PEER REVIEWED
A Practical Approach to Retinal Dystrophies
IRENA TSUI, MD BRIAN SONG, BA CHYUAN-SHENG LIN, PhD STEPHEN H. TSANG, MD, PhD
Genomic approaches to developing new diagnostic and therapeutic strategies in retinal dystrophies are among the most advanced applications of genetics.1 The notion that nothing can be done for patients with retinal dystrophies is no longer true. Electrophysiological testing and autofluorescence imaging help to diagnose and predict the patients course of disease. Better phenotyping can contribute to better-directed, cost-efficient genotyping. Combining fundoscopy, autofluorescent imaging, and electrophysiological testing is essential in approaching patients with retinal dystrophies. Emerging are new gene-based treatments for these devastating conditions.
Classification of retinal dystrophies can be confusing because they are both clinically and genetically heterogeneous.2,3 There are several disease classification schemas and we present them as (1) progressive vs stationary, and (2) central (macular) dystrophies vs generalized (see Table 1).
Important patient history includes specific symptoms such as central scotomas or night blindness, age of onset to determine severity of disease, and family history to establish the inheritance pattern. Examining other family members is often helpful. A complete past medical history and focused physical exam are important to relate systemic associations.
After a family history and clinical exam,4 the electroretinogram (ERG) is usually the first ancillary test for classifying retinal dystrophies.5 Full-field ERG is a noninvasive test of retinal function that measures mass response electrical activity after light stimulation and helps to exclude generalized retinal dysfunction. Full-field ERGs are performed on patients with dilated pupils using published International Society for Clinical Electrophysiology of Vision (ISCEV) standards.6 The minimum protocol incorporates the rod-specific (Figure 1, Column 1) and standard bright-flash ERGs (Figure 1, Column 2), both recorded after a minimum of 20 minutes dark adaptation, and the photopic 30 Hz flicker (Figure 1, Column 3) and transient photopic ERGs (Figure 1, Column 4), both recorded after a standard period and intensity of light adaptation.7
| Irena Tsui, MD, is a house officer at the Edward S. Harkness Eye Institute at the College of Physicians & Surgeons at Columbia University in New York. Brian Song, BA, is a research fellow in the Bernard and Shirlee Brown Glaucoma Laboratory at Columbia. Chyuan-Sheng Lin, PhD, is a Homer Rees Scholar, interim director of the Brown Glaucoma Laboratory, and assistant professor of ophthalmology at Columbia. Stephen H. Tsang, MD, PhD, is a clinical ophthalmic geneticist and ERG attending at Columbia and is supported by the Bernard Becker Associate University Professor in Ophthalmology RPB Award. The authors do not have any financial interest in the topics or proprietaries discussed in this article. |
Figure 1. Electroretinogram (ERG) testing. Full-field ERG measures mass response of the retina: photoreceptor (a-wave) and inner nuclear layers (b-wave). Full-field electroretinogram was performed using Dawson, Trick, and Litzkow recording electrodes and Ganzfeld stimulation according to ISCEV standards. ERG tracings from a normal 40-year-old individual are shown in the upper panel. Typical tracings from different patients at 40 to 50 years of age are shown in other panels.
While full-field ERG evaluates mass cone and rod system function, pattern ERG (checkerboard stimulus) is useful to distinguish decreased vision secondary to optic nerve vs macular disease.8 An electrical response in a 30-Hz flicker ERG is an important prognostic tool because its presence confirms residual cone function.9,10
Scanning laser ophthalmoscopy (SLO) autofluorescence is a noninvasive imaging technique that detects the lipophilic cation N-retinyl-N-retinylidene ethanolamine (A2E) (a by-product of the visual cycle) in lipofuscin fluorophores, which accumulates in the retinal pigment epithelium (RPE).11,12,13 Hypofluorescent or hyperfluorescent areas in SLO images are associated with abnormal accumulation or depletion of A2E fluorophore in RPE. Besides diagnosing malfunctioning RPE cells, using autofluorescence to follow patients with pathology can frequently predict their clinical course14,15
STATIONARY ROD DYSTROPHIES
It is important to distinguish stationary vs progressive disease because the patients primary concern is whether sight will deteriorate. There are 2 common forms of stationary night blindness and several forms of stationary cone dysfunction syndrome.
Congenital stationary night blindness (CSNB), although most commonly inherited as an X-linked recessive (XLR) disorder, can also demonstrate autosomal dominant (AD) or autosomal recessive (AR) inheritance. All modes of inheritance result in normal-appearing fundi. The AR and XLR forms of CSNB present in infancy with nystagmus, strabismus, and reduced vision. In contrast, the AD form of CSNB typically presents with normal visual acuity in teenage years with symptomatic night blindness.16,17,18,19
Because fundoscopy is normal in CSNB, ERG is important in making the diagnosis,19 as it detects severe dysfunction and an electronegative waveform (see Figure 1 and Table 1). The defect in X-linked complete CSNB has been suggested to lie downstream from the photoreceptor neurons, possibly in the ON bipolar cells or their interconnections.20 Visual acuity (VA) is diminished in X-linked CSNB patients because their ON bipolars fail to have proper interpretation of photoreceptor signal to noise.
Figure 2. Leber congential amaurosis at its end stage in a woman 37 years of age with RPE migration, near total loss of retinal pigment epithelium cells, severe retinal atrophy, and peripapillary ghost vessels in her left eye. She retains light-perception vision and has an extinguished full-field ERG response.
Distinctive radial flecks in the retina characterize another form of night blindness, fundus albipunctatus, caused by delayed rhodopsin regeneration. Although usually stationary, there is a subtype of fundus albipunctatus associated with progressive cone dysfunction.21 Patients have discrete white flecks at the level of the RPE, most numerous in the mid-periphery. Either patients present with night blindness or the flecks are found on routine ophthalmoscopy. Fundus albipunctatus can be confused with retinitis punctata albescens, a form of retinitis pigmentosa (RP) with white spots on fundus exam. ERG recovers after prolonged dark adaptation in fundus albipunctatus because it allows the delayed rhodopsin regeneration to recover.
STATIONARY CONE DYSFUNCTION SYNDROMES
There are 3 categories of congenital achromatopsia:22 (1) Typical rod monochromats (complete achromats) lack all sensitivity mediated by cone pigments; (2) Atypical rod monochromats (incomplete achromats) have some residual cone function and thus better VA and residual color vision; and (3) S-cone monochromats have rod and blue-cone function. These last patients have better VA than either type of rod monochromat.
The 2 types of achromatopsia, complete and incomplete, are both autosomal recessive and have normal rod function. Patients usually present in infancy with nystagmus, poor vision, and a preference for dim illumination. Because of the sensory nystagmus, CSNB, foveal hypoplasia, optic nerve hypoplasia, and cone dystrophy are in the differential. Extinguished-cone ERGs in achromatopsia help to establish this nonprogressive dystrophy (Figure 1).
Clinically, S-cone monochromatism presents like the other achromatopsias, with nystagmus and photophobia during infancy, but the disease is less severe. Family history can help distinguish this entity because S-cone monochromatism is X-linked recessive, whereas the other achromatopsias are autosomal recessive. Special color testing or an ERG at a specified wavelength (440 nm) are useful diagnostic tools when interpreted in the correct clinical context.23,24
PROGRESSIVE RETINAL DYSFUNCTION
Retinitis pigmentosa, also known as rod-cone dystrophy, has both genetic and allelic heterogeneity (Figures 2 and 3).25 RP inheritance can be autosomal dominant, autosomal recessive, or X-linked recessive, and there is genetic heterogeneity even within each group. Retinal degeneration slow (RDS) protein and retinal-specific adenosine triphosphate (ATP)-binding cassette transporter (ABCA4) are examples of allelic heterogeneity in that they can cause macular dystrophy in some patients and cone-rod dystrophy in others.
Approximately 50% of patients have no family history of RP (termed simplex RP) or evidence of parental consanguinity, and likely, many of such cases are autosomal recessive. However, some may be males who have X-linked disease from female carriers, and other cases may be new autosomal-dominant mutations or manifestations of autosomal-dominant disease with reduced penetrance. Accurate genetic counseling depends on identifying the causative mutation and mode of inheritance.
The age of onset of RP is variable and patients do not always present with the classic triad of intraretinal pigment migration, optic nerve pallor, and attenuated vessels (Figure 3). In general, patients who develop symptoms at younger ages have worse prognoses, and dominant disease has a less severe natural history with later onset when compared to X-linked and recessive variants. In RP, patients with normal VA and smaller, higher-density autofluorescent rings correlate with worse-pattern ERGs. This represents a shrinking area of photoreceptor function as disease progresses.14,15 In time, VA declines, visual fields coalesce to give the classical peripheral ring scotoma, and posterior subcapsular cataracts or cystoid macular edema (CME) may develop (Figure 3).
Enhanced S-cone, also known as Goldmann-Favre syndrome, is a subtype of autosomal-recessive RP featuring larger photopic single-flash ERG a-wave than 30-Hz b-wave amplitudes. Patients also have supernormal S-cone function, which is due to an increased number of S-cones, low numbers of L- and M-cones, and a lack of rods.26,27,28 Goldmann-Favre is one of the most frequently described hereditary vitreoretinal disorders (Table 3). Although the fundus appearance is variable, patients may have deep, nummular-shaped RPE clumping in the mid-periphery with central or peripheral retinoschisis.
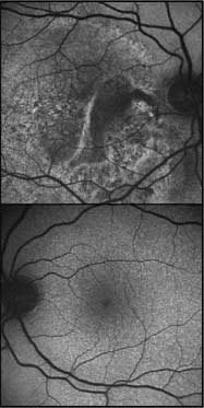
Figure 3. Usher syndrome in a woman 34 years of age. Autofluorescence of the right eye shows RPE atrophy underneath degenerated rods. Note the cystoid macular edema, a common complication of rod-cone dystrophies.
Choroideremia is an X-linked recessive rod-cone dystrophy that has marked atrophy of the choroid and RPE but does not feature intraretinal pigment migration.29 It is important to distinguish carriers of this trait from carriers of X-linked RP (XLRP) because they have similar fundi, but the prognosis for affected children is different (Figure 4). Boys with XLRP are more severely impaired than those with choroideremia. The distinction can be made with ERG of their mothers at child-bearing age: carriers of choroideremia are normal, while carriers of XLRP are often abnormal and sometimes asymmetrical.30
Figure 4. Choroidermia carrier with RPE mottling (top), ocular albinism carrier with radially oriented mosaic RPE hypopigmentation (middle), X-linked recessive RP carrier with a tapeto-like retinal sheen (bottom). X-linked heterozygous carriers are important to diagnose correctly, but fundus distinctions may be subtle.
Gyrate atrophy, an autosomal-recessive dystrophy, is part of the differential diagnosis of choroideremia. The characteristic fundus appearance of gyrate atrophy is hyperpigmented fundi with lobular loss of the RPE and choroid starting in the periphery. A defect in ornithine aminotransferase, which results in a tenfold increase in plasma ornithine, causes the disease. Although a diet restricted in arginine limits the disease,31 it is difficult to maintain and requires careful monitoring. Vitamin B6 lowers plasma ornithine levels in some patients.
Other well known types of syndromic RP include Alstrõm syndrome, Kearns-Sayre syndrome, Refsum syndrome, Werner syndrome, Cockayne syndrome, Flynn-Aird syndrome, Bardet-Biedl syndrome, Usher syndrome, Joubert syndrome, Batten disease, Zellweger syndrome, and spinocerebellar ataxia.
There are also progressive cone dystrophies, which, in contrast to the stationary cone dysfunction syndromes discussed above, usually present in older childhood or adulthood.32 Patients presenting symptoms are decreasing VA and color vision. In the late stages, fundus exam may show a typical bulls eye maculopathy, but subtle cases can be picked up earlier with ERG and occasionally autofluorescence imaging (Figure 1).33
Progressive cone-rod dystrophies33,34 show the clinical features of cone dystrophy early on and, eventually, rod involvement with associated night blindness becomes evident.35,36 There are reports of autosomal-dominant, autosomal-recessive, and X-linked-recessive inheritance. Fundus exam progresses from macular atrophy in the early stages to peripheral retinal pigmentation, arteriolar attenuation, and optic nerve pallor in the later stages.
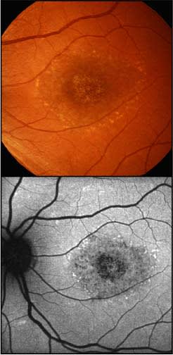
Figure 5. Group 1 Stargardt disease in a woman 36 years of age. Color fundus photograph of the left eye (top) shows macular flecks with a classic beaten bronze appearance. Autofluorescence of the same eye (bottom) shows hyperfluorescent flecks and hypofluoresent, diseased RPE. This patient has extinguished P50 responses on PERG and normal full-field ERG responses.
There are a number of acquired disorders with an abnormal ERG that phenocopy retinal dystrophies, such as cancer-associated retinopathy (CAR), melanoma-associated retinopathy, acute zonal occult outer retinopathy, diffuse unilateral subacute neuroretinitis, syphilis, foreign body, drug toxicity, and trauma. Clinical history and/or unilateral presentation distinguish these entities from inherited retinal dystrophies.
CENTRAL DYSTROPHIES
In general, only the ERG can establish the functional phenotype in patients with maculopathy. In contrast to global retinal diseases and cone-predominant degenerations, central or macular dystrophies have normal full-field ERG implicit time responses and normal peripheral visual fields. Macular dystrophies cause a reduction in central vision, but they usually progress slowly and patients retain some central vision. Thus, most individuals with central dystrophies can enjoy normal activities of daily living (unlike those with progressive, generalized, degenerative dystrophies).
A review of patients with bulls eye lesions showed normal full-field ERGs in most cases. Others showed cone dystrophy, cone-rod dystrophy, or rod-cone dystrophy, but the functional phenotype could not be established by fundus appearance.32 Similarly, the functional phenotype in Stargardt disease could not be predicted from the fundus phenotype; only the ERG was concordant within affected families and only the ERG gave prognostic information regarding retention of peripheral vision.
Central dystrophies appear in childhood or early adulthood. We will discuss Stargardt disease, pattern dystrophy, Best disease, Sorsby pseudoinflammatory disease, and Doyne honeycomb retinal dystrophy.
The most common form of inherited juvenile macular degeneration is Stargardt disease. Classically, Stargardt patients present in childhood with decreased central vision, foveal atrophy, and yellow pisciform flecks at the level of the RPE in the macula. Stargardt and fundus flavimaculatus are manifestations of the same genetic disorder due to a recessive defect in the ABCA4 gene.37 Stargardt patients should avoid a diet high in vitamin A because the defective gene (ABCA4) encodes for a transmembrane transporter of A2E intermediates, a toxic by-product of vitamin A.38
Figure 6. Group 1 Stargardt disease in a man 36 years of age: Color fundus photograph right eye with macular atrophy and generalized flecks (left) and corresponding autofluorescent imaging (right) shows RPE atrophy (hypofluorescent) centrally and flecks (hyperfluorescent). This patient has extinguished P50 responses and normal full field ERG responses.
Figure 7. Group 3 Stargardt disease in a woman 57 years of age with bilaterally symmetric disease: Color fundus photo left eye with large areas of atrophic retina and pigment clumping (top), and autofluorescence right eye with large are of missing RPE and generalized hyperfluorescent flecks peripherally (bottom). Both her scotopic and photopic ERG responses are diminished.
At least 80% of Stargardt patients have a silent choroid, which is a dark choroid on fluorescein angiogram. A2E accumulation in the RPE causes this phenomenon.39 Stargardt patients functional phenotypes may not be predictable from fundus exam, but ERG can help prognose peripheral vision of patients by dividing them into 3 groups. Type 1 patients (Figures 5 and 6) have a normal full-field ERG; type 2 patients have more loss of photopic function; type 3 patients (Figure 7) have both abnormal scotopic and photopic ERG with the worse prognosis.40 It is important to subtype Stargardt patients for better counseling regarding their prognoses. Fundus flavimaculatus frequently manifests as type 1 Stargardt disease. Macular autofluorescence is usually abnormally high in Stargardt patients, but normal levels of lipofuscin could also indicate late disease where the RPE cells have burnt out.41
Pattern dystrophies are a group of heterogeneous diseases that are caused by a defect in the RDS42 and other genes. There are 4 recognized types, based on fundoscopic appearance: adult onset vitelliform, butterfly, reticular, and fundus pulverulentus (Figure 8). They present in adulthood with decreased vision and can be mistaken for age-related macular degeneration (AMD).43
Best disease, or vitelliform dystrophy, is an autosomal-dominant maculopathy caused by a defect in the bestrophin gene. The yolk-like yellow lesion is autofluorescent and usually bilateral (Figure 9). Vision is good during this initial stage but decreases during the scrambled-egg stage or secondary to geographic atrophy in the later stages. In addition, about 20% of patients develop a choroidal neovascular membrane, which although self-limited, causes poorer vision. Electro-oculogram (EOG) shows a reduced light rise in Arden ratio in affected Best disease as well as autosomal-dominant vitreoretinochoroidopathy (ADVIRC). EOG is mildly subnormal or normal in adult vitelliform macular dystrophy. Best disease and ADVIRC (both caused by bestrophin gene defects) are examples of allelic heterogeneity, whereas Best disease and adult vitelliform macular dystrophy are examples of genetic heterogeneity.
Figure 8. Pattern dystrophy in a woman 26 years of age with 20/15 visual acuity in each eye. (A) Color fundus photograph right eye with subtle RPE irregularities in the macula. (B) Corresponding autofluorescence with speckled hyperfluorescence. Her father had a larger area of RPE atrophy seen on (C) color fundus photograph left eye and (D) corresponding autofluorescence. He had 20/40 vision in each eye.
Sorsby macular dystrophy, a dominantly inherited disease with a defect in the tissue inhibitor of the metalloproteinases-3 gene, leads to eventual bilateral subfoveal choroidal neovascularization, although the disease may progress asymmetrically (Figure 10). Beginning around the fifth decade of life, patients present with complaints of problems transitioning between light and dark, followed by central-vision abnormalities. Early on, fine drusen accumulate in the macula, and they later develop a pseudoinflammatory appearance, which may be misdiagnosed as punctate inner choroidopathy.44 Individuals with Sorsby have normal pattern ERGs until neovascularization develops.
Doyne honeycomb retinal dystrophy (malattia leventinese) is a dominantly inherited dystrophy with drusen-like deposits in the macula and peripapillary retina. It can be mistaken for AMD but is distinguished by its characteristic finding of nasal drusenoid material and autofluorescence.45 Individuals with Doyne honeycomb retinal dystrophy have normal full-field ERG responses.
North Carolina macular dystrophy is autosomal dominant with complete penetrance. Initially, researchers hypothesized that the genetic defect originated from a single family, but the disease is actually present in many distinct genealogies. The clinical appearance is bilateral drusen and macular changes in a young child that may resemble a macular coloboma or staphyloma (Figure 11).46 Despite the severe appearing fundus, visual prognosis is good and the disease is nonprogressive. Individuals with North Carolina macular dystrophy have normal full-field ERG recordings.
Figure 9. Best vitelliform dystrophy in a man 18 years of age. Color fundus photo (A) left eye and (B) right eye with resolving egg-yolk lesion. Autofluorescence (C) left eye and (D) right eye with corresponding hyperfluorescence. (E) Optical coherence tomography shows splitting of the RPE layer with elevation. Visual acuity is 20/200 OD and 20/20 OS.
Figure 10. Sorsby pseudoinflammatory dystrophy in a man 53 years of age with asymmetric disease who has (top) an RPE tear in the OD (count finger vision) secondary to CNV and (bottom) fine drusen-like deposits in the left eye (20/20 visual acuity) on autofluorescence.
TREATMENTS
It is important to recognize gyrate atrophy, Refsum syndrome, and abetalipoproteinemia because they are 3 types of retinal dystrophies that dietary treatment can help. The main clinical manifestations of Refsum syndrome are RP, cataracts, chronic polyneuropathy, cerebellar ataxia, and cardiac arrhythmias. Elevated serum phytanic acid levels are diagnostic. Avoiding foods high in phytanic acid (eg, fat and butter) and plasmaphoresis help to improve all neurologic signs.47,48
Figure 11. North Carolina macular dystrophy in a girl 12 years of age. Color fundus photography shows coloboma-like defects with scalloped edges worse in her right eye (A) than her left eye (B). Her father (C) has a milder presentation (grade 1) of North Carolina macular dystrophy with fine drusen-like deposits that (D) hyperfluorescence on autofluorescence.
Bassen-Kornzweig syndrome (abetalipoproteinemia) is due to malabsorption of cholesterol, fats, and fat-soluble vitamins from the small intestine. Deficiencies of vitamin A and vitamin E cause failure to thrive, peripheral neuropathy with muscle weakness, spinocerebellar ataxia, and RP. Vitamin A (300 IU/kg/day) and vitamin E (100 IU/kg/day) restore function and slow the progression of retinal degeneration.49
There is also interest in whether vitamin A supplementation can help other forms of RP. A study in 2 mouse RP models with different alleles showed that vitamin A supplementation decreased the rate of photoreceptor degeneration caused by a class II rhodopsin mutation (T17M, defective in thermal stability/folding and cannot easily reconstitute with 11-cis-retinal), but it did not help the mice with a class I rhodopsin mutation (P347S, defective in outer-segment localization). It was hypothesized that vitamin A supplementation may work by stabilizing mutant opsins through increased availability of the chromophore.50 Therefore, vitamin A may benefit a subset of patients with RP.
A randomized controlled study sponsored by the National Institutes of Health (NIH) looking at vitamin therapy for RP in adults showed that vitamin A(15 000 IU) delays the progression of cone ERG loss. The same study showed that vitamin E (400 IU) may have a deleterious effect on RP patients.51 These results have not been universally accepted in ophthalmic centers.52 Subgroup analysis revealed that patients who started taking docosahexaenoic acid (1200 mg/day) at the same time as vitamin A may have a modest additional benefit of slowing RP.53 A safety study did not find substantial side effects of high-dose vitamin A therapy.54 Currently, the NIH recommends that adult RP patients take a supplement of 15 000 IU of vitamin A daily under the supervision of an ophthalmologist and avoid use of high-dose vitamin E supplements.55
Physicians should follow RP patients at infrequent but regular intervals to detect treatable complications such as posterior subcapsular cataract, macular edema, and the rare autoimmune reaction. Cataract extraction can improve visual perception and brightness. CME can be treated with oral acetazolamide or topical carbonic anhydrase inhibitors.56 RP patients with a rapid progression of visual symptoms and ERG progression should have a Western blot analysis for antiretinal antibody. If this serum test is positive, patients presumably have developed autoimmunoretinopathy or a CAR-like syndrome and should undergo evaluation for an occult malignancy.57
There is a Coats-type variant of RP thought to occur in as many as 3% of all RP patients. These fundi have typical bone spicules of RP with Coats-type changes in the inferotemporal quadrants (Figure 12). Retinal telangiectasia and exudative retinal detachments are treated with photocoagulation or cryosurgery as indicated.58
Gene therapy is a promising future treatment for retinal degeneration.59,60,61 It is applicable when there is a loss of function due to genetic defect. The eye is an ideal organ for gene therapy because it is easily accessible, highly compartmentalized, and it is an immune-privileged site. In 2001, vision was restored in RPE65 deficient dogs, an animal model for one type of early-onset retinal dystrophy, known as Leber congenital amaurosis (LCA), by injecting subretinal adeno-associated virus (AAV) carrying RPE65.62,63 Regain of function was demonstrated with ERG, pupillometry, and behavioral testing and was maintained for over 3 years.64
Figure 12. Coats type, autosomal recesssive retinitis pigmentosa in a man 55 years of age with (A) vitreous haze centrally and (B) subretinal exudates peripherally in his right eye.
This proof of principle demonstrating functional improvement following gene replacement of RPE65 has led to clinical trials of recombinant AAV-mediated gene therapy for patients with LCA. The NIH Recombinant DNA Advisory Committee has granted ethical approval for 3 proposed trials in the United States and the Gene Therapy Advisory Committee has approved a trial in the United Kingdom to begin this year.
The key to gene-based treatments is efficient and accurate genotyping.65,66,67 If genetic testing is not available on-site, blood can be drawn in a tube with ethylenediaminetetra-acetic acid and sent at room temperature to a Clinical Laboratory Improvement Amendment (CLIA)-certified laboratory for DNA testing.68,69
One commercially available method is a genotyping microarray (gene chip) for the ABCA4 gene.70 Allelic heterogeneity in the ABCA4 gene has been associated with 5 distinct phenotypes, including Stargardt disease/fundus flavimaculatus, cone-rod dystrophy, and AMD. This gene chip screens for more than 400 different ABCA4 variants with >98% efficacy of finding them.71
Another promising idea in treating retinal degenerations has come from using ciliary neurotrophic factor (CNTF) to rescue photoreceptors. At least 13 animal models of RP show improvement with CNTF. Recently, a phase 1 trial evaluated surgically implanted capsules loaded with human RPE cells transfected with the CNTF gene. The treatment was well tolerated with minimal direct side effects, and the visual results were promising.72
Retinal-cell transplantation is another way to replace damaged photoreceptors that has been worked on for many years.73 Studies in mouse models74 show that timing of transplantation is crucial.75 There is a specific window period, coincident with the peak of rod genesis, during which the donor cells can be harvested that will enable the generation of new photoreceptors in diseased mice.75 Clinical use of stem-cell transplantation is on the horizon.76
SUMMARY
In summary, retinal dystrophies are a heterogeneous group of disorders whose classifications are evolving as retinal physicians better understand their phenotypes, genotypes, and pathophysiology. Genetic counseling is an important part of taking care of the patient. ERG continues to be the mainstay of diagnosis, and autofluorescence imaging has become essential for better phenotyping and following of disease progression. Electrophysiological studies are most helpful to phenotype different retinal conditions that ophthalmoscopically may show to be equivocal or similar.
Eyecare professionals have an active role in caring for patients with retinal dystrophies.77,78 We manage complications that arise such as cataracts, leaking vessels, and macular edema, and we also give genetic counseling and low vision evaluations. Looking to the horizon, retinal physicians should help enroll patients in genetic registries so that they can contact patients when a specific genetic cure becomes available. RP
REFERENCES
1. Tsang SH, Gouras, P. Molecular physiology and pathology of the retina. In: Duanes Clinical Opthalmology. Duane TD, Tasman W, Jaeger AE, eds. Philadelphia, Pa: Lippincott-Raven; 1996.
2. Bird AC. Retinal photoreceptor dystrophies LI. Edward Jackson Memorial Lecture. Am J Ophthalmol. 1995;119:543562.
3. Taylor D, Hoyt CS. Pediatric Ophthalmology and Strabismus. 3rd ed. New York, NY: Elsevier Saunders; 2005.
4. Yannuzzi LA, Guyer DR, Green WR. The Retina Atlas. St. Louis, Mo: Mosby; 1995.
5. Berson EL, Gouras P, Gunkel RD. Rod responses in retinitis pigmentosa, dominantly inherited. Arch Ophthalmol. 1968;80:5867.
6. International Society for Clinical Electrophysiology of Vision. Standards, recommendations and guidelines. Available at: http://www.iscev.org/standards/index.html. Accessed March 20, 2007.
7. Heckenlively JR, Arden GB. Principles and Practice of Clinical Electrophysiology of Vision. 2nd ed. Cambridge, Mass: MIT Press; 2006.
8. Holder GE. Pattern electroretinography (PERG) and an integrated approach to visual pathway diagnosis. Prog Retin Eye Res. 2001;20:531561.
9. Berson EL. Retinitis pigmentosa. The Friedenwald Lecture. Invest Ophthalmol Vis Sci. 1993;34:16591676.
10. Berson E. Electroretinographic Testing as an Aid in Determining Visual Prognosis in Families With Hereditary Retinal Degenerations. New York, NY: Retina Congress Appleton-Century-Crofts; 1974.
11. Delori FC, Staurenghi G, Arend O, Dorey CK, Goger DG, Weiter JJ. (1995). In vivo measurement of lipofuscin in Stargardts disease Fundus flavimaculatus. Invest Ophthalmol Vis Sci. 1995;36:23272331.
12. Sparrow JR, Boulton M. RPE lipofuscin and its role in retinal pathobiology. Exp Eye Res. 2005;80:595606.
13. von Ruckmann A, Fitzke FW, Bird AC. Distribution of fundus autofluorescence with a scanning laser ophthalmoscope. Br J Ophthalmol. 1995;79:407412.
14. Robson AG, Egan CA, Luong VA, Bird AC, Holder GE, Fitzke FW. Comparison of fundus autofluorescence with photopic and scotopic fine-matrix mapping in patients with retinitis pigmentosa and normal visual acuity. Invest Ophthalmol Vis Sci. 2004;45:41194125.
15. Robson AG, El-Amir A, Bailey C, et al. Pattern ERG correlates of abnormal fundus autofluorescence in patients with retinitis pigmentosa and normal visual acuity. Invest Ophthalmol Vis Sci. 2003;44:35443550.
16. Salchow DJ, Gouras P, Doi K, Goff SP, Schwinger E, Tsang SH. A point mutation (W70A) in the rod PDE-gamma gene desensitizing and delaying murine rod photoreceptors. Invest Ophthalmol Vis Sci. 1999;40:32623267.
17. Tsang SH, Burns ME, Calvert PD, et al. Role for the target enzyme in deactivation of photoreceptor G protein in vivo. Science. 1998;282:117121.
18. Tsang SH, Woodruff ML, Chen CK, et al. GAP-independent termination of photoreceptor light response by excess gamma subunit of the cGMP-phosphodiesterase. J Neurosci. 2006;26:44724480.
19. Tsang SH, Woodruff ML, Jun L, et al. Transgenic mice carrying the H258N mutation in the gene encoding the beta-subunit of phosphodiesterase-6 (PDE6B) provide a model for human congenital stationary night blindness. Hum Mutat. 2006;28:243254.
20. Hood DC, Birch DG. Beta wave of the scotopic (rod) electroretinogram as a measure of the activity of human on-bipolar cells. J Opt Soc Am A Opt Image Sci Vis. 1996;13:623633.
21. Nakamura M, Hotta Y, Tanikawa A, Terasaki H, Miyake Y. A high association with cone dystrophy in fundus albipunctatus caused by mutations of the RDH5 gene. Invest Ophthalmol Vis Sci. 2000;41:39253932.
22. Michaelides M, Hunt DM, Moore AT. The cone dysfunction syndromes. Br J Ophthalmol. 2004;88:291297.
23. Michaelides M, Aligianis IA, Holder GE, et al. Cone dystrophy phenotype associated with a frameshift mutation (M280fsX291) in the alpha-subunit of cone specific transducin (GNAT2). Br J Ophthalmol. 2003;87:13171320.
24. Michaelides, M., Johnson, S., Simunovic, M.P., Bradshaw, K., Holder, G., Mollon, J.D., Moore AT, Hunt DM. Blue cone monochromatism: a phenotype and genotype assessment with evidence of progressive loss of cone function in older individuals. Eye. 2005;19:210.
25. Daiger SP, Bowne SJ, Sullivan LS. Perspective on genes and mutations causing retinitis pigmentosa. Arch Ophthalmol. 2007;125:151158.
26. Greenstein VC, Zaidi Q, Hood DC, Spehar B, Cideciyan AV, Jacobson SG. The enhanced S cone syndrome: an analysis of receptoral and post-receptoral changes. Vision Res. 1996; 36:37113722.
27. Milam AH, Rose L, Cideciyan AV, et al. The nuclear receptor NR2E3 plays a role in human retinal photoreceptor differentiation and degeneration. Proc Natl Acad Sci U S A. 2002;99:473478.
28. Sharon D, Sandberg MA, Caruso RC, Berson EL, Dryja TP. Shared mutations in NR2E3 in enhanced S-cone syndrome, Goldmann-Favre syndrome, and many cases of clumped pigmentary retinal degeneration. Arch Ophthalmol. 2003;121:13161323.
29. MacDonald IM, Sereda C, McTaggart K, Mah D. Choroideremia gene testing. Expert Rev Mol Diagn. 2004;4:478484.
30. Berson EL, Rosen JB, Simonoff EA. Electroretinographic testing as an aid in detection of carriers of X-chromosome-linked retinitis pigmentosa. Am J Ophthalmol. 1979;87:460468.
31. Kaiser-Kupfer MI, Caruso RC, Valle D, Reed FG. Use of an arginine-restricted diet to slow progression of visual loss in patients with gyrate atrophy. Arch Ophthalmol. 2004;122:982984.
32. Kurz-Levin MM, Halfyard AS, Bunce C, Bird AC, Holder GE. Clinical variations in assessment of bulls-eye maculopathy. Arch Ophthalmol. 2002;120:567575.
33. Simunovic MP, Moore AT. The cone dystrophies. Eye. 1998;12 (Pt 3b):553565.
34. Gouras P, Eggers HM, MacKay CJ. Cone dystrophy, nyctalopia, and supernormal rod responses. A new retinal degeneration. Arch Ophthalmol. 1983;101:718724.
35. Holopigian K, Greenstein VC, Seiple W, Hood DC, Carr RE. Rod and cone photoreceptor function in patients with cone dystrophy. Invest Ophthalmol Vis Sci. 2004;45:275281.
36. Michaelides M, Hardcastle AJ, Hunt DM, Moore AT. Progressive cone and cone-rod dystrophies: phenotypes and underlying molecular genetic basis. Surv Ophthalmol. 2006;51:232258.
37. Allikmets R, Singh N, Sun H, et al. A Photoreceptor cell-specific ATP-binding transporter gene (ABCR) is mutated in recessive Stargardt macular dystrophy. Nat Genet. 1997;15:236246.
38. Koenekoop RK. The gene for Stargardt disease, ABCA4, is a major retinal gene: a mini-review. Ophthalmic Genet. 2003;24:7580.
39. Bui TV, Han Y, Radu RA, Travis GH, Mata NL. Characterization of native retinal fluorophores involved in biosynthesis of A2E and lipofuscin-associated retinopathies. J Biol Chem. 2006; 281:1811218119.
40. Lois N, Holder GE, Bunce C, Fitzke FW, Bird AC. Phenotypic subtypes of Stargardt macular dystrophy-fundus flavimaculatus. Arch Ophthalmol. 2001;119:359369.
41. Lois N, Halfyard AS, Bird AC, Holder GE, Fitzke FW. Fundus autofluorescence in Stargardt macular dystrophy-fundus flavimaculatus. Am J Ophthalmol. 2004;138:5563.
42. Francis PJ, Schultz DW, Gregory AM, et al. Genetic and phenotypic heterogeneity in pattern dystrophy. Br J Ophthalmol. 2005;89:11151119.
43. Daniele S, Carbonara A, Daniele C, Restagno G, Orcidi F. Pattern dystrophies of the retinal pigment epithelium. Acta Ophthalmol Scand. 1996;74:5155.
44. Atan D, Gregory Evans CY, Louis D, Downes SM. Sorsby fundus dystrophy presenting with choroidal neovascularisation showing good response to steroid treatment. Br J Ophthalmol. 2004;88:440441.
45. Gregory CY, Evans K, Wijesuriya SD, et al. The gene responsible for autosomal dominant Doynes honeycomb retinal dystrophy (DHRD) maps to chromosome 2p16. Hum Mol Genet. 1996;5:10551059.
46. Traboulsi EI. Genetic Diseases of the Eye. New York, NY: Oxford University Press; 1998.
47. Leroy BP. Hogg CR, Rath PR, et al. Clinical features & retinal function in patients with adult Refsum syndrome. Adv Exp Med Biol. 2003;544:5758.
48. Claridge KG, Gibberd FB, Sidey MC. Refsum disease: the presentation and ophthalmic aspects of Refsum disease in a series of 23 patients. Eye. 1992;6 (Pt 4):371375.
49. Grant CA, Berson EL. Treatable forms of retinitis pigmentosa associated with systemic neurological disorders. Int Ophthalmol Clin. 2001;41:103110.
50. Li T, Sandberg MA, Pawlyk BS, et al. Effect of vitamin A supplementation on rhodopsin mutants threonine-17 > methionine and proline-347 > serine in transgenic mice and in cell cultures. Proc Natl Acad Sci U S A. 1998;95:1193311938.
51. Berson EL, Rosner B, Sandberg MA, et al. A randomized trial of vitamin A and vitamin E supplementation for retinitis pigmentosa. Arch Ophthalmol. 1993;111:761772.
52. Norton EW. A randomized trial of vitamin A and vitamin E supplementation for retinitis pigmentosa [comment]. Arch Ophthalmol. 1993;111:1460; author reply 14631465.
53. Berson EL, Rosner B. Sandberg MA, et al. Further evaluation of docosahexaenoic acid in patients with retinitis pigmentosa receiving vitamin A treatment: subgroup analyses. Arch Ophthalmol. 2004;122:13061314.
54. Sibulesky L, Hayes KC, Pronczuk A, Weigel-DiFranco C, Rosner B, Berson EL. Safety of <7500 RE (<25000 IU) vitamin A daily in adults with retinitis pigmentosa. Am J Clin Nutr. 1999;69:656663.
55. National Eye Institute. Information for Doctors Who Follow Patients With Retinitis Pigmentosa. Available at: http://www.nei.nih.gov/news/clinicalalerts/alert-rp.asp. Accessed March 20, 2007.
56. Fishman GA, Apushkin M. Continued use of dorzolamide for the treatment of cystoid macular edema in patients with retinitis pigmentosa. Br J Ophthalmol. 2007; [Epub ahead of print].
57. Heckenlively JR, Fawzi AA, Oversier J, Jordan BL, Aptsiauri N. Autoimmune retinopathy: patients with antirecoverin immunoreactivity and panretinal degeneration. Arch Ophthalmol. 2000;118:15251533.
58. Khan JA, Ide CH, Strickland MP. Coats-type retinitis pigmentosa. Surv Ophthalmol. 1998;32:317332.
59. Bennett J, Tanabe T, Sun D, et al. Photoreceptor cell rescue in retinal degeneration (rd) mice by in vivo gene therapy. Nature Med. 1996;2:649.
60. Dunaief JL, Kwun RC, Bhardwaj N, Lopez R, Gouras P, Goff SP. Retroviral gene transfer into retinal pigment epithelial cells followed by transplantation into rat retina. Hum Gene Ther 1995;6:12251229.
61. Stone EM. Challenges in genetic testing for clinical trials of inherited and orphan retinal diseases. Retina. 2005;25:S72-S73.
62. Acland GM, Aguirre GD, Ray J, et al. Gene therapy restores vision in a canine model of childhood blindness. Nat Genet. 2001;28:9295.
63. Bainbridge JW, Tan MH, Ali RR. Gene therapy progress and prospects: the eye. Gene Ther. 2006;13:11911197.
64. Acland GM, Aguirre GD, Bennett J, et al. Long-term restoration of rod and cone vision by single dose rAAV-mediated gene transfer to the retina in a canine model of childhood blindness. Mol Ther. 2005;12:10721082.
65. Weleber RG. Inherited and orphan retinal diseases: phenotypes, genotypes, and probable treatment groups. Retina. 2005;25:S4-S7.
66. Sieving PA, Collins FS. Genetic ophthalmology and the era of clinical care. JAMA. 2007;297:733736.
67. Stone EM. Genetic testing for inherited eye disease. Arch Ophthalmol. 2007;125:205212.
68. National Eye Institute. National Ophthalmic Disease Genotyping Network (eyeGENE). Available at: http://www.nei.nih.gov/resources/eyegene.asp. Accessed March 20, 2007.
69. GeneTests Home Page. Available at: http://www.genetests.org/. Accessed March 20, 2007.
70. Asper Ophthalmics. ABCR Genetic Testing. Available at: http://www.asperophthalmics.com/ABCRgenetest.htm. Accessed March 20, 2007.
71. Jaakson K, Zernant J, Kulm M, et al. Genotyping microarray (gene chip) for the ABCR (ABCA4) gene. Hum Mutat. 2003;22:395403.
72. Sieving PA, Caruso RC, Tao W, et al. Ciliary neurotrophic factor (CNTF) for human retinal degeneration: phase I trial of CNTF delivered by encapsulated cell intraocular implants. Proc Natl Acad Sci U S A. 2006;103:38963901.
73. Gouras P, Kong J, Tsang SH. Retinal degeneration and RPE transplantation in Rpe65(-/-) mice. Invest Ophthalmol Vis Sci. 2002;43:33073311.
74. Tsang SH, Gouras P, Yamashita CK, et al. Retinal degeneration in mice lacking the Á subunit of rod cGMP phosphodiesterase. Science. 1996;272:10261029.
75. MacLaren RE, Pearson RA, MacNeil A, et al. Retinal repair by transplantation of photoreceptor precursors. Nature. 2006;444:203207.
76. Columbia University Medical Center. Stem Cell Consortium. Available at: http://www.cumc.columbia.edu/stemcell/. Accessed March 20, 2007.
77. Fishman GA, Jacobson SG, Alexander KR, et al. Outcome measures and their application in clinical trials for retinal degenerative diseases: outline, review, and perspective. Retina. 2005; 25:772777.
78. Sieving PA. The national eye institute: translational clinical research initiatives on inherited and orphan retinal diseases: personal observations. Retina. 2005;25:S8-S9.
79. Fishman GA, Sokol S. (1990). Electrophysiologic testing in disorders of the retina, optic nerve, and visual pathway. Paper presented at: Annual Meeting of the American Academy of Ophthalmology; October 2000; San Francisco, Calif.
| We greatly appreciate Rando Allikmets, Gaetano Barile, Eliot L. Berson, Alan C. Bird, Stanley Chang, Lucian V. Del Priore, Debora B. Farber, Vivienne Greenstein, Peter Gouras, John R. Heckenlively, Graham E. Holder, Sharon A. Jenkins, Victor A. McKusick, Anthony T. Moore, Neeco Palmer, Anthony G. Robson, David Sarraf, William Schiff, Kulwant Sehmi, Andrew R. Webster and members of their clinics for sharing ideas and resources. We are especially grateful to Suzanne Pritts and Steven Rose for critical reading of the manuscript as well as to members of the Division of Medical Imaging at Edward S. Harkness Eye Institute, Columbia University, for their support. We also thank the anonymous reviewers useful and constructive comments. |








