Avastin in ROP
The anti-VEGF drug has shown promise in the treatment of retinopathy of prematurity.
Vishak J. John, MD • Ditte Hess, CRA • Audina M. Berrocal, MD
Retinopathy of prematurity is a proliferative retinal disorder that causes significant morbidity in children in the developed, and increasingly in the developing, world. It is mainly associated with early gestational age and low birth weight (≤1,250 g). ROP causes visual loss by means of macular dragging, vitreous hemorrhage, and retinal detachment.1
Initially described by Terry in the 1940s, ROP was associated with excessive oxygen use in the neonatal care of premature infants. Although our understanding of oxygen management has significantly improved in the last half-century, the number of infants with ROP has risen, likely due to increased survival of very low birth weight and younger infants.2 In the developing world, complications from ROP are appearing in larger premature infants (birth weight ≤2,000 g) than in the developed world.
Fortunately, due to good neonatal care and appropriate screening and treatment, the incidence of blindness due to ROP is only one case in 820 infants.1
PATHOGENESIS OF ROP
Understanding the pathogenesis of ROP is important in evaluating the treatment modalities available to manage this blinding disease. Currently, it is considered to be a biphasic disease, consisting of an initial period of vessel loss, followed by a period of vessel proliferation.2-4
In the human eye, the process of retinal vessel maturation out to the periphery continues until the time of birth. Although premature infants have incompletely vascularized retinas with a peripheral avascular zone, the drive for new vessel formation is downregulated by the relative hyperoxia of the extrauterine environment, along with supplemental oxygen.
Later, as the infant grows, the nonvascularized retina becomes metabolically active and, therefore, hypoxic, leading to neovascularization.2-3 Basic scientific research has clearly demonstrated increasing levels of vascular endothelial growth factor in this setting of hypoxia.5
The International Classification of Retinopathy of Prematurity, published in 1984, defined ROP in terms of location (zones I-III), severity (stages 1-5), extent (clock hours 1-12), and vascular dilatation and tortuosity (Plus disease).6 It is important to note that stages are based on the vessel appearance at the interface between the vascular and avascular retinal areas, and staging is crucial in deciding the timing of treatment.
In stage 1, the interface is a line, while it resembles a ridge in stage 2. New vessels grow onto the ridge and extend into the vitreous cavity in stage 3 and continue as fibrous bands leading to partial retinal detachment in stage 4. Finally, total retinal detachment can ensue in stage 5.1
Within the context of ROP being a disease of hypoxia and neovascularization, it makes sense that the treatment of this condition has focused on controlling the factors that affect vessel proliferation. The timing of treatment has always been controversial but has been driven by location, severity, and the extent of the disease.
EVOLUTION OF TREATMENT OF ROP
Randomized, controlled trials have played a role in the evolution of treatment in ROP. CRYO-ROP, published in 1988, established the benefit of peripheral retinal ablation for threshold ROP. The threshold was defined as ROP in zone 1 or 2 with stage 3 in at least five contiguous or eight discontinuous clock-hour segments (30º segment of retinal circumference) with Plus characteristics.
At 15 years, there was a decrease of >40% in unfavorable structural outcomes and a decrease of 30% in unfavorable visual acuity in treated eyes, compared with observed eyes. CRYO-ROP produced the data that led to the implementation of neonatal screening and peripheral retinal ablation for acute ROP.7
Despite the impressive findings and benefits shown by CRYO-ROP, the reality was that 44% of children with threshold ROP treated with cryotherapy had vision <20/200 at 10 years. Hence, the Early Treatment of Retinopathy of Prematurity (ET-ROP) trials were conducted in the early 2000s and demonstrated the benefit of earlier treatment with laser of high-risk prethreshold ROP (compared with conventional treatment for gratingvisual acuity and structural outcomes at nine months).
Post-hoc analysis of ET-ROP established that peripheral retinal ablation should be considered for eyes with type 1 ROP, ie, zone 1 any stage + Plus, zone 1 stage 3 ± Plus, or zone II stage 2 or 3 + PLUS.8
DISADVANTAGES OF CURRENT TREATMENT
Despite the success of retinal ablation in treating ROP, there are inherent disadvantages to laser therapy in a newborn. These include cataract formation, anterior segment and vitreous hemorrhage, anterior segment ischemia, iris adhesions to the lens, and fluctuating intraocular pressures. In the long term, ablative therapy can lead to loss of peripheral vision, strabismus, and marked myopia.
In addition some, but not all clinicians prefer to intubate the babies for laser treatment (we believe laser at the bedside without intubation can be performed efficiently and successfully). In other countries there is no availability of a laser or cryotherapy for treatment, letting these children go blind. Therefore, a quicker, less painful treatment for ROP could potentially revolutionize the management of this disease (especially in countries where laser is a luxury), and that is where anti-VEGF agents have come onto the scene.6,9
As discussed, VEGF plays a significant role in both phases of ROP. In phase 1, hyperoxia suppresses VEGF expression and results in vaso-obliteration. Meanwhile, in phase 2, VEGF expression is increased in the retina, leading to neovascularization.4,6,10
Intravitreal injections of anti-VEGF molecules have been demonstrated to diminish the neovascular response in animal models. In fact, intravitreal ranibizumab (Lucentis, Genentech, South San Francisco, CA) and bevacizumab (Avastin, Genentech) have become the mainstay treatments for proliferative diseases, such as exudative AMD, proliferative diabetic retinopathy, and retinal vascular occlusions.
THE EMERGING ROLE OF INTRAVITREAL AVASTIN
In the last five years, multiple studies, mostly case reports and case series and one randomized, controlled trial, have demonstrated the value of the off-label use of intravitreal Avastin for ROP.
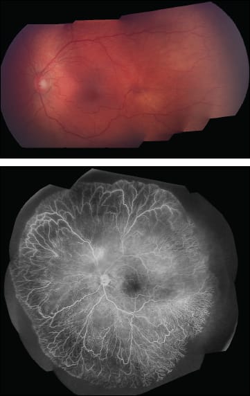
A systematic analysis in 2009 for the off-label use of bevacizumab revealed nine studies (six case reports, two retrospective reviews, and one prospective study).11 In the case series, there were 14 eyes of 10 patients that were treated mainly for zone 1 and posterior zone 2 disease, with eight eyes treated with bevacizumab as the first-line treatment. Eleven out of the 14 cases had favorable outcomes after treatment with Avastin (Figure 1).11
Figure 1. Fundus photo of a left eye with ROP that was injected with Avastin (top); fluorescein angiogram after three injections of Avastin (bottom).
As demonstrated by Lalwani and colleagues, including one of the authors (AB) in 2008, intravitreal bevacizumab was used for salvage treatment in progressive threshold ROP to stabilize eyes that had been worsening with prior laser treatment.12
In 2009, Law, et al., successfully utilized intravitreal bevacizumab as an adjunctive treatment for ROP in 13 patients who had either poor visualization (poor dilation/vitreous hemorrhage) or worsening disease, despite standard of care laser therapy. In all these patients, marked regression of anterior vascular activity and improved papillary dilation was seen.9
Finally, the publication of a randomized, controlled trial in BEAT-ROP in 2011 affirmed a definite role for bevacizumab as a primary therapy for ROP.1
BEAT-ROP
BEAT-ROP was a prospective, randomized, controlled, multicenter clinical trial that compared intravitreal bevacizumab monotherapy (0.625 mg) vs conventional laser therapy for infants with stage 3 ROP with Plus in zone 1 or posterior zone 2. The primary outcome was recurrence of ROP in one or both eyes requiring retreatment before 54 weeks postmenstrual age.
Bevacizumab was found to be superior to laser in zone 1 stage 3+ with a P value of .003, but not in zone 2 (P = .27).
In addition, peripheral retinal vascularization continued as normal in the bevacizumab group but not the laser group.1
ADVANTAGES OF AVASTIN
Although retinal ablative therapy (laser and cryotherapy) is the more established treatment for ROP, with stronger longer-term follow-up data, intravitreal Avastin has some inherent therapeutic advantages over laser. In infants with small pupils or dense vitreous hemorrhages, visualization for appropriate laser treatment is difficult. An intravitreal injection is a shorter procedure that does not require expensive equipment.
Importantly, the injection can be administered with only topical anesthesia, precluding the need for intubation or the intense monitoring required for some laser therapy. Bevacizumab is also relatively inexpensive and is widely available, making the treatment more accessible to children everywhere.3,6,9
DISADVANTAGES OF AVASTIN
However, Avastin is not a perfect solution for ROP. Our understanding of the short- and long-term effects of VEGF inhibition in newborns is extremely limited, and research is still in its infancy.
Although no short-term systemic side effects of intravitreal Avastin for ROP have been reported, the long-term safety in infants is unknown.13-16 In fact, the BEAT-ROP authors cautioned us that the study was not powered to detect any issues of drug safety.
It must be noted that of the seven deaths in the BEAT-ROP trial, five (71%) were in the bevacizumab group (not statistically significant).15 Mintz-Hittner argued that bevacizumab is a large molecule, and in the preterm viscous vitreous of the ROP infant, it is unlikely to leave the eye. However, multiple animal and human studies have shown bevacizumab can be detected in serum as well as the contralateral eye after unilateral injections.3
The implications of VEGF blockade in an infant in whom physiologic VEGF is required for normal organogenesis are not known. It must be noted that four out of five deaths in the bevacizumab group in BEAT-ROP were due to pulmonary complications.
In a newborn rat model of VEGF inhibition with Su-5416, pulmonary hypertension developed due to impaired pulmonary vascular growth and alveolization.3 Adverse outcomes, such acute membrane contraction leading to retinal detachment and delayed-onset retinal detachment, as well as choroidal rupture, have also been reported after Avastin injections.16,17
PROPER ADMINISTRATION OF AVASTIN
Care must also be taken in the proper administration of bevacizumab. In a letter to the editor, Raizada et al., from Kuwait, pointed out that the anatomy in a preterm infant can be variable and that injections given more than 1.5 to 2.0 mm posterior to the limbus can pass through fullthickness retina.
There is also a high risk of lens touching, of inadvertent traction on the vitreous base, and of infection if the infant moves suddenly in cases performed with topical anesthesia.4 The BEAT-ROP assertion that “any ophthalmologist” can administer Avastin at the bedside has come under warranted criticism because of the potential pitfalls of improper technique.14-16
In our practice at Bascom Palmer/Jackson Memorial Hospital, we have the following technique. Intravitreal injection is performed on awake neonates at the bedside with a lid speculum and topical lidocaine and betadine drops. Avastin in a dose of 0.5 mL of 0.625 mg is administered with a 32-gauge needle at approximately 1.5-2.0 mm posterior to the limbus.
FUTURE OF AVASTIN
The future of ROP treatment in the anti-VEGF era looks promising. Especially for children who have responded poorly under the old paradigm of retinal ablation, bevacizumab provides an alternate therapy. For the first time in ROP management, we have a treatment that seems to promote even peripheral vascularization in some cases.
However, it is far from a perfect solution. One key aspect of treatment with bevacizumab is the issue of recurrence. As Moshfeghi and Berrocal pointed out in their editorial in Ophthalmology in July 2011,15 the time to recurrence between the Avastin group and laser group in BEAT-ROP was significantly different.
While laser succeeded or failed within nine weeks of therapy, stage 3+ ROP recurred up to seven months after Avastin injections in that study. Therefore, follow-up of children treated with Avastin must be significantly extended up to 80 weeks or beyond.15
CONCLUSION
The use of Avastin for the management of ROP is likely here to stay. Although the long-term side effects of this medication in a developing child are still unknown, the distinct advantages of a therapy that can be easily administered by a trained retina or pediatric specialist at the bedside is undeniable.
At the same time, the risks, including infection and retinal detachment, caution us not to forget about retinal ablative therapy, the only management that has been shown to be effective in randomized, controlled trials. The future of anti-VEGF therapy in ROP management looks promising, and its role might well be as an excellent adjunct or in combination with laser/cryotherapy. RP
REFERENCES
1. Mintz-Hittner HA, Kennedy KA, Chuang AZ. BEAT-ROP cooperative group:efficacy of intravitreal bevacizumab for stage 3+ retinopathy of prematurity. N Engl J Med. 2011;364:603-615.
2. Chen J, Smith LEH. Retinopathy of prematurity. Angiogenesis. 2007;10:133-140.
3. Darlow BA, Ells AL, Gilbert CE, Gole GA, Quinn GE. Are we there yet? Bevacizumab therapy for retinopathy of prematurity. Arch Dis Child Fetal Neonatal Ed. 2011 Dec 30. [Epub ahead of print]
4. Smith LEH. Pathogenesis of retinopathy of prematurity. Semin Neonatol. 2003;8:469-473.
5. Sonmez K, Drenser KA, Capone A Jr, Trese MT. Vitreous levels of stromal cell-derived factor 1 and vascular endothelial growth factor in patients with retinopathy of prematurity. Ophthalmology. 2008;115:1065-1070.
6. Mintz-Hittner HA, Best LM. Antivascular endothelial growth factor for retinopathy of prematurity. Curr Opin Pediatr. 2009;21:182-187.
7. Multicenter trial of cryotherapy for retinopathy of prematurity. Preliminary results. Cryotherapy for Retinopathy of Prematurity Cooperative Group. Arch Ophthalmol. 1988;106:471-479.
8. Early Treatment For Retinopathy Of Prematurity Cooperative Group. Revised indications for the treatment of retinopathy of prematurity: results of the early treatment for retinopathy of prematurity randomized trial. Arch Ophthalmol. 2003;121:1684-1696.
9. Law JC, Recchia FM, Morrison DG, Donahue SP, Estes RL. Intravitreal bevacizumab as adjunctive treatment for retinopathy of prematurity. J AAPOS. 2010;14:6-10.
10. Sato T, Shima C, Kusaka S. Vitreous levels of angiopoietin-1 and angiopoietin-2 in eyes with retinopathy of prematurity. Am J Ophthalmol. 2011;151:353-357.
11. Micieli JA, Surkont M, Smith AF. A systematic analysis of the off-label use of bevacizumab for severe retinopathy of prematurity. Am J Ophthalmol. 2009;148:536-543.
12. Lalwani GA, Berrocal AM, Murray TG, et al. Off-label use of intravitreal bevacizumab (Avastin) for salvage treatment in progressive threshold retinopathy of prematurity. Retina. 2008;28:S13-S18.
13. Tasman W. Retinopathy of prematurity: do we still have a problem? The Charles Schepens Lecture. Arch Ophthalmol. 2011;129:1083-1086.
14. Raizada S, Al Kandari J, Al Sabti K. Will the BEAT-ROP study results really beat ROP? Invest Ophthalmol Vis Sci. 2011;52:9288-9289.
15. Moshfeghi DM, Berrocal AM. Retinopathy of prematurity in the time of bevacizumab: incorporating the BEAT-ROP results into clinical practice. Ophthalmology. 2011;118:1227-1228.
16. Azad R. Use of intravitreal anti-VEGF: Retinopathy of prematurity surgeons' in Hamlet's dilemma? Indian J Ophthalmol. 2011;59;421-422.
17. Jang SY, Choi KS, Lee SJ. Delayed-onset retinal detachment after an intravitreal injection of ranibizumab for zone 1 plus retinopathy of prematurity. J AAPOS. 2010:14:457-458.
| Vishak J. John, MD, is an instructor in the Department of Ophthalmology at the Bascom Palmer Eye Institute in Miami. Ditte Hess, CRA, is an ophthalmic photographer at Bascom Palmer. Audina M. Berrocal, MD, is associate professor of clinical ophthalmology, with a secondary appointment in the Department of Pediatrics, at Bascom Palmer. Neither author reports any financial interests in any products mentioned in this article. Dr. John can be reached via e-mail at v.john2@miami.edu. |







