PEER REVIEWED
Easily Misdiagnosed Retinal Entities
INNA ZHITOMIRSKY, BA. MARIA C. POZZONI, MD. LUCIA VITALE, MD
Is optic nerve drusen an optic nerve disease or is it a manifestation of a systemic disease? Can we prevent angioid streaks? At what dose of radiation is a patient at risk of developing radiation retinopathy?
Although recent years have brought great advances in research, mostly in the fields of genetics and molecular biology, our understanding of the pathophysiology of macular disorders such as angioid streaks and radiation retinopathy remains far from complete, and our ability to recognize and diagnose such disorders is vastly superior to our ability to treat them. Some pathologies are so poorly understood that we have struggled to classify them and, because clinicians are less likely to include these pathologies in their differential diagnoses, they can go unrecognized for years.
However, early recognition and diagnosis is crucial for all pathology, not only for prompt treatment, but also for the cause of patient education. Additionally, the clinical aspects of difficult-to-diagnose macular diseases can be useful tools to further our own knowledge of disease. Therefore, it is important to follow the progression of retinal findings in patients with disorders such as those discussed in this article. The pathologies that we describe here are angioid streaks, optic nerve drusen, radiation retinopathy, idiopathic perifoveal telangiectasia, and lacquer cracks.
ANGIOID STREAKS
Background
Angioid streaks are irregular, jagged, radiating lines that surround the optic disc and extend outward radially. They lie deeper than the retinal vessels and represent dehiscences in the collagenous and elastic portion of Bruch's membrane. These lines were first described in 1889 by Doyne and have a crackline appearance.1 In 1892, Knapp proposed to call them angioid streaks because they resembled vessels. They can vary in color depending on the pigmentary characteristics of the underlying choroid, from reddish orange to dark red or brown (Figures 1 and 2).
| Inna Zhitomirsky, BA, is a student at the New York University School of Medicine. Maria C. Pozzoni, MD, is an international fellow with Vitreous-Retina-Macula Consultants of New York and a staff member at Clinica de Ojos Dr. Nano in Buenos Aires, Argentina. Lucia Vitale, MD, is an international fellow with the Edward S. Harkess Eye Institute of the Columbia University College of Physicians & Surgeons in New York and a staff member at the University Eye Clinic of San Paolo Hospital in Milan, Italy. Ms. Zhitomirsky can be reached via e-mail at iz247@med.nyu.edu. |
|
|
Figure 1. This color picture reveals the irregular, dark colored, radiating lines that surround the optic disc (left).
Figure 2. The streaks appear as dark gray irregular lines in this red-free photo (right).
Epidemiology
Angioid streaks are rarely noted in children and develop in the second or third decade of life.1 They can occur as an isolated process or in association with systemic diseases. Several conditions have been found to be associated with the streaks, including: pseudoxanthoma elasticum (PXE), Paget disease, Ehlers-Danlos syndrome, and sickle-cell retinopathy.1 These diseases are genetically inherited, but because the underlying cause of angioid-streak formation is not completely known, we cannot predict which patients will manifest the retinal condition. Inheritance depends on the underlying condition. For instance, PXE is an autosomal recessive condition that maps on chromosome 16,2 and sickle-cell trait, Paget disease, and Ehlers-Danlos syndrome are autosomal dominant. Although angioid streaks have been observed in patients with other systemic diseases (eg, hereditary spherocytosis or abetalipoproteinemia), there is still no proven association regarding these disorders.3,4
Presentation and Prognosis
Patients with angioid streaks may be asymptomatic. Choroidal neovascularization (CNV) is the most serious complication and the most important cause of visual loss in these patients. These patients can have extensive hemorrhages, disciform degeneration, and hypertrophic scars, although spontaneous resolution has been seen.1,5
Pathophysiology
Histologically, angioid streaks represent visible cracks in Bruch's membrane that may be associated with alterations in the choriocapillaris circulation, although the fundamental biochemical alterations are still unknown. They often show extensive calcification.6 Fibrous tissue and/or capillary proliferation can grow through these dehiscences and can cause serous or hemorrhagic detachment.
Diagnosis
The characteristic findings on fluorescein angiography (FA) in patients with angioid streaks have been described by several authors.7-9 Imaging studies demonstrate that most streaks show irregular hyperfluorescence in the early phase of the angiogram and persist after the dye has disappeared from the retinal veins, indicating atrophy of the pigment epithelium. In other cases, the FA only shows hyperfluorescence at the streak borders and no, or limited, fluorescence centrally. In some patients, angioid streaks are not visible on FA. Angiography is especially helpful for the detection of choroidal neovascularization.
Lafaut et al.10 proposed that indocyanine green (ICG) angiography is superior to FA in the imaging of angioid streaks. Though in their study they found that ICG is indeed superior in finding CNV in patients with senile angioid streaks, Lafaut et al. concluded that in detecting CNV in the streaks related to PXE, FA is superior.
Regarding autofluorescence, angioid streaks appear as fissures with central hypoautofluorescence and with a variable amount of hyperautofluorescence at the borders of the cracks (Figure 3).11
Treatment
Patients with angioid streaks have an increased risk of developing hemorrhages associated with trauma because of the rupture of the choroid. Thus, the use of safety glasses should be recommended, especially during sport activities. They also have an increased risk of developing CNV when they reach the fifth decade.
Figure 3. This autofluorescence image shows the streaks as fissures with central hypoautofluorescence and a variable amount of hyperautofluorescence at the borders of the cracks.
There is a consensus that prophylactic laser treatment before the appearance of the neovascular membrane is not recommended, but when neovascularization occurs, patients must undergo treatment.1 In past years, a number of treatments have been proposed, for instance, laser photocoagulation,1 surgery of the neovascular membrane, macular translocation, photodynamic therapy, and most recently anti-vascular endothelial growth factor (VEGF) drugs, such as bevacizumab (Avastin, Genentech).12 Regardless of treatment, as the neovascularization can be recurrent, an extensive follow-up of each patient is highly recommended.
OPTIC NERVE DRUSEN
Background
Optic nerve drusen have been described as globular, often calcified, hyaline bodies, in the prelaminar or non-myelinated portions of the optic nerve (Figures 4 and 5). Muller was the first who described histopathologically optic nerve drusen in 1858.13 Histologically, optic nerve drusen are predominantly composed of mucopolysaccharide; calcium and iron have also been demonstrated in drusen.
|
|
Figure 4. In this color photograph, the optic nerve drusen appear as globular, yellowish nodules on the surface of the optic disc (left).
Figure 5. The optic drusen are visible on the surface of the optic disc in this red-free photograph (right).
The etiology is unknown, but ultrastructurally, drusen appear to be degenerative products of axons. It has been postulated that small scleral foramina impede normal axoplasmic flow, leading to deposition of calcium crystals in mitochondria, which are extruded into the extracellular space. Continuous calcification of these small microbodies coalesce to form groupings of drusen.14
Epidemiology
The overall incidence of optic nerve drusen is reported to be from 0.3% to 2.0%; bilaterality is reported in 8% to 66% of cases.13 There appears to be no sex predilection. In regard to race, there seems to be a predominance of drusen in Caucasians.15-17 Although only a minority of relatives manifest disc drusen, nearly half have anomalous disc vessels and absence of the optic cup.18 A hereditary pattern of irregular dominance with incomplete penetrance has been suggested.13 Optic nerve drusen have been associated with retinitis pigmentosa, angioid streaks, and Alagille syndrome.18
Presentation
Optic nerve drusen are often detected incidentally on funduscopic examination. Clinically, optic nerve drusen appear as hard, refractile masses, solitary or multiple, usually in the nasal portion of the disc. They have been shown to cause partial compression, mild swelling, and atrophy of the periaxial fibers. Optic nerve drusen may give the appearance of a crowded disc or of a pseudopapilledema.14
In early childhood, drusen may be difficult to detect because they may be "buried," ie, they may lie deep beneath the surface of the disc. In this setting, the appearance may mimic chronic papilledema. Differentiating pseudopapilledema from papilledema is very important, especially in children with a newly observed swollen disc. The following features support the diagnosis of pseudopapilledema due to optic nerve drusen:
► Elevation of the disc does not obscure the vessels anterior to it or those of the adjacent retina.
► The most elevated part of the disc is usually the central area.
► There may be an irregular border to the disc suggesting buried drusen.
► Hyperemia is absent.
► Although retinal hemorrhages have been described in association with optic nerve drusen, they are not a common finding in optic disc drusen.
When these hemorrhages are present, they may be brought on by a direct effect of the drusen eroding or compressing a blood vessel.13
Anomalous vascular patterns, including early branching, increased number of major retinal vessels, and vascular tortuosity, are frequent in patients with optic nerve drusen; spontaneous venous pulsation may be present in 80% of cases.13
During the early teens, drusen usually emerge at the surface of the disc as waxy pearl-like irregularities, called "exposed" drusen. Retroillumination may show glowing, luminous subsurface masses. The peripapillary pigment epithelium may be disrupted.13,18
Patients with optic nerve drusen may present with visual field defects (enlargement of the blind spot, arcuate scotomas, peripheral contraction of the field); the mechanism by which drusen of the optic nerve may produce progressive visual field defects is unclear: it could be both direct compression and damage to nerve fiber and associated circulatory disturbance. Patients with optic nerve drusen may also complain of decreased visual acuity (VA) or transient obscuration of vision, but the vast majority of these patients are asymptomatic.13,18
Prognosis
In optic nerve drusen, a progressive but limited loss of visual field with a nerve fiber bundle pattern may occur.19,20 Juxtapapillary CNV has been reported but is uncommon and ischemic optic neuropathy may occur.18
Diagnosis
Special imaging techniques for the definitive diagnosis of disc drusen are useful to confirm the diagnosis especially in the case of the buried form. These include:
■ Ultrasonography. This is the most readily available and reliable method because of its ability to detect calcific deposits. B-scan ultrasound may reveal an ovoid echogenic lesion at the junction of the retina and the optic disc. The degree of acoustic shadowing is proportional to the size of the echogenic focus.
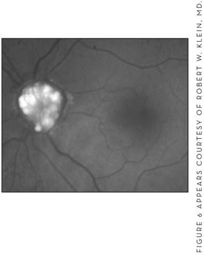
■ Autofluorescence. This is a noninvasive exam that characteristically shows the phenomenon of autofluorescence, most evident in exposed drusen (Figure 6).
Figure 6. This image of optic nerve drusen autofluorescence shows that these hyaline bodies are highly autofluorescent.
■ Fluorescein angiography. When dye is injected, progressive hyperfluorescence but no leakage of dye is evident. Buried drusen show more subtle findings because of attenuation of fluorescence from overlying tissue.
■ Optical coherence tomography (OCT). Circular scans around the optic nerve reveal varying levels of nerve fiber layer loss.
■ Computerized tomography (CT). Less sensitive than ultrasonography, CT may miss small drusen. However, drusen may be detected incidentally on CT, when performed in the course of investigation of other pathology.14,18
RADIATION RETINOPATHY
Background
Radiation retinopathy is an occlusive microangiopathy that occurs as a manifestation of toxicity to the retinal tissue, after the application of radiation treatment to the orbit or to adjacent cranial tissues. It has been reported after local irradiation with cobalt 60 plaques and after external beam radiation with megavoltage linear accelerators. Retinal changes typical of radiation retinopathy have also been seen in half of the survivors of the atomic bombs dropped on Hiroshima and Nagasaki.21
Epidemiology
The incidence of radiation retinopathy is related to the total radiation exposure and the fraction size of the radiation itself. The risk of retinopathy increases significantly when the radiation dose exceeds 30 to 35 gigayears,22,23 but it has been reported after much lower doses, such as 11 gigayears.24 The incidence of radiation retinopathy has also been correlated with the proximity of the treatment site to the eye, being highest in the eye/orbit, paranasal sinuses, and nasopharynx.22 There is an increased risk of developing the retinal changes in patients with systemic diseases, such as diabetes, hypertension, and autoimmune disorders, as well as those receiving concomitant chemotherapy.21,25
Presentation
The clinical manifestations of the disease are related to the damage of the retinal vessels. The earliest changes observed are capillary dilatation, telangiectasis, microaneurysms, and capillary closure (Figure 7). Later manifestations include retinal hemorrhages, infarcts of the nerve fiber layer, and ischemic changes that lead to retinal and disc neovascularization, vitreous hemorrhage, and retinal detachment.21,23 Retinal edema, especially in the macular area, is often seen. The diagnosis can usually be made based on the clinical findings. These features can be confirmed with FA, which typically shows areas of capillary nonperfusion.23
Figure 7. Microangio-graphic changes in the vessels due to radiation retinopathy.
Pathophysiology
Histopathologically, the primary vascular event in radiation retinopathy is endothelial cell loss and capillary closure. This differs from diabetic retinopathy changes, in which the loss of perycites predominates.26 According to Amoaku and Archer,22 the retinal changes that occur following the radiation exposure may not become clinically evident until 8 years or more after the date the treatment has been applied. Likewise, the changes can be seen as early as 7 months after the application of external beam. These observations reveal the importance of the long follow-up these patients need to receive.
Prognosis
Radiation retinopathy is slowly progressive, although spontaneous regression has been seen. Eyes with the proliferative form of this condition have a poor prognosis in spite of treatment. Patients with nonproliferative radiation retinopathy may have a better outcome because the severity of their disease, depending on the amount of ischemia, especially in the macular area.27
Treatment
In patients receiving radiation, careful monitoring is key because the complications of radiation damage to the retina are difficult to manage once they occur. Several authors have reported relative success in the treatment of macular edema and posterior-segment neovascularization with laser photocoagulation.28-30 One relatively recent article considered a combination treatment of laser with PDT and triamcinolone acetonide.31 Nevertheless, the visual prognosis remains poor because of the ischemic changes that occur in this disease. Hyperbaric oxygen has also been proposed as a potential treatment,32 but its benefits remained unproved, and in some cases this treatment may even worsen the visual outcome.23 Today, with the advent of the antiangiogenic drugs, a new treatment option is available for this radiation retinopathy, although further investigation is necessary regarding anti-VEGF agents.
IDIOPATHIC PERIFOVEAL TELANGIECTASIA
Background
Retinal telangiectasia is a vascular disorder that is characterized by an ectasia of capillaries of the retina, which show dilatation and consequently abnormal function. When the capillaries around the foveal avascular zone are involved the condition is termed perifoveal telangiectasia. This condition must be differentiated from microvascular changes associated with a variety of systemic and local injuries to the retinal capillaries, including small branch vein occlusion, diabetes, x-ray irradiation, and carotid artery obstruction.
Epidemiology and Pathophysiology
The incidence of idiopathic perifoveal telangiectasia (IPT) in the general population is unknown. This disease usually becomes manifest in the sixth decade. IPT has been reported to affect men and women equally.33,34 Although the condition is idiopathic in nature, radiation exposure has been implicated as a risk factor.35 There is also evidence that, in bilateral cases of IPT, abnormal glucose metabolism is found in approximately 25% of the patients. Thus, these patients should be evaluated for the possibility of diabetes mellitus, as well as IPT.36
Classification
Idiopathic juxtafoveolar telangiectasis was originally described by Gass and Oyakawa in 1982 and a classification was proposed. In 1993, Gass and Blodi revised this classification into 3 distinct groups on the basis of biomicroscopic and FA features.34
Group 1 consists of young males with unilateral involvement and yellow, lipid-rich exudation and edema in the area of aneurysms. Subgroup 1A has more extensive telangiectasis, with 1 or more disc-diameter areas involved, while subgroup 1B has more focal retinal involvement, with 2 clock hours or less of perifoveal capillary network affected.
Group 2 is the most common form of IPT characterized by bilateral involvement and later onset than group 1, grouped by Gass and Blodi into 2A, acquired, and 2B congenital. Unlike in group 1 patients, group 2 patients show no hemorrhages, aneurysms, or lipid accumulation.33
Group 3 is rare and usually bilateral. Patients with related systemic vascular occlusive or inflammatory disease constitute subgroup 3A. Subgroup 3B is characterized by extensive occlusion of the juxtapapillary network without exudation seen later in life, mean age 53. It is associated with several diseases, including polycythemia, hypoglycemia, gouty arthritis, ulcerative colitis, multiple myeloma, and chronic lymphatic leukemia.34 It may be associated with ischemic whitening of the central retina, occlusion of the perifoveal retinal capillaries, and minimal evidence of telangiectasis. The 3B subtype is associated with oculocerebral syndrome.
Since 1993, the classification of Gass and Blodi has been revised, most recently by Yannuzzi et al.33 With the development of new imaging techniques, a revised classification based on clinical and imaging observations has been proposed. According to this there are currently 3 main groups: Type 1 is aneurismal telangiectasis – unilateral and mostly in men. It is considered a form of Coats disease that is found in the macula. Type 2 is bilateral and limited to the perifoveal area. This is a nonproliferative form with exudative telangiectasia and foveal atrophy and a proliferative type with subretinal neovascularization and fibrosis. Type 3 is occlusive telangiectasia and involves the macular area bordering on perifoveal capillary nonperfusion.
Presentation and Prognosis
Most patients with IPT have bilateral disease on presentation, although many will only complain of visual changes in 1 eye. Common symptoms include blurred vision, metamorphopsia, positive scotoma due to exudation from ectatis, and incompetent retinal capillaries.34 VA is usually normal in the nonproliferative stage of the disease and only becomes affected when vessel dilation and blunting begins to be seen on biomicroscopy. In the proliferative stage, subfoveal atrophy and subretinal neovascularization late in the disease cause significant loss of central VA.34 Early in the disease the clinical exam is significant for loss of retinal transparency — usually in the temporal juxtafoveal area, but surrounding the fovea if advanced — and small telangiectatic vessels. The loss of transparency is usually gray and obscures the telangiectatic vessels on clinical exam. As the disease advances, there is prominent dilation of the capillaries and vessel dilation that can be either arteriolar or venous in nature. Other clinical findings include crystalline deposits, which can be seen at various stages of the disease, and subretinal plaques of pigmentation and dilated right-angle retinal vessels (Figures 8 and 9).33
|
|
Figure 8. Grayish loss of transparency, pigment accumulation, right-angle vessels, and crystalline deposits in a patient with idiopathic parafoveal telangiectasia (left).
Figure 9. Red-free photo of the patient seen in Figure 8.
Diagnostic Imaging
Early in the disease, FA shows mild, diffuse intraretinal leakage or staining. In more advanced cases, fluorescein leakage is evident in the superficial circulation, with cascades over the deep capillary leakage (Figures 10 and 11). OCT reveals retinal thickening and an inner lamellar cyst may be observed in cases of segmental or sectoral dilation overlying the dilated deep retinal telangiectatic vessels.33
Treatment
There is currently no consensus on the treatment of IPT. Laser and xenon photocoagulation treatment and PDT have been used to treat patients with IPT.34 In 2006, Eandi et al. treated 7 eyes of 6 patients with posterior juxtascleral administration of anecortave acetate. This treatment proved effective in the small group treated in stabilizing the disease by inhibiting retinal and subretinal permeability and hindering the neovascular proliferation.37 New treatments include the use of antiangiogenic drugs to control both the edema and the neovascular lesions.38
|
|
Figure 10. Diffuse intraretinal leakage in the early phase of the fluorescein angiography (left).
Figure 11. Increase of the leakage in the late phase of the fluorescein angiography study (right).
LACQUER CRACKS
Background
Lacquer cracks consist of ruptures in the retinal pigment epithelium (RPE)-Bruch's membrane-choriocapillaris complex. They are frequent in high myopic fundus; in fact, ruptures of Bruch's elastic lamina are typical features of degenerative myopia. Progressive posterior segment elongation, uveal and scleral thinning, and RPE degeneration are thought to create a predisposition to crack formation.39,40
Presentation and Epidemiology
Lacquer cracks are clinically noted in 4.2% of eyes with an axial length superior to 26.5 mm.39 Lacquer cracks may be asymptomatic. Clinically, they appear as fine, irregular yellow lines, single or multiple, linear or stellate, often branching and crisscrossing at the posterior pole, usually within an area of staphyloma.39 On their borders, a fine pigmentary mottling in often noted. When the lacquer cracks are large, choroidal vessels may traverse the lesion posteriorly. There is no irregularity or distortion of the neurosensory retina or retinal vessels overlying the lacquer cracks.39
Prognosis
The natural history of lacquer cracks is variable. Most of the patients from their fifth decade have a slow, progressive decrease in central VA, related to degenerative myopic changes. With time, the number and the dimension of Bruch's membrane ruptures may increase.41
A sudden decrease in VA is usually associated with a subretinal hemorrhage. A macular hemorrhage is seen in a high percentage of the cases, mostly along the lacquer crack itself and rarely at its immediate vicinity. The subretinal hemorrhage usually appears as a deep, focal, dense, round area, often centered in the fovea. These hemorrhages resolve but may recur, in the same or in another location. The most plausible explanation for the origin of hemorrhagic lesions relates to the intimate anatomic relationship between Bruch's membrane and the choriocapillaris.
The prognosis for the retention of central vision may be good after the hemorrhages resolve, unless a focal area of chorioretinal atrophy or CNV develops.39,42 In the case of chorioretinal atrophy, the degeneration usually starts from the periphery of the lesion.39 CNV associated with lacquer crack is in general small and found in the macular region.39,43-45 If the CNV is accompanied by hemorrhage, when blood resorbs, a mild RPE proliferation may be seen; this pattern may obscure the CNV itself.
Diagnosis
The diagnosis of lacquer cracks is clinical. FA helps to detect lacquer cracks that may be subtle and missed on routine examination. In the early phases of FA, cracks appear as an irregular and discretely hyperfluorescent line produced by abnormal transmission from a partially atrophic choriocapillaris. The fluorescence increases moderately during transit. In the late phase, the linear lesion is only faintly hyperfluorescent, probably as a consequence of some scleral or scar-tissue staining. No leakage of dye has been noted in uncomplicated lacquer cracks. Lacquer cracks are easily detected in late phase of ICG angiography, and they appear as well-delineated hypofluorescent lines (Figure 12).46 If hemorrhage is present, it may totally obscure the associated lacquer crack, even on FA; in these cases ICG angiography may detect the lacquer crack underlying the hemorrhage.39
Figure 12. Late phase of indocyanine green angiography. The cracks appear as dark hypofluorescent lines.
Treatment
Currently there is no treatment for lacquer cracks or prevention of complication (eg, hemorrhages, CNV).39 However, if CNV is present, it should be treated. PDT is the most commonly used treatment for CNV in the macular area.47 Thermal laser treatment can also be used if the lesion is not in the foveal area.48 However, it is important to be aware of the risk that this treatment can carry because of the increase in the scar size that occurs after laser, most prominently in highly myopic eyes. Alternative treatments are intravitreal injections of steroids, such as triamcinolone, alone or combined with PDT,49 and most recently the anti-VEGF drugs, such as bevacizumab.50
CONCLUSION
In this brief report, we have described 5 retinal entities that are not frequently seen in the daily practice of the general ophthalmologist. But not for that reason should they be considered less important than more common ones.
As research progresses and we continue to learn about these fairly rare and potentially progressive retinal conditions, it is worthwhile to take a second look so that we can catch up with the ways in which new technology and new methods have affected our understanding of these diseases and their symptoms.
Nevertheless, we still have a long way to go until we completely understand the intimate mechanisms that lead to irreversible damage of the retinal structures. Thus, the best management continues to be prevention and early diagnosis. Since all 5 of these entities carry a risk of compromising VA, we must continue to recognize and correctly diagnose them so that our growing knowledge can benefit the people who need it most: our patients. RP
REFERENCES
1. Donaldson EJ. Angioid streaks. Aust J Ophthalmol. 1983;11:55-58.
2. Struk B, Neldner KH, Rao VS, St Jean P, Lindpaintner K. Mapping of both autosomal recessive and dominant variants of pseudoxanthoma elasticum to chromosome 16p13.1. Hum Mol Genet. 1997;6:1823-1828.
3. McLane NJ, Grizzard WS, Kousseff BG, Hartmann RC, Sever RJ. Angioid streaks associated with hereditary spherocytosis. Am J Ophthalmol. 1984;97:444-449.
4. Dieckert JP, White M, Christmann L, Lambert HM. Angioid streaks associated with abetalipoproteinemia. Ann Ophthalmol. 1989;21:173-175,179.
5. Puig J, Garcia-Arumi J, Salvador F, Sararols L, Calatayud M, Alforja S. [Subretinal neovascularization and hemorrhages in angioid streaks]. Arch Soc Esp Oftalmol. 2001;76:309-314.
6. Jampol LM, Acheson R, Eagle RC Jr, Serjeant G, O'Grady R. Calcification of Bruch's membrane in angioid streaks with homozygous sickle cell disease. Arch Ophthalmol. 1987;105:93-98.
7. Patnaik B, Malik SR. Fluorescein fundus photography of angioid streaks. Br J Ophthalmol. 1971;55:833-837.
8. Smith JL, Gass JD, Justice J Jr. Fluorescein fundus photography of angioid streaks. Br J Ophthalmol. 1964;48:517-521.
9. Clarkson JG, Altman RD. Angioid streaks. Surv Ophthalmol. 1982;26:235-246.
10. Lafaut BA, Leys AM, Scassellati-Sforzolini B, Priem H, De Laey JJ. Comparison of fluorescein and indocyanine green angiography in angioid streaks. Graefes Arch Clin Exp Ophthalmol. 1998;236:346-353.
11. Sawa M, Ober MD, Freund KB, Spaide RF. Fundus autofluorescence in patients with pseudoxantoma elasticum. Ophthalmology. 2006;113:814-820.
12. Teixeira A, Moraes N, Farah ME, Bonomo PP. Choroidal neovascularization treated with intravitreal injection of bevacizumab (Avastin) in angioid streaks. Acta Ophthalmol Scand. 2006;84:835-836.
13. Guyer DR, Yannuzzi LA, Chang S, Shields JA, Green RW. Retina-Vitreous-Macula. Philadelphia, Pa: W.B. Saunders Company; 1999.
14. Huang D, Kaiser PK, Lowder CY, Traboulsi E. Retinal Imaging. Philadelphia, Pa: Elsevier; 2005.
15. Rosenberg MA, Savino PJ, Glaser JS. A clinical analysis of pseudopapilledema. I. Population, laterality, acuity, refractive error, ophthalmoscopic characteristics, and coincident disease. Arch Ophthalmol. 1979;97:65-70.
16. Hoyt WF et al. Pseudopapilledema: anomalous elevation of optic disk. Pitfalls in diagnosis and management. JAMA. 1962;181:191-196.
17. Boyce SW et al. Drusen of the optic disc: a histopathological study. Ann Ophthalmol. 1978;10:695-704.
18. Kanski J, Milewski S, Damato B, Tanner V. Diseases of the Ocular Fundus. Philadelphia, Pa: Elsevier; 2004.
19. Roh S, Noecker RJ, Schuman JS, Hedges TR 3rd, Weiter JJ, Mattox C. Effect of optic nerve head drusen on nerve fiber layer thickness. Ophthalmology. 1998;105:878-885.
20. Lee AG, Zimmerman MB. The rate of visual field loss in optic nerve head drusen. Am J Ophthalmol. 2005;139:1062-1066.
21. Zamber, R.W. and J.L. Kinyoun, Radiation retinopathy. West J Med. 1992;157:530-533.
22. Amoaku WM, Archer DB. Cephalic radiation and retinal vasculopathy. Eye 1990;4(Pt 1):195-203.
23. Maguire ASA. Radiation retinopathy. In: Retina. Ryan SJ, Hinton DR, Schachat AP, Wilkinson P, eds. Philadelphia, Pa: Elsevie; 2006:1483-1489.
24. Elsas T, Thorud E, Jetne V, Conradi IS. Retinopathy after low dose irradiation for an intracranial tumor of the frontal lobe. A case report. Acta Ophthalmol (Copenh). 1988;66:65-68.
25. Gupta, A, Dhawahir-Scala F, Smith A, Young L, Charles S. Radiation retinopathy: case report and review. BMC Ophthalmol. 2007;7:6.
26. Archer DB, Amoaku WM, Gardiner TA. Radiation retinopathy — clinical, histopathological, ultrastructural and experimental correlations. Eye. 1991;5(Pt 2):239-251.
27. Kinyoun JL, Lawrence BS, Barlow WE. Proliferative radiation retinopathy. Arch Ophthalmol. 1996;114:1097-1100.
28. Hykin PG, Shields CL, Shields JA, Arevalo JF. The efficacy of focal laser therapy in radiation-induced macular edema. Ophthalmology. 1998;105:1425-1429.
29. Chaudhuri PR, Austin DJ, Rosenthal AR. Treatment of radiation retinopathy. Br J Ophthalmol. 1981;65:623-625.
30. Kinyoun JL, Zamber RW, Lawrence BS, Barlow WE, Arnold AM. Photocoagulation treatment for clinically significant radiation macular oedema. Br J Ophthalmol. 1995;79:144-149.
31. Kocak N, Saatci AO, Arikan G, Bajin FM. Combination of photodynamic therapy, intravitreal triamcinolone injection, and standard laser photocoagulation in radiation retinopathy: a case report. Ann Ophthalmol (Skokie). 2006;38:243-247.
32. Guy J, Schatz NJ. Hyperbaric oxygen in the treatment of radiation-induced optic neuropathy. Ophthalmology. 1986;93:1083-1088.
33. Yannuzzi LA, Bardal AM, Freund KB, Chen KJ, Eandi CM, Blodi B. Idiopathic macular telangiectasia. Arch Ophthalmol. 2006;124:450-460.
34. Gass JD, Blodi BA. Idiopathic juxtafoveolar retinal telangiectasis. Update of classification and follow-up study. Ophthalmology. 1993;100:1536-1546.
35. Maberley DA, Yannuzzi LA, Gitter K, et al. Radiation exposure: a new risk factor for idiopathic perifoveal telangiectasis. Ophthalmology. 1999;106:2248-2252.
36. Millay RH, Klein ML, Handelman IL, Watzke RC. Abnormal glucose metabolism and parafoveal telangiectasia. Am J Ophthalmol. 1986;102:363-370.
37. Eandi CM, Ober MD, Freund KB, et al. Anecortave acetate for the treatment of idiopathic perifoveal telangiectasia: a pilot study. Retina. 2006;26:780-785.
38. Moon SJ, Berger AS, Tolentino MJ, Misch DM. Intravitreal bevacizumab for macular edema from idiopathic juxtafoveal retinal telangiectasis. Ophthalmic Surg Lasers Imaging. 2007;38:164-166.
39. Ryan SJ, Hinton DR, Schachat AP, Wilkinson P, eds. Retina. Philadelphia, Pa: Elsevier; 2006.
40. Klein RM, Green S. The development of lacquer cracks in pathologic myopia. Am J Ophthalmol. 1988;106:282-285.
41. Shapiro M, Chandra SR. Evolution of lacquer cracks in high myopia. Ann Ophthalmol. 1985;17:231-235.
42. Ohno-Matsui K, Tokoro T. The progression of lacquer cracks in pathologic myopia. Retina. 1996;16:29-37.
43. Gass JMD. Stereoscopic Atlas of Macular Disease. Philadelphia, Pa: Elsevier; 1997.
44. Saw SM, Gazzard G, Shih-Yen EC, Chua WH. Myopia and associated pathological complications. Ophthalmic Physiol Opt. 2005;25:381-291.
45. Ohno-Matsui K, Yoshida T, Futagami S, et al. Patchy atrophy and lacquer cracks predispose to the development of choroidal neovascularisation in pathological myopia. Br J Ophthalmol. 2003;87:570-573
46. Ohno-Matsui K, Morishima N, Ito M, Tokoro T. Indocyanine green angiographic findings of lacquer cracks in pathologic myopia. Jpn J Ophthalmol. 1998;42:293-299.
47. Pece A, Vadala M, Isola V, Matranga D. Photodynamic therapy with verteporfin for juxtafoveal choroidal neovascularization in pathologic myopia: a long-term follow-up study. Am J Ophthalmol. 2007;143:449-254.
48. Ozdek S, Hondur A, Gurelik G, Hasanreisoglu B. Transpupillary thermotherapy for myopic choroidal neovascularization: 1-year follow-up: TTT for myopic CNV. Int Ophthalmol. 2005t;26:127-133.
49. Montero JA, Ruiz-Moreno JM. Combined photodynamic therapy and intravitreal triamcinolone injection for the treatment of choroidal neovascularisation secondary to pathological myopia: a pilot study. Br J Ophthalmol. 2007;91:131-133.
50. Yamamoto I, Rogers AH, Reichel E, Yates PA, Duker JS. Intravitreal bevacizumab (Avastin) as treatment for subfoveal choroidal neovascularisation secondary to pathological myopia. Br J Ophthalmol. 2007;91:157-160.







