenous retinal detachment with pars plana vitrectomy and air. Arch Ophthalmol. 2005:123;1078-1081.
13. Marinez-Castillo V, Boixadera A, Verdugo A, et al. Pars plana vitrectomy alone for the management of inferior retinal breaks in pseudophakic retinal detachment without facedown position. Ophthalmology. 2205;112:1222-6.
14. Hilton GF, Kelly NE, Salzano TC, et al. Pneumatic retinopexy : a collaborative report for the first 100 cases. Ophthalmology. 1987:94;307-314.
15. Van Meurs JC, Humalda D, Mertens DA, et al. Retinal folds through the macula. Doc Ophthalmol. 1991:78;335-340.
|
T. Mark Johnson, MD, FRCSC, practices with the Retina Group of Washington (DC). He reports no financial interests in any of the products mentioned here. Dr. Johnson can be reached via e-mail at tmarkjohnson@gmail.com. |







