Controversies in Managing Macular Edema Secondary to Retinal Vein Occlusion
How does ocular imaging guide treatment?
Daniel F. Kiernan, MD • Seenu M. Hariprasad, MD
Until recently, laser photocoagulation was the only treatment supported by data from large clinical trials for patients with macular edema secondary to branch retinal vein occlusion (BRVO),1-3 although there was no difference between treated and nontreated patients with macular edema secondary to central retinal vein occlusion (CRVO).4 Now that efficacy of intraocular injections of corticosteroid and anti-vascular endothelial growth factor agents has been shown for treating macular edema due to both of these conditions,5-8 these treatment options have overtaken clinical practices and dramatically changed the paradigm for treating these conditions.
REVIEWING THE MECHANISM OF RVO
The diagnosis of RVO can usually be made on the basis of the clinical examination alone, although adjunctive tests are often performed in order to facilitate the diagnosis. Fluorescein angiography may be performed to assess the severity of macular edema and perfusion status, and optical coherence tomography may be used to quantify macular edema and assess treatment response. In other conditions, including exudative age-related macular degeneration, OCT has been used to guide treatment on an “as-needed basis,” usually based on a specific retinal thickness or change in retinal thickness or due to the presence of intra- or subretinal fluid. Results from the PrONTO trial's variable-dosing regimens with intravitreal ranibizumab for neovascular AMD suggest that this paradigm may result in fewer injections with similar efficacy over time.9
However, transitioning this AMD data and treatment paradigm to RVO may not be feasible, as the pathophysiology and natural history may be different between these diseases, as well as diseases such as diabetic macular edema, Irvine-Gass syndrome and other inflammatory conditions.9 In both types of RVO, leakage is caused by a disruption due to pressure transmitted to the perifoveal capillaries and by a turbulent blood flow. An ischemic injury to the capillaries initiates the release of VEGF, which causes an inflammatory response. This process results in a breakdown of the inner blood-retinal barrier. Two subtypes, ischemic and nonischemic (perfused) macular edema, can be differentiated in both BRVO and CRVO eyes, and these subtypes have different prognostic implications for visual recovery.
Inflammation within the vascular wall plays a central role in the development of macular edema. Several inflammatory mediators (angiotensin 2, VEGF, prostaglandins, cytokines, chemokines, matrix-metalloproteinases, interleukins, P-selectin, E-selectin, vascular cell adhesion molecule-1, intercellular adhesion molecule-1) and inflammatory cells (macrophages, neutrophils) are present at the site and interact in a complex chain of reactions, the role of which has not been fully elucidated.10, 11
Unlike the PRONTO trial, patients in both the BRAVO and CRUISE RVO trials received monthly injections for six months before starting as-needed treatment. In BRAVO, 397 patients who had macular edema as a result of BRVO were randomly assigned to receive intraocular injections of 0.3 mg or 0.5 mg of ranibizumab or sham injections, and both groups receiving ranibizumab had better visual outcomes than the sham-injection group.7
The primary outcome—mean improvement in visual acuity at six months—was three lines in both ranibizumab groups as compared with one additional line in the sham-injection group. The gain of an additional three lines (≥15 letters) occurred at a rate of 61% in the group receiving 0.5 mg of ranibizumab and 55% in the group receiving 0.3 mg, as compared with 29% in the control group (P<.001). There were no significant differences in the incidence of systemic vascular events, including stroke, among the three groups. After six months, all patients (including controls) who had VA of 20/40 or worse or who had persistent macular edema were eligible to receive injections of ranibizumab. At six months, the improvements in vision gained by patients who had been randomly assigned to one of the ranibizumab groups were maintained, whereas controls who were subsequently treated with ranibizumab had a mean visual improvement of 12 letters (>2 lines) from baseline.
In the CRUISE trial, which included 392 patients with CRVO and macular edema, the proportion of patients with clinically significant improvement in visual acuity was higher in the ranibizumab groups than in the sham-injection group (46% of patients receiving 0.3 mg of ranibizumab and 48% of those receiving 0.5 mg vs 17% of those undergoing sham injections).8 Like the BRAVO trial,7 which assessed the same ranibizumab intervention in patients with BRVO and in those with CRVO, the CRUISE study showed no significant between-group differences in the incidence of systemic vascular events among the patients with CRVO, and the vision gain with ranibizumab treatment was maintained at six months.8
Although data for a longer duration than six months from the CRUISE and BRAVO clinical trials have not yet been released at this time, in our experience, after an initial six-month induction phase, as suggested by both studies, we have seen an initial loss of visual acuity when treatment deferment, based on OCT retinal thickness, became a consideration, as it did in the follow-up of BRAVO and CRUISE. Therefore, the question arises: What is the role of OCT in monitoring and treating this disease? The following are several scenarios illustrating important points for the management of macular edema due to RVO, including the way in which OCT was utilized.
CASE STUDIES
Case 1: The Early Bird Gets the Worm. A 65-year-old Caucasian woman with a history of hypertension and elevated cholesterol was referred in December 2008 for treatment and management of a CRVO in her right eye. She had previously received five bevacizumab injections in that eye and was told that she had “developed glaucoma” in that eye since then, and she was receiving topical timolol twice daily. She was extremely concerned about the financial burden she had experienced because of regular examinations, imaging and treatments.
On initial examination, her visual acuity was 20/60 and 20/25 in the right and left eyes, respectively. IOP was 12 mm Hg and 17 mm Hg in the right and left eyes, and the anterior examination demonstrated well-centered intraocular lenses in both eyes. The dilated examination revealed clear media, a cup-to-disc ratio of 0.25, retinal hemorrhages, macular edema, and dilated and tortuous vessels in the right eye. The left fundus exam showed a cup-to-disc ratio of 0.25 and mild hypertensive vasculature but was otherwise normal.
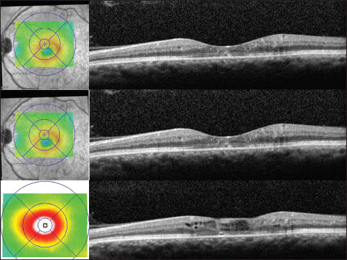
Her time-domain OCT showed CME, with a thickness greater than 500 µm (Figure 1, top). An intravitreal injection of bevacizumab was recommended at that time; however, the patient decided to wait, as she felt that her vision “hadn't changed much” with previous treatments.
Figure 1. Case 1: 65-year-old woman with macular edema due to CRVO. Time domain OCT demonstrating florid cystoid macular edema (top). Visual acuity was 20/60, and treatment was deferred by the patient. One month later, the visual acuity dropped to counting fingers, although the spectral domain OCT appearance was similar (bottom).
One month later, she returned for follow-up, complaining of decreased vision in the right eye. On examination, her VA had dropped to 20/400 in the right eye, despite a similar fundus and OCT appearance, although spectral-domain had replaced the time-domain OCT (Figure 1, bottom). At this point, she opted for the recommended treatment and had three monthly bevacizumab injections, before being enrolled in the Genentech Access Solutions program and receiving six consecutive monthly ranibizumab injections at reduced cost to her.
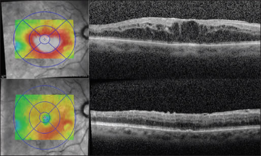
In November 2009, she presented with a visual acuity of counting fingers at two feet, with an SD-OCT appearance demonstrating persistent diffuse CME throughout the central macula (Figure 2, top). She received an intravitreal injection of dexamethasone (Ozurdex) and on follow-up OCT seven days later (per the package insert recommendations), her SD-OCT appearance was dramatically improved, with a visual acuity of 20/400 (Figure 2, bottom). On the most recent follow-up and after a total of 18 intravitreal anti-VEGF and two Ozurdex injections, with variable changes in her SD-OCT appearance, her VA remained counting fingers.
Figure 2. Case 1: SD-OCT shows diffuse CME throughout the central macula (top). Visual acuity was counting fingers. Seven days after an intravitreal injection of dexamethasone, SD-OCT was dramatically improved (bottom), with a visual acuity of 20/400.
A critical point of this case is that earlier treatment may have prevented the patient's visual loss, and OCT was not a sufficient method for gauging VA gain or duration of treatment effect. The appearance of OCT is similar in Figure 1 with greater than three lines of visual acuity difference; conversely, despite the fact that the retina regained a more physiologic appearance in Figure 2 after Ozurdex treatment, the visual acuity remained the same. The same treatment, instituted earlier, may have led to better long-term visual results. The patient's financial burden was obviously a factor in this case, but her loss of vision was certainly a high price to pay as well. Intravitreal drug manufacturer programs may be a vision-sparing option for such patients.
An interesting aside is that it was decided that the patient's optic nerve symmetry and appearance were not as compatible with glaucoma as may have been predicted by the outside doctor, therefore making intraocular steroids less of a relative contraindication.
Case 2: Friends in Anterior Places. A 63-year-old female had been followed since March 2005 for a BRVO in her left eye. She had received focal laser and sector scatter laser in the same eye. Since that time, her VA was 20/200 in her right eye, with nuclear sclerotic cataracts and a macular scar. She had been followed annually until February 2009, when the SD-OCT appearance (Figure 3, top) prompted a trial of intravitreal bevacizumab injections for three months, with the resultant appearance (Figure 3, bottom) and visual acuity unchanged at 20/200. Subsequently, the patient was referred for cataract extraction and intraocular lens placement, and on most recent follow-up had a visual acuity of 20/60 on her examination.
Figure 3. Case 2: A 63-year-old female with BRVO in the left eye, followed for four years. SD-OCT suggests the presence of subretinal fluid under the macular scar (top), and prompted a series of intravitreal injections. After three injections the fluid is reduced (bottom), although the visual acuity is unchanged. Following cataract extraction and intraocular lens placement, the visual acuity was 20/60 on most recent follow-up.
The points of this case are that: (1) new treatments have changed the treatment paradigm for RVO patients; (2) the SD-OCT appearance seemed to suggest the presence of subretinal fluid and prompted a series of injections without functional benefit; and (3) the SD-OCT may have even “distracted” the examiner from addressing a treatable cause of decreased vision earlier on and before exposing the patient to the risks of intravitreal injections.
Case 3: A Stitch in Time. A 73-year-old male was referred in May 2010 by an outside retina specialist for treatment of CRVO in both eyes. The right CRVO had occurred in February 2010 and had received two previous bevacizumab injections, and the left CRVO had occurred in April 2010 and had received one bevacizumab injection. On presentation, VA was 20/100 in both eyes, and the examination showed findings consistent with the presenting diagnosis, with SD-OCT confirming CME in the right eye and a relatively compact retina in the left eye (Figures 4 and 5, top) Especially because of the subjective and objective visual acuity, the patient subsequently received subsequent bilateral bevacizumab injections over the next two months. In July 2010, the visual acuity was 20/60 in the right eye and 20/50 in the left eye. The SD-OCT appearance (Figures 4 and 5, middle) demonstrated persistent CME in the right eye, and the same compact appearance to the left macula. Because of the visual improvement and lack of obvious CME on SD-OCT, treatment was deferred for the left eye, though continued for the right eye.
Figure 4. Case 3: A 73-year-old male with bilateral CRVO and CME. SD-OCT shows CME in the right eye (top) with a VA of 20/70. After two injections of Avastin, there was less subretinal fluid (middle) and VA was 20/60. After continued treatment, there was persistent CME and VA was still 20/60. However, after three more injections, the CME decreased, and VA was 20/40.
Figure 5. Case 3: SD OCT shows a relatively compact retina in the left eye (top) with a visual acuity of 20/70, and a similar appearance after two intravitreal injections of Avastin (middle) although a VA of 20/50. Treatment was then deferred, but one month later CME reaccumulated and VA dropped to 20/100 (bottom). After continued treatment, the CME decreased and VA was 20/50.
Four weeks later, the patient returned with a visual acuity of 20/60 in the right eye and 20/100 in the left eye, and SD-OCT demonstrating persistent CME in the right eye and new intraretinal fluid in the left eye (Figures 4 and 5, bottom). Bilateral intravitreal bevacizumab injections were performed, and continued monthly until most recent follow-up in March, 2011, when visual acuity was 20/40 in the right eye and 20/60 in the left eye. Bilateral intravitreal bevacizumab injections were performed and were continued monthly until the most recent follow-up in March 2011, when the patient's VA was 20/40 in the right eye and 20/60 in the left eye.
This case illustrates that as-needed dosing, based on visual stability and OCT retinal thickness, may be initially detrimental to VA and may potentiate a longer duration of visual recovery. On the most recent follow-up, this patient had not yet regained the VA originally achieved after consecutive, initial monthly injections in the right eye after just a single month's break. In contrast, the left eye had continued to gain ground and allowed the patient to return to the level needed for legal driving privileges.
Case 4: Ischemic Considerations. A 70-year-old Asian male with a history of diabetes mellitus, kidney transplant (on immunosuppressive therapy) and thrombocytopenia was referred to the retina service due to loss of vision and CRVO in his left eye two months after cataract surgery. Prior to referral, his VA was 20/25, and after presentation, it was counting fingers at two feet in the left eye. Also on examination, his IOP was 29 mm Hg, and he had neovascularization of the iris and in three quadrants of his angle on gonioscopic examination. The dilated fundus examination was consistent with CRVO with macular edema, and SD-OCT confirmed this (Figure 6, top).
Figure 6. Case 4: A 70-year-old Asian male with ischemic CRVO in the right eye. Large amount of CME and subretinal fluid is present (top). After two intravitreal Lucentis injections, retinal thickness decreased (middle). At most recent follow up after monthly injections, SD-OCT shows less CME (bottom) although the VA remained counting fingers the whole while.
He underwent panretinal laser photocoagulation and an intravitreal injection of ranibizumab in the left eye on the same day. Over the next two months, he received additional fill-in PRP and two more ranibizumab injections, with no change in his vision, although improvement in the retinal thickness on SD-OCT (Figure 6, middle). All iris and angle neovascularization regressed, and intraocular pressure normalized.
He received additional monthly ranibizumab injections, and on most recent follow-up, his visual acuity was still counting fingers, intraocular pressures were normal, and SD-OCT demonstrated considerable improvement in retinal thickness (Figure 6, bottom).
This is an uncommon, though typical enough, scenario for an ischemic RVO sequela. Nonperfused CRVO is suggested by vision that is worse than 20/200, a relative afferent pupil defect, and the presence of cotton-wool spots and large, confluent hemorrhages.12 Fluorescein angiography is commonly performed to assess the severity of macular edema and the perfusion status. OCT was used to quantify macular edema and assess treatment response.
The point of this case is that OCT played no role whatsoever in the decisional process in terms of treatment for the ischemic peripheral retina, nor did the improvement in any way correlate with the VA change. It did, however, act as a marker for demonstrating anatomic improvement and visible proof—for the physician, patient and his family—that the retinal appearance was improving with continued treatment.
CONCLUSION
Although administration of treatment as early on in the disease process as possible seems fairly clear cut from the recent intravitreal injection treatment trials, the decision to retreat or extend treatment is a very nebulous area. OCT has become a valuable adjunctive testing modality for clinical eye physicians, and especially for retinal specialists. SD-OCT provides extremely high-resolution retinal imaging, which can improve diagnostic capability and patient education. However, its role in guiding treatment decisions is not as obvious. Important aspects of these cases are that OCT is not a good way to gauge visual acuity gain or duration of treatment effect, and it should not distract the physician from other aspects of the ocular examination.
Although improved visual acuity often is associated with decreased retinal edema, this varies greatly, especially in RVO patients. The retinal appearance on OCT may change dramatically, with no visual acuity change or vice versa. Currently, although we usually image patients at every visit, OCT has very little role in the decision-making process in terms of deciding to reinject to treat macular edema, treat any ischemic peripheral retina, or serve as a prognostic indicator for visual acuity. However, OCT is still a very effective, noninvasive way to gauge anatomic improvement and acting as a marker for treatment progress that both the physician and patient can appreciate. RP
REFERENCES
1. McIntosh RL, Mohamed Q, Saw SM, Wong TY. Interventions for branch retinal vein occlusion: an evidence-based systematic review. Ophthalmology. 2007;114:835-854.
2. Mohamed Q, McIntosh RL, Saw SM, Wong TY. Interventions for central retinal vein occlusion: an evidence-based systematic review. Ophthalmology. 2007;114:507-519.
3. Lazo-Langner A, Hawel J, Ageno W, Kovacs MJ. Low molecular weight heparin for the treatment of retinal vein occlusion: a systematic review and meta-analysis of randomized trials. Haematologica. 2010;95:1587-1593.
4. The Central Vein Occlusion Study Group. Evaluation of grid pattern photocoagulation for macular edema in central vein occlusion: the Central Vein Occlusion Study Group M report. Ophthalmology. 1995;102:1425-1433.
5. Scott IU, Ip MS, VanVeldhuisen PC, et al. A randomized trial comparing the efficacy and safety of intravitreal triamcinolone with standard care to treat vision loss associated with macular edema secondary to branch retinal vein occlusion: the Standard Care vs Corticosteroid for Retinal Vein Occlusion (SCORE) study report 6. Arch Ophthalmol. 2009;7:1115-1128. [Erratum, Arch Ophthalmol 2009;7:1655.]
6. Haller JA, Bandello F, Belfort R Jr, et al. Randomized, sham-controlled trial of dexamethasone intravitreal implant in patients with macular edema due to retinal vein occlusion. Ophthalmology. 2010;117:1134.e3-1146.e3.
7. Campochiaro PA, Heier JS, Feiner L, et al. Ranibizumab for macular edema following branch retinal vein occlusion: six-month primary end point results of a phase III study. Ophthalmology. 2010;117:1102.e1-1112.e1.
8. Brown DM, Campochiaro PA, Singh RP, et al. Ranibizumab for macular edema following central retinal vein occlusion: six-month primary end point results of a phase III study. Ophthalmology. 2010;117:1124.e1-1133.e1.
9. Lalwani GA, Rosenfeld PJ, Fung AE, Dubovy SR, Michels S, Feuer W, Davis JL, Flynn HW Jr, Esquiabro M. A variable-dosing regimen with intravitreal ranibizumab for neovascular age-related macular degeneration: year 2 of the PrONTO Study. Am J Ophthalmol. 2009 Jul;148(1):43-58.e1.
10. Scholl S, Kirchhof J, Augustin AJ. Pathophysiology of macular edema. Ophthalmologica. 2010;224(Suppl 1):8-15.
11. Joussen AM, Smyth N, Niessen C. Pathophysiology of diabetic macular edema. Dev Ophthalmol. 2007;39:1-12.
12. Pasqualetti G, Danesi R, del Tacca M, Bocci G. Vascular endothelial growth factor pharmacogenetics: a new perspective for anti-angiogenic therapy. Pharmacogenomics. 2007;8:49-66.
13. Hayreh SS, Rojas P, Podhajsky P, Montague P, Woolson RF. Ocular neovascularization with retinal vascular occlusion. III. Incidence of ocular neovascularization with retinal vein occlusion. Ophthalmology. 1983;90:488-506.
| Daniel F. Kiernan, MD, is a vitreoretinal fellow at the Illinois Eye and Ear Infirmary of the Department of Ophthalmology, University of Illinois-Chicago. Seenu M. Hariprasad, MD, is an associate clinical professor of ophthalmology, director of clinical research and chief of the Vitreoretinal Service at the University of Chicago. Neither author reports any financial interest in any products mentioned in this article. Dr. Hariprasad can be reached at retina@uchicago.edu. |







