RPS: From the Podium to the Practice
Our coverage of the 2012 Retinal Physician Symposium continues.
Andrew E. Mathis, PhD, Medical Editor
In our second installment of coverage of presentations made at the 8th annual Retinal Physician Symposium in Miami Beach, held March 28-31, 2012, we provide recaps of talks given on new laser treatments, drug delivery, and diagnosis of PCV.
K. BAILEY FREUND ON PCV
Dr. K. Bailey Freund, of Vitreous-Retina-Macula Consultants of New York, started off the symposium with two presentations on the topic of neovascular AMD.
His first talk focused on explaining the different types of neovascularization that occur in AMD. In the presentation that followed, he reviewed the diagnosis and management of polypoidal choroidal vasculopathy (PCV), or neovasculopathy, the term he prefers.
Dr. Freund began by sharing his opinion that PCV falls into the category of type 1 neovascularization, ie, sub-RPE or occult CNV. Dr. Freund said that his group had originally described PCV as a choroidal abnormality consisting of a network of branching vessels with terminal aneurysmal dilatations.
He cited more recent evidence that shows PCV is usually not in the choroid but rather is found above Bruch's membrane and is thus a variant of type 1 neovascularization. He said that OCT can help visualize this (Figure 1), demonstrating by showing cases of PCV with polyps above the choroid (Figure 2). Dr. Freund used histological slides to demonstrate that PCV seems to originate from type 1 neovascular membranes as vessels found at the margins of these membranes tend to mature and dilate (Figure 3).
Figure 1. In many cases of PCV, the polyps are not in the choroid but rather above Bruch's membrane.
Figure 2. In this case of PCV, the polyps are above the choroid.
Figure 3. Histological slides demonstrate that PCV seems to originate from type 1 neovascular membranes.
IMAGE COURTESY OF DRS. MICHAEL KLEIN AND DAVID WILSON
Turning next to the branching vascular network of PCV that many believe is in the choroid, Dr. Freund again clarified that this is not the case. Rather, what appears to be choroidal is, in fact, intra-Bruch's proliferation beneath the RPE. This becomes more clear using the C-scan feature of some SD-OCT units, which allow en face imaging of a section of tissue (Figure 4).
Figure 4. Using the C-scan feature of some SD-OCT units, en face imaging of sections is possible.
Dr. Freund continued, “If you look at eyes that develop PCV, it's probably not a coincidence that they are the same eyes that develop type 1 neovascularization.” Thus, polyps are seen not only with neovascular AMD, but also with peripheral exudative hemorrhagic chorioretinopathy, peripapillary CNV, within type 1 neovascular tissue arising overly choroidal nevi, and in cases of chronic central serous chorioretinopathy (CSC) which develop vascularized pigment epithelial detachments.
Dr. Freund demonstrated his point with several cases of polyps in neovascular tissue in association with choroidal nevi (Figure 5) and CSC (Figure 6). He reiterated that his view is that PCV originates from longstanding CNV and is not a primary choroidal vascular disorder. Rather, as a variant of type 1 neovascularization, it would be better characterized as a neovasculopathy.
Figure 5. A case of polyps in neovascular tissue associated with a choroidal nevus.
Figure 6. Another case of polyps, this time associated with central serous chorioretinopathy.
Dr. Freund referred to his own previous research, in which he and his coauthors found that PCV can masquerade as CSC. Today, it is clear that the opposite case is true: sub-RPE neovascularization in CSC can masquerade as PCV. Elaborating on this point, Dr. Freund turned to his current working thesis of neovascularization in macular disease (Figure 7). In his view, chronic RPE disease leads to type 1 neovascularization and, ultimately, to PCV. Such patients are more likely to be diagnosed with AMD than with CSC as they grow older. These cases are very common in his practice.
Figure 7. One working thesis of neovascularization in central serous chorioretinopathy.
Dr. Freund showed a couple of examples next, beginning with a case of type 1 neovascularization in CSC masquerading as neovascular AMD (Figure 8), followed by a case of a myopic woman in whom a lesion was visible on OCT. In this case, while fluorescein angiography showed only occult CNV, indocyanine green angiography clarified that she had polyp (Figure 9).
Figure 8. A case of type 1 neovascularization secondary to CSC.
Figure 9. Fluorescein angiography indicated occult CNV; indocyanine green angiography showed polyps.
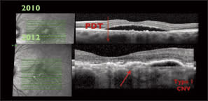
In a third example, a patient presented CSC associated with choroidal hyperpermeability. The following year, a thickened choroid and dilated choroidal vessels were evident, and the patient was treated for CSC. Dr. Freund treated the patient with photodynamic therapy. He indicated that his practice has seen some patients develop type 1 neovascularization after repeated PDT treatments. Two years after PDT, the patient had new-onset type 1 neovascularization (Figure 10). This case indicates for Dr. Freund that cases of CSC treated with PDT should be carefully monitored for neovascularization.
Figure 10. Two years after PDT, this patient developed a new-onset type 1 neovascularization.
In the fourth example, a patient with a 40-year history of CSC developed type 1 neovascularization. Dr. Freund was able to show in this case that anti-VEGF therapy was effective (Figure 11) and that neovascularization developed in the fellow eye over five years of follow up (Figure 12). Three more cases of type 1 neovascularization in CSC masquerading as neovascular AMD were shown.
Figure 11. In this patient with a history of CSC, anti-VEGF therapy was effective.
Figure 12. However, in the same patient, neovascularization developed in the fellow eye five years later.
Repeating his current hypothesis, Dr. Freund cited the high rate of PCV in Asian patients. He finds it interesting that a high percentage of these patients are male and typically younger than their AMD counterparts. Several papers have reported on increased choroidal thickness and choroidal vascular hyperpermeability in Asian patients with PCV that suggests a connection with CSC. It is possible, Dr. Freund said, that many cases of PCV in Asian patients originate from chronic central serous and would likely test negative on genetic AMD testing. PCV, he said, should not be considered a distinct clinical entity. Retinal physicians should evaluate PCV patients for the underlying cause of the type 1 neovascularization giving rise to their polyps and be on the lookout for cases of choroidal congestion/hyperpermeability/chronic CSC resulting in PCV.
JASON SLAKTER ON NEW AMD THERAPIES
Jason S. Slakter, MD, also of Vitreous-Retina-Macula Consultants of New York, gave a presentation on the afternoon of the first day of the symposium looking at future therapies for exudative AMD. Dr. Slakter began by discussing the complexity of AMD as a disease, particularly given those patients that do not respond to treatment as expected.
Dr. Slakter said that the role of VEGF in AMD has been well established and that blocking VEGF is a good idea. Turning to the cascade of VEGF activity, he noted that Macugen, Avastin, Lucentis, and Eylea all block VEGF in the extracellular space and before it binds to its receptors.
Turning to the two-year data from the ANCHOR and MARINA trials, Dr. Slakter noted that 90% of patients had a positive effect from treatment with Lucentis. However, roughly one patient out of 10 will still lose vision over two years' time. The data from the VIEW trials came to the same conclusion.
The reasons for this vision loss are several, Dr. Slakter explained, including the development of scar tissue, RPE atrophy, and chronic exudation leading to intrinsic retinal damage, as well as patients who do not respond to anti-VEGF therapy.
Before turning to non-VEGF-related therapies, however, Dr. Slakter quickly went over some VEGF-related compounds under investigation. Among these compounds was KH902, a VEGF-blocking fusion protein from China, which showed impressive results in phase 1 trials (Figure 13).
Figure 13. The VEGF-blocking fusion protein KH902 showed impressive phase 1 results in visual acuity.
In addition, MP0112, a recombinant fusion protein based on DARPin technology, is important because it theoretically can prolong the durability of the chemical, providing a long intravitreal half-life. MP0112 is currently in phase 1 studies in the United States.
Another VEGF-related approach is to have the body produce its own anti-VEGF therapy using genetics. For instance, AAV2-sFLT01 uses a viral vector to deliver a gene to the back of the eye, where “infected” cells then produce -sFLT01. The drug's effects lasted at least 12 months in animal studies. A phase 1 trial is currently under way.
Returning to the VEGF cascade, Dr. Slakter pointed out that upstream of the extracellular space, there is a complicated series of events result in VEGF production (Figure 14). Compounds that could be effective against VEGF in this part of the cascade include sirolimus and Palomid 529, the latter of which not only blocks abnormal neovascularization but, unlike currently available anti-VEGF agents, will allow for normal angiogenesis. Palomid 529 is currently being investigated in a phase 1 trial.
Figure 14. Upstream of the extracellular space, a complicated series of events results in VEGF production.
Turning to the VEGF cascade downstream of the extracellular space, blockade of VEGF receptors is one way to approach the problem. Another approach is using integrin antagonists. Integrins are transmembrane proteins that help regulate and modulate the downstream kinase-signaling pathways.
Among the drugs being investigate along this route is an α5β1 integrin inhibitor, which via its blockade can lead to vessel regression, allowing for the destruction of choroidal neovascularization. In addition, volociximab, a monoclonal antibody against α5β1, showed inhibition of CNV on fluorescein angiography in a phase 1 trial.
Further downstream, once VEGF has bound to its receptors, Dr. Slakter said, another cascade of events occurs. “Every time you see molecules, you have targets,” he said, and indicated several places in this part of the cascade to intervene.
These chemicals include the tyrosine kinase inhibitors (TKIs), which if blocked could stop the growth of vessels. Pazopanib, which is topically administrated, is a TKI that, in a phase 2 study, resulted in a mean 4.3-letter increase in VA, with patients with the CFH TT genotype exhibiting the best response.
Beyond the VEGF cascade, the blockade of platelet-derived growth factor (PDGF) prevents the recruitment of pericytes to neovascular vessels. In combination with anti-VEGF therapy, preexisting CNV would regress without harming the normal vessels (Figure 15). It remains to be seen to what extent the anti-PDGF effects are relevant, but phase 2 trial data are pending.
Figure 15. Combined with anti-VEGF therapy, anti-PDGF therapy will cause CNV to regress without harming normal vessels.
Microtubules, which are essential to maintaining cells' elongated shapes, represent another possible target for AMD therapy. Combretastatin A4 phosphate binds to tubulin, destroying the internal skeleton of immature endothelial cells, resulting in rounder cells that plug the blood vessels, thus reducing blood flow in neovascular vessels. A phase 2 study has been completed, and patients with polypoidal choroidal vasculopathy are being targeted. Another tubulin inhibitor, OC-10X, is administered topically. In animal models, it has shown antiangiogenetic and angiolytic properties.
Synthetic squalamine inhibits VEGF, PDGF, and bFGF signaling by chaperoning the modulatory protein calmodulin. Extensive research has been performed on squalamine with more than 450 patients treated intravenously. While these trials were terminated, a new topical clinical program is now under way with plans to launch a phase 2 trial this year.
A new recombinant protein called hI-con1 targets tissue factor (TF), which is present on the inner surface of CNV but not in normal blood vessels. The goal is that by binding to CNV, hI-conl will cause CNV regression. The drug resulted in CNV regression in a porcine model (Figure 16), and a phase 1 trial in patients with very advanced disease saw no safety concerns, as well as some regression of CNV. There were some VEGF nonresponders in this group.
Figure 16. The new recombinant protein hi-conl caused CNV regression in a pig model.
The last compounds that Dr. Slakter mentioned were bioactive lipids, including S1P, which when blocked by sphingomab might have some effects on angiogenesis and fibrosis. He also reminded the audience about the potential role of complement inhibitors in this field. He briefly mentioned steroids, vitreolytics, and radiation, as well as sustained drug delivery, including encapsulated cell technology, iontophoresis, nanoparticles, and phase transition gel before concluding.
STEPHANIE LU ON NEW BREAKTHROUGH LASER TECHNOLOGY
An update on new laser technologies for the treatment of diabetic retinopathy was presented by Stephanie Lu, MD, also on the second day of the symposium. Dr. Lu, assistant clinical professor of ophthalmology at the Gavin Herbert Eye Institute, University of California, Irvine, began by introducing the Navilas Laser System, which was designed to improve the precision and efficacy of retinal photocoagulation by means of an integrated live imaging system that uniquely enables the surgeon to plan, “navigate,” and execute the treatment.
The Navilas multifunctional system that combines fundus photography, fluorescein angiography, and laser to aid in the diagnosis and treatment of ocular pathologies in the posterior segment of the eye. The purpose of Dr. Lu's study was to demonstrate the precision of the Navilas in focal photocoagulation for DME and to demonstrate its efficacy in panretinal photocoagulation using navigated scanning laser technology.
Dr. Lu explained that the Navilas Laser System allows the surgeon to plan very precise treatments on the basis of images captured by its imaging system. These images can then be projected over the live fundus image to plan and deliver accurate and complete treatment. The Navilas is a flexible treatment platform that also allows for the importation of images captured externally. Throughout treatment, an LCD monitor provides live high-definition images, as well as fluorescein angiography. The surgeon designs the treatment with the use of a mouse or a touch screen. An optional joystick can also be used (Figure 17).
Figure 17. The Navilas can be controlled with a mouse or touch screen, as well as an optional joystick.
Software allows the surgeon to place yellow circles over the foveal avascular zone and the optic nerve area to avoid laser application to these regions (Figure 18). The surgeon can effectively plan a comprehensive treatment with the Navilas system, targeting all microaneurysms and nonperfused areas with the live imaging system.
Figure 18. The Navilas includes software that allows the surgeon to place yellow circles around the FAZ and optic nerve.
Dr. Lu presented a surgical video to demonstrate the Navilas Laser System and then described a case in which the Navilas was used to treat a 54-year-old man with DME. Fluorescein angiography indicated areas of focal leakage close to the FAZ (Figure 19). A total of 18 laser spots were applied with the Navilas system (Figure 20).
Figure 19. In this patient, fluorescein angiography indicated leakage close to the FAZ.
Figure 20. In the same patient, a total of 18 laser spots were applied with the Navilas.
Such treatment would not have been possible with a conventional laser, she explained, because the treatment area was so close to the FAZ. A locking mechanism on the Navilas system ensures that the laser is only applied where intended; a feature that is particularly beneficial when the defined treatment area requires extreme precision.
Dr. Lu also explained the ability of the Navilas to import images, including OCTs. “Once imported into the navigated laser system, a registration tool accesses the image to be aligned with a reference image acquired on the system,” she said. Dr. Lu explained that at least three landmarks are required, with an average of six to accomplish the overlay most efficiently. With the resulting image, a more complete treatment plan can be devised and executed.
Dr. Lu also discussed the use of the Navilas system for navigated photocoagulation treatment in combination with anti-VEGF agents. “Although we know that anti-VEGF agents are effective, it offers a transient visual gain associated with a risk of endophthalmitis and a small risk of retinal detachment,” she explained.
Patients undergoing anti-VEGF treatment must return perhaps monthly for injections for an undefined period of time. Such treatment can seriously affect quality of life for the patient in the long term. The Navilas system offers a more accurate and precise laser treatment that not only resolves the leaking areas but can also result in a more stable visual gain with subsequent reduction in the frequency of injections.
To determine whether the number of anti-VEGF injections could be reduced, the CAVNAV study was initiated. The patients enrolled had either type 1 or type 2 diabetes and DME with macular thickening resulting in vision loss. The exclusion criteria for the study included a lack of glycemic control, high blood pressure, prior laser treatment within three months, prior injections within two months, and major ocular surgery within four months. The measured outcomes included mean change in baseline BCVA, change in central retinal thickness, number of anti-VEGF injections, and number of laser retreatments, all at six and 12 months.
The laser treatment in the study was standardized using the modified ETDRS technique. Focal laser was used on leaking microaneurysms, and grid treatment was administered to all areas with diffuse leakage or nonperfusion. The burn size was 50-100 µm, the burn duration was 100 ms, and the burn power was set to obtain a pale gray burn. Follow-ups were conducted monthly, and Navilas monotherapy re-evaluations were performed every four months.
At this point in the presentation, Dr. Lu posed and answered an important question: Why navigated laser? The answer, she said, is that navigated laser offers increased accuracy and a lower retreatment rate. She cited a study published in Ophthalmology in June 2011 that demonstrated this improved accuracy: 91.5% of the treatment delivered vs 71.5% with conventional laser. Another study, conducted in Munich in 2009-2010 demonstrated that retreatment rate was decreased by 50% when compared to conventional slit-lamp laser.
Returning to the CAVNAV study, Dr. Lu stated that 46 eyes of 30 patients with DME had been enrolled to date. Forty-two percent of the patients had received Avastin injections previously, and 16% had undergone previous focal laser treatment. The average baseline BCVA was 53 ±22 letters, and the average baseline central retinal thickness was 374 ±133 µm.
With most of the enrolled patients followed for four to six months, the average number of injections was 1.7 ±1.5 with an average improvement of 6.4 letters (Figures 21 and 22). Based on the central foveal thickness at baseline, 27 eyes received combination therapy (CRT at baseline ≥300 µm on Stratus OCT), and 19 eyes received focal/grid laser alone (CRT <300 pm at baseline). The combination group received three monthly injections of Avastin followed by Navilas laser treatment when CRT decreased to less than 300 µm. After, retreatment was based on worsening criteria, defined as a >20% increase in CRT and >6 letters dropped in BCVA, compared to the stabilized visual gain obtained after three anti-VEGF injections.
Figure 21. In the CAVNAV study, the average number of injections was only 1.7 ±133 µm.
Figure 22. There was also an average gain of 6.4 ETDRS letters in CAVNAV.
At their last follow-up, these patients had BCVA improvement of 8.4 letters and a mean decrease in CRT of 27% compared to baseline. The median number of injections was three. Only one of these 46 eyes has been retreated with Avastin so far. Dr. Lu demonstrated the stability of the patients over this period graphically (Figures 23 and 24). She compared the CAVNAV study with previous studies, including RESTORE and the DRCR Network's study using anti-VEGF with or without conventional laser. CAVNAV patients have, so far, experienced similar improvement in BCVA with significantly fewer injections (1.7 vs 6.8 in RESTORE and 11 in the DRCR.net study).
Figure 23. There was substantial stability in VA outcomes over time.
Figure 24. This consistency in outcomes also extended to changes in central retinal thickness.
Dr. Lu also discussed the ability of the Navilas Laser System to perform PRP. In this type of procedure, a PRP objective is utilized along with a specifically designed contact lens. The contact lens and Navilas optical head must be centered to each other with optical axes aligned. The image of the patient's retina is brought into focus by moving the optical head axially using a joystick until a sharp and well illuminated image appears.
Unlike a slit-lamp microscope, with which only a small part of the aerial image can be sampled by illumination with a narrow slit and observation with the microscope, Navilas instantly samples a static field of 63° x 50° (80° diagonal). By moving the Navilas optical head laterally, the full equatorial field may be sampled.
The PRP contact lens forms a real aerial image of the retina up to the equator. For covering the retina up to the equator, no or minimal tilt of the lens is required, minimizing astigmatic changes of the image and of the projected laser spot. This leads to uniform and consistent laser uptake, with round spots from the posterior pole to the periphery. With reduced depth of focus at higher magnification, Dr. Lu warned, initial positioning can be an important part of the learning curve.
Here, Dr. Lu presented a video PRP application with the Navilas Laser System, which clearly illustrated posttreatment retinas with uniform laser uptake (Figure 25). She also showed a post-treatment eye, both immediately after surgery (Figure 26) and at 30 days (Figure 27). Dr. Lu pointed out that treatment with the Navilas device is faster and more comfortable than comparable systems, including the Pascal and the Zeiss Visulas.
Figure 25. In eye before and immediately after PRP, Navilas was faster than other devices.
Figure 26. With the Navilas, post-treatment retinas show uniform laser uptake.
Figure 27. The same eye from Figure 26, here at 30 days after PRP.
In summary, Dr. Lu concluded that PRP using the Navilas Laser System is safe and well tolerated and achieves a high rate of efficacy. Distribution of laser spots across the retina is even and very precisely placed due to the navigational capabilities of the Navilas device. Panretinal laser treatment was efficiently completed with less pain than with the more traditional laser approach.
While new therapies have enabled surgeons to preserve functional vision more effectively in some patients suffering from retinal disorders, stability and visual improvement evade resolution as the disease state progresses. The ability to utilize live imaging to plan, navigate, and execute precise laser treatments with one multifunctional platform represents a tremendous technological advance.
MORE TO COME
Before the year is out, we will provide more coverage of this year's Retinal Physician Symposium. In the meantime, also keep an eye on our Events Calendar (page 71 of this issue), where we will provide information about 2013's symposium, to be held March 28-31, again in Miami Beach. RP







