RPS: From the Podium to the Practice
The first in a series of articles covering the 2012 Retinal Physician Symposium.
Andrew E. Mathis, PHD, Medical Editor
The 8th annual Retinal Physician Symposium was held this spring in Miami Beach, offering subspecialists the opportunity to share their latest findings. In this first of a series of articles covering presentations made at the symposium, we offer a sampling of the cutting-edge research in retina, including data on clinical trials, imaging and practice management.
K. BAILEY FREUND ON RARE RETINAL DISORDERS
The first presentation of Thursday's session, by K. Bailey Freund, MD, of Vitreous-Retina-Macula Consultants of New York, focused on how new imaging techniques can be helpful in diagnosing unusual retinal disorders.
Dr. Freund began with a case in which he found ultra widefield angiography helpful. A 39-year-old African-American woman presented for a second opinion after a routine examination detected what appeared to be a proliferative angiomatous mass on fundus photography. Her laboratory workup was normal. Her fluorescein angiogram showed some telangiectasia and nonperfusion.
Ultra widefield FA revealed capillary telangiectasia, ischemia and leakage, and the fellow eye showed similar findings, leading to a suspicion of bilateral Coats disease. However, given that Coats disease is uncommon in females and rarely bilateral, Dr. Freund sent the patient's blood for DNA analysis that led to a diagnosis of faciocapulohumeral muscular dystrophy (FSHD). Between 60% and 70% of patients with FSHD will have this type of telangiectasia, which was the only finding of the disease in this patient.
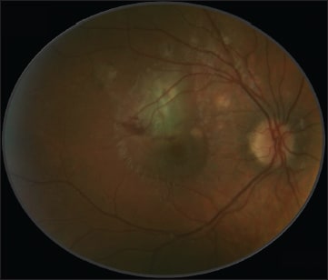
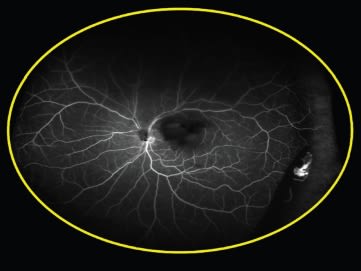
The second case Dr. Freund presented also used ultra widefield FA. This patient, a 55-year-old white woman, presented with what appeared to be posterior vitreous detachment–related symptoms, including the sudden onset of floaters related to a vitreous hemorrhage (Figure 1). The ultra widefield FA revealed instead that the problem arose from neovascularization related to peripheral nonperfusion; the fellow eye showed the same problem (Figures 2 and 3).
Figure 1. In this 55-year-old white woman, there was the appearance of a vitreous hemorrhage.
Figure 2. Ultra-widefield FA revealed neovascularization related to peripheral nonperfusion.
Figure 3. The fellow eye of the patient from Figures 1 and 2 also showed peripheral nonperfusion.
Dr. Freund showed pre- and post-treatment figures of both eyes (Figure 4) to demonstrate how he targeted only the ischemic areas with laser, avoiding the perfused areas. The neovascularization regressed in both eyes.
Figure 4. Pre- (left) and post-treatment (right) images from the same patient.
Next, Dr. Freund presented cases in which he used spectral-domain OCT and enhanced-depth imaging (EDI)-OCT. The first two were presented together, as they were cases in which wide-angle photography and FA suggested either peripheral retinal detachment or schisis. The cases were clarified with SD-OCT (Figures 5 and 6).
Figure 5. On fundus photography, this case resembled schisis or a retinal detachment. SD-OCT revealed schisis.
Figure 6. On SD-OCT, a case resembling schisis can be distinguished as a retinal detachment.
The next case was of a 72-year-old woman with a red-orange lesion on the inferior pole of the optic nerve (Figure 7). Multimodal imaging was inconclusive (Figure 8). EDI-OCT revealed that the lesion was caused by an entity first described by Dr. Freund now known as peripapillary choroidal thickening and cavitation.
Figure 7. This 72-year-old woman had a red-orange lesion on the inferior pole of the optic nerve.
Figure 8. Multimodal imaging of the same patient as in Figure 7. This imaging was inconclusive.
In the third OCT case, SD-OCT proved helpful in diagnosing a case of achromatopsia. In the fourth, an 87-year-old man who had undergone cataract surgery and was unhappy with the results. Fundus autofluorescence and SD-OCT were inconclusive. EDI-OCT enabled a diagnosis of age-related choroidal atrophy, a fairly common cause of vague visual complaints in the AMD population. The last OCT case was that of a 31-year-old woman with central scotomas diagnosed with acute macular neuroretinopathy.
The final cases Dr. Freund presented all involved multimodal imaging. The first such case involved a 58-year-old woman with a history of metastatic breast cancer whose FA revealed no leakage but for whom OCT revealed bilateral cystoid macular edema. The diagnosis was paclitaxel maculopathy, ie, maculopathy caused by the chemotherapeutic drug Taxol; the CME is reversible on drug discontinuation.
The second multimodal case was of a 52-year-old woman with an acquired vitelliform lesion in the left eye. Autofluorescence shows that the area was hyperautofluorescent, suggesting its origin in the photoreceptors. OCT showed a markedly thickened choroid in both eyes, leading to a diagnosis of an acquired vitelliform lesion related to chronic neurosensory detachment in a case of central serous chorioretinopathy (CSC).
The third case was a 57-year-old woman with rheumatoid arthritis with atrophic changes in the macula and bull's eye–type visual field loss seen with fundus autofluorescence. SD-OCT showed the “flying saucer sign” of hydroxychloriquine toxicity.
In the fourth multimodal case, a 24-year-old woman presented with acute vision loss in the left eye. The FA and OCT were characteristic for acute idiopathic maculopathy. The patient recovered quickly, and it was ultimately determined that this case arose as a result of hand-foot-mouth disease linked to infection with the Coxsackie virus.
The patient in the fifth multimodal case had a diagnosis of dry AMD, but multimodal imaging revealed a lack of features characteristic of dry AMD. The family history led to blood screening for a mitochondrial A3243G mutation and ultimately a diagnosis of maternally inherited diabetes and deafness.
Next was the case of a 16-year-old girl who presented with a scotoma and CNV, as well as yellowish lesions along the superotemporal arcade (Figure 9). FA showed active neovascularization which was seen better with indocyanine green angiography (Figure 10). With OCT, a diagnosis of multifocal choroiditis (Figure 11) with its inflammatory type of CNV was made.
Figure 9. This 16-year-old girl had a scotoma and CNV, as well as yellowish lesions along the superotemporal arcade.
Figure 10. Indocyanine green angiography showed neovascularization better than fluorescein.
Figure 11. OCT enabled a diagnosis of multifocal choroiditis with inflammatory CNV.
The seventh multimodal case was of a 23-year-old man with decreased vision who was diagnosed with Stargardt disease. The final case of Dr. Freund's presentation involved a 61-year-old man with a history of CSC presenting with floaters. The OCT was peculiar (Figure 12), with CME extending beyond the area of previous laser treatment. Indocyanine green angiography showed birdshot chorioretinopathy, which was confirmed with positive testing for HLA A29 (Figure 13).
Figure 12. This 61-year-old man had a peculiar OCT with CME extending beyond the area of previous treatment for CSC.
Figure 13. Indocyanine green angiography revealed birdshot chorioretinopathy; the patient tested positive for HLA A29.
JASON SLAKTER ON LUCENTIS
In a presentation on the afternoon of March 29, Jason S. Slakter, MD, of Vitreous-Retina-Macula Consultants of New York, provided an update on ranibizumab, with a particular emphasis on recent clinical trials. Dr. Slakter began by “going back in time” and reminding the audience that the initial interest in Avastin had arisen from early reports on Lucentis. He covered the preclinical history of ranibizumab, explaining how it was developed based on the needs of the retina community for a drug with several desired attributes, including low molecular weight and rapid systemic elimination.
Next Dr. Slakter briefly covered the MARINA and ANCHOR trials of ranibizumab, which compared the drug, respectively, to sham treatment and to photodynamic therapy. “I remember the first time I saw graphs like this,” he said, indicating the mean change in visual acuity seen in both trials with Lucentis. “It was the first time in my career that the visual acuity went up without then going down. It was a fundamental change in the way we looked at the management of AMD.” Further, he noted that, with ranibizumab, it was the first time that a translation was seen between the preclinical data for a drug and meaningful clinical data in patients.
Now, Dr. Slakter suggested, the question to ask is whether retinal physicians can do better? For instance, if the drug works well at one dose, would a higher dose work even better? Recalling the inflammatory effects seen with the original formulation of Lucentis as doses greater than 0.5 mg, he explained that a different formulation method for this dose was ultimately implemented that did not cause inflammation, ie, the formulation approved and in current use. Thus, higher doses could now be tested, therefore giving way to the HARBOR trial.
HARBOR was a 24-month phase 3 study enrolling 1,098 patients randomized to four arms that tested doses of 0.5 mg and 2.0 mg of ranibizumab, either given monthly or PRN after three loading doses. Dr. Slakter pointed out here that HARBOR was the first large-scale study of AMD to use spectral-domain OCT (SD-OCT) for outcomes measurements.
HARBOR also enrolled patients of any lesion type, distinguishing it from ANCHOR and MARINA, which enrolled only specific subtypes of CNV. Further, the eyes enrolled in the trial had to be essentially treatment-naïve. The endpoints studied with HARBOR were important, Dr. Slakter said, as there was an intent to understand whether the dosage and treatment administration regimens were different or equal in outcome over time. Therefore, the primary endpoints were assessed using either noninferiority or superiority assessments among the dosing regimens. Dr. Slakter's review of the baseline characteristics of the patients enrolled in HARBOR was brief, except to say that “randomization works” and that ultimately the four arms were enrolled in the manner that the study team had wanted. Further, the dropout rate was less than 10%, which was favorable for the patient population in general.
Turning to the HARBOR results, Dr. Slakter first noted that the mean change in BCVA from baseline to month 12 was positive in all four groups. The PRN groups improved statistically significantly less than the monthly dosing groups. Further, the PRN dosing groups were not noninferior to the monthly dosing groups, and the monthly 2.0-mg dosing was noninferior but not superior to the 0.5 mg monthly group.
“Essentially,” Dr. Slakter said, “it didn't meet the primary endpoints.” He was quick to note, however, that if the noninferiority criterion of the CATT trial had been used in HARBOR, the three experimental arms would have been noninferior to 0.5-mg monthly dosing. Nevertheless, he continued, “there's a lot you can get out of the study if you look at it.”
For instance, the percentages of patients losing <15 ETDRS letters were very good across the board, as were the proportions gaining ≥15 letters, with monthly dosing seeming slightly superior. Regarding mean changes in central field thickness as measured by SD-OCT, the four groups performed similarly.
Other endpoints, such as macular volume on SD-OCT, lesion size, and CNV area on fluorescein angiography, were available for the study. A trend emerged, with the 2.0-mg monthly regimen outperforming the other regimens. This trend continued when examining mean change in total area of leakage from CNV, as measured by fluorescein angiography.
“Let's take a step back for a minute,” Dr. Slakter said here. “The primary endpoints weren't met, so the study is a statistical failure.” However, when the results from the 0.5 mg monthly arm of HARBOR were combined with the results with the same regimen from ANCHOR and MARINA, there was a correlation between the size of thelesion and the VA outcomes.
Subsequent statistical analysis identified a threshold lesion size of 4.34 disc areas, above which patients did not improve as much. Furthermore, predominantly classic lesions improved more than other types with monthly therapy while this same group performed the worst when PRN regimens were used.
“The simple reality is that patients are doing well with 0.5 mg doses,” Dr. Slakter said in conclusion. Further, he noted, with the introduction of aflibercept, poor responders to Lucentis now have another option. However, he did show a figure provided by Genentech of the Vision4 device being developed with the cooperation of ForSight, which will offer Lucentis in sustained delivery.
PRAVIN DUGEL ON ASC EFFICIENCY
During Saturday morning's session, Pravin U. Dugel, MD, managing partner of Retinal Consultants of Arizona in Phoenix, gave a presentation on new parameters for efficiency in ambulatory surgical centers (ASCs). Dr. Dugel began by polling the audience to determine how many surgeons were operating in ASCs; a majority were still practicing solely in hospitals.
Dr. Dugel suggested that there are two reasons why switching to an ASC should be considered: The first, he said, was political and related to reimbursements, while the second was technical and related to the development of microincisional surgery.
Turning to the first issue, Dr. Dugel reviewed reimbursement rates for anterior-segment surgeries, implying that they have either remained stable or increased slightly. In comparison, facility reimbursements for vitrectomy surgeries performed in ASCs have steadily increased over the last five years (Figure 14).
Figure 14. Facility reimbursements for vitrectomy have steadily increased over the last five years.
This increase, Dr. Dugel said, “is because we're part of the solution. In this healthcare crisis, it's a lot cheaper for the government to have us operate in an ASC than it is to have us operate in a hospital.” He suggested that increasing reimbursements were a way for the government to incentivize the use of ASCs.
The second issue, the technological factors, Dr. Dugel continued, have impacted ASC development in that micro-incisional surgical techniques, while more difficult, can be completed more quickly — perhaps as much as 30% quicker (Figure 15). Further, instrumentation use has changed; growth in the use of disposable instruments, in particular, has resulted in higher costs (Figure 16).
Figure 15. Microincisional surgical techniques can be completed perhaps as much as 30% quicker.
Figure 16. Instrumentation use has changed with growth in the use of disposable instruments.
Here, Dr. Dugel cautioned that outfitting an ASC operating room can be expensive; costs range between $200,000 and $300,000 for setup, with the majority of the cost going toward the purchase of a vitrectomy machine (Figure 17). The question now being evoked, he said, is whether implementing an ASC is cost-effective.
Figure 17. ASC setup costs exceed $200,000, with the majority going toward the purchase of a vitrectomy machine.
To answer this question, Dr. Dugel addressed what he called two “myths” about ASCs. The first myth is that the surgeon must be very fast to succeed in an ASC. This myth is counterintuitive, he implied, because the facility should never determine the surgery. The surgeon should always do what is best for the patient.
In pursuing this issue of profitability, Dr. Dugel posed the following hypothetical question: if the ASC has a free hour and could put any type of surgeon in that hour, what subspecialty would be most profitable? Based on the ability of a retina surgeon to complete two procedures per hour, it is most profitable to put a retina surgeon in that hour, Dr. Dugel said (Figure 18).
Figure 18. If retina surgeons can complete two cases per hour, they will be the most profitable.
If the average surgical time for the retina surgeon is one case per hour, that surgeon will still be more profitable than any other surgeon, except for a cataract surgeon. Provided that the surgeon can perform, on average, one case in less than two hours, Dr. Dugel said, that surgeon will be profitable. Thus, the first myth is disproved.
The second myth, Dr. Dugel went on, is that the surgeon must operate cheaply to succeed in an ASC. Although he had been careful to indicate that certain conclusions he drew could not necessary be expanded to instruments and machinery other than those produced by Alcon, Dr. Dugel said that the greater efficiency with Alcon's products had ultimately required fewer staff, resulting in lower costs.
However, even if staff costs can be reduced, Dr. Dugel said, there is still the matter of laying out between $90,000 and $130,000 for a vitrectomy machine. The question is: are the newest vitrectomy machines (specifically the Alcon Constellation) profitable in a modern ASC?
Using an independent grant from Alcon and an external consulting firm (Quorum Consulting, San Francisco), Dr. Dugel tested whether acquiring the Alcon Constellation would be profitable. To determine the answer, he applied activity-based costing (ABC) to compare the cost-effectiveness of the Constellation vs the earlier Accurus model.
Going into the study, Dr. Dugel reported that he believed that the turnaround, setup, and tear-down times would be reduced but that the actual surgical times would remain the same. The ABC analysis looked at claims reports and timecard data to measure the number of patients seen and number of retina staff per time period, respectively.
Turning to the revenue observations (Figures 19 and 20), Dr. Dugel reported that while the number of retinal surgery days decreased as a result of acquiring the Constellation, the total number of patients, number of patients per day, total allowed payments, allowed payments per day, and average allowed payment for staff hour all increased.
Figure 19. Although the number of surgery days decreased, the average patients and claims per day both increased.
Figure 20. Key increases were seen in allowed amounts per day, per patient, and per staff hour.
In the time-card observations, there were no changes in the number of staff hours worked or the number of scrub technicians per day. Further, the average number of staff hours worked per day, average number of staff working per say, and registered nurse hours per day all increased, due to the increased patient volume. However, most importantly, the overall number of overtime hours decreased by almost 100% (Figure 21).
Figure 21. The overall number of overtime hours decreased by almost 100%.
Overtime had been reduced mainly as a result of the nurse being better able to handle paperwork in a timely manner as a result of no longer having to participate with the technician in turnaround procedures. While the average scrub tech total hours per day did not change, the average registered nurse total hours per day increased by 29%, largely as a result of regulations requiring the presence of a nurse.
In the end, Dr. Dugel's study found that his profit margin had increased by 57%. On a per-case basis, although the Constellation was more expensive, by reducing the number of staff and costs of overhead, it was more cost-effective (and ultimately more profitable) than the Accurus. The return on investment, not just the initial capital costs, must be evaluated. Dr. Dugel urged in particular that trying save on instrumentation costs and sacrificing patient care should never be considered. He emphasized that both patient care excellence and profitability can be achieved by evaluating the return on investment of the vitrectomy machine. Patient care must always remain the first priority and should never be compromised.
WHAT'S NEXT?
In coming issues of Retinal Physician, we will feature summaries of several more presentations from this year's symposium. The topics will include areas as varied as drug delivery for DME, future therapies for wet AMD, CNV subtype classifications, treatment and management of polypoidal choroidal vasculopathy, new laser techniques for diabetic retinopathy, clinical trial results on epimacular brachytherapy, treatments for dislocated intraocular lenses, new options for treating retinal vein occlusions, and more. In addition, keep an eye on the Events Calendar section of the magazine (page 60 of this issue) for the announcement of the 2013 Retinal Physician Symposium. RP







