CASE STUDY
Review and Case Discussion: Aggressive Posterior Retinopathy of Prematurity
RYAN K. WONG, BA · SCOTT M. WARDEN, MD · THOMAS C. LEE, MD · R.V. PAUL CHAN, MD
Retinopathy of prematurity (ROP) is a potentially blinding proliferative disease of the retinal vasculature that affects premature infants with low birth weights. Appropriate care involves careful examinations of patients at risk for developing ROP and early treatment when necessary to reduce the risk of advanced disease. Aggressive posterior ROP (AP-ROP), sometimes referred to as Rush disease, is a rapidly progressive form of ROP.1 Clinicians should be keenly aware of this aggressive variant of ROP.
BACKGROUND
The landmark multicenter trial entitled Cryotherapy for ROP (CRYO-ROP) was critical for describing the natural progression of ROP. The study defined the "threshold" of the disease as when ablation to the peripheral avascular retina should be performed.2 Five consecutive or 8 cumulative clock hours of stage 3 ROP in zone 1 or 2 with plus disease qualified as threshold. At 10 years of follow-up, 44.4% of treated eyes vs 62.6% of observed eyes had visual acuity (VA) of less than 20/200 (27.2% vs 47.9% had unfavorable structural outcomes).3
Patients with zone 1 disease had particularly worse outcomes. The subset of CRYO-ROP patients with treated zone 1 ROP had a 94% rate of unfavorable VA outcome (20/200 or worse) and an 88% rate of unfavorable structural outcome.
The Early Treatment of Retinopathy study showed that treatment was beneficial for high-risk eyes that did not yet meet the CRYO-ROP criteria for threshold disease.4 These "type 1 ROP prethreshold" eyes were defined as: (1) zone 1, any stage of ROP, with plus disease; (2) zone 1, stage 3, without plus disease; or (3) zone 2, stage 2 or 3, with plus disease.
| Ryan K. Wong is a medical student at Weill Cornell Medical College of Cornell University in New York, NY. Scott M. Warden, MD, is instructor of ophthalmology at Weill Cornell. Thomas C. Lee, MD, practices in the the Vision Center, Children's Hospital Los Angeles, Keck School of Medicine, University of Southern California. R.V. Paul Chan, MD, is St. Giles Assistant Professor of Pediatric Retina and assistant professor of ophthalmology at Weill Cornell. The authors report no financial interests in any product mentioned in this article. Dr. Chan can be reached at (646) 962-2540. |
The trend toward early treatment of high-risk patients further emphasizes the importance for early detection of AP-ROP. The condition was highlighted in the 2005 updated classification of ROP and is considered the most virulent form of the disorder.1 AP-ROP occurs among the smallest of low-birth-weight babies. It is characterized by its posterior location, prominence of plus disease, and the ill-defined nature of the retinopathy.1 AP-ROP is usually found in zone 1 but can also occur in posterior zone 2 eyes. AP-ROP progresses rapidly into severe disease and may not follow the classic stages of typical ROP. The junction of vascular and avascular retina can be subtle and more easily overlooked during examinations. In addition, the neovascularization of AP-ROP is less obvious due to its growth along the retinal surface, rather than into the vitreous cavity.
DESCRIPTION OF A CASE
A male infant was born at 24 weeks gestation with a birth weight of 625 g. At 30 weeks, he was transferred to the authors' neonatal intensive care unit. Anterior-segment examination revealed prominent tunica vasculosa lentis OU. Dilated funduscopic examination revealed immature retina OU with no clear demarcation line. There was no plus disease. Examination 1 week later demonstrated early ROP with a demarcation line (stage 1) at zone 1 OU. One week later, repeat examination revealed striking progression of ROP. There was neovascularization of the iris (NVI) with associated poor dilation. Funduscopic examination revealed plus disease OU and flat stage 3 disease with scattered hemorrhages along the junction of vascular and avascular retina.
Informed consent for laser photocoagulation was obtained from the patient's parents. Given the poor dilation and significant NVI, intravitreal bevacizumab (Avastin, Genentech) was also discussed with the parents and presented as an option for treatment.
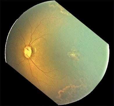
Retinal laser photocoagulation was performed at this time. The photocoagulation settings were: power 280-320 mW, irradiation time 200 ms, 2335 spots for the right eye, and 3205 spots for the left eye. Examinations over the next 7 days revealed improvement in NVI OS but mild hyphema and vitreous hemorrhage OD. The retina was flat OU. Due to the improved dilation of the left eye, patches of untreated avascular retina became visible. At 33 weeks, additional photocoagulation was performed OU (1573 spots OS, 500 spots OD, which was limited by hemorrhage and poor dilation). The use of a transcleral diode was attempted for the right eye. Examinations over the next 2 weeks revealed improvement in the plus disease and the NVI OS. The hyphema and vitreous hemorrhage also improved in the right eye. Due to better visualization, a third laser photocoagulation (1920 spots) was performed OD at 35 weeks. RetCam (Clarity Medical Systems, Pleasanton, CA) funduscopic images at 36 weeks are shown in Figures 1 and 2.
Figure 1. RetCam funduscopic image of the patient's right eye shows vitreous hemorrhage. There is regressed retinopathy of prematurity with a flat and stable border at the edge of vascularized retina. There is extensive peripheral chorioretinal scarring from prior laser treatments. Plus disease is no longer present.
Figure 2. RetCam funduscopic image of the patient's left eye reveals regressed retinopathy of prematurity with a flat and stable border at the edge of vascularized retina. There is extensive peripheral chorioretinal scarring from prior laser treatments. Plus disease is no longer present.
MANAGEMENT OF AP-ROP AND DISCUSSION
As shown above, AP-ROP can develop earlier and proliferate more rapidly than other forms of ROP. Laser photocoagulation should be performed within 72 hours of meeting the criteria for treatment. Visualization for laser photocoagulation may be limited due to hyphema, vitreous hemorrhage, and poor dilation consequent to NVI. Laser photocoagulation, however, should still be considered as initial treatment, even if an ideal view is not available. Transcleral diode laser ablation offers an external approach that can augment indirect laser in difficult cases. Clinicians should be aware that several laser sessions are often required for successful management of AP-ROP. This is necessary to treat additional avascular retina, which becomes detectable due to improved visualization and regression of neovascularization.
The role of anti-vascular endothelial growth factor (VEGF) agents in the treatment of AP-ROP and proliferative ROP is currently being studied. Mintz-Hittner et al. reported a case series of 11 patients examining the use of bilateral intravitreal injections of bevacizumab for treatment of stage 3 ROP in zone 1 and posterior zone 2.5 Infants with a mean birth weight of 706.4 g and a mean gestational age of 24.3 weeks were treated with single, bilateral intravitreal injections of bevacizumab alone (no laser treatments were used). With a mean follow-up of 48.5 weeks, the case series showed bevacizumab was successful in inducing regression of acute ROP and allowed continued normal vascularization of the peripheral retina. Additionally, none of the patients developed retinal detachment, macular ectopia, high myopia, or anisometropia. One of the patients had aggressive posterior ROP in zone 1, which, after treatment, showed a disappearance of the retinopathy and continued normal anterior retinal vascularization. The authors reported no local or systemic side effects in the case series. Similarly promising results were shown in a report by Quiroz-Mercado et al., who examined 18 eyes in 13 neonates with (1) stage 4a or 4b ROP in whom there was no response to conventional treatment; (2) threshold ROP for whom visualization of the retina was poor; or (3) high-risk prethreshold or threshold ROP. After intravitreal injection of bevacizumab and a mean follow-up of 6 months, the study showed neovascular regression in all patients (17 eyes), with 1 patient who had stage 4a ROP having spontaneous retinal reattachment. Again, there were no reports of serious ocular or systemic adverse events.6
Intravitreal injection of anti-VEGF agents in neonates offers potential advantages over laser treatment. These benefits include eliminating the direct effects of laser, which may include visual field loss secondary to retinal atrophy and myopia related to scleral weakening. Additionally, anti-VEGF therapy may offer a safer treatment option than blind external application of cryotherapy or laser photocoagulation in infants with rigid pupils or media too opaque for adequate visualization of the retina. Intravitreal injection can also cause regression of the proliferative component of ROP, leading to absorption of hemorrhage and improved visualization for subsequent laser therapy, if needed.
Intravitreal injections of anti-VEGF agents in neonates, however, do carry risk. Systemic effects of these medications are not known, particularly in newborns. The ocular effects may not always be beneficial either. Honda et al. reported a case of acute contraction and deterioration of a tractional retinal detachment after intravitreal bevacizumab.7 In their report, laser photocoagulation was performed on a 598 g neonate born at 23 weeks gestation who developed zone 1 stage 3 ROP with plus disease. After laser treatment, the ROP still progressed into partial tractional retinal detachment (stage 4a).
After thorough discussion of the risk and benefits, the parents consented to intravitreal bevacizumab to avoid a more extensive surgical procedure. The administration of bevacizumab resulted in regression of the neovascularization. However, contraction of the membrane led to deterioration and a funnel retinal detachment. The authors attributed this contraction to the effects of the bevacizumab. Therefore, they proposed that intravitreal injection of bevacizumab be recommended before stage 4 disease develops.
The surgical options for cases of ROP that progress despite initial treatment include lensectomy with vitrectomy, lens-sparing vitrectomy, or scleral buckle. Published studies on the surgical treatment of stage 4 or 5 ROP have demonstrated anatomic success rates of 47% to 94%,8-11 with the wide range most likely due to the different stages of ROP and variability in surgical techniques. Recently published reports on the surgical treatment of AP-ROP show a similarly wide range for anatomic success. Azuma et al. reported a case series with a 73% retinal reattachment rate in 22 eyes of 15 patients who underwent vitrectomy with or without lens sparing due to progression of disease despite previous laser treatment.12 Micelli Ferrari et al. also treated patients refractory to laser treatment, but they instead demonstrated a 100% retinal reattachment rate in 13 eyes of 9 patients after lens-sparing vitrectomy.13
CONCLUSION
Aggressive posterior ROP is an aggressive variant of ROP that has unique characteristics and can proliferate rapidly. It requires special attention by the ROP screener. Treatment involves early and, at times, consecutive laser photocoagulation sessions in qualifying eyes. Anti-VEGF agents may potentially play an increasing role as primary and/or adjunctive therapy in the future as additional studies become available. Results of surgical management for stage 4 and 5 ROP are quite variable. The goals for physicians who manage neonates with ROP are to prevent advanced disease by careful screening and offer early treatment when necessary. RP
REFERENCES
- An International Committee for the classification of retinopathy of prematurity. The international classification of retinopathy of prematurity revisited. Arch Ophthalmol. 2005;123:991-999.
- Cryotherapy for Retinopathy of Prematurity Cooperative Group. Multicentre trial for cryotherapy for retinopathy of prematurity: preliminary results. Arch Ophthalmol. 1988;106:471-479.
- Cryotherapy for Retinopathy of Prematurity Cooperative Group. Multicenter trial for cryotherapy for retinopathy of prematurity Ophthalmological outcomes at 10 years. Arch Ophthalmol. 2001;119:1110-1118.
- William VG. Early treatment of retinopathy of prematurity cooperative group. Final results of the Early Treatment of Retinopathy of Prematurity (ETROP) randomized trial. Trans Am Ophthalmol Soc. 2004;233-248.
- Mintz-Hittner HA, Kuffer RR Jr. Intravitreal injection of bevacizumab (Avastin) for treatment of stage 3 retinopathy of prematurity in zone I or posterior zone II. Retina. 2008;28:831-838.
- Quiroz-Mercado H, Martinez-Castellanos MA, Hernandez-Rojas ML, Salazar-Teran N, Chan RV. Antiangiogenic therapy with intravitreal bevacizumab for retinopathy of prematurity. Retina. 2008;28(Suppl):S19-S25.
- Honda S, Hirabayashi H, Tsukahara Y, Negi A. Acute contraction of the proliferative membrane after an intravitreal injection of bevacizumab for advanced retinopathy of prematurity. Graefes Arch Clin Exp Ophthalmol. 2008;246:1061-1063.
- Moshfeghi AA, Banach MJ, Salam GA, Ferrone PJ. Lens-sparing vitrectomy for progressive tractional retinal detachments associated with stage 4A retinopathy of prematurity. Arch Ophthalmol. 2004;122:1816-1818.
- Kono T, Oshima K, Fuchino Y. Surgical results and visual outcomes of vitreous surgery for advanced stages of retinopathy of prematurity. Jpn J Ophthalmol. 2000;44:661-667.
- Trese MT, Droste PJ. Long-term postoperative results of a consecutive series of stages 4 and 5 retinopathy of prematurity. Ophthalmology. 1998;105:992-997.
- Hubbard GB 3rd, Cherwick DH, Burian G. Lens-sparing vitrectomy for stage 4 retinopathy of prematurity. Ophthalmology. 2004;111:2274-2247.
- Azuma N, Ishikawa K, Hama Y, Hiraoka M, et al. Early vitreous surgery for aggressive posterior retinopathy of prematurity. Am J Ophthalmol. 2006;142:636-643.
- Micelli Ferrari T, Furino C, Lorusso VV, Dammacco R, et al. Three-port lens-sparing vitrectomy for aggressive posterior retinopathy of prematurity: early surgery before tractional retinal detachment appearance. Eur J Ophthalmol. 2007;17:785-789.







