The Role of Widefield Angiography in the Diagnosis and Management of Retinal Vascular Disease
MATTHEW M. WESSEL, MD · ANTON ORLIN, MD · SZILÁRD KISS, MD
Retinal vascular diseases comprise a wide array of pathologies that can have extensive ocular morbidity for affected patients. Fundus photography and fluorescein angiography (FA) have long served to aid physicians in the evaluation, management, and documentation of these disorders.
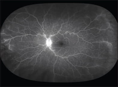
The majority of these diseases, such as diabetic retinopathy, hypertensive retinopathy, central retinal vein occlusion, and ocular ischemic syndrome, may affect the entire retina. Other diseases, however, including sickle cell retinopathy and Coats disease, may only present with changes in the retinal periphery, making imaging more difficult (Figure 1).
With recent technological advances in widefield and ultra-widefield imaging, however, we are expanding our ability to image the anterior retina and are gaining a new understanding of the role of these technologies in the management of retinal disease.
HISTORICAL PERSPECTIVE
The first reliable fundus camera, which provided a 20° fundoscopic image, was developed by Carl Zeiss and J. W. Nordensen in 1926.1 Years later, Carl Zeiss Company expanded the field of view to 30°.1
Since it was developed by Novotny and Alvis in 19612 and later popularized by Gass in 1967,3 fluorescein angiography has served to complement fundus photography. While fundus imaging of the posterior pole became commonplace, obtaining more peripheral views remained challenging due to the restraints imposed by the physical properties of the eye.
|
Matthew M. Wessel, MD, Anton Orlin, MD, and Szilárd Kiss, MD, serve on the faculty of the Weill Cornell Medical Center in New York. None of the authors reports any financial interests in any of the products mentioned in this article. Dr. Kiss can be reached via e-mail at szk700i@med.cornell.edu. |
Figure 1. A widefield angiogram of a patient with Coats disease, demonstrating peripheral neovascularization and capillary dropout that could potentially be missed with traditional imaging (imaged with the Optos 200 Tx).
In the 1970s, Pomerantzeff developed the Equator-Plus camera,4 a wide-angle camera that used scleral transillumination and a contact lens to obtain an approximately 148° field of view. While he and his colleagues obtained satisfactory results, details in a few cases were limited due to glare at the site of transillumination.5
Another method that became popular was performing multiple photographic sweeps of the peripheral retina and combining these images into a mosaic, a technique that could capture up to a 100° field of view.6 The Early Treatment of Diabetic Retinopathy Study (ETDRS) research group combined multiple 30° fundus images to obtain a 75° montage image,7 which has served as the standard image used in the evaluation of most retinal vascular disorders.
While digital imaging and computer software have made the creation of mosaics easier, this technology is not ideal for a dynamic imaging process, such as FA, as the images can only be combined from different time points.
Figure 2. A widefield angiogram of proliferative diabetic retinopathy showing extensive peripheral capillary dropout and peripheral perivascular leakage (imaged with the Optos 200 Tx).
In addition to traditional film and digital cameras, another retinal imaging modality, scanning laser ophthalmoscopy, was developed in the early 1980s based on the standard scanning laser microscope.8-9 SLO, especially when equipped with a confocal aperture, was shown to offer excellent performance compared to conventional systems.10
CURRENT WIDEFIELD TECHNOLOGY
Other than creating montages, there are two additional methods of obtaining peripheral views of the retina: using a special lens in conjunction with a small-angle camera; and using a dedicated wide-angle camera system.
Accessory contact and noncontact lenses have been used to increase the field of view of both conventional fundus cameras and SLO systems since the early 1980s,11 with the contact lenses providing the largest fields of view. Recently, the combination of a contact widefield lens, the Ocular Staurenghi 230 SLO Retina Lens (Ocular Instruments, Bellevue, WA), and an SLO system has been demonstrated to provide up to a 150° field of view.12
When used with a system such as the Heidelberg Spectralis (Heidelberg Engineering, Dossenheim, Germany), it is possible to obtain widefield fluorescein and indocyanine green angiography and autofluorescence images.
Beyond the traditional small-angle imaging cameras, several more recently developed systems that provide a widefield view of the fundus are available. Two of these technologies, the RetCam 20 (Clarity Medical Systems, Inc., Pleasanton, CA) and the Panoret-1000 (CMT Medical Technologies Inc., Valley Stream, NY) are portable wide-angle camera systems.
The RetCam, first introduced in 1997, uses a fiberoptic light source and a contact lens, and with its widest-angle lens attachment, it can provide up to a 130° field of view. The technology is best suited for neonates and infants, and it has been used extensively in the evaluation of pediatric disorders, such as retinopathy of prematurity and familial exudative vitreoretinopathy.
Figure 3. BRVO as demonstrated by widefield angiography. Given that more peripheral nonperfusion is visible, widefield angiography may be able to classify vein occlusions more accurately (imaged with the Optos 200 Tx).
However, given that even minor lens opacities can significantly degrade image quality, the RetCam has limited utility in adults with less clear crystalline lenses. The Panoret-1000, which uses scleral transillumination similar to the Equator-Plus camera, has less difficulty with lens opacities and is therefore more suitable for adult patients.13
Another widefield imaging device, the Optos Optomap (Optos PLC, Dunfermline, United Kingdom), developed in 2000, was the first camera capable of producing a 200° field of view (roughly 82.5% of the total retinal surface area).14 To achieve this “ultra-widefield” image, the Optos device utilizes an ellipsoid mirror and SLO technology, utilizing both a red and a green laser.14
The latest Optos system, like the aforementioned Heidelberg combined with Staurenghi lens, is capable of obtaining fundus autofluorescence, as well as fluorescein and indocyanine green angiography.
ROLE OF WIDEFIELD IMAGING IN RETINAL VASCULAR DISEASE
Since Gass popularized FA,3 it has helped to expand our understanding of many retinal vascular disorders, and has helped in the evaluation and management of these diseases. Given the difficulty in imaging the peripheral retina, most angiography has focused on the posterior pole. However, as widefield and ultra-widefield angiography becomes more widely used, the understanding is growing that peripheral pathology might play an even more significant role in the management of these diseases.
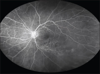
Figure 4. A widefield angiogram of a patient with nonischemic CRVO. Note the peripheral perivascular leakage that may not have been visible with traditional imaging. This patient may warrant closer follow-up (imaged with the Optos 200 Tx).
Diabetic Eye Disease
Diabetic retinopathy is one of the leading causes of blindness among adults, accounting for approximately 5% of global blindness.15 Most of our treatment paradigms for diabetic retinopathy are based on studies done more than 30 years ago, which did not have the luxury of wide-field imaging.
Since Friberg and Forrester first described ultra-wide-field angiography in 2004,16 it has been used to evaluate diabetic retinopathy in many retrospective studies.17-21 A recent study showed that ultra-widefield imaging can demonstrate more than double the amount of retinal pathology, such as nonperfusion and neovascularization, when compared with the seven-standard fields (7SF) developed in the ETDRS. In fact, in roughly 10% of eyes, widefield imaging showed areas of neovascularization and nonperfusion that would have been missed by 7SF.19
Given that angiography is far more sensitive than clinical examination for identifying neovascularization, wide-field imaging may help to better classify patients with proliferative disease, which would subsequently change the management of these patients.
Widefield angiography also allows for better evaluation than small-angle angiograms of peripheral pathology, such as retinal nonperfusion and perivascular leakage, which may have important implications for posterior-pole pathology (Figure 2).
It was recently demonstrated that peripheral retinal ischemia was significantly correlated with diabetic macular edema, suggesting that treatment of peripheral disease may one day be considered a treatment option for DME.20 A different study showed that perivascular leakage, as demonstrated by widefield imaging, was associated with neovascularization and possibly with macular edema.21
Given that neither the degree of retinal nonperfusion nor perivascular leakage was used as a criterion in ETDRS or the Diabetic Retinopathy Study, these markers of disease pathology may play an important role in our future management of diabetic retinopathy, and future studies may help elucidate their importance.
Because widefield imaging can visualize nonperfusion so well, some investigators are using widefield technology to evaluate new treatment options.
Because panretinal photocoagulation, which is used in treating proliferative disease, can have significant morbidity (loss of peripheral vision, decreased night vision, macular edema),22-23 physicians are starting to evaluate targeted laser treatment (TRP) of peripheral nonperfusion.24
In 2011, Muqit et al. used ultra-widefield angiograms to guide the application of TRP. They showed promising results when compared to traditional PRP, with an acceptable safety profile.25 We could see a change in our future treatment protocols for diabetic disease as we gain more understanding of the role of peripheral disease in diabetic retinopathy and more experience with outcomes of newer, potentially less destructive treatment options, such as TRP.
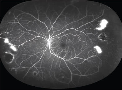
Vein Occlusion
Central and branch RVOs are also starting to be investigated to a greater extent with widefield angiography.26 Similar to diabetic retinopathy, most of the treatment paradigms for these diseases were based on studies completed 20 to 30 years ago. Unlike diabetes, however, vein occlusions were classified as ischemic and nonischemic based on the amount of retinal nonperfusion.
Given the extent of non-perfusion that can be visualized with widefield imaging (Figure 3), it is understandable that more accurate classification could be made with this newer technology. Similar to the above-mentioned study on peripheral diabetic pathology, we may now be able to visualize peripheral nonperfusion or perivascular leakage in RVO that would have been missed with traditional imaging (Figure 4). In fact, some investigators are using widefield angiography to develop an “ischemic index” (amount of nonperfused to total visualized retina) to classify eyes with CRVO better.
Tsui et al. showed that in patients with CRVO, eyes that developed neovascularization demonstrated a significantly greater ischemic index than eyes with a lower ischemic index.27 Using widefield technology, prospective studies may show that earlier treatment of at-risk eyes could improve outcomes in patients with CRVO.
As in diabetes, peripheral retinal pathology in RVO may have important implications for posterior-pole pathology. While most of the recent attention has focused on the dramatic impact of intravitreal treatment on macular edema secondary to these diseases, it is possible that one of the important causes of edema in some of these patients may be peripheral ischemia.
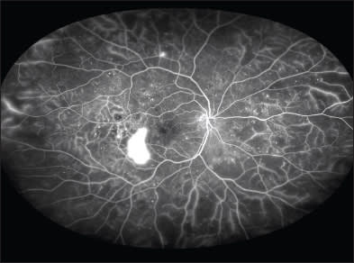
In patients with refractory macular edema who showed limited response to anti-VEGF and steroid treatments, widefield imaging may show areas of nonperfusion that could be contributing to vascular leakage (Figure 5). Prospective studies would be necessary to validate whether treatment of these peripheral areas (with TRP, for example) could benefit these patients.
Retinopathy of Prematurity and Pediatric Disease
Widefield imaging has become more common for imaging retinopathy of prematurity. Several telemedicine studies have shown that widefield imaging, specifically with the RetCam, shows good correlation with indirect ophthalmoscopy for treatment-requiring ROP.28-31 The authors of these studies suggest that incorporating widefield imaging with telemedicine in ROP management could possibly improve access, delivery, and cost of care.
Similar to other retinal vascular diseases, it is also reasonable to assume the widefield angiography may serve as a useful adjunct in the treatment of pediatric diseases, such as ROP and familial exudative vitreoretinopathy, both of which can require extensive laser treatment. Future studies will have to assess the role of widefield angiography in these disorders.
Other Retinal Vascular Diseases
Similar to diabetes and vein occlusions, almost all retinal vascular disease may benefit from imaging of the peripheral retina. Certain retinal vascular diseases, such as sickle cell retinopathy and Coats disease, usually demonstrate peripheral pathology that may be missed entirely by only imaging the posterior pole.
Figure 5. A patient with BRVO with macular edema that is refractory to intravitreal injections. A widefield angiogram could be useful in a targeted laser photocoagulation treatment (imaged with the Optos 200 Tx).
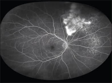
Figure 6. A dramatic widefield angiogram of a patient with sickle cell disease and neovascularization with no posteriorpole findings (imaged with the Optos 200 Tx).
The benefit of using widefield angiography for the evaluation and management of sickle cell retinopathy was described by Cho in 2011.32 In that sickle disease can cause dramatic peripheral changes that can lead to vitreous hemorrhage and retinal detachment, using widefield angiography to complement examinations in identifying and treating at-risk patients could have important clinical implications (Figure 6).
Widefield imaging could also aid in the earlier detection of peripheral pathology in Coats disease before vitreous hemorrhage or exudate threatens central vision (Figure 7).
LIMITATIONS
Although widefield imaging offers significant benefits, it does have important limitations. First, it is difficult to use ultra-widefield images to provide accurate measurements of peripheral pathology, due to the constraint of having to represent a three-dimensional object in two dimensions, as well as because the imaging technology can create peripheral aberrations.
Another limitation is that the two lasers cannot provide the same quality color representation of more traditional light-based systems. Widefield systems that use contact lenses can be more difficult to operate and may lead to corneal irritation, abrasions, or temporary blurring of vision.
Finally, it is important to remember that widefield imaging does not capture the entire retina and should not be used as a replacement for indirect ophthalmoscopy with scleral depression.
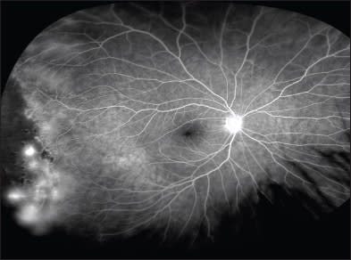
Figure 7. A widefield angiogram of a patient with Coats disease, who only demonstrated peripheral pathology likely to be missed with small-angle cameras (imaged with the Optos 200 Tx).
FUTURE DIRECTIONS
In the past decade, a number of significant advancements in peripheral retinal imaging have emerged, and new technologies continue to be developed. Heidelberg Engineering recently announced the development of a noncontact widefield lens that can easily attach to their systems,33 and the current widefield systems continue to be improved.
Similar to how the RetCam has shown potential for use in telemedicine and the screening of retinopathy of prematurity, so too might patients with other retinal vascular diseases benefit from widefield systems. As widefield imaging becomes more prevalent, clinical experience and future studies will hopefully further our understanding of how these systems are best used in the management and treatment of retinal vascular disease. RP
REFERENCES
1. Ciardella A, Brown D. Wide field imaging. In: Agarwal A, ed. Fundus Fluorescein and Indocyanine Green Angiography: A Textbook and Atlas. Thorofare, NJ; Slack Inc.; 2007:79-83.
2. Novotny HR, Alvis DL. A method of photographing fluorescence in circulating blood in the human retina. Circulation. 1961;24:82-86.
3. Gass JDM, Sever RJ, Sparks D, et al. A combined technique of fluorescein fundoscopy and angiography of the eye. Arch Ophthalmol. 1967;78:455-461.
4. Pomerantzeff O. Equator-plus camera. Invest Ophthalmol. 1975;1401-1406.
5. Ducrey N, Pomerantzeff O, Schepens CL, et al. Clinical trials with the equator-plus camera. Am J Ophthalmol. 1977;840-846.
6. Lotmar W. A fixation lamp for panoramic fundus pictures. Klin Monbl Augenheilkd. 1977;170:767-774.
7. Diabetic retinopathy study. Report Number 6. Design, methods, and baseline results. Report Number 7. A modification of the Airlie House classification of diabetic retinopathy. Invest Ophthalmol Vis Sci. 1981;21(1 Pt 2):1-226.
8. Webb RH, Hughes GW, Pomerantzeff O. Flying spot TV ophthalmoscope. Appl Opt. 1979;19:2991-2997.
9. Webb RH, Hughes GW, Delori FC. Confocal scanning laser ophthalmoscope. Appl Opt. 1987;26:1492-1499.
10. Wilson T, Sheppard CJR. Theory And Practice of Scanning Optical Microscopy. London, United Kingdom; Academic Press; 1984.
11. Noyori KS, Chino K, Deguchi T. Wide field fluorescein angiography by use of contact lens. Retina. 1983;3131-134.
12. Staurenghi G, Viola F, Mainster MA, et al. Scanning laser ophthalmoscopy and angiography with a wide-field contact lens system. Arch Ophthalmol. 2005; 123:244-252.
13. Shields CL, Materin M, Shields JA. Panoramic imaging of the ocular fundus. Arch Ophthalmol. 2003;121:1603-1607.
14. Atkinson A, Mazo C. Imaged area of the retina. Data on file, Optos.
15. World Health Organization. Global Initiative for the Elimination of Avoidable Blindness: Action Plan 2006-2011. Geneva, Switzerland; World Health Organization; 2007.
16. Friberg TR, Forrester JV. Ultrawide angle (200°+) fluorescein angiography using a modified Optos panoramic200TM imaging system. Invest Ophthalmol Vis Sci. 2004;45:E-Abstract 3001-B636.
17. Win PH, Young TA. Optos Panoramic200A fluorescein angiography for proliferative diabetic retinopathy with asteroid hyalosis. Semin Ophthalmol. 2007;22: 67-69.
18. Kaines A, Oliver S, Reddy S, Schwartz SD. Ultrawide angle angiography for the detection and management of diabetic retinopathy. Int Ophthalmol Clin. 2009;49:53-59.
19. Wessel MM, Aaker GD, Parlitsis G, et al. Ultra-wide-field angiography improves the detection and classification of diabetic retinopathy. Retina. 2012;32:785-791.
20. Wessel MM, Nair N, Aaker GD, et al. Peripheral retinal ischaemia, as evaluated by ultra-widefield fluorescein angiography, is associated with diabetic macular oedema. Br J Ophthalmol. 2012;96:694-698.
21. Oliver SC, Schwartz SD. Peripheral vessel leakage (PVL): a new angiographic finding in diabetic retinopathy identified with ultra wide-field fluorescein angiography. Semin Ophthalmol. 2010;25:27-33.
22. Pahor D. Visual field loss after argon laser panretinal photocoagulation in diabetic retinopathy: full-versus mild-scatter coagulation. Int Ophthalmol. 1998;22: 313-319.
23. Henricsson M, Heijl A. The effect of panretinal laser photocoagulation on visual acuity, visual fields and on subjective visual impairment in preproliferative and early proliferative diabetic retinopathy. Acta Ophthalmol (Copenh). 1994;72: 570-575.
24. Reddy S, Hu A, Schwartz SD. Ultra wide field fluorescein angiography guided targeted retinal photocoagulation (TRP). Semin Ophthalmol. 2009;24:9-14.
25. Muqit MM, Marcellino GR, Henson DB, et al. Optos-guided pattern scan laser (Pascal)-targeted retinal photocoagulation in proliferative diabetic retinopathy. Acta Ophthalmol. 2011 Dec 16. [Epub ahead of print]
26. Prasad PS, Oliver SC, Coffee RE, et al. Ultra wide-field angiographic characteristics of branch retinal and hemicentral retinal vein occlusion. Ophthalmology. 2010;117:780-784.
27. Tsui I, Kaines A, Havunjian MA, et al. Ischemic index and neovascularization in central retinal vein occlusion. Retina. 2011;31:105-110.
28. Chiang MF, Wang L, Busuioc M, et al. Telemedical retinopathy of prematurity diagnosis: Accuracy, reliability, and image quality. Arch Ophthalmol. 2007; 125:1531-1538.
29. Photographic Screening for Retinopathy of Prematurity (Photo-ROP) Cooperative Group. The photographic screening for retinopathy of prematurity study (photo-ROP). Primary outcomes. Retina. 2008;28(Suppl 3):S47-S54.
30. Dhaliwal C, Wright E, Graham C, et al. Wide-field digital retinal imaging versus binocular indirect ophthalmoscopy for retinopathy of prematurity screening: A two-observer prospective, randomised comparison. Br J Ophthalmol. 2009;93:355-359.
31. Dai S, Chow K, Vincent A. Efficacy of wide-field digital retinal imaging for retinopathy of prematurity screening. Clin Experiment Ophthalmol. 2011;39: 23-29.
32. Cho M, Kiss S. Detection and monitoring of sickle cell retinopathy using ultra wide-field color photography and fluorescein angiography. Retina. 2011;31: 738-747.
33. Heidelberg Engineering. Heidelberg Engineering presents non-contact ultra-widefield angiography module for Spectralis and HRA models [press release]. Heidelberg, Germany; Heidelberg Engineering; August 24, 2012. Available at: http://www.heidelbergengineering.com/us/2012/08/24/29705/. Accessed August 29, 2012.







