Classification of Age-related Macular Degeneration
A system is needed that both clinicians and patients can understand.
Usha Chakravarthy MD, FRCS, FRCOphth, PhD
Degenerative pathology affecting the macular retina of older people has been recognized over the centuries. Several decades ago, the most common terms that were applied, which were based on clinical appearance, were senile maculopathy1 or senile macular degeneration.2 (because this condition was more common in older age groups) or disciform macular degeneration (because of the circular disposition of a characteristic macular scar), or both.3
The term “senile” has been avoided since the mid-1980s because of the pejorative associations with cognitive decline, and it is no longer in use. Clinically speaking, degeneration of the macula goes through a phase of evolution commencing with the appearance of drusen or patchy retinal pigment epithelial atrophy, or both.
Over time, a proportion of individuals with these features will develop exudative manifestations (neovascular)4 and/or an area of atrophy with sharply demarcated edges termed geographic atrophy.
As disciform macular degeneration refers solely to the presence of a circular scar in eyes that develop exudative manifestations, it was necessary to have nomenclature that also took into consideration drusen and the other characteristic degenerative features of AMD, namely hypopigmentation and hyperpigmentation (collectively termed RPE irregularities).
Drusen and RPE irregularities usually have none or minimal effects on visual acuity and are thus considered to be early manifestations of the condition. Also, any nomenclature would have had to include the manifestation of GA. Age-related maculopathy (ARM) was coined to describe all of the early degenerative manifestations (drusen and RPE irregularities), as well as those manifestations with severe functional impact, such as exudative AMD and GA.5
An attempt was then made by an international group of experts to come up with a common set of terms that would capture the different stages of the condition in a systematic and structured manner. This group, the International ARM Epidemiological Study Group, proposed to prefix ARM with “early” and “late” to distinguish drusen and RPE irregularities from the end-stage manifestations of exudation and atrophy.6 The group's definition stated, “early ARM is the presence of drusen and RPE abnormalities; late ARM is similar to age-related macular degeneration … and includes dry AMD … or neovascular AMD.”
While this was a laudable effort in addressing the issue of nomenclature, there remained potential for confusion as the term “dry AMD” could be applied either to eyes with drusen and RPE changes or those with advanced atrophy.
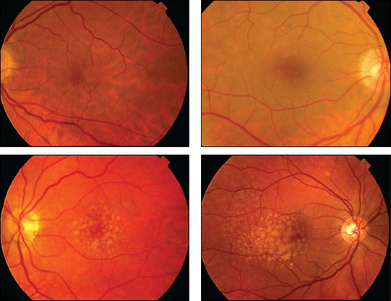
Clinicians then introduced a new term, “intermediate AMD,”7 to describe eyes with many medium-sized drusen or one or more large drusen (arbitrarily defined as >125 µm, which is approximately the size of a retinal vein at the optic disk) from those with small drusen, which were considered to be of less clinical significance (Figure 1). The reasoning was to differentiate the eyes with few small drusen, the risk of progressing to late-stage manifestations of which was incredibly low, from those with drusen or large drusen, in which the risk was higher. Another term that appeared in the literature to describe eyes with large drusen or RPE irregularities or GA or any combination of these features was atrophic AMD.8
Figure 1. Risk of progression is different with different stages of early AMD. The four images illustrate the differences in the levels of severity of early AMD. The upper left image shows a single druse, the upper right images shows a few small, insignificant drusen and the bottom images show extensive drusen.
PATIENT CONFUSION
It is already easy to see the potential for confusion with the expansion of the vocabulary to early ARM, early AMD, intermediate AMD, intermediate ARM, late ARM, late AMD, atrophic AMD, neovascular AMD, and GA, making it difficult to undertake meta-analyses, interfering with the ability to combine data easily from epidemiological studies, and contributing to discrepant findings in genetic studies of this condition.
Unfortunately, the confusion also extends to the descriptions that are commonly used by clinicians when attempting to describe the pathology in simple terms to the general public or to their patients.
It is common for exudation in the macular region to be termed wet AMD or wet ARMD. The converse is dry AMD or dry ARMD (when there is no exudation). While these descriptions appear to be a reasonable method of imparting information on the state of the eye, the potential for misunderstanding remains.
Clinicians tell their patients that they have dry AMD if drusen, RPE irregularities, and/or GA is seen. The extent and severity of drusen can vary, as can the extent and severity of RPE irregularities. Regardless of the severity of these early-stage features, there may be little or no impact on visual functioning.
Geographic atrophy, in contrast, is clearly an end-stage pathology with loss of cellular structure, and depending on its location (if it involves the fovea), it can have a huge impact on function. The use of the term dry ARM or dry AMD, therefore, does not impart a sense of the extent or severity of the pathology to the sufferer.
Furthermore, being told that the eye has degeneration can strike dread into the hearts of patients. It has not been uncommon in my practice to encounter patients with a few small drusen in each macula who have been given a diagnosis of macular degeneration and subsequently become extremely depressed because they believe the retina is degenerating and that blindness is inevitable.
The mere presence of drusen (large or small) does not signify an inevitable progression to sight-threatening end-stage disease. We know from robust longitudinal epidemiological studies that fewer than one-fifth of eyes with extensive drusen and other features of degenerative change in the RPE (namely hypo- and hyperpigmentation) will develop late stages of the condition, even after 15 years of follow-up.9
Even the Age-Related Eye Disease Study, in which the criteria were set to select for persons at high risk of progression, found that, of people with bilateral extensive drusen and RPE irregularities, fewer than half of the eyes developed late manifestations over a five-year period of follow-up.10
Another problem with the use of wet and dry nomenclature is that the lay public believes that these states are mutually exclusive. Exudative manifestations can develop in eyes with drusen and/or GA. It is not uncommon to encounter GA with exudation occurring in the same eye or the fellow eye.11
Therefore, it is important that the distinction among the minor early degenerative features, the more severe degenerative features without sight loss, and the late pathology of those features that have already resulted in sight loss, is correctly conveyed to patients and the lay public, as the prognostic implications are different for each of these stages.
As it is common to find the stage of macular degeneration is asymmetrical in the two eyes of a person, this has to be taken into consideration in counseling. The intraindividual correlation is much higher than the interindividual correlation, therefore, the prognosis must take into account the state of both eyes, which adds to the complexity of the information to be imparted.
One additional confounder is the advent of newer therapies that ameliorate the exudative manifestations of neovascularization. Clinicians involved in treating patients with exudative AMD will tell their patients that their macula is dry when the treatment has ameliorated the signs of the disease.
This language has further increased the potential for confusion regarding the nature of the pathology and its state of severity. Patients believe that treatment has converted their wet AMD into dry AMD. While on one level this may be correct (ie, there is no fluid in the tissue compartments of the macula), the neovascular complexes have not resolved; they are merely dormant, and recurrence of leakage is common when the effects of treatment have worn off.
Thus, the consistent theme that emerges when dialogue exists among clinicians, scientists, and patient support organizations is the need for a common and widely acceptable nomenclature to describe the early and late phenotypes of AMD that is robust and supported by appropriate epidemiological and clinical evidence.
CLINICAL LANGUAGE
Clinicians have created nosology and evolved language to describe AMD and its severity stages without fully considering the potential for confusion. Any systematic classification of AMD should be able to distinguish normal from abnormal, the different severity stages of the disease when present, and the various phenotypic traits.
The nomenclature should be able to be understood easily by patients and the lay public. It should reflect the severity state of the condition, and it should have prognostic ability. No one would dream of telling a patient with a mole that they had cancer. The term “nevus” or “mole” clearly distinguishes a benign condition from a malignant neoplasm. Similarly, drusen can be considered equivalent to nevi and can be described in more benign terms.
An initiative supported by the Beckman Foundation is attempting to achieve a comprehensive, thoughtful, well-constructed definition and disease classification system for AMD by facilitating the dialogue for establishing a consensus of clinicians and scientists worldwide.
In the first instance, a classification committee has been established to provide a simple definition to distinguish normal eyes from eyes with disease, which can be offered in the setting of an average ophthalmologist's office and permit a pragmatic assessment of the severity of the macular changes to allow prognostic information to be relayed to the patient.
The Beckman classification committee is also developing a more detailed nomenclature to allow for stratification for in-depth scientific study. In this context, the basic clinical definition must be sufficiently adaptable and expandable so that improvements in technology that permit better disease detection and classification can be appropriately incorporated.
Thus, for example evolving terminology that might arise through the use of emerging imaging modalities, such as phase optical coherence tomography and adaptive optics, which may reveal cellular and subcellular levels of detail, will be able to be mapped into the broad nomenclature of the simple definition.
CONCLUSION
The nomenclature used to describe AMD, both within the retina community and in lay parlance, has undergone a tremendous amount of change over the last decades. This change has been partly responsible for the confusion particularly on the part of patients in understanding the severity of the condition and the prognostic implications.
To address these issues, a system of classification is needed that is attentive to the needs of patients and that encompass the complex manifestations of this disease. Our patients, and we, deserve it. RP
REFERENCES
1. Schatz H, Patz A. Exudative senile maculopathy. Results of argon laser treatment. Arch Ophthalmol. 1973;90:197-202.
2. Kahn HA, Leibowitz HM, Ganley JP, et al. The Framingham Eye Study. 1. Outline and major prevalence findings. Am J Epidemiol. 1977;106:17-41.
3. Gregor Z, Bird AC, Chisholm IH. Senile disciform macular degeneration in the second eye. Br J Ophthalmol. 1977;61:141-147.
4. Ferris FL, Fine SL, Hyman L. Age-related macular degeneration and blindness due to neovascular maculopathy. Arch Ophthalmol. 1984;102:1640-1642.
5. Klein R, Klein BEK, Linton KLP. Prevalence of age-related maculopathy. The Beaver Dam Eye Study. Ophthalmology, 1992;99:933-943.
6. Bird AC, Bressler NM, Bressler SB, et al. An international classification and grading system for age-related maculopathy and age-related macular degeneration. The International ARM Epidemiological Study Group. Surv Ophthalmol. 1995;39:367-374.
7. National Eye Institute. Frequently asked questions. Available at: http://www.nei.nih.gov/amd/faqs.asp. Accessed August 15, 2012.
8. Murphy RP. Age-related macular degeneration. Ophthalmology. 1986;93:969-971.
9. Klein R, Klein BE, Knudtson MD, Meuer SM, Swift M, Gangnon RE. Fifteen year cumulative incidence of age-related macular degeneration: the Beaver Dam Study. Ophthalmology. 2007;114:253-262.
10. Ferris FL, Davis MD, Clemons TE, et al.; Age-Related Eye Disease Study (AREDS) Research Group. A simplified severity scale for age-related macular degeneration. AREDS report 18. Arch Ophthalmol. 2005;123:1570-1574.
11. Sunness JS, Gonzalez Baron J, Bressler NM, Hawkins B, Applegate CA. The development of choroidal neovascularization in eyes with geographic atrophy form of macular degeneration. Ophthalmology. 1999;106:910-919.
| Usha Chakravarthy, MD, FRCS, FRCOphth, PhD, is professor of ophthalmology and vision sciences at the Queen's University of Belfast in Northern Ireland, and she is consultant in ophthalmology at the Belfast Trust. She reports no financial interests in any products mentioned in this article. Dr. Chakravarthy can be reached at u.chakravarthy@qub.ac.uk. |







